Tratamientos pulpares en dientes temporales y permanentes inmaduros
Introducción
La caries dental, los traumatismos y los efectos iatrogénicos del tratamiento dental conservador provocan una respuesta biológica en el complejo dentinopulpar. Este capítulo se ocupa de las diferentes intervenciones terapéuticas llevadas a cabo para provocar una respuesta biológica adaptativa en el complejo dentinopulpar de los dientes tratados, así como para optimizar su crecimiento y desarrollo posteriores. Los esfuerzos terapéuticos se dirigen a la retención de dientes con caries o traumatizados y al mantenimiento de una función normal mediante la solución o eliminación de los síntomas clínicos.
Papel de los dientes temporales
Los dientes temporales desempeñan un papel determinante en el desarrollo de la oclusión. La pérdida prematura de un diente temporal debido a un traumatismo o infección puede desestabilizar el desarrollo de la oclusión produciendo la pérdida de espacio, el colapso de la arcada así como la erupción prematura, retardada o ectópica de los dientes permanentes sucesores. En general, los efectos de la extracción temprana de dientes temporales son más intensos en los segmentos bucales que en la dentición anterior.
El tratamiento pulpar eficaz en la dentición temporal debe no sólo estabilizar el diente temporal afectado sino también crear un entorno favorable para la exfoliación normal de los dientes temporales, sin dañar el desarrollo del esmalte ni interferir en la erupción normal de su sucesor permanente. En aquellos casos en los que no se pueda llegar a estos resulta dos de forma lógica durante la vida clínica del diente temporal, conviene extraer el diente afectado y considerar estrategias alternativas de cara a la guía oclusal y al mantenimiento de la integridad de la arcada (v. cap. 11).
Dientes permanentes inmaduros
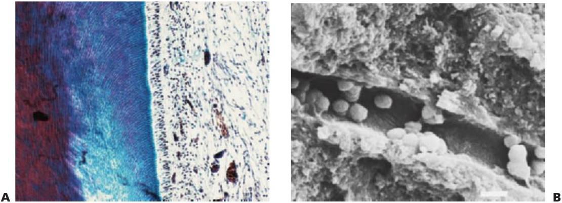
Los dientes permanentes siguen siendo inmaduros cuando erupcionan. Además de la importante fase de maduración posteruptiva del esmalte, a las raíces de los dientes permanentes recién erupcionados les llevará hasta 5 años completar su crecimiento. Durante este período, las raíces son cortas y su ápice está completamente abierto, la dentina es relativa mente fina y los túbulos dentinales son relativamente anchos, lo que aumenta su permeabilidad a las bacterias. El ápice abierto se asocia a una excelente vascularización pulpar y al potencial para una respuesta curativa favorable.
Los esfuerzos terapéuticos están dirigidos a preservar la vitalidad del complejo dentinopulpar para facilitar un desarrollo y maduración normales de la raíz (fig. 6.1). Si antes de la maduración de la raíz se produce una necrosis pulpar, el diente afectado todavía se puede conservar con la aplicación de estrategias endodóncicas no vitales pero se verá comprometido en relación con la fuerza, la longitud de la raíz y el desarrollo apical. La retención de un diente permanente inmaduro comprometido con un mal pronóstico a largo plazo puede seguir siendo ventajosa para la integridad de la arcada y para el desarrollo alveolar normal durante el período de crecimiento dentofacial (v. cap. 11).

Pruebas en la práctica actual
La base de pruebas actual para el tratamiento pulpar en la dentición temporal es escasa y no existe excesiva previsión de ensayos clínicos controlados aleatorizados en un futuro. La única cuestión importante que rodea al tratamiento pulpar en la dentición temporal es la falta de correlación entre la sintomatología clínica y el estado pulpar. De ahí que en la actualidad no exista ninguna técnica reconocida para el tratamiento pulpar en dientes temporales y se sugieran una variedad de protocolos y fármacos diferentes para las distintas combinaciones de síntomas y hallazgos clínicos.
La información de este capítulo se basa en la práctica clínica instaurada, en estudios descriptivos retrospectivos, en la experiencia clínica y en la opinión de los expertos. En general, conviene utilizar la intervención menos invasiva que, previsiblemente, corresponda a una respuesta curativa deseable y saludable en el diente temporal o permanente afectado. Es evidente que una prevención primaria eficaz y una intervención temprana evitarán la necesidad de aplicar muchas de las técnicas y de los procedimientos que se describen más adelante en este capítulo.
Valoración clínica y consideraciones generales
Diagnóstico del estado pulpar
Un tratamiento pulpar eficaz precisa la valoración e interpretación correcta de los signos y síntomas clínicos que derivarán en un diagnóstico acertado del estado pulpar. Un tratamiento pulpar ineficaz o inapropiado se asocia a signos y síntomas clínicos tanto agudos como crónicos. Por desgracia, no existen pruebas objetivas ni definitivas para determinar la salud del complejo dentinopulpar en un diente temporal o permanente inmaduro.
