Patología y medicina oral pediátrica
Introducción
Si bien algunos trastornos se confinan en la boca, ciertas lesiones orales pueden ser signos de un cuadro médico sistémico. Una gran parte de la patología oral en los niños es benigna, pero resulta fundamental la identificación o eliminación de las enfermedades más graves. La presentación de la enfermedad en los niños suele ser diferente de la de los adultos, y estas sutilezas suelen prevalecer a la hora de efectuar un diagnóstico. Además, la forma y extensión de multitud de lesiones cambian conforme al crecimiento del paciente. Con ayuda diagnóstica, las distintas situaciones se agrupan según su presentación.
Infecciones orofaciales
Diagnóstico diferencial
Infecciones bacterianas:
- Odontogénicas.
- Escarlatina.
- Tuberculosis.
- Infección micobacteriana atípica.
- Actinomicosis.
- Sífilis.
- Impétigo.
- Osteomielitis.
Infecciones víricas:
- Gingivoestomatitis herpética primaria.
- Herpes labial.
- Herpangina.
- Enfermedad pie-mano-boca.
- Mononucleosis infecciosa.
- Varicela.
Infecciones fúngicas:
- Candidiasis.
Infecciones odontogénicas
Todos los especialistas dentales deben familiarizarse con los signos y síntomas básicos de las infecciones orales.
La infección aguda suele presentarse como una emergencia:
- Niño enfermo e inquieto.
- Temperatura elevada.
- Cara roja y tumefacta.
- Padres ansiosos y alterados.
La infección crónica se presenta como un proceso asintomático o indoloro:
- Puede haber una fístula (habitualmente labial o bucal).
- Dientes móviles.
- Halitosis.
- Dientes con decoloraciones.
Presentación
Los niños suelen presentarse con celulitis facial y una gran colección de pus más que con un absceso. Con frecuencia, el niño presenta fiebre y suele existir dolor, que puede no presentarse si la infección perfora la tabla cortical. La base fundamental del trata miento consiste en la remoción de la causa de la infección. En la mayoría de las ocasiones, se prescriben antibióticos sin programar la extracción del diente ni la extirpaciónde la pulpa.
Las infecciones de la fosa canina del maxilar suelen producirse por grampositivos o bacterias anaerobias facultativas (fig. 8.1 A), pero pueden diagnosticarse de forma errónea como una celulitis periorbitaria, que se suele producir por Haemophilus influenzae o Staphylococcus aureus de diseminación hemática. La diseminación posterior puede llevar a una trombosis del seno cavernoso y a un absceso cerebral.
Las infecciones mandibulares que se diseminan pueden comprometer la vía aérea y existe la posibilidad de afectación mediastínica.
Al acudir a consulta, los pacientes jóvenes pueden presentar deshidratación y se les debe preguntar acerca de la ingesta de líquidos y conocer con certeza si el niño ha orinado o no en las 12 horas previas (v. Apéndice B, Equilibrio hidroelectrolítico).

