Tratamiento de los traumatismos
Introducción
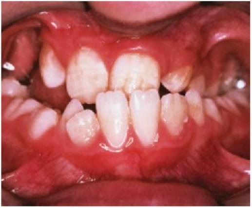
El tratamiento de los traumatismos dentoalveolares, que suele resultar angustioso para los niños y para los padres (fig. 7.1), con frecuencia resulta también difícil para el especialista, si bien se encuentra entre las causas más habituales de visita del niño al odontopediatra. La urgencia del paciente debe constituir una rutina para el especialista y siempre debe elaborar se un exhaustivo examen del niño antes de comunicar a los padres las eventuales necesidades de tratamiento, pues muchos casos podrían carecer de la gravedad que parecía en un principio. Ante todo, se debe tranquilizar tanto a los padres como al niño, pues un traumatismo no sólo compromete una dentición sana, sino que puede también ocasionar un defecto que afecte a la autoestima y a la calidad de vida del paciente y le obligue a un mantenimiento odontológico de por vida.

Directrices para el tratamiento de las lesiones dentales
La Asociación Internacional de Traumatología Dental publicó en 2007 una serie de directrices con recomendaciones para el tratamiento de lesiones dentales que parten de la revisión de la literatura existente y de opiniones consensuadas en este campo. Estas directrices ofrecen la mayoría de las opiniones de los especialistas y de las pruebas publicadas en esta área. Según se refleja en las directrices, no existe garantía de éxito y el especialista reconocerá de inmediato que resulta imprescindible contar con el juicio clínico pertinente para cada caso. Las últimas recomendaciones de estas directrices se irán actualizando conforme se vayan publicando estudios adicionales sobre esta materia.
Etiología
La mayoría de las lesiones se deben a caídas y a accidentes durante el juego y las lesiones de luxación en dientes anteriores superiores son las que predominan en niños pequeños debido a sus frecuentes caídas durante los juegos y a sus intentos de caminar. Por lo general, las lesiones son más frecuentes en chicos y los traumatismos contusos suelen causar mayor daño en los tejidos blandos y en las estructuras de soporte, mientras que las lesiones incisas o los traumatismos a gran velocidad causan luxaciones y fracturas de dientes.
Factores predisponentes
- Maloclusión de clase II división 1.
- Resalte de 3-6 mm: duplica la frecuencia de los traumatismos en los incisivos en comparación con los resaltes de 0-3 mm.
- Resalte >6mm: el riesgo se triplica. El estudio de la tabla 7.1 de Hall (1994), del Royal Children’s Hospital de Melbourne, demuestra que la mayoría de las lesiones se deben a caídas y accidentes durante el juego. En gran medida y aunque sólo representan el 1 % del total de las lesiones, más del 80% de los casos de maltrato infantil ocurren en la infancia más temprana.

Frecuencia
- El 11-30% de los niños sufren traumatismos en la dentición temporal. Esta cifra podría representar hasta el 20% de todas las lesiones en niños en edad preescolar.
- El 22% de los niños sufren traumatismos en la dentición permanente sobre los 14 años de edad.
- La proporción niños-niñas es de 2:1.
- El pico de incidencia es de 2-4 años de edad y vuelve a ascender a los 8-10 años de edad.
- Los dientes anterosuperiores son los afectados con mayor frecuencia.
- Normalmente afectan a un solo diente, excepto en los casos de accidentes con vehículos a motor y lesiones deportivas.
Las mordeduras de perros representan un número de lesiones considerable y cada año varios niños son víctimas mortales de perros. Lo habitual es que el perro le sea familiar al niño pero deberían ponerse medidas para no alterar al animal y vigilar a los niños cuando estén con animales, incluso con los más tímidos.
Maltrato infantil
Se define maltrato infantil a aquellos actos u omisiones de cuidados que privan a un niño de la oportunidad de desarrollar por completo su potencial único como persona tanto en el plano físico como emocional y social. Existen cuatro tipos de maltrato infantil:
- Abuso físico.
- Abuso sexual.
- Abuso emocional.
- Abandono.
El descuido dental es la falta de voluntad por parte de un padre o tutor para que el niño acceda al tratamiento de las afecciones orofaciales. Estas afecciones, de no ser tratadas, podrían afectar de forma muy desfavorable al crecimiento y desarrollo normales del niño.
Se desconoce la incidencia real de maltrato y abandono infantiles, y aunque se ha producido un aumento en la concienciación y las denuncias, los especialistas siguen siendo reacios a tratar el tema. El primer paso para la prevención de abusos es el reconocimiento y la denuncia, de manera que los especialistas se encuentran en una posición estratégica para reconocer y denunciar el maltrato a niños, ya que suelen ver a los padres/cuidadores interactuar con los pequeños durante múltiples visitas y en largos períodos de tiempo.
La región orofacial sufre la mayor afectación de traumatismos durante los episodios de maltrato infantil (fig. 7.2) y estos traumatismos no accidentales tienen como resultado diferentes tipos de lesiones, como las lesiones que no concuerdan con el relato ofrecido, los hematomas en tejido blando que no cubren prominencias óseas, las lesiones que adquieren la forma de un objeto reconocible o la multitud de lesiones que aparecen en el mismo niño a diferentes edades; asimismo, las marcas de mordeduras en niños se consideran maltrato infantil hasta que se prue be lo contrario. Para establecer la adecuada notificación, tratamiento y prevención de más lesiones, deben ser del total conocimiento del especialista tanto las características y las conclusiones del diagnóstico de maltrato infantil como el protocolo para denunciar tales hechos.
Siempre que las lesiones no concuerden con la versión de los hechos, se investigará un posible caso de abuso en el paciente. En ciertos países existe la obligación legal de denunciar las sospechas de maltrato infantil y de agresión sexual, y en Australia, por ejemplo, los equipos de maltrato infantil se encuentran disponibles en todos los hospitales pediátricos o a través de los departamentos de familia y servidos comunitarios.

Historia
Dado que las lesiones dentales pueden ser objeto de litigios o de reclamaciones al seguro, debe realizarse de forma obligatoria tanto un examen como una historia rigurosos del paciente y, siempre que sea posible, deberán fotografiarse las lesiones. Una correcta histo ria ofrece información relevante en cuanto a:
- Estado de la dentición en la presentación.
- Pronóstico de las lesiones.
- Otras lesiones sufridas.
- Complicaciones médicas.
- Posible litigio.
Preguntas que es necesario plantear
- ¿Cuándo se produjo el traumatismo?
- ¿Cómo se produjo el traumatismo?
Exploración
La exploración debe llevarse a cabo siguiendo un orden lógico. Resulta importante examinar todo el cuerpo, pues el paciente podría presentarse en primer lugar en la consulta del especialista dental pero haber sufrido otro tipo de lesiones (fig. 7.3 y v. cap. 1).

Exploración del traumatismo y los registros
- Heridas extraorales y palpación del esqueleto facial (fig. 7.4).
- Lesiones en la mucosa oral o gingival.
- Palpación de los alveolos.
- Desplazamiento de dientes.
- Anomalías en la oclusión.
- Extensión de las fracturas dentales, exposición de la pulpa, cambios de color.
- Movilidad de los dientes.
- Reacción a las pruebas de sensibilidad pulpar y a la percusión.

Lesiones cefálicas
Los traumatismos craneales cerrados son la causa más común de mortalidad infantil accidental, y entre un 25 y un 50% de todos los accidentes de niños de hasta 14 años afectan a la cabeza. El menor indicio de haber sufrido una lesión cefálica debe conllevar un examen inmediato del niño, preferentemente en un departamento de urgencias pediátricas.
Signos del traumatismo craneal cerrado
- Alteración o pérdida de la consciencia.
- Sangrado de la cabeza o de los oídos.
- Desorientación.
- Cefaleas prolongadas.
- Náuseas, vómitos, amnesia.
- Alteración de la visión o dilatación pupilar unilateral.
- Crisis o convulsiones.
- Dificultades en el habla.
Las lesiones dentoalveolares se examinarán en segundo lugar si el sistema nervioso central está afectado. Ante cualquier pérdida de consciencia, se deberán realizar observaciones neurológicas cada hora (v. Apéndice S). Los servicios de urgencias y de traumatología utilizan normalmente la escala de coma de Glasgow para evaluar la gravedad y pronóstico de las lesiones cefálicas (v. Apéndice L).
Examen
Radiografías
Por supuesto, tras el minucioso estudio se solicitarán radiografías. Las radiografías extraorales son de gran utilidad en niños pequeños, por ejemplo, radiografías panorámicas, ya que en los casos de niños muy alterados o difíciles puede resultar la única forma de obtener cierta información clínica en la fase aguda de tratamiento.
En el caso de las radiografías periapicales, deberán tomarse varias proyecciones de cada uno de los dientes traumatizados para determinar con exactitud la presencia de fracturas de raíz y luxaciones dentales. Como base, deben obtenerse radiografías de todos los dientes que han sufrido un traumatismo a fin de evaluar:
- Estado del desarrollo de la raíz.
- Lesiones en la raíz y en las estructuras de soporte.
Guía para la prescripción de radiografías
Lesiones dentoalveolares
- Oclusal maxilar anterior u oclusal mandibular anterior.
- Radiografía panorámica.
- Lateral estricta de maxilar para las luxaciones intrusivas de los dientes anteriores.
Fractura condílea
- Radiografía panorámica, a boca abierta y boca cerrada.
- Tomografía de haz cónico o tomografía computarizada (TC).
- Inversa de Townes.