Los signos y síntomas clínicos se correlacionan mal con la histología pulpar real. Los signos y síntomas agudos incluyen:
- Dolor.
- Movilidad.
- Absceso periapical.
- Celulitis facial o progresión en la propagación de infecciones del cuello (angina de Ludwig).
Los signos y síntomas crónicos incluyen:
- Infección persistente.
- Secreción sinusal.
- Displasia de esmalte (diente de Turner).
- Quiste folicular infectado.
- Fracaso en la exfoliación de los dientes temporales.
- Fenestración apical.
- Dientes permanentes ectópicos (fig. 6.2).

Pruebas de sensibilidad pulpar
Las técnicas estándar para las pruebas de sensibilidad pulpar tienen un valor limitado en los niños. Estas técnicas se basan en la retroalimentación del paciente en respuesta a una estimulación térmica y eléctrica. En la dentición temporal, es probable que los niños no hayan alcanzado el desarrollo cognitivo necesario para responder de forma fiable a un estímulo potencialmente doloroso. En el diente permanente inmaduro se observan umbrales de respuesta aumentados a estímulos eléctricos y que disminuyen a niveles normales al producirse la maduración radicular y el cierre apical.
Dolor
Los pacientes más jóvenes, con frecuencia, varían al informar de su dolor y muchas veces los padres no lo aprecian hasta que el dolor se hace grave y prolongado. Los síntomas de dolor grave, prolongado, espontáneo o nocturno sugieren una pulpitis irreversible o un absceso dental (fig. 6.3B). Una historia de necesidad repetida de analgésicos también parece indicar necrosis pulpar. Con frecuencia, el dolor dental se resolverá una vez que un conducto sinusal establezca un drenaje y, por tanto, alivie la presión. En estos casos, la lesión subyacente sigue estando presente y debe resolverse pese a la falta de molestias evidentes.

Otros signos clínicos
Un cuidadoso examen clínico de los dientes puede revelar información útil para el diagnóstico.
- La decoloración coronal sugiere necrosis pulpar.
- La movilidad clínica está asociada a un absceso o una exfoliación inminentes.
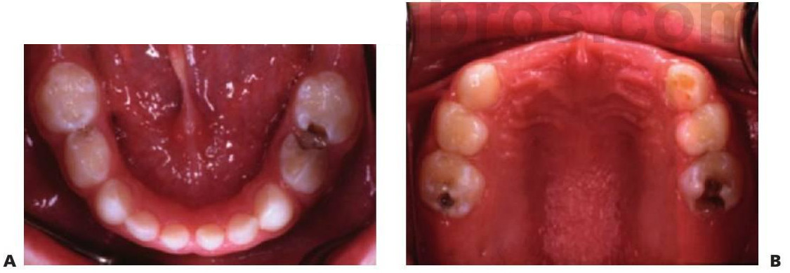
- Una fractura del reborde marginal en un diente temporal sugiere la afectación pulpar cariosa en contacto con una caries puntual (fig. 6.4A).
- La fractura de los rebordes triangulares oclusales o la socavación cariosa de las cúspides en las caries de fosas y fisuras también sugiere afectación cariosa (fig. 6.4B).

Por desgracia, el aspecto externo de la lesión cariosa puede llevar a confusión en algunos casos (fig. 6.5). Los síntomas persistentes que aparecen poco después de colocar una restauración indican afectación pulpar y la falta de sellado coronal desembocará también, inevitablemente, en una lesión pulpar. El examen radiográfico se revela esencial para complementar los hallazgos clínicos y aumentar la exactitud del diagnóstico.

Radiografías
Las radiografías longitudinales que muestran una deposición normal de la dentina dentro de la cámara pulpar y las raíces indican buena salud pulpar, y la calcificación pulpar irregular o la obliteración pulpar indican una distrofia pulpar, mientras que el fracaso de la regresión pulpar fisiológica o la detención del desarrollo de la raíz indican una necrosis pulpar. En un único examen radiográfico pueden compararse los dientes individuales con sus simétricos para identificar asimetrías. Los signos o síntomas clínicos que indican la afectación cariosa de la pulpa precisan un examen radiográfico. Las radiografías mostrarán la extensión de la lesión cariosa, la posición y proximidad de los cuernos pulpares, la presencia y posición del sucesor permanente y el estado de las raíces y del hueso que las rodea. El examen radiográfico debería considerarse obligatorio antes de llevar a cabo procedimientos endodóncicos. La presencia de caries en la furcación, la reabsorción radicular interna o externa (incluyendo reabsorción radicular fisiológica) y las lesiones óseas periapicales o de furcación son contraindicaciones para el tratamiento endodóncico en la dentición temporal, de forma que se deben extraer los dientes temporales con estos signos radiográficos.