Tratamiento
El tratamiento de la infección sigue dos principios básicos:
- Eliminar la causa.
- Drenaje y desbridamiento locales.
Criterios para el ingreso hospitalario
- Infección importante con picos de temperatura >39 °C.
- Inflamación en el suelo de la boca.
- Deshidratación.
Uso de antibióticos
- No se deben considerar los antibióticos como la primera línea de tratamiento de forma automática, salvo que exista una afectación sistémica. En un niño, una temperatura igual o superior a 39 °C se considera un aumento considerable (normal ~37 °C).
- En el caso de que un niño presente una infección sistémica causada por una infección que se disemina localmente (ej. un niño enfermo con una temperatura elevada, una diseminación evidente en la cara y una linfadenopatía regional), se precisa el uso de antibióticos (v. Apéndice M).
- Los pacientes inmunodeprimidos o aquellos con enfermedades cardíacas deben tomar antibióticos si se sospecha de la existencia de una infección.
Consideraciones generales
- Extracción de los dientes afectados,
o bien
- Tratamiento de los conductos radiculares en los dientes permanentes si se considera importante salvar un diente determinado (v. cap. 6).
- Antibióticos vía oral si hay afectación sistémica.
La amoxicilina suele ser el fármaco de elección, ya que presenta la ventaja de administrarse sólo tres veces al día, consigue niveles más elevados en sangre y es un antibiótico más eficaz que, por ejemplo, la fenoximetilpenicilina. Es frecuente que sólo la extracción de dientes con abscesos resuelva el caso sin necesidad de tratamiento antibiótico.
Infecciones graves
- Ingreso hospitalario.
- Extracción de los dientes afectados; resulta imposible drenar una infección importante tan sólo con el tratamiento de los conductos de un diente temporal.
- Drenaje de pus. Si se ha retrasado el diagnóstico del tratamiento adecuado de una infección en la mandíbula y la inflamación ha cruzado la línea media, o bien existe una inflamación en el suelo de la boca, se debe considerar la realización de un drenaje extraoral de entrada-salida (fig. 8.1B, C). Si se eleva un colgajo, se debe eliminar todo el tejido de granulación e irrigar la zona minuciosamente. Los colgajos han de aposicionarse y suturarse sin ejercer mucha tensión con las suturas. Por último, los niños toleran mejor los drenajes flexibles blandos que los tubos corrugados.
- Tomar una muestra para cultivo y pruebas de sensibilidad con un hisopo. Se requiere tomar muestras para cultivo incluso cuando haya que empezar un tratamiento antibiótico de inmediato, ya que si la infección no respondiera al tratamiento antibiótico inicial, los resultados de estas pruebas podrían sen/ir para determinar el tratamiento alternativo.
- Antibióticos intravenosos. La benzilpenicilina es el fármaco de elección (por encima de 200 mg/kg/día).
- Se pueden utilizar las cefalosporinas de primera generación como alternativa. Sin embargo, si el niño es alérgico a la penicilina, se produce una alergenicidad cruzada y se deberían evitar las cefalosporinas y utilizar clindamicina.
- En las infecciones graves, sobre todo en las infecciones profundas y en las que afectan al hueso, se puede complementar con metronidazol. La flora de la mayoría de las infecciones odontogénicas es de tipo mixto, y se cree que los organismos anaerobios juegan un papel significativo en su patogénesis.
- Se debe administrar la dosis adecuada de antibiótico, ya que las infecciones de cabeza y cuello merecen un enorme rigor.
- Mantener la hidratación, administrando 10-12% de fluidos por cada grado por encima de 37,5 °C hasta que el niño pueda beber por voluntad propia.
- Enjuagues con gluconato de clorhexidina al 0,2%.
- Control adecuado del dolor con una suspensión oral de paracetamol, 15 mg/kg, 4 veces al día, o con supositorios (vía rectal).
- Si se cierra el ojo debido a un edema colateral, resulta apropiado aplicar cloramfenicol en gotas al 0,5% o en pomada al 1 % para evitar la aparición de una conjuntivitis.
Osteomielitis
No ocurre con frecuencia, pero una infección odontogénica puede llevar a osteomielitis, que suele afectar a la mandíbula. En las radiografías, se aprecia que el hueso tiene un aspecto «apolillado». Se debe curetear la zona para eliminar los secuestros óseos y se prescriben antibióticos durante, al menos, 6 semanas, dependiendo de los resultados del cultivo microbiológico y de las pruebas de sensibilidad. Se ha citado una variante de osteomielitis en niños y adolescentes que recibe el nombre de osteomielitis crónica mandibular juvenil. En esta enfermedad no existe una fuente odontogénica clara de infección pero sí una res puesta limitada a diferentes modalidades de tratamiento.
Gingivoestomatitis herpética primaria
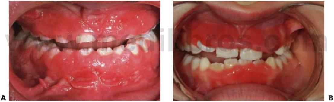
Se trata de la causa más común de ulceración oral grave en niños. La produce el virus del herpes simple tipo 1. Se han citado casos ocasionales del tipo 2 (la causa habitual del herpes genital), sobre todo en casos de abuso sexual. Los efectos clínicos de las dos cepas diferentes del virus del herpes simple son, sin embargo, idénticos desde el punto de vista clínico en la región orofacial. La mayoría de la población se ha infectado con el virus en la edad adulta, pero menos del 1 % se manifiesta como una infección aguda primaria. Esto suele producirse después de los 6 meses de edad y coincide con frecuencia con la erupción de los incisivos temporales.

