Preguntas de Examen de Fisiopatología. Bloque 2

ATENCIÓN!! ESTE EXAMEN ESTÁ EN PROCESO. TODAVÍA NO ESTÁ OPERATIVO. LAS RESPUESTAS NO ESTÁN CORREGIDAS.

1) Entre las complicaciones de la litiasis encontramos: (señale la falsa)

 Infección: sepsis.

 Uropatía obstructiva.

 Poliuria.

 Insuficiencia renal.

Resultado:

2) Señale la falsa en relación a los métodos Dx de la Tuberculosis:

 RX Tórax: método más sensible pero inespecífico.

 Cultivo del mycobacterium.

 Intradermorreacción de Mantoux (PPD).

 Baciloscopia: 2 muestras matutinas en 2 días.

Resultado:

3) A la sensación de "ardor" desde el epigastrio hacia el esternón, pudiendo llegar la sensación hasta la faringe. Ardor retroesternal. Se le denomina:

 Regurgitación esofágica.

 Pirosis.

 Disfagia.

 Úlcera péptica.

 Ninguna es cierta.

Resultado:

4) Tratamiento del reflujo gastro-esofágico. Señale la falsa:

 Elevación 15 cm de la cabecera de la cama.

 No acostarse hasta 3 horas después de haber comido o bebido.

 Fármacos que cierran el cardias y procinéticos: metoclopramida.

 La cirugía estará totalmente desaconsejada.

Resultado:

5) Se considera herida contaminada a:

 Heridas incisas, de bordes nítidos y libres. Cierran por primera intención (t < 6hs).

 Son heridas qx que penetran de manera controlada en cavidades colonizadas pero sin indicios de infección ni inflamación. Se realiza un cierre primario y se suele dejar un drenaje. Ej. Litiasis biliar.

 Heridas traumáticas no recientes, con tejido desvitalizado y con más de 4 hs de evolución, con evidencia de infección (drenaje purulento, inflamación).

 Cualquier herida reciente y accidental, como por ejemplo la herida por asta de toro.

 Todas son correctas.

Resultado:

6) Tipos de drenajes que NO actúan por aspiración:

 Redón.

 Jackson-Pratt

 Pleur-evac.

 Drenaje en “T” o de Kehr.

 Ninguna es cierta.

Resultado:

7) En relación al infarto sin elevación de la ST señale la falsa:

 Obstrucción casi total de una arteria coronaria por rotura de una placa de ateroma.

 Clínica de opresión centrotorácica que aparece en reposo y dura > 60 min.

 Tratamiento: Ingreso UCI. AAS+ Clopidogrel+ HBPM.

 Realizar cateterismo y abrir el vaso o remitir a cirugía tras el cateterismo.

Resultado:

8) EPOC. Señale la respuesta falsa:

 Enfermedad lenta, progresiva y poco reversible.

 Se produce un descenso en los flujos respiratorios, que no cambia notablemente en meses de evolución.

 Se clasifica en: enfisematosos y bronquitis crónica.

 No existe tratamiento específico.

Resultado:

9) A la infección del parénquima pulmonar causada por distintos agentes etiológicos que cursará con condensación, se le considera:

 Neumonía.

 Enfisema.

 Atelectasia.

 Bronquitis.

 A y B son ciertas.

Resultado:

10) Señale la falsa en relación a la Tuberculosis:

 Suele ser sintomática.

 Forma pulmonar: tos de más de 3 semanas de evolución, acompañada de hemoptisis.

 Síntomas aparecen en los cuadros de reactivación, que habitualmente se acompañan de síndrome constitucional.

 Se produce pérdida de peso, fiebre y sudoración nocturna.

Resultado:

11) En relación a la prueba del mantoux señale la falsa:

 Lectura a las 72 horas (válida entre 48 y 96 h).

 Úlceras o vesículas: positivo.

 La reactividad disminuye con la edad.

 A menos induración, más posibilidades.

Resultado:

12) Entre las complicaciones de la litiasis renal no encontramos:

 Infección: sepsis

 Uropatía obstructiva

 Anuria

 Rectorragia

 Todas son ciertas

Resultado:

13) Señala la falsa en relación al íleo mecánico:

 Intento de vencer el obstáculo: hiperperistaltismo de lucha que da dolor abdominal cólico y luego continuo.

 Distensión de asa post oclusiva por acúmulo de líquido y gases.