Inflamación
La inflamación alveolar, sobre todo la que afecta a la reflexión vestibular y la hinchazón facial, la decoloración coronal y la presencia de un seno indican una necrosis pulpar y la formación de un absceso (fig. 6.3B).
Movilidad
Una movilidad dental inadecuada, la sensibilidad a la palpación o una sensación de interferencia oclusal también indican la formación de abscesos.
El uso de antibióticos para controlar una infección aguda (v. cap. 8, Infección odontogénica) puede resolver provisionalmente todos o alguno de estos signos clínicos pero no resolverá la lesión subyacente. Un diente temporal que no puede salvarse debe extraerse pese a las potenciales complicaciones ortodóncicas futuras.
Factores en la planificación del tratamiento
Historia médica
Antes de comenzar cualquier tratamiento dental se precisa realizar una minuciosa evaluación médica y sus resultados pueden limitar o cambiar las opciones de tratamiento de forma muy variable. Debido a que el tratamiento pulpar está íntimamente relacionado con la respuesta curativa adaptativa tras el tratamiento, aquellos pacientes con un sistema inmunitario notablemente comprometido se consideran malos candidatos para el tratamiento endodóncico.
Contraindicaciones
- Enfermedad cardíaca congénita (v. Apéndice E): los pacientes con riesgo de sufrir una endocarditis bacteriana deben carecer de infecciones orales y debe extraerse cualquier diente temporal con signos clínicos de infección. No hay pruebas que indiquen que un diente temporal con una restauración extensa tenga mayor o menor probabilidad de infectarse una vez sometido a un tratamiento endodóncico que cumpla las directrices establecidas.
- Pacientes inmunodeprimidos (v. cap. 10, Inmunodefidencia).
- Niños con un mal potencial de curación (ej. diabetes incontrolada). En general, los niños con una diabetes bien controlada no presentan ningún problema concreto en relación con el potencial de curación. El uso a largo plazo de corticoides para el tratamiento del asma o el asma mismo no debe afectar a la decisión de conservar dientes temporales. No obstante, aquellos niños gravemente inmunodeprimidos, como los pacien tes oncológicos, deben tratarse de forma más drástica (ej. extracciones).
Indicaciones
- Trastornos hemorrágicos y coagulopatías (v. cap. 10): los protocolos de tratamiento actuales para los pacientes con diátesis hemorrágica (como la hemofilia) pueden usar, con frecuencia a domicilio, una sustitución del factor normal. En aquellos casos en los que los pacientes tengan acceso a dicho tratamiento médico, la decisión de extraer o consen/ar un diente temporal con afectación pulpar no deberá llevarse a cabo por la diátesis hemorrágica sino que deberá basarse en los mismos criterios utilizados para cualquier otro paciente. Es fundamental consultar con el hematólogo del niño.
- Oligodoncia (ej. displasia ectodérmica; v. cap. 9): en casos de oligodoncia, la decisión de extraer o conservar dientes individuales vendrá condicionada por la estrategia ortodóncica global. En algunos casos, se requiere una extracción temprana de dientes temporales para favorecer el desplazamiento oclusal y el cierre del espacio. En estos casos, la coordinación de las extracciones puede ser decisiva y se precisa una restauración provisional del diente temporal afectado, mientras que en otros casos se precisa mantener un diente temporal sin un sucesor. En ausencia de síntomas agudos, se considerará la realización de una evaluación ortodóncica formal.
Factores conductuales
Un tratamiento endodóncico eficaz requiere una gran implicación por parte del paciente. Si un niño es incapaz de cooperar con los procedimientos diagnósticos de pretratamiento, incluyendo las radiografías, puede que no pueda sobrellevar procedimientos endodóncicos complejos ni los procedimientos de restauración asociados. Cuando no se consigue coo peración, o es escasa, se puede considerar el uso de la anestesia general o incluso una extracción electiva del diente afectado en lugar de procedimientos endodóncicos y restaurativos complejos.
La endodoncia requiere un control eficaz del dolor. Incluso con dosis efectivas habituales de anestesia local, un niño puede experimentar un dolor lacerante, sobre todo cuando se opera en la cámara pulpar. Los efectos sedantes de la sedación por inhalación junto con la anestesia local facilitan el bienestar y la cooperación del paciente. Es obligatorio utilizar un dique de goma para aislar el diente que se va a someter al tratamiento y proteger al paciente de los instrumentos y los fármacos.
Factores dentales
Debe considerarse el tratamiento endodóncico dentro del contexto global del desarrollo oclusal y por tanto estudiar la orientación oclusal y el mantenimiento del espacio (v. cap. 11, Mantenimiento del espacio). En circunstancias normales, la vida útil de un incisivo temporal es de 5 a 8 años y la de un canino o molar temporales de 8 a 10 años, de manera que la pérdida temprana de un diente temporal puede suponer la pérdida localizada de espacio, la erupción retardada y la erupción ectópica del sucesor permanente. Puede considerarse la extracción electiva dentro de los 3 años de exfoliación anticipada, si se supone la erupción acelerada del sucesor permanente y en determinados casos, la posibilidad de extracción electiva contralateral con el fin de equilibrar la pérdida dental.