Fractura mandibular
- Radiografía panorámica.
- Lateral estricta de mandíbula y oclusal mandibular anterior.
- Lateral oblicua (infrecuente hoy en día).
Fracturas maxilares
- TC.
Las nuevas tecnologías de imagen han sustituido a las imágenes antiguas, como la lateral oblicua, la proyección de Townes y Waters inversa (occipitomentoniana 30°). Mientras que dichas radiografías pueden ser eficaces en casos concretos, la práctica contemporánea demanda el uso de la TC o de la tomografía de haz cónico para una evaluación acertada de las fracturas del tercio medio en niños.
Pruebas de valoración de la pulpa
Las pruebas de valoración de la pulpa ofrecen una medición inicial fundamental del estado pulpar. Suele suceder que las respuestas iniciales de la presentación sean inexactas; por tanto, deben recopilarse todos los resultados para una comparación posterior. También resulta frecuente que a los niños pequeños les cueste discriminar entre el toque del instrumento de prueba y el estímulo real propiamente dicho, por lo que el especialista debe tener en cuenta los resultados falsos. En aquellos casos de difícil diagnóstico, podría requerirse el aislamiento de dientes individuales mediante el dique de goma.
Prueba de sensibilidad pulpar
La sensibilidad pulpar está relacionada con la valoración del estado de salud pulpar. La tradicionalmente denominada «prueba de vitalidad» destaca el hecho de que los componentes neurales y vasculares del tejido pulpar precisan un estudio individual, ya que un diente puede no responder a una prueba térmica, pero puede tener un aporte sanguíneo intacto.
Tal discriminación de la salud de los elementos pulpares tendrá importancia en el momento de planificar el tratamiento.
Sensibilidad térmica
Las respuestas a estímulos fríos ofrecen las pruebas más fiables y precisas en niños (incluso con dientes inmaduros). El lápiz de dióxido de carbono se considera el más adecuado, aunque también es el más caro. También puede utilizarse un spray de cloruro de etilo o hielo.
La estimulación térmica fría presenta también la ventaja de facilitar la evaluación de la pulpa bajo coronas temporales y férulas.
Estimulación eléctrica
La estimulación eléctrica puede ofrecer una respuesta gradual a los estímulos, si bien, el valor de la estimulación eléctrica resulta equívoco en niños pequeños. Cuando se utilicen estos instrumentos, el reóstato debe incrementarse lentamente para evitar la estimulación aversiva dolorosa del diente.
Percusión
Hay dos razones para percutir dientes:
- La sensibilidad en respuesta a la percusión informa sobre la extensión del daño en los tejidos apicales. Es preciso recordar que la percusión de dientes luxados será, por lo general, dolorosa.
- El sonido en respuesta a la percusión es también un indicador importante de la posibilidad de anquilosis.
Transiluminación
Se trata de una técnica muy eficaz y no invasiva para evaluar la presencia de grietas y/o fracturas, así como de alteraciones imperceptibles en el color de las coronas que podrían indicar cambios en el estado pulpar.

Otras consideraciones en el tratamiento de los traumatismos
Tras realizar la cuidadosa evaluación del paciente, el único tratamiento que procede sería reconfortar al niño y a los padres, y conversar sobre las posibles secuelas como la necrosis pulpar, la reabsorción de dientes intruidos o la tumefacción facial.
Requisitos de ayuno
Cuando el paciente requiere un tratamiento extenso bajo anestesia general, se deben comprobar los detalles del ayuno. Un niño mayor de 6 años deberá ayunar de sólidos o líquidos durante al menos 6 horas. Los niños menores de 6 años deberán ayunar de sólidos durante 6 horas y de líquidos durante 2 horas.
Inmunizaciones
Si un niño ha sufrido una lesión que implique la contaminación de la herida con tierra, sobre todo en un área agrícola, se determinará su estado de inmunización frente al tétanos, pero si el niño ha completado su calendario de inmunizaciones, no se requieren dosis de refuerzo en circunstancias normales (v. calendarios de vacunación en el Apéndice F).
Lesiones maxilofaciales
Las fracturas de los huesos faciales no son habituales en niños y representan menos del 5% del total de las fracturas maxilofaciales. En consecuencia, pocos cirujanos presentan una vasta experiencia en esta área, si bien el enfoque que hagan de estos casos deberá valorar las implicaciones de dichas lesiones en el crecimiento del niño (fig. 7.7).

Principios del tratamiento
El tratamiento de los traumatismos maxilofaciales en un niño es complicado debido a la presencia de dentición que no ha erupcionado, a la ansiedad, a las consideraciones derivadas del crecimiento y, por último, a la asociación habitual de traumatismos craneales cerrados que pueden retrasar el tratamiento completo. El uso de fijaciones internas como miniplacas y tornillos debe hacerse con cautela para no perjudicar el desarrollo de los gérmenes dentarios y la fijación intermaxilar; con la posible combinación con alambres transóseos, es bien tolerada por los niños. Se pueden utilizar las barras de arco como fijación dental, pero las férulas de plata sobrepuestas son las que se utilizan con más frecuencia de una forma eficaz. Con una adecuada reducción, fijación e inmovilización, así como un tratamiento antibiótico profiláctico y un estricto cuidado oral, las fracturas se unen en 3 semanas. No existe apenas constancia de la no unión o la unión fibrosa.
Mandíbula fracturada
La mayoría de las fracturas de mandíbula afectan a la región parasinfisaria, debido a la posición de los caninos no erupcionados y al cuello del cóndilo, bien de forma aislada o en combinación.
Signos clínicos
- Dolor, hinchazón.
- Trismo.
- Discrepancias oclusales.
- Escalonamiento en el borde inferior.
- Equimosis sublingual/bucal (fig. 7.8).
- Asimetría del mentón.
- Parestesia de la distribución nerviosa mentoniana.

Tratamiento
- Reducción y fijación con barras de arco y fijación intermaxilar elástica o con alambres.
- Las férulas pueden cementarse con ionómero de vidrio o con cemento de cobre negro o retenido con alambres circunmandibulares.
Fracturas condíleas
Puede que las fracturas del cóndilo mandibular se infradiagnostiquen en niños, pero suponen hasta dos tercios del total de las lesiones mandibulares y por lo general, suelen producirse por un traumatismo en el borde inferior del mentón. Si se produce una fractura subcondílea, la cabeza del cóndilo se desplaza de forma anteromedial por acción del músculo pterigoideo lateral. Dependiendo del desplazamiento de los fragmentos y de la postura compensatoria de la mandíbula, podría producirse una desviación del mentón hacia el lado afectado, no producirse desarmonías oclusales y quizá un sangrado desde el meato externo, debido a la perforación con la cabeza del cóndilo de la pared anterior del conducto auditivo (v. fig. 7.7C, D). Un otorrinolaringólogo deberá estudiar el sangrado o la secreción desde el oído, pero está contraindicada la succión del meato externo debido a la potencial alteración de la cadena osicular, que podría ocasionar la perforación de la membrana timpánica. Se ha citado algún caso de desplazamiento de la cabeza del cóndilo hacia la fosa craneal media pero es infrecuente.
Tratamiento
El tratamiento es casi siempre conservador, con un corto período de descanso seguido de movimiento activo para prevenir la anquilosis de la unión temporomandibular. Las fracturas que implican el colapso vertical del cóndilo y del fragmento distal se han tratado con éxito con aparatos funcionales que permiten un mejor remodelado durante un período igual o superior de 2-3 semanas. Las fracturas subcondíleas bilaterales podrían suponer un desplazamiento considerable y una mordida abierta anterior. Es conveniente indicar un corto período de fijación intermaxilar con bloques de mordida posteriores para obtener la distracción de los fragmentos y utilizar toxina botulínica en las zonas de gran desplazamiento de la cabeza del cóndilo (o en casos graves de fractura biteral), para paralizar el músculo pterigoideo lateral, aliviar el espasmo en dicho músculo y minimizar el desplazamiento de la fractura.
Debido a que el cuello del cóndilo es relativamente más ancho en los niños y tiene un volumen mayor de hueso esponjoso, las fracturas de la superficie articular son más habituales que en los adultos. En los casos de fractura intracapsular (figs. 7.5, 7.9), el seguimiento durante años permite detectar cualquier alteración de su crecimiento, y en los casos en que aparezca una limitación de la apertura o una anquilosis franca, se recomienda una intervención temprana con un injerto costocondral.

Fracturas maxilares
Las fracturas del tercio medio son infrecuentes en niños y se suelen presentar con otras lesiones maxilofaciales y craneales graves. Las fracturas del tercio medio facial no suelen seguir las «líneas Le Fort» típicas, porque las suturas craneofaciales no están cerradas y exis te la tendencia a producirse fracturas en tallo verde.
Signos clínicos
- Tumefacción facial y equimosis periorbitaria (fig. 7.10).
- Enfisema quirúrgico periorbitario.
- Hemorragia subconjuntival sin límite posterior.
- Diplopia con o sin atrapamiento del músculo ocular inferior.
- Deformidades del contorno orbital.
- Movilidad del tercio medio facial.
- Parestesia infraorbitaria (fig. 7.11).
- Rinorrea del líquido cerebroespinal y epistaxis.
- Discrepancias oclusales.
- Escalonamiento cigomático y/u orbitario.