El pico de incidencia se produce entre los 12 y los 18 meses de edad y el tiempo de incubación es de 3-5 días, con una historia de pródromos de 48 horas de irritabilidad, pirexia y malestar. El niño no se encuentra bien, tiene dificultades para comer y beber y babea de forma característica. Se produce estomatitis y el tejido gingival adquiere un aspecto rojo y edematoso. Aparecen vesículas intraepiteliales, que se rompen rápidamente para formar úlceras dolorosas. Las vesículas pueden formarse en cualquier parte de la mucosa oral, incluyendo la piel que rodea los labios. Las úlceras solitarias suelen ser pequeñas (3 mm) y dolorosas y presentan un margen eritematoso; la coalescencia de lesiones individuales da lugar a úlceras de mayor tamaño con márgenes irregulares. La enfermedad es autolimitante y las úlceras curan espontáneamente sin dejar cicatrices en 10-14 días.
Diagnóstico
- Historia y características clínicas.
- Puede emplearse la citología exfoliativa, que muestra la presencia de células gigantes multinucleadas y cuerpos de inclusión virales, para un diagnóstico rápido si el laboratorio se encuentra próximo.
- El antígeno viral se detecta mediante la amplificación de la reacción en cadena de la polimerasa (PCR), que en ocasiones puede ser útil para la confirmación temprana del diagnóstico.
- Cultivo vírico: lleva días o semanas obtener el resultado.
- Detección de los anticuerpos virales en las muestras de sangre durante las fases aguda y de convalecencia. Un aumento en el título de anticuerpos sólo proporciona la confirmación tardía del diagnóstico.
Tratamiento
- Tratamiento sintomático.
- Favorecer la ingesta de líquido por vía oral.
- Si no se pueden tomar líquidos por vía oral, se debe ingresar al paciente y administrarle líquidos por vía intravenosa.
- Analgésicos: paracetamol, 15 mg/kg, 4 veces al día.
- Colutorios para los niños más mayores: gluconato de clorhexidina al 0,2%, 10 mi 4 veces al día. En los niños de más de 10 años, pueden resultar beneficiosos los enjuagues de tetraciclina o minociclina, pero deben evitarse en niños pequeños para prevenir una posible decoloración de los dientes.
- En los niños pequeños con una ulceración grave, debe aplicarse clorhexidina en la zona afectada con un hisopo de algodón. La mayoría del dolor de la ulceración oral proviene probablemente de una infección bacteriana secundaria. Se ha comprobado que los enjuagues con clorhexidina al 0,2% e hidrodoruro de benzidamina pueden ser más beneficiosos que los que sólo contienen clorhexidina.
- Anestésicos tópicos: lidocaína viscosa al 2% o spray de lidocaína. Nota: suele recomendarse el uso de anestésicos tópicos, si bien el efecto de una boca dormida en un niño pequeño suele ser más angustioso que el dolor producido por la enfermedad, y puede conllevar una ulceración producida por la disminución de las sensaciones y por el traumatismo posterior. Además, suele ser difícil empezar a deglutir con un paladar blando anestesiado.
- Quimioterapia antivírica: suspensión oral o intravenosa de aciclovir para pacientes inmunosuprimidos. Este tratamiento sólo es eficaz en la fase vesicular de la infección, es decir, en las primeras 72 horas. Nota: el uso de medicaciones antivíricas es controvertido y suele reservarse para niños que están inmunocomprometidos. Pese a ello, algunas pruebas indican que la administración de aciclovir en las primeras 72 horas de la infección puede ser beneficiosa.
- Se precisa asimismo un control adecuado del dolor mediante la administración regular de paracetamol.
- Los antibióticos no son de utilidad en estos casos.
- Los niños pequeños afectados de forma grave suelen estar deshidratados y se muestran incapaces de comer o beber. Se precisa su ingreso para mantener el nivel líquido intravenoso.
Herpangina y enfermedad pie-mano-boca
Estas infecciones están causadas por los virus del grupo Coxsackie A. Como con el herpes primario, las condiciones expuestas anteriormente tienen una fase prodrómica de fiebre no muy alta y malestar que puede durar varios días antes de la aparición de las vesículas. En la herpangina (fig. 8.3), suele encontrarse un racimo de 4 o 5 vesículas en el paladar, el arco palatogloso y la faringe, mientras que en la enfermedad pie-mano-boca se forman hasta 10 vesículas en dichas áreas, es decir, en manos, pies y cualquier región de la boca (fig. 8.3B). Las lesiones cutáneas aparecen en las palmas de las manos y las plantas de los pies, y están rodeadas por un margen eritematoso. Estas dos enfermedades suelen ser menos graves que el herpes primario y se curan en 10 días. Suelen presentarse de manera epidémica y afectan sobre todo a niños.

Diagnóstico
- Aspecto clínico e historia.
- Epidemia conocida.
- Cultivo viral a partir de hisopo.
Tratamiento
- Tratamiento sintomático, como para otras infecciones víricas.
Mononucleosis infecciosa
Esta infección se produce por el virus de Epstein-Barr (VEB) y afecta principalmente a adolescentes mayores y a adultos jóvenes. La enfermedad posee un marcado carácter infeccioso y se manifiesta con malestar, fiebre y faringitis aguda. En los niños pequeños suelen aparecer úlceras y petequias pequeñas en la parte posterior de la faringe y el paladar blando. Otra característica es que se trata de una enfermedad autolimitante (fig. 8.4A).