El éxito a largo plazo del tratamiento endodóncico requiere un sellado coronal para prevenir la microfiltración y la penetración de bacterias orales en los conductos radiculares. Asimismo, si el diente con caries no puede restaurarse, habrá que extraerlo. Los procedimientos de pulpotomía y pulpectomía requieren preparaciones difíciles de acceso a la cavidad que pueden debilitar las paredes axiales del diente tratado, por lo que se recomienda una restauración de recubrimiento total con una corona de metal preformada o de resina composite.
Recubrimiento pulpar
Recubrimiento pulpar indirecto
El sellado de una lesión cariosa progresiva produce una respuesta bacteriostática dentro del cuerpo de la lesión y favorece la curación pulpar estimulando la formación de una dentina reaccional. Esta es la base del recubrimiento pulpar indirecto tanto en la dentición temporal como en la permanente y también se conoce como control de caries. El re cubrimiento pulpar indirecto es también considerado la base de la técnica restaurativa atraumática (ART, v. cap. 5).
No existe certeza de que la lesión cariosa en la dentina se vuelva estéril y se remineralice, o bien se vuelva quiescente con potencial para reactivarse si hubiera una filtración alrededor de la restauración final. De ahí el debate sobre la necesidad de repenetrar en el diente para retirar la caries residual una vez se tengan pruebas clínicas y radiográficas de curación pulpar; si bien, conociendo la vida útil del diente temporal, no está indicada la repenetración en estos dientes para retirar la caries residual cuando la respuesta clínica es favorable.
Se han propuesto el ozono y el fluoruro de plata junto al recubrimiento pulpar indirecto como agentes antimicrobianos aunque en la actualidad faltan pruebas que apoyen su superioridad frente al sellado de la lesión con materiales de restauración estándar. El ozono también puede favorecer la remineralización mediante la oxidación del sistema de tamponado lactato-propionato (pH = 4) dentro del cuerpo de la lesión cariosa a bicarbonato y agua. La profundidad de caries residual no puede ser superior a 2mm cuando se aplica ozono, puesto que el ozono no penetrará más de 2 mm en la dentina cariosa.
Las lesiones cariosas extensas y las preparaciones cavitarias asociadas alteran las propiedades mecánicas del diente tratado y disminuyen la rigidez de las paredes de la cavidad en función normal, lo que potencialmente puede incrementar el riesgo de microfiltración. Puesto que el recubrimiento pulpar indirecto se basa en el aislamiento de la caries residual del entorno oral, se precisa una cuidadosa evaluación de la estructura del diente residual. Deben eliminarse las áreas de esmalte no soportado y proteger adecuadamente las paredes debilitadas de la cavidad, que pueden flexionarse en función y aumentar el riesgo de microfiltración, mediante un recubrimiento cuspídeo o con un recubrimiento total. Esta técnica es muy importante con las lesiones de las superficies proximales cuyas paredes bucal y lingual pueden estar muy socavadas. El recubrimiento pulpar indirecto de los primeros molares temporales inferiores siempre requiere una corona metálica preformada.
Los primeros molares permanentes muy destruidos pueden estabilizarse de forma eficaz con coronas metálicas preformadas para dar tiempo a la maduración de la pulpa y de la dentina antes de la restauración definitiva. Con el crecimiento se produce una regresión pulpar que incrementa el grosor de la dentina para la preparación de la corona y el grosor mejorado de la dentina radicular ofrece una mejor fuerza de la raíz. Una vez finalizado el crecimiento dental, pueden reexaminarse las opciones de restauración para estos dientes.
Indicaciones
- Lesión cariosa extensa.
- Diente asintomático o síntomas transitorios leves.
- La radiografía preoperatoria confirma la ausencia de afectación radicular.
Técnica
- Control del dolor y aislamiento.
- Eliminar caries superficiales.
- Eliminar todas las caries periféricas, dejando las caries profundas sobre la pulpa.
- Finalizar la preparación de la cavidad.
- Restaurar el diente asegurando un adecuado sellado coronal.
Recubrimiento pulpar directo
Dientes temporales
En general, las exposiciones pulpares pequeñas se pueden clasificar en mecánicas (iatrogénicas) o cariosas. El recubrimiento pulpar directo de las exposiciones pulpares cariosas en dientes temporales tiene un mal pronóstico y su fracaso es debido a la reabsorción interna de la raíz. El tamaño de la exposición pulpar no afecta al pronóstico y en estos casos debe realizarse una pulpotomía. Se cree que las exposiciones pulpares mecánicas no contaminadas tienen una respuesta más favorable al recubrimiento pulpar directo con el uso de cementos de hidróxido de calcio que endurecen al fraguar. No se dispone de pruebas precisas que apoyen el uso de otros materiales en la dentición temporal utilizados en la actualidad, incluyendo antibióticos/corticoides, resinas que se unen a la dentina o el agregado trióxido mineral.