Tratamiento
- El tratamiento conservador es el más utilizado, salvo que exista un desplazamiento del complejo maxilar.
- Las fracturas maxilares simples se tratan con férulas sobrepuestas o barras de arco con fijación intermaxilar.
- Con un desplazamiento considerable del complejo mediofacial, podría requerirse la fijación semirrígida interna o bien la fijación extraoral.
Secuelas de las fracturas de mandíbula en niños
Traumatismo craneal cerrado
Los niños que sufren lesiones del tercio medio suelen tener lesiones craneales concomitantes. Las lesiones craneales se presentan en el 25% de los casos de traumatismo facial, y los niños que las sufren pasan mucho tiempo en las unidades de cuidados intensivos, sufren cambios de personalidad, amnesia postraumática y pueden tener episodios de masticación neuropatológica.
Pérdida de dientes
Aproximadamente el 10% de los niños que sufren fracturas mandibulares perderán también dientes permanentes.
Defectos de desarrollo del esmalte
Además del daño causado por el desplazamiento de los dientes temporales dentro de las criptas de los sucesores permanentes (v. Secuelas de los traumatismos de los dientes temporales más adelante en este capítulo), pueden verse dañados los dientes no erupcionados que se encuentran en la línea de las fracturas de la mandíbula. Los defectos pueden incluir:
- Hipoplasia o hipomineralización del esmalte.
- Dislaceración de la corona y las raíces.
- Desplazamiento del diente en desarrollo dentro del hueso.
- Detención del desarrollo del diente, con obliteración del conducto pulpar.
Daño intraarticular en la articulación temporomandibular
Siempre existe riesgo de anquilosis de la articulación temporomandibular tras un desplazamiento considerable de la cabeza del cóndilo, una fractura intracapsular o el fallo de una movilización temprana de la articulación. El tratamiento de la anquilosis implica una condilectomía y la reconstrucción de la articulación con un injerto costocondral en la infancia tardía.
Retraso en el crecimiento
El retraso en el crecimiento maxilar (fig. 7.12) y mandibular puede aparecer cuando se ha producido un traumatismo de importancia. La cicatrización considerable de tejidos blandos y/o la pérdida de tejido puede inhibir el crecimiento mandibular, y una fractura subcondílea puede igualmente producir una asimetría mandibular con escotadura antegoníaca en el lado afectado. La clave del tratamiento está en corregir las asimetrías de forma temprana para evitar una deformidad secundaria en el maxilar.

Luxaciones en la dentición temporal
Consideraciones generales del tratamiento
Existe un consenso general en cuanto a que la mayoría de las lesiones en la dentición temporal pueden tratarse de forma conservadora y curarse sin ninguna secuela.
Inmunización
Si el niño no está completamente inmunizado, se requiere una dosis de refuerzo frente al tétanos: 0,5 mi de toxoide tetánico mediante inyección intramuscular inmediata (v. calendarios de vacunación, Apéndice F).
Antibióticos
A menos de existir lesiones de tejidos blandos o dentoalveolares significativas, por lo general no se precisa el uso de antibióticos. Los antibióticos se prescriben de forma empírica como profilaxis frente a infecciones, pero no sustituyen al correcto desbridamiento de las heridas. Todos los medicamentos deberán prescribirse en función del peso del niño (v. Apéndice M).
Luxaciones
Hasta los 2 años de edad, las lesiones más frecuentes en dientes temporales son las luxaciones con desplazamiento de dientes dentro del hueso alveolar.
Concusión y subluxación
La concusión es una lesión del diente y del ligamento sin desplazamiento ni movilidad del diente. La subluxación tiene lugar cuando el diente se mueve pero no se ha desplazado. Ambas implican un daño menor en el ligamento periodontal. Estos dientes se caracterizan por ser sen sibles a la percusión, así como por sufrir hemorragia y edema dentro del ligamento, si bien el sangrado gingival y la movilidad sólo se producen cuando los dientes se han subluxado.

Tratamiento
- Radiografías periapicales como valor inicial de referencia.
- Dieta blanda durante 1 semana.
- Consejo a los padres sobre posibles secuelas, como la necrosis pulpar.
- Seguimiento individualizado.
Luxación intrusiva
Las lesiones intrusivas (v. fig. 7.11E, F) son las lesiones más comunes en los incisivos temporales superiores. Los incisivos recién erupcionados suelen recibir la fuerza completa de cualquier caída de un niño que está aprendiendo a andar. Suele haber un desplazamiento palatino y superior de la corona, lo que significa que el ápice del diente se expulsa fuera del folículo permanente.
Tratamiento
- Si la corona es visible y sólo hay daño alveolar menor, dejar que el diente reerupcione.
- Si todo el diente se ha intruido, extraerlo.
Luxación extrusiva y lateral
El tratamiento dependerá de la movilidad y la extensión del desplazamiento. En caso de una excesiva movilidad, deberá extraerse el diente.

Avulsión
- No deben reimplantarse dientes temporales avulsionados.
- Reemplazar un diente temporal avulsionado podría favorecer la aparición de un coágulo de sangre en el alveolo o el propio ápice de la raíz dentro del diente permanente en desarrollo. Otra razón considerable es la falta de cooperación por parte del paciente, pero puede haber situaciones en que los padres o cuidadores puedan reimplantar el diente y éste quede fijado como estable y viable; en estos casos, el diente podría dejarse in situ.
- No se requieren antibióticos, salvo presencia de daño considerable de tejidos blandos. La ferulización de dientes temporales traumatizados de niños pequeños puede ser complicada y una vez se hayan colocado con éxito, las férulas deberán retirarse más adelante, cuando al niño empiecen a incomodarle.
Fracturas de los incisivos temporales
Fracturas coronales sin afectación pulpar
En la mayoría de los casos y a diferencia de los dientes permanentes, los dientes temporales se desplazan más que fracturarse. El esmalte y la dentina se pueden pulir con un disco y a ser posible, la dentina debería cubrirse con cemento de ionómero de vidrio o resina composite. Asimismo, las coronas temporales pediátricas suelen resultar de gran utilidad. Una posible secuela derivada de estas fracturas es la necrosis pulpar y/o una decoloración grisácea.

Fracturas coronorradiculares complicadas
En la mayoría de las ocasiones, las fracturas de los dientes temporales afectan a la pulpa y se extienden bajo el margen gingival, y es frecuente que aparezcan múltiples fracturas en dientes individuales. En estos casos, no es posible restaurar adecuadamente el diente, por lo que habrá que extraerlo. Suele suceder que la fractura no se hace evidente de inmediato, sino que el niño se presenta varios días después del traumatismo con un pólipo pulpar que separa los fragmentos. Tal respuesta proliferativa es un mecanismo protector y no es doloroso.
Tratamiento
- La mayoría de las molestias proceden del movimiento de las piezas fracturadas del esmalte sujetas por la encía o el ligamento periodontal y en tratamientos de emergencia, deben retirarse estos fragmentos sueltos de diente.
- Lo que queda de diente puede extraerse cuando resulte más conveniente y podría requerir sedación o una anestesia general corta.
- Cuando, tras una fractura, permanece un trozo de raíz en el alveolo, puede dejarse in situ con seguridad ya que se reabsorberá a medida que el diente permanente erupcione. En estas situaciones, se precisa mantener a los padres adecuadamente informados.
Fracturas radiculares
Como se ha dicho anteriormente, cuando los niños se fracturan los incisivos temporales, suele haber una fractura del complejo coronorradicular que se extiende bajo el margen gingival, en cuyo caso está indicada la extracción. Las fracturas radiculares aisladas no son frecuentes y su tratamiento no es necesario en los incisivos temporales. Si durante una revisión regular la pulpa muestra signos de necrosis, con excesiva movilidad o formación sinusal, debe extraerse la parte coronal. Los fragmentos apicales de la raíz se eliminan en todos los casos por reabsorción conforme erupciona el diente permanente. (fig. 7.16B).
Fractura dentoalveolar
Se produce con más frecuencia en la mandíbula con los dientes anteriores desplazados hada delante con la tabla vestibular. Para mantener el contorno alveolar es conveniente recolocar los dientes con el hueso, lo que se consigue mediante la sutura con nailon grueso (2-0) que se pasa a través de las tablas vestibular y lingual del hueso. Los dientes excesiva mente móviles se deben extraer con cuidado del alveolo conservando la tabla vestibular, que es reposicionada y suturada. (fig. 7.15B).
Secuelas de los traumatismos de los dientes temporales
Los padres deben conocer de mano del especialista las secuelas de los incisivos temporales luxados o avulsionados y, aunque pueda resultar difícil predecir exactamente el pronóstico en los dientes permanentes, los padres agradecen tener alguna idea sobre los posibles resultados. En los casos que se han seguido, hasta el 25% de los niños ha terminado padeciendo algún tipo de alteración del desarrollo del diente permanente.
Los daños en la dentición permanente ocurren con más frecuencia con luxaciones intrusivas y avulsiones en niños muy pequeños. Es importante advertir a los padres de los posibles problemas con los dientes permanentes, y también asegurarles que los defectos menores se reparan con facilidad gracias a los materiales restauradores modernos. Las secuelas en la dentición permanente dependen de:
- La dirección y desplazamiento del ápice radicular temporal (fig. 7.17).
- El grado de daño alveolar.
- El estadio de formación del diente permanente.