 Vómitos

 Ausencia de emisión de heces y gases

Resultado:

14) En relación a los tumores malignos señale la falsa:

 Mayor desdiferenciación celular: pérdida de caracteres específicos del clon afectado.

 Crecimiento habitualmente más lento.

 Desarrollo de metástasis.

 Capacidad de invasión local de tejidos prósimos.

Resultado:

15) Factores implicados en la diabetes. Señale la correcta.

 Nutricionales.

 Inmunológicos.

 Víricos.

 Todas las anteriores son correctas.

 Alergénicos.

Resultado:

16) Señale la falsa en relación al pie diabético:

 Educación sanitaria (higiene, calzado)

 Suprimir tabaco.

 No será necesaria vacuna antitetánica.

 Inspección de los pies en cada visita.

Resultado:

17) Se considera herida limpia contaminada a:

 Heridas incisas, de bordes nítidos y libres. Cierran por primera intención (t < 6 hs)

 Cualquier herida reciente y accidental, como por ejemplo la herida por asta de toro.

 Heridas traumáticas no recientes, con tejido desvitalizado y con más de 4 hs de evolución, con evidencia de infección (drenaje purulento, inflamación)

 Son heridas qx que penetran de manera controlada en cavidades colonizadas pero sin indicios de infección ni inflamación. Se realiza un cierre primario y se suele dejar un drenaje. Ej. Litiasis biliar.

 todas son ciertas

Resultado:

18) De los siguientes NO actúa por gravedad:

 Drenaje en “T” o de Kehr.

 Redón.

 SNG o sonda de Levin

 Sondas lastradas nasoyeyunales (Flocare)

 Todas son falsas.

Resultado:

19) En relación a la angina estable señale la falsa:

 Clínica de opresión en pecho de 20 min con sudoración y malestar que aparece al andar una distancia determinada cediendo en reposo.

 ECG: alterado

 Obstrucción fija y mayor del 70% de una arteria coronaria.

 Tratamiento posible: fármacos (nitratos, b-bloqueantes, estatinasa), abriendo la arteria con un “stent”, salvar la obstrucción con un bypass.

Resultado:

20) En relación al asma señale la falsa:

 Predomina en mujeres.

 50% de herencia para el asma (Cr. 5 y 11)

 El abandono tabáquico es la medida que más ayuda.

 Más frecuente en áreas urbanas secas.

Resultado:

21) En cuanto al linfedema señale la falsa:

 No disminuye con elevación del MI.

 Celulitis.

 Linfangitis.

 Suave.

Resultado:

22) En relación al trasplante de órganos señale la falsa:

 realizar 3 EEG separados por un periodo de 6 horas tras diagnosticar la muerte cerebral.

 El certificado de muerte cerebral ha de ser firmado por 3 facultativos, no implicados en la extracción de órganos, ni en el trasplante.

 El diagnóstico de muerte cerebral no es válido, si se han empleado fármacos depresores del SNC o hay hipotermia primaria.

 No padecer ninguna enfermedad transmisible (infecciosa o neoplásica)

Resultado:

23) En relación a la angina estable señale la falsa:

 Clínica de opresión en pecho de 20 min con sudoración y malestar que aparece al andar una distancia determinada cediendo en reposo.

 ECG: alterado.

 Obstrucción fija y mayor del 70% de una arteria coronaria.

 Tratamiento posible: fármacos (nitratos, b-bloqueantes, estatinas); abriendo la arteria con un “stent”; salvar la obstrucción con un bypass.

Resultado:

24) El rechazo hiperagudo será aquel que ocurre:

 > 6 meses y no existe tratamiento específico.

 A los 3 meses y tiene buena respuesta a fármacos.

 a los pocos días.

 A los pocos minutos tras desclampar la anastomosis vascular.

Resultado:

25) Señale la falsa en relación a los métodos Dx de la Tuberculosis:

 Rx Tórax: método más sensible pero inespecífico.

 Cultivo del mycoplasma.

 Intradermorreacción de Mantoux (PPD).

 Baciloscopia: 3 muestras matutinas en 3 días.

Resultado:

26) Usted sospecha que una paciente está sufriendo un aneurisma disecante de aorta, para poder confirmar su diagnóstico podrá realizar varios diagnósticos diferenciales. Señale el diagnóstico diferencial que no esté indicado para la realización de dicho diagnóstico:

 Infarto Agudo de Miocardio.

 Cólico nefrítico.

 Embolia sistémica.