A causa de las dificultades para determinar el estado pulpar y el mejor pronóstico de la pulpotomía, no está recomendado el recubrimiento pulpar directo en dentición temporal.
Dientes permanentes inmaduros
El recubrimiento pulpar directo de las exposiciones pulpares en punta de alfiler, ya sean mecánicas o cariosas, presenta un pronóstico favorable en el diente permanente inmaduro. Se estima como preferente el uso de hidróxido de calcio y de cementos de hidróxido de calcio que endurecen al fraguar. No hay pruebas decisivas que apoyen el uso de otros mate riales empleados en la actualidad, entre los que se encuentran antibióticos/corticoides, resinas que se unen a la dentina y el agregado trióxido mineral.
Pulpotomía
Dientes temporales
La pulpotomía es la técnica endodóncica más utilizada en la dentición temporal. El sufijo «otomía» significa «cortar»; así, pulpotomía significa «cortar la pulpa». El objetivo de la pulpotomía en un diente temporal es amputar la pulpa coronal inflamada y preservar la vitalidad de la pulpa radicular, facilitando así la exfoliación normal del diente temporal. No se puede hacer una pulpotomía si la pulpa está necrótica.
La pulpotomía contemporánea tiene sus orígenes en las técnicas del siglo XIX para la momificación del tejido pulpar doloroso, inflamado o putrescente, si bien a lo largo del siglo XX, la técnica de la pulpotomía se ha modificado con menos fases y una duración menor de aplicación y concentración del medicamento. En la actualidad, el énfasis está puesto en preservar la pulpa radicular sana más que en la momificación.
Eliminación de la caries
El diente tratado debe quedar completamente exento de caries antes de llevar a cabo una pulpotomía. La recomendación de eliminar caries desde la periferia a la pulpa no sólo previene la contaminación con restos cariosos del lugar de la pulpotomía sino que también reduce el riesgo de exposición pulpar inadvertida. El acceso a la pulpa coronal requiere una eliminación completa del techo de la cámara pulpar. La amputación de la pulpa coronal requiere un corte limpio en el área del suelo pulpar. Las interdigitaciones residuales de tejido en el lugar de amputación crearán problemas con la hemostasia. La instrumentación rotatoria a alta velocidad con copiosa irrigación de agua en spray favorece el corte óptimo. Si se perfora el suelo de la cámara pulpar, habrá que extraer el diente.
Hemostasia
Debe obtenerse hemostasia en el lugar de la pulpotomía antes de aplicar el agente terapéutico y este efecto se consigue con una irrigación continua y frotando suavemente con bolitas de algodón. Debe producirse en 5 minutos y si no se puede detener la hemorragia, se considera que la inflamación pulpar se ha extendido a las raíces y está asociada a un mal pronóstico que se denomina «signo de sangrado». En estos casos, deben considerarse la pulpectomía o la extracción.
Medicamentos de la pulpa
Una vez obtenida la hemostasia, se aplica el medicamento terapéutico en el lugar de la pulpotomía. Ver más adelante la sección «Agentes terapéuticos utilizados para la pulpotomía en dientes temporales».
A continuación, se recubre el lugar de la pulpotomía con una base terapéutica que suele ser un cemento a base de óxido de zinc eugenol. No obstante, el eugenol en contacto directo con el tejido pulpar provoca una pulpitis crónica, por lo que conviene cambiar a un cemento sin eugenol como base terapéutica. Cuando se utiliza MTA como agente terapéutico, también actuará como base terapéutica. Por último, debe utilizarse un material del núcleo para sellar el diente antes de la restauración final, preferentemente con una restauración de recubrimiento total.
Los primeros textos citados sugirieron que los dientes que debían tener una corona de metal preformada debían someterse también a una pulpotomía rutinaria, tuvieran o no una exposición pulpar cariosa, pero esta postura ya no es defendible dado el éxito previsto del recubrimiento pulpar indirecto.
Indicaciones para la pulpotomía en dientes temporales
- Exposición pulpar cariosa.
- Diente asintomático o dolor transitorio benigno.
- La radiografía preoperatoria confirma la ausencia de afectación radicular.
- Diente restaurable.
Técnica
- Control del dolor y aislamiento con dique de goma.
- Eliminación completa de la caries desde la periferia a la pulpa.
- Eliminación del techo de la cámara pulpar.
- Amputación de la pulpa coronal.
- Detención del sangrado en el lugar de amputación (v. discusión antes de «signo de sangrado»).
- Aplicación del agente terapéutico (v. Agentes terapéuticos utilizados para la pulpotomía).
- Colocar la base directamente en el lugar de amputación de la pulpa (material de restauración intermedio o Cavit).