Posibles daños en dientes temporales y permanentes
- Necrosis de la pulpa del diente temporal con decoloración grisácea y posible formación de absceso.
- Reabsorción interna del diente temporal.
- Anquilosis del diente temporal: por lo general, los dientes temporales intruidos no conseguirán erupcionar completamente, pero se exfoliarán de una forma normal. En casos excepcionales, puede precisarse la extracción justo antes de que erupcione el incisivo permanente.
- Hipoplasia (fig. 7.18E) o hipomineralización (fig. 7.18B) de dientes sucedáneos.
- La dislaceración de la corona o la raíz varía según el estadio de desarrollo (fig. 7.18C, D).
- Reabsorción del germen del diente permanente.
Opciones de tratamiento
Si el diente temporal está decolorado pero asintomático, no suele indicarse ningún tratamiento, pero de existir una preocupación estética, se puede optar por enmascarar la superficie vestibular del diente decolorado con resina composite. Si se produce un absceso, está indicada la pulpectomía o la extracción.
La hipoplasia e hipomineralización de los dientes permanentes puede restaurarse con resina composite.
La dislaceración de la corona o la raíz del diente permanente suele requerir la exposición quirúrgica y el cementado de cadenas o brackets para la extrusión ortodóncica (v. cap. 11 para los detalles del procedimiento quirúrgico). Los casos graves podrían no ser tratables, y habría que extraer esos dientes.
Fracturas coronorradiculares de los incisivos permanentes
Infracciones coronales
Fractura o fisura incompleta del esmalte sin pérdida de estructura dental. Las fracturas no cruzan la unión amelodentinaria y, por lo general, requieren transiluminación o luz indirecta para poder visualizarse (fig. 7.6).
Tratamiento
- Prueba de sensibilidad pulpar.
- Radiografías periapicales.
Revisión
- Prueba de sensibilidad pulpar a los 3 y 12 meses.
- Radiografías a los 12 meses.
Fracturas adamantinas y amelodentinarias no complicadas
Las fracturas no complicadas se limitan al esmalte o al esmalte y la dentina, pero no afectan a la pulpa. La presentación más habitual es una fractura oblicua de los ángulos mesial o distal de un incisivo.
Tratamiento
- Radiografías periapicales iniciales y pruebas de sensibilidad pulpar. Pueden requerirse varias angulaciones a fin de excluir otras lesiones.
- Fracturas sólo adamantinas: pulir los bordes afilados con un disco o restaurar con resina composite, en caso necesario.
- Fracturas amelodentinarias: cubrir la dentina con cemento ionómero de vidrio y restaurar la corona con resina composite en el momento de su visualizacíón o en una posterior revisión.
Revisión
- Prueba de sensibilidad pulpar a las 6-8 semanas y luego a los 12 meses.
- Radiografías en cada revisión.
El diente muy inmaduro manifiesta una exposición pulpar cuestionable, por tanto puede estar indicada una pulpectomía de Cvek electiva (v. más adelante) que asegurará el desarrollo normal del ápice y prevendrá la necesidad de cualquier procedimiento endodóncico del ápice abierto (apexificación).
Pronóstico
Necrosis pulpar tras una fractura proximal extensiva:
- Sin recubrimiento protector de la dentina: 54%.
- Con recubrimiento de la dentina: 8%.
Fracturas coronales com plicadas
- Fracturas que afectan al esmalte, a la dentina y exponen la pulpa.
- Implica la laceración y exposición de la pulpa al entorno oral.
- La cicatrización no se produce de forma espontánea, y las exposiciones no tratadas derivarán en necrosis pulpar.
El tiempo transcurrido desde la lesión y el estadio de desarrollo de la raíz condicionarán el tratamiento. Si el diente es tratado dentro de las horas de exposición, lo apropiado es un tratamiento conservador y si, tras varios días aparecen microabscesos dentro de la pulpa, se requiere una opción más radical: una amputación pulpar.

Tratamiento
- Radiografías periapicales en diferentes angulaciones.
- Se intenta preservar el tejido pulpar vital no inflamado y separado biológicamente por una barrera de tejido duro (Cvek 1978).
En la mayoría de las situaciones, si el tejido pulpar se puede cubrir con un revestimiento de hidróxido de calcio, podría formarse un puente de dentina sobre el defecto. Indudablemente, es preferible preservar la vitalidad del diente a comenzar un tratamiento del conducto radicular.
Ápice radicular incompleto con pulpa vital
Pulpectomía de Cvek (apexogénesis)
El procedimiento de pulpectomía de Cvek implica la eliminación del tejido pulpar contaminado con una fresa de diamante redonda y limpia a alta velocidad, utilizando irrigación con suero salino o agua. Un hidróxido de calcio sin fraguar se coloca directamente sobre el tejido vital no contaminado (v. paso 4 más adelante). Los pasos son los siguientes:
- Anestesia local.
- Es obligatorio el uso del dique de goma.
- La pulpa se irriga con suero salino hasta que se detiene la hemorragia. Todo coágulo se enjuagará suavemente para retirarlo.
- Se coloca el hidróxido de calcio no fraguado sobre la pulpa remanente y, posteriormente, se recubre de nuevo con un hidróxido de calcio fraguado. Se precisa imperativamente que el hidróxido de calcio se coloque sobre tejido vital y nunca sobre un coágulo sanguíneo.
- La base de cemento de ionómero de vidrio se coloca sobre los revestimientos y el diente se restaura con resina composite.
Esta técnica no necesita limitarse a la pulpa coronal y se puede realizar una «pulpotomía parcial» en cualquier zona del conducto radicular, ya que preservar la vitalidad de los incisivos traumatizados proporciona inmensos beneficios.

Revisión
- A las 6-8 semanas, y después a los 12 meses con pruebas de sensibilidad pulpar.
- Radiografías en las revisiones para comprobar la formación de la barrera de tejido duro y el desarrollo continuado de la raíz (fig. 7.22).

Pronóstico
- Tasas de éxito: 80-96%.
Ápice radicular incompleto con necrosis pulpar
Cuando la pulpa de un diente con una complicada fractura coronal está necrótica, se requiere su extirpación así como el tratamiento del conducto radicular. Aunque en el pronóstico no hay diferencia entre la obturación radicular de los dientes inmaduros en comparación con los maduros, la supervivencia a largo plazo de cualquier diente con un ápice abierto es bastante reducida. La causa es la delgada dentina cervical y una raíz acortada que convierten al diente en susceptible de fracturarse no solamente durante los procedimientos endodóncicos, sino también durante su funcionamiento. El tratamiento endodóncico de los dientes anteriores inmaduros es complicado debido a la incapacidad de crear un tope apical, a las finas paredes dentinales y a la dificultad para obturar el conducto mediante el método tradicional de condensación lateral. El 50% de los dientes sufrirán una fractura radicular en 5 años.

Tratamiento
Se basa en la creación de una barrera de tejido duro apical (apexificación) contra el cual puede colocarse el material de obturación del conducto radicular mediante el uso de hidróxido de calcio.
Técnica (apexificación)
- Anestesia local.
- Crear una cavidad de acceso con el dique de goma.
- Extirpación del tejido pulpar necrótico.
- Preparar el conducto mecánicamente 1 mm por debajo del ápice radiográfico.
- Se precisa instrumentar cuidadosamente el conducto para eliminar por completo los restos necróticos, pero preservando la mayor cantidad posible de estructura dental. La raíz apical, al ser muy fina, es débil y puede fracturarse si se ejerce una presión indebida.
- Irrigar copiosamente con hipoclorito sódico al 1 % para disolver los tejidos pulpares remanentes y desinfectar el sistema de conductos.
- Como revestimiento inicial se pondrá una pasta de mezcla de acetato de triamcinolona y demeclociclina seguida de hidróxido de calcio.
- Tras 1-2 semanas, revestir de nuevo con una pasta de hidróxido de calcio sin fraguar, mediante un obturador de pasta.
- Comprimir el hidróxido de calcio con una bolita de algodón para asegurar una buena condensación en el conducto y permitir el contacto con los tejidos apicales.
- Colocar una obturación temporal de cemento de ionómero de vidrio u óxido de zinc eugenol (material de restauración intermedio [IRM]).
Revisión
Examinar al niño cada 3-6 meses. La formación de un puente calcificado puede durar hasta 18 meses, pero una vez formado el puente se puede obturar en conducto; así, el hidróxido de calcio debería cambiarse cada 2-3 meses. Este nuevo revestimiento asegurará una concentración adecuada de hidróxido de calcio y disminuirá el riesgo de infección.
La obturación se lleva a cabo con gutapercha utilizando la técnica de condensación vertical en caliente o la técnica de condensación lateral. Se puede tomar una impresión del tope apical con gutapercha reblandecida, que se cementa más adelante dentro del conducto con un sellador endodóncico. Independientemente de la técnica utilizada, es necesario aplicar una presión suave para evitar la fractura radicular o la extrusión de la barrera calcificada más allá del ápice (fig. 7.23A). A menudo, los sistemas de liberación de gutapercha termoplastificada que se utilizan en estos casos son incuestionables.
Aunque la pulpa parece estar necrótica, en dientes inmaduros se desarrolla ocasional mente un ápice radicular pequeño, lo que parece deberse a los restos que han sobrevivido de la cubierta epitelial de la raíz de Hertwig.
Ápice radicular maduro
Si la pulpa de un diente permanente anterior está expuesta por un traumatismo y el período de exposición es corto, no se precisa retirarla, independientemente del desarrollo apical. Se puede realizar una pulpectomía de Cvek (parcial) para intentar conservar la vitali dad pulpar. Por el contrario, si prevalecen las consideraciones restauradoras (p. ej., la necesidad de un perno), puede preferirse extirpar el tejido pulpar por completo y realizar inmediatamente el tratamiento de los conductos.
Fracturas radiculares
Una fractura que afecte al esmalte, la dentina y el cemento puede o no afectar a la pulpa. La necrosis pulpar se produce en el 25% de los casos, y está relacionada con el grado de desplazamiento de los fragmentos. No es frecuente la reabsorción radicular sustitutiva o inflamatoria progresiva.
Para comprobar la existencia de fracturas radiculares horizontales, se deberá cambiar la angulación vertical de las radiografías periapicales y, cuando se examinan fracturas radiculares verticales, se deberá cambiar la angulación horizontal.
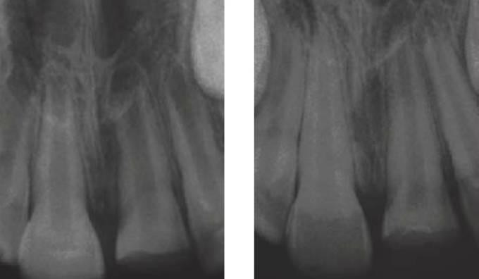
En ocasiones, no se evidencia en un principio una fractura radicular horizontal, ya que el lugar de la fractura se abre bajo la influencia de un exudado inflamatorio varios días después de la lesión. Por tanto, en todo diente traumatizado se debe repetir la radiografía a las 2 semanas (fig. 7.24).