Diagnóstico
- Historia y características clínicas.
- Prueba de aglutinación de Paul-Bunnell y monolitos atípicos en película hemática.
Varicela
Se trata de un virus altamente contagioso que provoca varicela en individuos jóvenes y herpes zóster en individuos mayores. Existe una fase prodrómica de malestar y fiebre que dura 24 horas y que continúa con erupciones maculares y vesículas. Las lesiones derivadas de la varicela pueden aparecer en la boca (en el 50% de los casos, si bien un pequeño número de las vesículas son orales), así como en zonas mucosas como las conjuntivas, la nariz o el ano. La curación de las lesiones se produce sin complicaciones (fig. 8.4B).
Diagnóstico
- Aspecto clínico e historia.
Candidiasis
Candidiasis seudomembranosa aguda
La manifestación más habitual de esta infección en los niños son las aftas. Aparecen placas blancas que al retirarse muestran una base eritematosa y, en ocasiones, hemorrágica. En los niños mayores, las aftas se presentan cuando el paciente se encuentra inmunocomprometido, como con el síndrome de inmunodeficiencia adquirida (SIDA) o la diabetes, o bien con la prescripción de antibióticos o esteroides, así como durante la quimioterapia y radioterapia para enfermedades malignas.
Glositis romboidal media
Se trata de una candidiasis y es una lesión poco frecuente, si bien hasta hace poco se pensaba en ella como una anomalía del desarrollo, y se presenta en la superficie dorsal de la lengua, en la zona anterior a las papilas circunvaladas. Suele responder al tratamiento antibiótico.
Diagnóstico
El 50% de los niños tienen Candida albicans como comensal habitual y carece de utilidad realizar un cultivo. Los barrillos o raspados para la citología exfoliativa revelan hifas cuando se presenta la enfermedad, pero el cuadro clínico puede ser diagnóstico.
Tratamiento
- Tratamiento antifúngico durante 2-4 semanas. La mayoría de los tratamientos antifúngicos fracasan debido al poco cumplimiento por parte del paciente y a la mala instrucción por parte del especialista.
- Comprimidos de anfotericina B o gotas de nistatina.
- Fluconazol oral (100mg al día durante 14 días) en casos de candidiasis mucocutánea en la que el organismo no responde al tratamiento tópico descrito con anterioridad.
Enfermedades ulcerativas y vesiculoampollosas
Diagnóstico diferencial
Traumáticas:
- Ulceración tras anestesia de bloqueo mandibular.
- Ulceración de Riga-Fedé.
Infecciosas (v. antes):
- Gingivoestomatitis herpética primaria.
- Herpangina.
- Enfermedad pie-mano-boca.
- Mononucleosis infecciosa.
- Varicela.
Otras:
- Ulceración aftosa recurrente.
- Eritema multiforme.
- Síndrome de Stevens-Johnson.
- Síndrome de Behget.
- Epidermólisis bullosa.
- Lupus eritematoso.
- Ulceración neutropénica.
- Granulomatosis orofacial/enfermedad de Crohn.
- Pénfigo.
- Lesiones inducidas por fármacos (quimioterapia).
- Liquen plano.
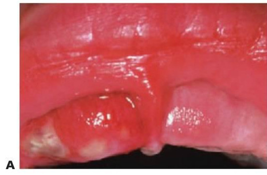
Ulceración labial tras la anestesia de bloqueo mandibular
Se trata de una de las causas más habituales de ulceración traumática. Debe advertirse a los padres y recordar a los niños que no se muerdan el labio después de un bloqueo anestésico mandibular (fig. 8.5A).

Ulceración de Riga-Fedé
Es una ulceración de la superficie ventral de la lengua causada por un traumatismo producido por los movimientos protrusivos y retrusivos continuos sobre los incisivos inferiores (fig. 8.5B). Se consideraba un hallazgo común en los casos de tos ferina; en la actualidad, se suele ver tan sólo en niños con parálisis cerebral.

Tratamiento
Pulir los bordes incisales agudos o colocar recubrimientos de resina composite sobre los dientes. En raras ocasiones se considerará la extracción de los dientes.
Ulceración aftosa recurrente
Se considera que la ulceración aftosa recurrente (UAR) afecta a más del 20% de la población. Se han identificado tres tipos:
- Aftas menores.
- Aftas mayores (fig. 8.6B).
- Ulceración herpetiforme.
Las aftas menores suponen la mayoría de los casos y están formadas por dos a cinco úlceras que miden más de 5mm y que se presentan en la mucosa no queratinizada. Existe un esfacelo central amarillo típico con un borde eritematoso. Las úlceras curan en 10-14 días sin dejar cicatriz. No se ha llegado a un acuerdo con respecto a la causa de la UAR. Existen algunas pruebas que indican una base genética del trastorno, con una mayor incidencia de ulceración en niños cuyos progenitores tienen UAR. Algunos estudios indican que la UAR está asociada con deficiencias nutricionales, por lo que son necesarios estudios hematológicos. En las aftas mayores también puede quedar afectada la mucosa queratinizada, lo que deriva en úlceras de mayor tamaño, más duraderas y que curan dejando una cicatriz.