- Colocar el núcleo.
- Restaurar el diente con un sellado coronal adecuado. Se recomienda un recubrimiento total con una corona de metal preformada o con una corona de composite.
- Evaluación radiográfica regular.

Agentes terapéuticos utilizados para la pulpotomía en dientes temporales
Se ha utilizado una gran variedad de sustancias químicas como agentes de pulpotomía pero como la mayoría de ellas no han sido objeto de ensayos clínicos rigurosos, su uso se ha basado en la opinión de expertos y estudios retrospectivos. En su revisión para la Cochrane Collaboration, Nadin y cois. (2003), basándose en los ensayos clínicos aleatoriza- dos (ECA) disponibles, concluyeron que:
No existen pruebas fiables que apoyen la superioridad de un tipo de tratamiento para molares temporales con afectación pulpar y no pueden extraerse conclusiones acerca de las técnicas o tratamientos óptimos para estos molares debido a la escasez de investigaciones científicas fiables. Son necesarios ECA de alta calidad con unida des adecuadas de aleatorización y análisis.
Las pruebas disponibles indican que el formocresol, el sulfato férrico, la electrocauterización y el MTA tienen una eficacia similar; sin embargo, el hidróxido de calcio parece tener una tasa de éxito significativamente menor en la pulpotomía vital de dientes deciduos a la de estos cuatro agentes. Existen varios materiales con significación histórica o con una utilización regional y varias técnicas experimentales, entre las que se encuentran la proteína morfogenética del hueso y los factores de crecimiento, que no se tratarán. Todos los agentes terapéuticos actuales tienen efectos tóxicos y deben manipularse correctamente dentro de su rango terapéutico. Los especialistas deben leer con atención las «Especificaciones de seguridad de materiales» de estos agentes y seleccionar los casos cuidadosamente y según las directrices recomendadas.
Formocresol
El formocresol se ha utilizado en odontología durante más de 100 años y para la pulpotomía vital en dientes deciduos durante más de 80 años. Su eficacia ha sido estudiada extensamente, con tasas de éxito clínico que van del 70 al 100%, convirtiéndolo en el estándar frente al cual se comparan las nuevas técnicas. El componente formaldehído del formocresol es fuerte mente bactericida e inhibe de forma reversible muchas enzimas del proceso inflamatorio.
En su origen, el formocresol se utilizaba para momificar (fijar) completamente todo el tejido pulpar residual y el material necrótico del interior del conducto radicular, pero las técnicas actuales tienen la finalidad de crear una capa de fijación muy superficial al tiempo de, además, preservar la vitalidad de la pulpa radicular más profunda. La pulpotomía contemporánea está explícitamente contraindicada cuando existen pulpitis radicular o necrosis pulpar.
El formocresol se aplica en el lugar de la pulpotomía con una bolita de algodón. Antes de aplicarlo, debe eliminarse de la bolita todo exceso de material. Normalmente, el tiempo de aplicación recomendado es de 5 minutos, pero el tiempo de contacto de sólo unos segundos puede que sea igual de eficaz. Conviene limitar tanto la dosis como el tiempo de contacto y el formocresol sólo debe aplicarse en el lugar de la pulpotomía tras haber conseguido la hemostasia, no aplicándose jamás en tejidos sangrantes.
En 2004, la Agencia Internacional de Investigación sobre el Cáncer (IARC) concluyó que la exposición crónica a niveles elevados de formaldehído produce cáncer nasofaríngeo en humanos. Cuando se evalúan los riesgos potenciales del uso clínico de formocresol es necesario considerar la farmacocinética del formaldehído. El formaldehído es un importante intermediario en el metabolismo celular normal. Sirve como bloqueador para la síntesis de purinas, pirimidinas, muchos aminoácidos y lípidos, y también es una molécula clave en el metabolismo de los monocarbonados. El formaldehído endógeno está presente a bajos niveles en los líquidos corporales, con una concentración de 2-3 mg/l en la sangre humana. La aplicación de formocresol implica la absorción sistémica de formaldehído pero el formaldehído absorbido se metaboliza rápidamente a formato y dióxido de carbono con una vida media de 1-2 minutos. En la actualidad, el uso que se realiza de formocresol en odontología se encuentra dentro de los límites permitidos y de los límites de exposición a corto plazo del formaldehído. El formaldehído no se bioacumula.
Sulfato férrico
El sulfato férrico se utiliza con frecuencia en odontología como agente hemostático. Inicialmente se utilizó en las pulpotomías como coayuda a la hemostasia antes de colocar el hidróxido de calcio. No obstante, como agente terapéutico independiente, la pulpotomía con sulfato férrico tiene una tasa de éxito del 74-99%. Se cree que el sulfato férrico reacciona con el tejido pulpar y forma una capa protectora superficial de complejo hierroproteína. El principal modo de fracaso está relacionado con la reabsorción interna.