Frecuencia
- Dentición temporal: 0,5-7%.
- Dentición permanente: 2-4%.
Curación de las fracturas radiculares
- Unión de tejido duro con tejido calcificado (oseodentina).
- Interposición de hueso.
- Interposición de tejido conjuntivo fibroso.
- El tejido de granulación indica la necrosis de la pulpa coronal.
Tratamiento
- Radiografías: por lo general se requieren radiografías periapicales con diferentes angulaciones verticales y/o horizontales para determinar adecuadamente la extensión de la fractura.
- Recolocación del fragmento coronal.
- Ferulización rígida con resina composite y aparatos de alambre o aparatología ortodóncica durante, al menos, 4 meses si el fragmento coronal es móvil.
- Las fracturas de ápices radiculares altas a menudo no precisan tratamiento.
Revisión
- Revisión a las 4 y las 8 semanas con pruebas de sensibilidad pulpar.
- Retirar la férula a los 4 meses.
- Revisión a los 6 meses, 12 meses y 5 años.
- Radiografías en las citas de revisión.
Necrosis pulpar de los fragmentos coronales
No suele suceder que el fragmento apical desarrolle necrosis pulpar, si bien la necrosis pulpar del fragmento coronal muestra signos radiográficos de pérdida de hueso en la zona de la fractura. También pueden aparecer otros síntomas, como dolor, movilidad excesiva o inflamación gingival y formación de fístulas.
- Extirpar la pulpa del fragmento coronal 1 mm por debajo de la línea de fractura. Nunca avanzar un instrumento por el lugar de la fractura.
- Colocar una pasta de hidróxido de calcio sin fraguar para provocar la formación de una barrera tisular en el lugar de la fractura (fig. 7.24B), lo que podría durar hasta 18 meses.
- Obturar con gutapercha cuando se haya formado la barrera.
Necrosis pulpar de los fragmentos apicales y coronales
Cuando el fragmento apical muestra signos de necrosis, el pronóstico empeora. Debe realizarse la extirpación y obturación del fragmento coronal, y posteriormente aplicar cirugía periapical para retirar el fragmento apical. Se han publicado artículos sobre ferulizaciones intrarradiculares e implantes endodóncicos, pero ambos presentan un muy mal pronóstico.
Fracturas coronorradiculares
Para poder llevar a cabo una evaluación completa de la extensión de la fractura deben extraerse siempre los fragmentos coronales (fig. 7.25).

Fractura coronorradicular no complicada
Cuando la fractura se extiende justo bajo el margen gingival, primero se cubre la dentina con un ionómero de vidrio y luego se restaura el diente con resina composite o con una corona.
Fractura coronorradicular complicada (exposición pulpar)
Si la fractura se extiende por debajo del hueso crestal y la raíz se ha desarrollado por completo, deben extraerse los fragmentos coronales para valorar la extensión de la fractura y extirpar la pulpa. Como revestimiento endodóncico inicial puede ponerse hidróxido de cal cio o una pasta de acetato de triamcinolona y demeclociclina.
Si la fractura coronorradicular no se extiende por debajo del hueso crestal y el desarrollo de la raíz es completo, puede realizarse una pulpectomía de Cvek. Este tipo de fractura puede restaurarse con resina composite, mientras que una fractura más profunda y extensa puede requerir una restauración colada o un tratamiento quirúrgico.
Un diente con una fractura coronorradicular complicada presenta un mal pronostico.
Opciones de tratamiento
- Gingivectomía para exponer el margen de la fractura. Si la fractura es mínima y justo bajo el margen gingival, la restauración de la superficie radicular puede efectuarse con cemento de ionómero de vidrio y una corona de resina composite.
- Corona colada con hombro extendido, con o sin colgajo periodontal.
- Extrusión ortodóncica de la raíz para exponer el margen de la fractura.
- Extracción.
- Enterramiento de la raíz.
Extrusión ortodóncica
Se trata de una opción viable de tratamiento siempre que la longitud de la raíz sea la adecuada para soportar la corona. Casi siempre se precisará una gingivoplastia para recolocar el margen gingival una vez se haya completado la retención. Asimismo, se colocan prótesis fijas para extruir la raíz de forma que el margen quede expuesto. La retención puede ser difícil y se recomienda practicar una fibrotomía. Ya que el perfil de emergencia de la corona es más estrecho que el de la corona de un diente normal, el resultado estético puede no siempre resultar satisfactorio.
Enterramiento de la raíz o decoronación
En los casos de fractura radicular a nivel subalveolar, el enterramiento de la raíz (decoronación), puede ser una alternativa a la extracción para presen/ar el hueso alveolar. La raíz se entierra bajo la cresta alveolar y se eleva un colgajo reposicionado coronalmente para cubrir el defecto con periostio. De esta manera, existe la posibilidad de que el hueso crezca sobre la superficie de la raíz (fig. 7.26E), que puede ser vital o estar obturada con gutapercha. Esta técnica permite la preservación de la anchura labiopalatina, que podría resultar fundamental si en el futuro se planifica colocar un implante osteointegrado y eliminaría en ese caso la necesidad de un aumento de la cresta.

Fracturas coronorradiculares en dientes inmaduros
Cuando se producen fracturas coronorradiculares en dientes con formación apical incompleta, se deberá pretender el mantenimiento de la vitalidad pulpar en todos los casos que sea posible, ya que permitiría a la raíz continuar su desarrollo. Sin embargo, en los casos en los que la pulpa ha sufrido necrosis e infección se precisará un tratamiento endodóncico que incluya la apexificación. No obstante, vale la pena recalcar que las fracturas coronorradiculares complicadas suelen producirse en dientes maduros que no requieren consideración respecto a su desarrollo apical. Como comentario general, el pronóstico empeora si la fractura compleja se extiende por debajo del hueso crestal.
Luxaciones en la dentición permanente
Concusión y subluxación
El tratamiento de estos dientes es sintomático. Los dientes que han sufrido una concusión tendrán una marcada respuesta a la percusión, pero el diente quedará firme en el alveolo.
Un diente subluxado exhibirá una movilidad incrementada, pero no se habrá desplazado ni presentará anomalías radiográficas. En resumen, son sensibles a la percusión y su movilidad suele estar incrementada.
Tratamiento
- Aliviar la oclusión; no suele requerirse ferulización.
- Dieta blanda durante 2 semanas.
Revisión
- Prueba de sensibilidad pulpar a los 1, 3 y 12 meses.
- Radiografías en cada revisión.
- Resulta importante realizar un seguimiento clínico de estos dientes durante, como mínimo, 12 meses mediante una evaluación radiográfica y comprobar el estado pulpar, el color y la movilidad, así como los cambios en el tamaño de la cámara pulpar y en el desarrollo de la raíz.
Pronóstico
- Necrosis pulpar en el 3-6% de los casos.
Luxación lateral y extrusiva
Los dientes pueden luxarse en cualquier dirección, y pueden recolocarse y ferulizarse en función de la extensión de la luxación. Ambas acciones pueden realizarse mediante presión digital o con fórceps. En caso de utilizar fórceps, se debe cuidar de no dañar la superficie de la raíz y sujetar el diente sólo por la corona. Los dientes estarán visiblemente desplazados, potencialmente móviles y presentarán cambios radiográficos en el ligamento periodontal. Inicialmente, las pruebas de sensibilidad pulpar podrían dar resultados negativos.
Tratamiento
- Reposicionamiento con anestesia local. Se debe realizar en las primeras horas (fig. 7.27A, B) ya que suele resultar extremadamente difícil movilizar el diente cuando el paciente se presenta 24 horas después.
- Suturar laceraciones gingivales.
- Fertilización flexible con resina composite y alambre (fig. 7.24C, D) o aparatología ortodóncica durante 2 semanas para la luxación extrusiva y durante 4 semanas para la luxación lateral debido a la fractura de hueso alveolar concomitante.
- Antibióticos, profilaxis tetánica y enjuague bucal con gluconato de dorhexidina al 0,2%, si fueran necesarios.
Las luxaciones laterales cuentan siempre con un componente de fractura dentoalveolar, y resulta importante moldear y recolocar el hueso en la posición correcta conservando siempre los fragmentos de hueso que se encuentran unidos al periostio.