 Ningún diagnóstico diferencial está indicado.

Resultado:

27) Fisiopatología del sistema arterial: señale la respuesta incorrecta.

 La arteriografía es la técnica utilizada en la visualización a través de un escopio (=máquina fija de rayos) de la trayectoria arterial.

 La clasificación DeBakey que se utiliza para delimitar que porción de la aorta está siendo afectada por el aneurisma.

 La hipertensión arterial se considera un factor de riesgo a tener en cuenta.

 Para la detección de un aneurisma se utilizará la arteriografía como técnica diagnóstica de elección.

Resultado:

28) Entre las complicaciones del AAA:

 Rotura.

 Embolias distales.

 Trombosis.

 Todas son correctas.

Resultado:

29) EPOC/OCFA: señale la respuesta incorrecta

 Lenta, progresiva y poco reversible.

 La obstrucción del asma es reversible.

 El EPOC se clasifica en tipo A y tipo B.

 A los EPOC tipo A se les conoce como bronquíticos crónicos.

Resultado:

30) Son síntomas de isquemia arterial agudo a todos excepto:

 Pain.

 Palidez.

 Enrojecimiento.

 Parestesia.

Resultado:

31) Un paciente sufre una isquemia arterial aguda de grado IV según la clasificación de Fontaine. Indique que síntomas presentará:

 Necrosis y gangrena.

 No presentará síntomas.

 Dolor en reposo

Resultado:

32) ¿Cuál de los siguientes no pertenece a la triada de Virchow?

 Enlentecimiento de la sangre.

 Lesión del endotelio vascular.

 Encamamiento prolongado.

 Aumento de la viscosidad de la sangre

Resultado:

33) Las cavernas pulmonares son típicas de:

 Tuberculosis.

 Neumonías.

 Bronquitis.

 Neumotórax o tensión.

Resultado:

34) Indique que diagnóstico le sugiere la siguiente imagen:

Fig. 1

 Bloqueo aurículo-ventricular de grado III

 Bloqueo de rama derecha.

 Bloqueo de rama izquierda

Resultado:

35) NULA

 

 

 

 

 

Resultado:

36) Indique que le sugiere la siguiente imagen:

Fig. 2

 Flutter auricular.

 FA.

 Extrasístole supraventricular.

 Extrasístole ventricular

Resultado:

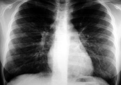
37) Indique que le sugiere la siguiente imagen:

Fig. 3

 TBC.

 Bronquitis crónica.

 Neumonía.

 Ninguna es correcta

Resultado:

38) Indique que le sugiere la siguiente imagen:

Fig. 4

 TBC

 Bronquitis crónica.

 Neumonía.

 Enfisema.

Resultado:

39) Indique que le sugiere la siguiente imagen:

Fig. 5

 Mantoux positivo.

 Quemadura.

 Infección cutánea.

 Ninguna es correcta.

Resultado:

40) NULA

 

 

 

 

 

Resultado:

41) Cuál es el motivo por el cual a un paciente EPOC aunque presente una saturación basal del 90% no es recomendable administrar 02 a altas dosis.

 Porque existirá riesgo de producir una Insuficiencia Respiratoria Hipercápnica

 Porque existirá riesgo de producir una Insuficiencia Respiratoria Hipoxémica

 Porque existirá riesgo de producir una Carbonarcosis

 Ninguna es correcta

Resultado:

42) Indique que le sugiere la siguiente imagen:

Fig. 6

 Bloqueo de rama Izquierda

 Bloqueo de Rama derecha

 Bloqueo aurículo-ventricular de grado III

 Bloqueo aurículo-ventricular de grado II

Resultado:

43) Paciente de 80 años que sufre una insuficiencia de la circulación venosa de MMII, en relación al tratamiento indicado para las varices, señale la opción incorrecta:

 Evitar el uso de medias elásticas.

 Evitar la bipedestación prolongada.

 Estimular la deambulación.

 Estimulación de la elevación periódica de MMII.

Resultado:

44) Paciente de 60 años que acude a urgencias del Hospital Comarcal tras realizarle la higiene oportuna y diagnosticarle de un aneurisma, se decide que se traslade a la UCI, según el tratamiento que se le aplicará a dicho paciente señale la respuesta incorrecta:

 Analgesia.

 Sedación.

 Tratamiento hipertensor para evitar rotura.

 Reposo.

Resultado:

Anterior
Siguiente