Diagnóstico
- Aspecto clínico e historia.
- Pruebas hemáticas para el recuento hemático total, estudios de hierro (que incluyen la ferritina sérica), los niveles de vitamina B12 sérica y sobre todo el folato de los eritrocitos (si se sospecha de anemia o anemia latente).
Tratamiento
- Tratamiento sintomático con enjuagues:
- Gluconato de clorhexidina al 0,2%, 10 mi tres veces al día.
- Enjuagues de minociclina, 50 mg en 10 mi de agua tres veces al día durante 4 días para niños de 8 años de edad.
- Hidrocloruro de benzidamina al 1,2% y enjuagues de clorhexidina.
- Esteroides tópicos:
- Triamcinolona en Orabase (aunque puede ser difícil de aplicar en niños).
- Dipropionato de beclometasona o inhaladores de asma de propionato de fluticasona rociados sobre las úlceras.
- Pomadas de betametasona.
- Corticoides sistémicos sólo en los casos más graves de ulceración aftosa mayor.
- La ulceración herpetiforme parece responder mejor a los enjuagues de minociclina.
Sólo debe considerarse la realización de una biopsia si existe alguna duda con respecto al diagnóstico clínico. Deben realizarse exámenes hematológicos para excluir una anemia o deficiencias hematínicas. Siempre que sea apropiado, el reemplazo puede mejorar la ulceración o resolver el caso. Como en todos los casos de ulceraciones orales, se aconseja el tratamiento sintomático con analgésicos y con enjuagues antisépticos. En los casos de ulceración oral recurrente grave se pueden utilizar corticoides sistémicos, pero se debe evitar su uso en niños. No deben emplearse enjuagues con minociclina en niños menores de 8 años para evitar la decoloración de los dientes. Las aftas mayores suelen presentarse en niños mayores.
Síndrome de Behçet
Este cuadro se caracteriza por una ulceración aftosa recurrente junto con lesiones genitales y oculares, pudiendo también afectar a la piel y a otros sistemas. Como se ve, las lesiones producidas por este síndrome pueden afectar a muchas partes del cuerpo. El síndrome de Behget se subdivide en cuatro tipos principales:
- Forma mucocutánea: forma clásica con afectación de las mucosas oral y genital y de la conjuntiva.
- Forma artrítica con artritis asociada a lesiones mucocutáneas.
- Forma neurológica con afectación del sistema nervioso central.
- Forma ocular con uveítis y otros signos que se suman a las lesiones orales y genitales.
Diagnóstico
- Presentación clínica.
Tratamiento
El mismo que para la ulceración aftosa recurrente, si bien suele requerirse un tratamiento sistémico con corticoides.
Eritema multiforme, síndrome de Stevens-Johnson y necrólisis epidérmica tóxica
A continuación se exponen tres cuadros que se presentan con signos clínicos y aspectos histológicos similares. Como sucede con multitud de cuadros, las diferentes nomenclaturas y errores diagnósticos han enturbiado el/los diagnóstico/s. La idea actual es que se trata de entidades patológicas distintas y se deben distinguir los agentes etiológicos para un correcto diagnostico, si bien la visión alternativa es que estos trastornos representan diferentes presentaciones del mismo trastorno básico y que se distinguen unos de otros por la gravedad y extensión de las lesiones.
Eritema multiforme (von Hebra)
La descripción original del eritema multiforme correspondía a una enfermedad cutánea autolimitante, pero a menudo recurrente y ocasional, con afectación mucosa limitada a la cavidad oral. Los labios suelen estar ulcerados, teñidos de sangre y con costras. Las máculas características («lesiones en diana») se producen en las extremidades, pero con menor afectación en el tronco o la cabeza y el cuello. Estas lesiones son concéntricas y presentan un halo eritematoso y una ampolla central. Pese a que estas lesiones son en extremo dolorosas, el curso de la enfermedad es benigno y su curación se produce sin complicaciones (fig. 8.7A-D).

Síndrome de Stevens-Johnson
La enfermedad se presenta con fiebre aguda, exantema generalizado, lesiones que afectan a la cavidad oral y una conjuntivitis purulenta grave. Las lesiones cutáneas son más extensas que las del eritema multiforme. El síndrome de Stevens-Johnson se caracteriza por erupciones vesiculoampollosas en todo el cuerpo, sobre todo en el tronco, y afecta gravemente a múltiples membranas mucosas, incluyendo la vulva, el pene y la conjuntiva. El curso de esta enfermedad es más largo y puede dejar cicatrices. Algunos autores han empleado el término «eritema multiforme mayor» para el síndrome de Stevens-Johnson y han definido este cuadro como una forma grave del eritema multiforme, sin embargo otros lo discuten. Si bien los pacientes afectados por el síndrome de Stevens-Johnson están gravemente enfermos, con poca frecuencia se produce fallecimiento (fig. 8.7E, F).
Necrólisis epidérmica tóxica (NET)
Resulta similar a la presentación clínica del síndrome de Stevens-Johnson y se la denomina también Síndrome de Lyell. Se trata de una erupción ampollosa inducida por fármacos, en ocasiones fatal, en la que se pierden capas de piel. Recuerda a las quemaduras de tercer grado o al síndrome de la piel escaldada por estafilococos. La afectación oral es similar a la del síndrome de Stevens-Johnson, por ello, la NET puede diagnosticarse de manera errónea como una forma grave del síndrome de Stevens-Johnson (dada la controversia con respecto a la nomenclatura), si bien está contraindicado el uso de esteroides ya que su utilización en esta enfermedad aumenta la mortalidad.
Etiología
El eritema multiforme suele iniciarse por la reactivación del herpes simple. Existen algunas pruebas que evidencian que el síndrome de Stevens-Johnson se inicia por la infección de Mycoplasma pneumoniae o por la reacción a fármacos. La NET está inducida por fármacos.
Presentación clínica
La tabla 8.1 muestra un resumen de estos cuadros. Debutan con fiebre, tos, dolor de garganta y malestar, seguidos de lesiones en el cuerpo y la cavidad oral que duran de 2 días a 2 semanas tras la aparición de los primeros síntomas y que se rompen rápidamente en la boca para formar úlceras. La característica más notable es el grado de esfacelación de toda la mucosa oral. Aparece una ulceración extensa y una gran costra alrededor de los labios, hemorragia oral y necrosis de piel y mucosas, que deriva en una infección secundaria. Puede ser difícil comer y beber, lo que complica el curso clínico de la enfermedad. Es preciso señalar que tanto las lesiones cutáneas como las orales producen tal malestar que puede ser necesario el uso de analgésicos narcóticos.