Revisión
- Revisión cada 2 semanas mientras la férula esté en su sitio; posteriormente, a los 1, 3, 6 y 12 meses hasta 5 años.
- Prueba de sensibilidad pulpar.
- Radiografías en cada visita.
Pronóstico
- Depende del grado de desplazamiento y de desarrollo del ápice. La cicatrización es excelente en dientes inmaduros.
- Se presenta necrosis pulpar en el 15-85% de los casos, y es más prevalente en dientes con ápices cerrados.
- La obliteración del conducto pulpar se produce con frecuencia en dientes con ápices inmaduros.
- La reabsorción es infrecuente.
- La destrucción apical transitoria (2-12%) es una expansión del espacio apical del ligamento periodontal. No está indicado comenzar con un tratamiento de conductos radiculares a menos que haya otros indicadores de infección del conducto pulpar.
Intrusión
La intrusión (provocada por la compresión de la raíz dentro del hueso alveolar) es una de las peores lesiones que se pueden dar, ya que se produce un daño de consideración en las estructuras de soporte y en el haz neurovascular. Existe un gran debate acerca de si los dientes luxados intrusivamente deben ser recolocados o permitir que reerupcionen por sí solos. En consecuencia, su tratamiento dependerá del estado de desarrollo apical y, como regla general, se optará por la desimpactación parcial y la ferulización flexible de los dientes muy intruidos con formación incompleta de la raíz.
Tratamiento
Las opiniones actuales determinan que resulta fundamental la recolocación temprana de los dientes permanentes intruidos. Los objetivos de la desimpactación son evitar la anquilosis, minimizar la necrosis por presión del ligamento periodontal y permitir el acceso a la superficie palatina del diente para extirpar la pulpa en un plazo de 21 días.
Reposicionamiento
Dientes con una formación incompleta de la raíz
- Si la corona permanece visible y el ápice inmaduro es muy ancho (>2 mm), se le puede permitir al diente que reerupcione espontáneamente.
- Si no hay mejoría en la posición, se procederá a la recolocación ortodóncica rápida.
- Puede requerirse la recolocación quirúrgica (suave) para movilizar el diente.
Dientes con formación completa de la raíz
- Para dientes maduros se prefiere la recolocación inmediata.
- Puede emplearse aparatología ortodóncica fija para aplicar tracción al diente intruido durante un período de 2 semanas (fig. 7.28).
O BIEN
- Recolocar suavemente el diente con los dedos o con fórceps aplicados sólo en la corona. Evitar rotar el diente en el alveolo.
- La extrusión debe ser rápida, de manera que la superficie palatina quede expuesta y pueda hacerse un acceso a la cavidad.

Endodoncia
- En casi todos los casos, la extirpación de la pulpa resulta fundamental. Debe aplicarse pasta de mezcla de acetato de triamcinolona y demeclociclina como revestimiento inicial durante hasta 3 meses, seguido de hidróxido de calcio durante 3 meses antes de la obturación.
- Si el ápice es inmaduro, se requerirá un período adicional de tratamiento con hidróxido de calcio para la apexificación antes de la obturación de los conductos radiculares.
- Las únicas excepciones son los dientes extremadamente inmaduros parcialmente intruidos, a los que se deja que reerupcionen (con una monitorización frecuente).
Revisión
- Un seguimiento regular de estos dientes resulta fundamental. La reabsorción inflamatoria progresiva se produce muy rápidamente, y un diente inmaduro puede perderse en unas semanas.
- Revisar cada 2 semanas durante la fase de movilización; después, a las 6-8 semanas, a los 6 meses, a los 12 meses y una vez al año durante 5 años.
Pronóstico
- En la mayoría de los casos, los dientes inmaduros sufren necrosis pulpar (96%) y la prevalencia de reabsorción radicular y anquilosis es elevada.
- Los dientes inmaduros que reerupcionan muestran una necrosis pulpar en el 60% de los casos y anquilosis hasta en el 50% de los casos.
- Tienen mejor pronóstico los dientes tratados de forma temprana.
Fracturas dentoalveolares
Al luxarse los dientes, puede fracturarse o deformarse la tabla alveolar. Utilícese la presión firme de un dedo sobre las tablas bucal y lingual para el reposicionamiento. Debe recordar se que las fracturas alveolares pueden producirse sin implicación dental de consideración. Estas fracturas deben ferulizarse durante 4 semanas en niños y de 6-8 semanas en adultos. Por lo general, los dientes luxados o avulsionados ocasionan fractura y/o desplazamiento del hueso alveolar, y por ello se debe ejercer una firme presión para realinear los fragmentos óseos. La ferulización puede ser rígida o semirrígida y depende del grado de lesión y del número de dientes implicados.
Vitalidad pulpar
Las pruebas actuales de sensibilidad pulpar sólo evalúan la capacidad de los nervios pulpares de responder al estímulo, sin ofrecer información sobre la presencia o ausencia de aporte sanguíneo o sobre el estado histológico de la pulpa. Cuando se determina el estado de la pulpa en dientes permanentes luxados, se precisa prestar atención a los resultados falsos de la prueba; la lesión de los nervios sensitivos de la pulpa puede producir resultados negativos, incluso cuando se mantiene la vascularización del diente. Puede durar incluso 1 año (o nunca) obtener una respuesta positiva de la pulpa en cuestión, por lo que hay que evaluar cautelosamente los signos y síntomas del paciente antes de comenzar la endodoncia. Se requieren radiografías regulares para evaluar el desarrollo y crecimiento de la raíz, así como para valorar la reabsorción radicular externa o interna y determinar los cambios en la forma de la cámara pulpar. Desde el punto de vista clínico, los cambios en el color, el exceso de movilidad, la sensibilidad a la percusión y la formación de fístulas resultan signos diagnósticos considerables.
Radiografías
Debe recordarse que cuando los dientes se han luxado, pueden haber producido una fractura coronal o radicular. Por lo general, las fracturas coronales son evidentes, pero las radiculares pueden estar escondidas o no ser aparentes, por lo que las radiografías resultan fundamentales en estos casos.
Avulsión de los dientes permanentes
Si se produce la avulsión de un incisivo permanente, la probabilidad de éxito de la retención aumenta al disminuir el tiempo extraoral. Incluso cuando el diente ha estado fuera de la boca durante un largo período, la mejor elección es reimplantarlo, pese a que seguramente no tenga éxito. Se aprecia su conveniencia en la dentición mixta, ya que la reimplantación incluso de dientes dudosos permitirá el establecimiento normal de la arcada y la oclusión. Además, la planificación del tratamiento ortodóncico resulta sencilla si el diente permanece en el alveolo, si bien suele suceder que estos dientes se pierden por reabsorción por sustitución, lo que tiene como ventaja poder preservar la altura ósea alveolar, simplificando la recolocación prostodóncica.
Consejos para los primeros auxilios
Examinar siempre la ropa del paciente para ver si hay dientes avulsionados que se creen perdidos. Se debe procurar que tanto padres como cuidadores y profesores tengan acceso a la información adecuada sobre cómo tratar dientes avulsionados. El tiempo se considera esencial y la siguiente información puede darse por teléfono:
- Tranquilizar al niño.
- No permitir que el niño coma o beba. En caso de lesiones de importancia en las que se requiere sedación o anestesia, el niño deberá ayunar.
- Localizar el diente y sujetarlo sólo por la corona.
- Si está limpio, reimplantarlo inmediatamente. Si está sucio, lavar el diente con agua fría brevemente (sólo 10 segundos) o con leche si se dispone de ella.
- Mantener el diente en su sitio mordiendo suavemente un pañuelo o un paño limpio, o utilizar papel de aluminio o similar y buscar tratamiento dental urgente.
- Si no se puede reimplantar, mantener el diente en un medio isotónico para prevenir la deshidratación y muerte de las células del ligamento periodontal, utilizando:
- Preferiblemente leche.
- Suero salino (p. ej., solución para lentes de contacto) y sujetar en la boca, adyacente a los molares.
- Envolver con una película transparente de plástico.
- No utilizar agua, ya que se produciría una lisis hipotónica de las células del ligamento.
- Buscar tratamiento dental urgente.
El tiempo se considera esencial. El pronóstico a largo plazo del diente disminuye enormemente al cabo de 10 minutos. ¡No se debe perder tiempo buscando el medio de almacenamiento ideal, sino reimplantar el diente!
Tratamiento en la cirugía dental
A continuación se muestran las directrices para reimplantar dientes permanentes avulsionados (según Flores y cols. [IADT] 2007a,b).
Diente reimplantado antes de la llegada
Desbridar la boca, pero con cuidado de no extraer el diente.
Diente mantenido en una solución de almacenamiento con tiempo extraoral inferior a 60 minutos
- Desbridar cuidadosamente la superficie radicular con abundante irrigación con suero salino, leche o medio de cultivo tisular (solución salina equilibrada de Hanks). Cuando se sujeten los dientes, siempre hacerlo por la corona con una gasa cuadrada húmeda (los dientes pueden ser muy escurridizos; v. fig. 7.29A).
- Administrar anestesia local y desbridar suavemente el alveolo del diente con suero salino, procurando no curetear el hueso ni el ligamento remanente (fig. 7.29B).
- Reimplantar el diente suavemente con presión digital. Por lo general, el diente efectúa un «clic» cuando se vuelve a colocar en su posición correcta si no ha habido demasiado daño óseo (fig. 7.29C).