El sulfato férrico se aplica sobre los muñones pulpares (lugar de la pulpotomía) con un microcepillo durante 15 segundos y después se enjuaga con agua y se seca. El sangrado persistente tras la aplicación de sulfato férrico es un indicativo para llevar a cabo la pulpectomía o la extracción.
Según el criterio de la Worksafe Australia, el sulfato férrico es un líquido corrosivo peligroso, con potencial para causar lesiones graves ya que se descompone formando ácido sulfúrico que puede provocar quemaduras de tejidos superficiales. Su uso debe limitarse al lugar de la pulpotomía.
Electrocirugía
La electrocirugía utiliza energía de radiofrecuencia para producir una quemadura tisular superficial controlada y tiene carácter hemostático y antibacteriano. Un exceso de energía o de tiempo de contacto provoca una quemadura profunda de tejido, con necrosis de la pulpa radicular y la reabsorción subsiguiente de la raíz interna. La pulpotomía electroquirúrgica cuenta con una tasa de éxito del 70-94%.
La unidad de electrocirugía debe ponerse en el modo de coagulación y con una baja potencia de fraguado. Se aplica una bola pequeña o punta de extremo redondeado en el lugar de la pulpotomía y se activa brevemente, anegándose de inmediato la zona con agua para retirar el exceso de calor. Cada muñón pulpar se trata por orden y en caso necesario, se puede repetir la electrocoagulación para controlar el sangrado persistente hasta un tiempo de aplicación acumulado total de 2 segundos. El sangrado persistente después de este tiempo es un indicativo para llevar a cabo la pulpectomía o la extracción.
El equipamiento electroquirúrgico tiene potencial para interferir con marcapasos y cualquier dispositivo electrónico implantado. El paciente debe conectarse a tierra con una placa dispersiva para evitar las quemaduras por descarga (pudiendo afectar las extremidades) y a cierta distancia del campo quirúrgico. El equipamiento electroquirúrgico debe instalarse, mantenerse y utilizarse siguiendo las instrucciones del fabricante.
Agregado trióxido mineral
El MTA es una mezcla de silicato tricálcico, óxido de bismuto, silicato dicálcico, aluminato tricálcico y sulfato de calcio, y químicamente resulta similar a la mezcla de cemento estándar. El polvo del MTA reacciona con agua formando una pasta altamente alcalina (pH = 13) durante la fase de fraguado, tras lo que se convierte en una masa inerte. Las tasas de éxito clínico de la pulpotomía con MTA se asemejan a las del formocresol y el sulfato férrico.
El polvo del MTA se mezcla con agua inmediatamente antes de utilizarlo. La pasta resultante se aplica en el lugar de la pulpotomía utilizando un portador patentado o un instrumento plástico y se deja in situ para que fragüe y se recubre con una base adecuada antes de restaurar el diente. La pasta sólo debe aplicarse tras conseguir la hemostasia. El sangrado persistente del lugar de la pulpotomía es un indicativo para llevar a cabo la pulpectomía o la extracción.
La exposición al polvo del MTA puede causar irritación respiratoria, daño ocular e irritación dérmica. El polvo seco en contacto con la piel húmeda o su exposición a la humedad o a un material húmedo pueden causar efectos dérmicos graves como las quemaduras químicas que se producen durante el fraguado, como consecuencia de su naturaleza cáustica. Las personas expuestas pueden no sentir molestias hasta horas después de la exposición y para entonces ya pueden haberse producido lesiones de consideración. Asimismo, el material reparador de conductos radiculares ProRoot MTA también puede contener cantidades mínimas de sílice cristalino libre, y una exposición prolongada al sílice cristalino libre respirable puede agravar enfermedades pulmonares y provocar alguna lesión pulmonar retardada, como la silicosis (enfermedad pulmonar discapacitante y potencial mente mortal) y/u otras enfermedades. Finalmente, la IARC considera el sílice como un carcinógeno humano conocido.
Diente permanente inmaduro
El objetivo de la pulpotomía en el diente permanente inmaduro es amputar la pulpa coronal inflamada y preservar la vitalidad de la pulpa remanente para promover la apexogénesis (v. cap. 5). La apexogénesis afecta al desarrollo normal continuado de la pulpa radicular bajo la zona de la pulpotomía, lo que da lugar a una longitud normal de la raíz, a un grosor normal de la dentina radicular y al cierre apical. La apexogénesis optimiza la anatomía y la fuerza de la raíz. El principal riesgo de la apexogénesis es el potencial para la calcificación pulpar distrófica en el caso de requerirse una pulpectomía posterior. Las propiedades biomecánicas de la raíz son más favorables después de la apexogénesis que después de la apexificación, pero la apexificación resulta ser la única opción una vez producida la necrosis pulpar en el diente permanente inmaduro.