Tratamiento
En el caso de que aparezca un factor precipitante conocido, como una infección por herpes simple, pueden emplearse agentes antivíricos como el aciclovir tópico como una forma de profilaxis. El tratamiento suele ser sintomático y de soporte. Un problema fundamental en el transcurso de la enfermedad es el equilibrio líquido y el dolor, que se originan en gran parte por la infección secundaria de las lesiones orales. El desbridamiento de la cavidad oral con gluconato de dorhexidina al 0,2% o con hidrocloruro de benzidamina y clorhexidina resulta eficaz para eliminar muchos restos necróticos de la boca. Las áreas extensas de ulceración tienden a responder menos a la clorhexidina, pero un enjuague con minociclina parece resultar más eficaz. El papel de los esteroides sistémicos no carece de controversia, si bien pueden requerirse en aquellos casos graves que requieren de hospitalización.
El tratamiento incluye también:
- Sustitución líquida adecuada y nutrición parenteral total, en caso necesario.
- Control del dolor, que puede requerir el uso de narcóticos y sedantes.
Pénfigo
El pénfigo es una enfermedad vesiculoampollosa importante que afecta sobre todo a los adultos, si bien los niños también pueden verse afectados. Las lesiones son intraepiteliales y se rompen rápidamente, de forma que los individuos afectados no suelen darse cuenta de la formación de vesículas, sino que se quejan, en su lugar, de una ulceración que suele afectar a la mucosa bucal, el paladar y los labios.
Diagnóstico
Puede haber un signo de Nikolsky positivo (separación de las capas epiteliales superficiales de la capa basal producida por el frotamiento o por una ligera presión), y el examen citológico revela la presencia de células de Tzanck. La inmunofluorescencia directa que utiliza secciones congeladas de una biopsia oral revelará depósitos de inmunoglobulina intracelular (IgG) en el epitelio, que es un signo de esta enfermedad. En ocasiones se utiliza también la inmunofluorescencia indirecta con las muestras de sangre.
Tratamiento
- Tratamiento con corticoides sistémicos.
- Enjuagues con un antiséptico o minociclina y analgesia si es necesario.
Epidermólisis ampollosa
La epidermólisis ampollosa es el término utilizado para describir varios trastornos vesiculoampollosos de la piel y la mucosa. La clasificación más reciente se basa en cuatro tipos diferentes:
- Forma intraepitelial, no cicatricial, que se transmite de forma autosómica dominante o ligada al cromosoma X.
- Forma que afecta a la unión, con defectos en los hemidesmosomas y grandes cicatrices. Se transmite con un carácter autosómico recesivo.
- Forma dérmica con cicatrices y atrofia dérmica. Se transmite de una forma autosómica dominante.
- Forma adquirida (epidermólisis ampollosa adquirida).
Las vesículas pueden formarse desde el nacimiento o aparecer en las primeras semanas de vida, dependiendo de la forma de la enfermedad. Puede haber también una ulceración en la córnea y una hipoplasia punteada del esmalte, principalmente en la forma de la enfermedad que afecta a la unión.
Tratamiento
El tratamiento suele ser en extremo difícil debido a la fragilidad de la piel y de la mucosa oral. Se requiere un tratamiento dental preventivo para evitar la aparición de caries dentales, además de tratar las caries precoces. Se requiere un tratamiento de soporte que comporta el uso de enjuagues de gluconato de clorhexidina y quizá anestésicos tópicos como la lidocaína. Por fortuna, los niños pueden recibir tratamiento dental con anestesia general sin complicaciones laríngeas pero, en el caso adulto, las constricciones orales dificultan el acceso a la boca y podría requerirse liberar las comisuras en algunos casos. Se deben cubrir copiosamente los instrumentos con un lubricante y es necesario el uso del dique de goma.
Lupus eritematoso sistémico
El lupus eritematoso sistémico es una enfermedad multisistémica crónica que se presenta sobre todo en mujeres jóvenes. El lupus eritematoso sistémico se caracteriza de forma distintiva por la presencia de anticuerpos antinucleares que forman complejos inmunes circulantes con el ADN. Suele presentar una ulceración oral y su tratamiento incluye a menudo el uso de esteroides sistémicos.
Granulomatosis orofacial y enfermedad de Crohn
No se trata de un cuadro ulcerativo, pero la ulceración oral puede ser un signo de presentación de la granulomatosis orofacial. Esta enfermedad puede confinarse a la región orofacial o ser una manifestación de la enfermedad de Crohn (cuadro inflamatorio del tracto gastrointestinal) o de la sarcoidosis (fig. 8.8).