El diente está seco o el tiempo extraoral es superior a 60 minutos
- Retirar todo ligamento periodontal necrótico con una gasa húmeda.
- Extirpar la pulpa antes de reimplantarlo.
- Administrar anestesia local y desbridar suavemente el alveolo del diente con suero salino, procurando no curetear el hueso ni el ligamento remanente.
- Reimplantar el diente suavemente con presión digital.
Tratamiento tras el reimplante
- Ferulízar durante 14 días (fig. 7.29D).
- Recolocación los tejidos gingivales despegados y suturar si es necesario.
- Prescripción de altas dosis de antibióticos de amplio espectro y comprobar el estado de inmunización actual.
- Informar sobre cualquier diente perdido. Puede requerirse una radiografía de tórax.
- Dieta normal e higiene oral estricta, incluyendo enjuagues bucales con gluconato de clorhexidina al 0,2%.
Ferulización de dientes avulsionados
- Resina composite y fibra de nailon (0,6 mm de diámetro) tipo hilo de pescar (20 kg de resistencia)
o bien
- Brackets ortodóncicos con un arco de alambre (0,356 mm). Los aparatos de ortodoncia son especialmente eficaces, pues el tiempo que se tarda en colocar los brackets es la mitad del que se tarda para fijar la resina composite.
Las férulas deben ser flexibles para permitir el movimiento fisiológico normal del diente, por lo que ayudan a reducir la aparición de anquilosis; sin embargo, si hay fractura ósea o radicular, deberá utilizarse una férula rígida para evitar movimientos de los dientes o de los segmentos óseos.
Si no aparecen fracturas alveolares o radiculares, las férulas deben mantenerse en su sitio durante 14 días como norma general, si bien los dientes avulsionados con ápices inmaduros que estén secos pueden requerir una ferulización de hasta 4 semanas. Puede requerirse aliviar la oclusión cuando el grado de sobremordida o luxación sea tal que el diente reciba una fuerza masticatoria no deseada, y ello puede lograrse con una eliminación mínima de esmalte o mediante la fabricación de un aparato removible superior o bien la aplicación de resina composite en los molares. La intención es abrir la mordida; sin embargo, se precisa algún movimiento fisiológico.
Reimplante de dientes secos
Como norma general, deben reimplantarse todos los dientes tanto húmedos como secos. Aunque el diente tenga un mal pronostico, suele ser preferible tener el diente presente 5 años durante el crecimiento a no tener nada. Siempre se deben mantener las opciones abiertas de cara al tratamiento futuro.
- Retirar suavemente el ligamento periodontal muerto con una gasa húmeda.
- No raspar ni alisar el cemento de ninguna manera.
- Crear una cavidad de acceso y extirpar la pulpa.
- Enjuagar el diente con fluoruro sódico al 2% (pH 5,5) durante 20 minutos. El objetivo es incorporar flúor dentro de la dentina y el cemento a fin de reducir la anquilosis.
- Poner pasta de acetato de triamcinolona y demeclociclina en el conducto radicular.
- Reimplantar y ferulizar durante 14 días.
- Sustituir la pasta de acetato de triamcinolona y demeclociclina por hidróxido de calcio 3 meses después, y completar la obturación del conducto radicular a los 6-12 meses si no hay signos de reabsorción inflamatoria.
Endodoncia
Ápice radicular inmaduro
Si se ha avulsionado y reimplantado el diente en un corto período de tiempo, el ápice es extremadamente inmaduro (>2mm) y el niño tiene menos de 8 años, se recomienda el tratamiento endodóncico sólo si los signos y síntomas clínicos indican que el espacio pulpar se ha infectado.
Si el conducto se infecta, se aplica pasta de acetato de triamcinolona y demeclociclina durante 3 meses, y el tratamiento con hidróxido de calcio comenzará a inducir la apexificación. El hidróxido de caldo no debe estar fraguado y se debe colocar de manera que rellene el espacio pulpar radicular para finalmente sellarse con Cavit o cemento de ionómero de vidrio. Este relleno se cambia cada 3 meses, hasta que se forme una barrera apical y sea posible la obturación. La tasa de supervivencia de dientes inmaduros es tan sólo del 30%, incluso si se han reimplantado de forma temprana.
Ápice radicular maduro
En el resto de los casos, en que el ápice del diente avulsionado es inferior a 2 mm abierto o cerrado, la endodoncia debe empezarse a las 2 semanas. Los revestimientos iniciales deben ser de pasta de acetato de triamcinolona y demeclociclina durante 3 meses, seguido de hidróxido de calcio. El conducto radicular debe obturarse a los 6-12 meses.
Por lo general, siempre es mejor reimplantar los dientes, incluso cuando tienen un mal pronóstico. Con un tratamiento adecuado, estos dientes se perderán por reabsorción por sustitución progresiva, presentando la ventaja de mantener la altura alveolar. Las únicas excepciones son aquellos casos con raíces muy inmaduras, en los que la anquilosis obstaculizará el crecimiento del hueso alveolar y podrá complicar los tratamientos ortodóncico y prostodóncico futuros.
Complicaciones en el tratamiento endodóncico de los dientes avulsionados
Reabsorción radicular inflam atoria externa
- Pérdida progresiva de estructura dental debido a un proceso inflamatorio causado por la presencia de restos infectados y necróticos en el conducto radicular.
- Esta reabsorción puede prevenirse o tratarse adecuadamente.
Los factores para su prevención y tratamiento incluyen:
- Profilaxis antibiótica: tras una avulsión se administrarán, tan pronto como sea posible, altas dosis de antibióticos de amplio espectro (amoxicilina), que continuarán durante 2 semanas. Los beneficios de las tetraciclinas son controvertidos y deben evitarse en niños por la posibilidad de tinción de otros dientes.
- Extirpación pulpar: se deberá completar tan pronto como sea posible una vez realizado el reimplante. Se puede realizar en el momento del traumatismo, pero no fuera de la boca. Asimismo, debe llevarse a cabo en un plazo de 10 días.
En los primeros 3 meses posteriores al traumatismo, se deben evitar medicamentos que puedan causar inflamación, como el hidróxido de calcio. La pasta de acetato de triamcinolona y demeclociclina es un medicamento ideal como primer revestimiento, ya que se ha demostrado que evita la reabsorción radicular inflamatoria e inhibe la acción de las células clásticas.

Tratamiento
En caso de detectarse una reabsorción inflamatoria, se debe reinstrumentar minuciosamente el conducto y revestirse con pasta de acetato de triamcinolona y demeclociclina durante 3 meses, pero cambiando el revestimiento cada 6 semanas. El hidróxido de calcio se puede aplicar entonces durante 3 meses más, tras los cuales, si la reabsorción no ha progresado, el conducto podría obturarse.
Reabsorción radicular externa de sustitución
Consiste en la reabsorción progresiva de la estructura dental y su sustitución con hueso, como parte del continuo remodelado óseo. Proviene de un daño en el cemento mayor de 2 mm o del reimplante de un diente seco y no tiene tratamiento, por lo que el objetivo es evitar la reabsorción por sustitución y la anquilosis subsiguiente. Los factores de prevención y tratamiento incluyen (fig. 7.30B-D):
- Tiempo extraoral: el pronóstico empeora drásticamente a los 15 minutos si el diente está seco. A los 30 minutos, el 50% de las células del ligamento periodontal han muerto. Después de 60 minutos han muerto todas.
- Medio de conservación:
- La leche es el mejor medio y puede mantener las células viables hasta 6 horas. Tiene la ventaja de estar pasteurizada, con pocas bacterias, cuenta con una fácil disponibilidad y está fría. No hay diferencia entre la leche desnatada y la baja en calorías, pero no deben emplearse el yogur y la leche agria.
- La saliva es adecuada durante un período de hasta 2 horas.
- El suero salino y las láminas de plástico transparente mantendrán las células durante 1 hora.
- El agua es hipotónica y produce lisis celular.
- También son adecuados los medios de cultivo tisulares, como la solución salina equilibrada de Hank o el RPMI 1640 (medio de cultivo tisular del Roswell Park Memorial Institute), si se dispone de ellos, ya que pueden permitir una supervivencia celular de hasta 24 horas.
- Daño mecánico: se producirá una anquilosis si se han eliminado o dañado más de 2 mm de cemento.
- El riesgo aumenta con una mayor manipulación durante el transporte y el reimplante.
- Ferulización: una ferulización flexible permite el movimiento fisiológico y favorece la menor producción de anquilosis y reabsorción por sustitución.
Tratamiento
- No es posible ningún tratamiento.
Opciones futuras para tratar la reabsorción
Emdogain
Se ha propuesto el uso de derivados proteicos de la matriz del esmalte para el tratamiento de los dientes avulsionados. El emdogain es un derivado porcino de la matriz del esmalte, comercializado con éxito para el tratamiento de defectos periodontales. El derivado de la matriz del esmalte compuesto de amelogeninas tiene un papel clave tanto en la formación del esmalte como en el desarrollo del cemento acelular. Las amelogeninas son secretadas desde las células de la vaina epitelial radicular de Hertwig e inician la formación del cemento que proporciona la base para la inserción del ligamento periodontal al diente. Se ha demostrado el éxito del emdogain en el tratamiento de lesiones dehiscentes bucales en monos y de defectos periodontales en humanos. Como consecuencia de este éxito temprano, se tuvo la esperanza de que el producto reduciría la anquilosis en dientes avulsionados, pero estudios recientes han ensombrecido el entusiasmo inicial y cuestionado su beneficio clínico (Schjott & Andreasen 2005).
Alendronato
Se trata de otro agente tópico que ofrece resultados esperanzadores. Es un bifosfonato de tercera generación que muestra una actividad inhibitoria osteoclástica.
Ambos productos podrían permitir la regeneración del ligamento periodontal e inhibir o evitar la reabsorción por sustitución, que es la causa principal de pérdida dental como consecuencia de la avulsión.
Preguntas relativas al tratam iento de los dientes avulsionados
Pese a la plétora de literatura que apoya los diferentes procedimientos para tratar los dientes avulsionados, la realidad clínica es que aquellos dientes que han estado fuera de la boca durante más de 30 minutos tienen un peor pronóstico.
El uso de medios de almacenamiento especializados está muy demostrado, pero no es frecuente que se encuentren disponibles en el lugar del accidente. Muchas lesiones dentales ocurren los fines de semana mientras se practica deporte, y calcular el tiempo medio que se tarda en llevar a un niño que ha sufrido un traumatismo al especialista un sábado por la tarde resulta interesante desde el punto de vista anecdótico.
Tras un traumatismo, se produce un coste social que incluye ausencia escolar (del niño) y laboral (de los padres), ya que se acude a múltiples citas y también afecta a la autoestima. Con frecuencia, se dan también aspectos financieros del complejo tratamiento reconstituyente y endodóncico de dientes que resultan bastante negativos.
Debe informarse con claridad a los padres y los niños del posible resultado del tratamiento. Cuando el pronóstico es dudoso, suele llevarse a cabo un trabajo heroico con las mejores intenciones (Barrett & Kenny 1997). En algunos casos será preferible conservar dientes sin remedio en los que la reabsorción por sustitución preservará el hueso. En otros casos, el retraso en el crecimiento del hueso alveolar junto con la anquilosis en un niño en crecimiento podría llevar a la extracción temprana. Deben plantearse las siguientes cuestiones:
- ¿Cuál es el pronóstico del diente a largo plazo?
- ¿Hay aspectos ortodóncicos, como las implicaciones de anquilosis o la pérdida de espacio?
- ¿Es importante el diente en el desarrollo de la oclusión?
Mantener siempre abiertas las opciones.
Autotrasplante
El autotrasplante ha sido utilizado con éxito para tratar la pérdida dental que sucede a un traumatismo. Puede utilizarse en el tratamiento de fracturas coronorradiculares complicadas, para la sustitución de dientes anteriores perdidos y tras lesiones de avulsión.
La selección de los casos resulta esencial.