A diferencia de la dentición temporal en la que la pulpotomía siempre se realiza en el área del suelo pulpar, una pequeña exposición cariosa del cuerno pulpar de un diente permanente puede tratarse mediante una pulpotomía superficial de sólo 1-2mm, basándose en la pulpotomía de Cvek. Ahí donde hay una gran exposición, o bien múltiples lugares de exposición, se requiere una profunda pulpotomía para la apertura de los conductos radiculares. El lugar de exposición se irriga continuamente hasta que se produce la hemostasia, tras lo cual se aplica el medicamento terapéutico, que puede ser polvo o pasta de hidróxido de calcio o MTA. También puede utilizarse la pasta de antibióticos/corticoides.
Criterios clínicos
- Exposición pulpar cariosa.
- Diente asintomático pero con posibilidad de un dolor episódico benigno.
- La radiografía preoperatoria confirma la presencia de raíces inmaduras con ápices abiertos.
- Ausencia de afectación radicular.
- Diente restaurable.
Técnica
- Control del dolor y aislamiento con dique de goma.
- Eliminación completa de la caries.
- Eliminación del techo de la cámara pulpar.
- Amputación de la pulpa coronal, en la zona superficial o en la profunda para la apertura del conducto radicular.
- Detención del sangrado en el lugar de amputación.
- Aplicación del medicamento terapéutico (hidróxido de calcio o MTA).
- Colocación de la base directamente sobre el medicamento terapéutico (material de restauración intermedio o Cavit).
- Restauración del diente con un sellado coronal adecuado.
- Evaluación radiográfica regular.
Pulpectomía
Dientes temporales
La pulpectomía es la eliminación completa de todos los tejidos pulpares del diente y sólo puede considerarse para dientes temporales con las raíces intactas. Cualquier prueba de reabsorción de la raíz es indicativa para la extracción. Las infecciones graves, incluyendo la celulitis facial aguda asociada a dientes temporales, no responden bien a la pulpectomía, en cuyo caso se suele recomendar, como norma general, la extracción.
Aunque la morfología del conducto radicular de los incisivos temporales es relativamente sencilla, la morfología del conducto radicular de la raíz de los dientes temporales multirradiculares es más compleja que la de los dientes permanentes, con aletas, ramificaciones y comunicaciones intercanaliculares y estos factores anatómicos inhiben el desbridamiento químico-mecánico completo del espacio del conducto radicular. El ápice anatómico puede estar hasta 3 mm más arriba que el ápice radiográfico y, con frecuencia, está situado en la superficie lateral de la raíz, dificultando la longitud de trabajo real. La sobreinstrumentación del conducto radicular del diente temporal puede dañar el diente permanente subyacente. La medición electrónica del conducto radicular puede ayudar a localizar el ápice anatómico de un diente temporal.
La obturación del espacio del conducto radicular de un diente temporal no debe influir en la exfoliación normal del sucesor permanente y requiere una pasta reabsorbible de relleno de la raíz. La excepción a este empleo es la conservación planeada de un diente temporal que no tiene sucesor permanente. Los materiales adecuados para la obturación incluyen el cemento de óxido de zinc-eugenol reforzado, la pasta de hidróxido de calcio y la pasta de yodoformo.
La pulpectomía vital en incisivos temporales tiene más éxito que la pulpotomía con sulfato férrico.
Indicaciones para la pulpectomía en dientes temporales
- Necrosis pulpar en cualquier diente temporal o exposición cariosa de un incisivo temporal vital.
- Diente restaurable.
- La radiografía preoperatoria confirma la raíz intacta no reabsorbida.
- Se requiere retención del diente.
Técnica
- Control del dolor y aislamiento con dique de goma.
- Eliminación completa de caries.
- Limpieza químico-mecánica y preparación del conducto radicular, poniendo atención en no forzar ni los instrumentos ni los desechos más allá del ápice anatómico. Irrigación copiosa con hipoclorito sódico.
- Obturación con una pasta reabsorbible.
- Restauración para asegurar un sellado coronal adecuado.
- Evaluación radiográfica regular.
Dientes permanentes inmaduros
La inmadurez dental se define por la falta de cierre apical. Los molares permanentes inmaduros necróticos tienen un mal pronóstico a largo plazo y, salvo en circunstancias excepcionales, se precisa la extracción de estos dientes (v. cap. 11, Extracción de los primeros molares permanentes). No obstante, y por razones conductuales, la retención de estos dientes se considera importante para el desarrollo alveolar y facilita el subsiguiente tratamiento ortodóncico mediante la sujeción del espacio hasta el tiempo óptimo para la extracción.

Por definición, estos dientes ya han perdido cantidades significativas de estructura dental debido a la caries y el tratamiento endodóncico debilitaría un diente ya comprometido además de requerir apexificación durante muchos años (v. cap. 7) y conllevar importantes retos operatorios (ej. aislamiento, obturación, restauración).
Las tablas 6.1 y 6.2 resumen las opciones de tratamiento para dientes temporales y dientes permanentes inmaduros.