Presentación
- Inflamación difusa de los labios y las mejillas, al principio recurrente y que después se vuelve persistente.
- Inflamación difusa de las encías (fig. 8.8B).
- Ulceración lineal o fisuras de los surcos bucal y labial. Aspecto de «guijarro» característico de la mucosa bucal (fig. 8.8A).
- Interdigitaciones polipoides de las mucosas vestibular y retromolar.
- Los niños pueden presentar también diarrea, problemas en el crecimiento, debilidad, fatiga, anorexia y fisuras perianales o interdigitaciones cutáneas como manifestaciones de la enfermedad de Crohn.
- Se han observado cambios orales en el 10-25% de los pacientes con enfermedad de Crohn y, lo que es más importante, su aspecto puede preceder a otros síntomas sistémicos.
Diagnóstico
- Biopsia de las lesiones orales.
- Pruebas sanguíneas, incluyendo:
- Hemograma completo, recuento de leucocitos completo diferencial (para excluir leucemia), tasa de sedimentación de eritrocitos (ESR) y proteína C reactiva.
- Nivel de la enzima convertidora de angiotensina sérica (ECA) para identificar o excluir la sarcoidosis.
- Estudios de bario, endoscopia y biopsia intestinal si se sospecha de enfermedad de Crohn.
Tratamiento
- Se han advertido casos de granulomatosis orofacial que responden a fármacos tópicos o a componentes de la dieta. Puede probarse una dieta de exclusión para identificar intolerancias alimenticias.
Enfermedad de Crohn
- Prednisolona. Suele empezarse con esteroides a altas dosis (2-3 mg/kg al día durante 6-8 semanas) para poder controlar la enfermedad y reducirla.
- Sulfasalazina.
- Tratamiento dietético para la malabsorción.
- Metronidazol para la enfermedad perianal.
Más recientemente, se han utilizado también el metrotrexato, la budesonida y el infliximab (un anticuerpo monoclonal que neutraliza el factor necrótico tumoral [TNF] a) en el tratamiento de la enfermedad de Crohn. Se sigue investigando acerca del uso de un tratamiento paratuberculósico (rifabutina, claritromicina y clofazimina) y de la talidomida para los casos refractarios en adultos.
Síndrome de Melkersson-Rosenthal
El síndrome de Melkersson-Rosenthal es considerado por algunos una forma de granulo matosis orofacial.
Presentación
- Inflamación orofacial recurrente o persistente que dura desde 1 hora hasta varios meses.
- Parálisis del nervio facial.
- Lengua fisurada (plicata).
Al diagnóstico del síndrome de Melkersson-Rosenthal se llega a veces sin esta tríada; existe controversia con respecto a su existencia o el lugar que ocupa dentro de los trastornos asociados a granulomas orofaciales.
Lesiones pigmentadas, vasculares y rojas
Si una lesión tiene un color rojo o azulado, se debe sospechar una lesión vascular. Estas lesiones se blanquean al presionarlas con un portaobjetos (o con el extremo de un tubo de pruebas si el acceso es difícil) cuando se retira la sangre de los vasos. Las lesiones melánicas, diferentes de las pigmentaciones raciales, son infrecuentes en los niños. Una lesión característica en niños pequeños es el tumor neuroectodérmico melanótico de la infancia.
Diagnóstico diferencial
- Pigmentación racial (fig. 8.9).
- Lesiones vasculares:
- Hemangioma.
- Otras malformaciones vasculares.
- Hematoma.
- Petequias y púrpura.
- Teleangiectasia hemorrágica hereditaria.
- Síndrome de Sturge-Weber.
- Lesiones pigmentadas (que contienen melanina):
- Tumor neuroectodérmico melanótico de la infancia.
- Síndrome de Peutz-Jeghers.
- Enfermedad de Addison.
- Otras lesiones rojas, azules o púrpuras:
- Épulis de células gigantes/granuloma periférico de células gigantes.
- Quiste de erupción.
- Histiocitosis de células de Langerhans.
- Lengua geográfica.
- Glositis romboidal media.
- Displasia mucoepitelial hereditaria.
- Cianosis.
- Toxicidad con metales pesados.

Lesiones de origen vascular
Hemangioma
Los hemangiomas son hamartomas endoteliales. Suelen presentarse en el nacimiento y pueden crecer con el niño, pero pueden disminuir con el tiempo hasta desaparecer en la adolescencia. Por ello, no requieren más tratamiento que la observación, salvo si existen preocupaciones cosméticas.

Otras malformaciones vasculares
Dentro de las malformaciones arteriovenosas se encuentran las marcas de nacimiento, las alteraciones de los vasos sanguíneos y las anomalías linfáticas. Son mortales en potencia, y en ocasiones se presentan con una abundante hemorragia. Kaban y Mulliken (1986) han clasificado las malformaciones arteriovenosas dependiendo de sus características de flujo en:
- Lesiones de poco flujo: tinciones capilares, venosas, linfáticas o de vino de Oporto combinadas, síndrome de Sturge-Weber.
o bien
- Lesiones de mucho flujo: arteriales con fístulas arteriovenosas (fig. 8.11), que se presentan con dientes móviles y, en ocasiones, dolorosos así como pulsos palpables y auscultables, encías sangrantes y afectación ósea.
- Lesiones combinadas: malformaciones venosas y arteriovenosas combinadas extensas.

Diagnóstico
- Su presentación puede ser sutil, en forma de un sangrado prolongado en las encías después del cepillado, o bien, como un episodio hemorrágico muy intenso y único.
- Las lesiones vasculares suelen estar calientes al tacto, pero resultan difíciles de detectar si se llevan puestos los guantes.
- En las radiografías puede apreciarse un ensanchamiento del espacio periodontal y una trabeculación difusa anormal del hueso.
- Puede apreciarse igualmente un pulso o ruido en la auscultación de las lesiones de flujo alto.
- Los dientes pueden presentarse muy móviles y con movimientos pulsátiles.
- A medida que las lesiones se expanden, puede aparecer una asimetría facial.
- Se precisa la realización de una angiografía de sustracción digital (fig. 8.11B) para establecer el diagnóstico definitivo de los vasos nutricios y la distribución de la lesión.
- Como ayuda al diagnóstico, puede realizarse una angiografía de resonancia magnética, pero la angiografía de sustracción digital presenta como ventaja que permite la embolización al mismo tiempo.