Indicaciones
- Diente anterior traumatizado con mal pronóstico a largo plazo.
- Casos con malodusión de clase I o clase II con un apiñamiento moderado o grave que implique la extracción de premolares. El autotrasplante debe considerarse como una parte del plan de tratamiento global del paciente y deben considerarse otras alternativas como cierre del espado ortodóncico, la prostodoncia fija y removible y la colocación de implantes osteointegrados.
Tasas de éxito
- 94% de tasa de éxito para ápice abierto.
- 84% de tasa de éxito para ápice cerrado.
Procedimiento para el autotrasplante
- Selección del diente donante (tabla 7.2).
- Análisis del sitio receptor:
- Tamaño y forma del área receptora.
- Necesidad de expansión o instrumentación del alveolo.
- Estadio de desarrollo de la raíz.
- Tiempo óptimo para el trasplante cuando la formación de la raíz es de 1/2 a 3/4.
- Procedimiento quirúrgico:
- Extraer el incisivo traumatizado.
- Preparar el alveolo (en caso necesario, puede ensancharse) e irrigarlo con suero salino. Debe eliminarse todo resto necrótico o extraño, como gutapercha, medicamentos intraconductos o tejido de granulación.
- Extraer el diente donante (por lo general, premolar).
- Realizar una incisión hacia el ligamento periodontal a través del margen gingival; con el injerto puede incluirse un collarete de encía insertada.
- Extraer suavemente el diente, evitando dañar la superficie radicular.
- Colocar el diente donante en el sitio receptor, lo que en líneas generales supone rotar un premolar unos 45°.
- Ferulizar con una férula flexible.
- Seguimiento según protocolos para dientes avulsionados.

La necesidad de tratamiento endodóncico dependerá del grado de desarrollo de la raíz (tabla 7.3).

Causas de fracaso
- Anquilosis inflamatoria o de sustitución:
- Ápice cerrado: 20% de reabsorción radicular.
- Ápice abierto: 3% de reabsorción radicular.
- Necrosis pulpar.
- Infraodusión.
- Formación radicular incompleta.
- No hay curación primaria.
La tabla 7.3 muestra los detalles de la cicatrización y el pronóstico.
Blanqueamiento de incisivos no vitales
Una de las consecuencias de la pérdida o traumatismo de un diente es la decoloración. El blanqueamiento es, por tanto, un procedimiento habitual tras el tratamiento endodóncico. La integridad del sellado del conducto radicular resulta fundamental y, por encima de todo, el blanqueamiento no debe realizarse por debajo la unión amelocementaria debido al riesgo de iniciar una reabsorción cervical.
Método
- El blanqueamiento debe realizarse con dique de goma.
- Asegurar una adecuada obturación del conducto radicular y retirar la gutapercha 3mm por debajo de la unión amelocementaria.
- Colocar una base de fosfato de zinc o Cavit justo encima de la unión amelocementaria.
- Asegurarse de que la cavidad de acceso está limpia y sin desecho alguno.
- Grabar la cavidad de acceso con ácido para abrir los túbulos dentinarios y colocar una bolita de algodón empapada en peróxido de hidrógeno al 30% en la cavidad de acceso durante 3 minutos.
- Retirar la bolita de algodón y colocar una mezcla de perborato sódico y peróxido de hidrógeno en la cavidad para posteriormente sellar con una bolita de algodón y un cemento temporal como Cavit. El polvo de perborato y el peróxido se mezclan para formar una pasta espesa que puede empaquetarse en la cámara. Esta pasta debe permanecer en el diente durante 1 semana. Transcurrido ese tiempo, se evaluará el éxito del procedimiento. En caso necesario, este procedimiento podrá repetirse varias veces.
- Finalmente, la cámara pulpar se obtura con una base de ionómero de vidrio y la cavidad de acceso se restaura con resina composite.
Lesiones de tejidos blandos
Mucosa alveolar y piel
Contusión
Se trata de la lesión de tejido blando más habitual y simple. Se presenta con frecuencia sin afecciones dentales y su tratamiento es sintomático. No obstante, se precisa poner atención en el momento de examinar las zonas más profundas de los surcos labial y bucal ante la posibilidad de cualquier herida profunda en el tejido blando o de lesiones por despegamiento (degloving).

Laceraciones
- Con frecuencia puede no detectarse una laceración de espesor total del labio inferior debido a los contornos naturales de los tejidos blandos o por el examen tentativo a un niño alterado. Si ha habido lesión dental, siempre hay que buscar trozos de diente en los labios.
- Será necesario suturar cuidadosamente las heridas cutáneas para evitar la cicatrización, y sólo se llevará a cabo por especialistas competentes para esa función. Las heridas cutáneas deben cerrarse en las primeras 24 horas y preferiblemente en un plazo de 6 horas.
- Cualquier desecho, sea gravilla o suciedad, deberá eliminarse frotando con un cepillo humedecido en una preparación quirúrgica antiséptica como povidona yodada al 2,5% o acetato de clorhexidina al 0,5%.
- Los bordes de piel se retirarán de forma perfecta con un escalpelo, que permitirá eliminar interdigitaciones necróticas y márgenes irregulares.
- El cierre muscular y una sutura profunda se consiguen con un material reabsorbible fino, como la poliglactina o el ácido poliglicólico.
- El cierre final de la piel se consigue con monofilamento de nailon 6-0 inserto en una aguja cortante.

Tejidos gingivales insertados
Despegamiento
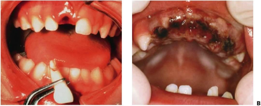
Se trata de una de las lesiones más comunes de este grupo. Se eleva un colgajo mucoperióstico de espesor total separándolo del hueso y, por lo general, se toma la línea de separación como unión mucogingival (fig. 7.35A). Estas lesiones suelen producirse después de un traumatismo romo, y su presentación habitual es un gran acúmulo de sangre en la región submentoniana (fig. 7.32A). El colgajo se sutura fuertemente y se coloca un revestimiento de presión si la arcada inferior está afectada. Esto previene el estancamiento de sangre y la inflamación de la región submentoniana, lo que puede comprometer la vía aérea.
Resulta muy importante la sutura interdental del tejido gingival desplazado, sobre todo cuando afecta a tejido palatino. La íntima readaptación de los tejidos a la superficie dental ayudará a conservar el hueso alveolar y al mismo tiempo permitirá mantener el diente en su sitio.

Sutura
La sutura de tejidos gingivales desgarrados o lacerados debe llevarse a cabo utilizando una sutura fina como la sutura reabsorbible 5-0. Las suturas de poliglactina o ácido poliglicólico presentan una buena resistencia a la tracción durante, al menos, 3 semanas y tienen menos reacción tisular que el catgut. Al tratarse de un material trenzado, no resultan tan limpias como las suturas de monofilamento, pero son reabsorbibles. Cuando se requiere fuerza y no preocupa la retirada de las suturas, se aconseja el uso del monofilamento de nailon.
La sutura puede evitar un defecto periodontal derivado de la falta de tejido queratinizado o, al menos, reduce la extensión del trabajo periodontal posterior. La sutura puede también reducir el secuestro de fragmentos óseos desplazados y prevenir la contaminación bacteriana del surco. Además, la herida duele mucho menos si los defectos óseos expues tos quedan bien cubiertos con periostio y tejidos gingivales.

Prevención
Educación de padres y cuidadores
- Cinturones de seguridad y control para niños.
- Cascos para montar en bicicleta.
- Protectores bucales.
- Vigilancia de animales de compañía, sobre todo perros.
Mientras que el uso de los cinturones de seguridad y el control de los niños vienen recogidos por la legislación (de forma más reciente, en Australia es obligatorio que los ciclistas lleven casco), el hecho de que los padres no cumplan con la regulación entraña que se produzcan traumatismos craneofaciales infantiles innecesarios muy a menudo. La experiencia de los autores indica que se producen pocos traumatismos practicando deporte, ya que la mayoría de los niños llevan protectores bucales. Sin embargo, se ha observado una cantidad desproporcionada de traumatismos durante actividades de ocio como el uso del monopatín, la natación y otros deportes de «no contacto».
Resulta fundamental educar a los padres, cuidadores y profesores acerca de los cuidados básicos en caso de un traumatismo dental. En todos los colegios debería disponerse de los protocolos adecuados para tratar dientes avulsionados.