Tratamiento
- Las lesiones de flujo bajo pueden eliminarse mediante una cirugía cuidadosa y la identificación y ligado de los vasos nutricios. Las lesiones mayores deben tratarse con crioterapia, ablación láser o inyección de soluciones esclerosantes.
- Las lesiones de flujo alto requieren la embolización selectiva de los vasos, pero recidivarán después de la embolización debido a la revascularización a partir de la irrigación contralateral y a la recanalización de la arteria embolizada. Suele requerirse la práctica de embolizaciones y resecciones repetidas de toda la lesión, lo que incluye la reconstrucción de la mandíbula.
- Si se extrae un diente de forma accidental y se produce una hemorragia muy intensa, algunos especialistas sugieren reemplazar inmediatamente el diente extraído y tomar medidas adicionales para controlar la hemorragia.
Linfangioma
El diagnóstico de las anomalías del desarrollo de los vasos linfáticos debe excluir la afectación vascular. Su escisión quirúrgica sólo resulta necesaria si existen implicaciones funcionales o estéticas (fig. 8.10C).
El higroma quístico es un término utilizado para describir un linfangioma de gran tamaño que afecta a la lengua, el suelo de la boca y el cuello. La expansión de la lesión puede causar una obstrucción respiratoria y suele tratarse con resecciones múltiples a lo largo del tiempo, con ablación láser o con crioterapia.
Petequias y púrpura
Las petequias son pequeñas hemorragias submucosas o subcutáneas del tamaño de una punta de alfiler. La púrpura o equimosis se presenta como grandes acúmulos de sangre.
Estas lesiones suelen presentarse en pacientes con trastornos graves de la coagulación o con coagulopatías, leucemia y otros cuadros, como endocarditis infectiva. Su color inicial es rojo brillante, pero cambiará a un tono marrón-azulado con el tiempo a medida que la sangre extravasada se metabolice.
Telangiectasia hemorrágica hereditaria (enfermedad de Rendu-Osler-Weber)
Trastorno autosómico dominante que se presenta como una anomalía del desarrollo de los capilares. Las lesiones pueden ser planas y pequeñas o presentarse como nódulos hemorrágicos o nevos en araña. El sangrado como resultado de la afectación de los tractos gastrointestinal y respiratorio puede llevar a anemia crónica.
Síndrome de Sturge-Weber
Este síndrome se presenta normalmente con:
- Angiomatosis encefalotrigeminal.
- Epilepsia.
- Retraso mental.
- Calcificación de la hoz cerebral.
- Las lesiones vasculares afectan a las leptomeninges, y las lesiones periféricas se extienden por el territorio del V nervio.
La extracción de los dientes de las zonas del maxilar o la mandíbula afectados debe realizarse con precaución y sólo después de un examen riguroso de la extensión de la anomalía. Sin embargo, se ha citado que no suelen presentar complicaciones (v. Otras malformaciones vasculares más arriba).

Síndrome de Maffucci
Se manifiesta con múltiples hemangiomas y encondromas de los huesos pequeños de las manos y los pies. Sólo un número reducido de casos presenta lesiones orales, sobre todo hemangiomas.
Lesiones que contienen melanina
Síndrome de Peutz-Jeghers
Es un trastorno autosómico dominante que se caracteriza por múltiples lesiones pigmentadas de pequeño tamaño en la mucosa oral y la piel circumoral que presentan un aspecto muy parecido a lunares oscuros. Este síndrome está asociado de forma importante a la poliposis intestinal del colon, por tanto deben realizarse estudios gastrointestinales a tal efecto.
Lesiones eritematosas
Quiste o hematoma de erupción
Se denomina así al crecimiento folicular justo antes de la erupción de los dientes. Estas lesiones tienden a presentar un color negro azulado, ya que pueden contener sangre, y no precisan tratamiento salvo en caso de infección. Se debe tranquilizar al niño y a los padres y dejar que el folículo estalle de forma espontánea, o bien, se puede abrir de forma quirúrgica si se infecta (fig. 8.13).

Displasia mucoepitelial hereditaria
Se trata de un trastorno muy poco frecuente caracterizado por un número reducido de desmosomas de unión de las células epiteliales. La mucosa (queratinizada y no queratinizada) presenta un color rojo fuego y va asociada a ceguera, queratosis cutánea y alopecia. Una biopsia gingival y/o mucosa confirma el diagnóstico. Se necesita un microscopio electrónico de transmisión para demostrar la existencia de un número reducido de desmosomas y de inclusiones intracelulares amorfas. Las lesiones orales suelen ser asintomáticas y la pérdida de visión es progresiva debido a la vascularización de la córnea, por lo que los injertos corneales no dan buen resultado, ya que también sufren vascularización.
Lengua geográfica
Este cuadro recibe también los nombres de glositis migratoria, eritema migratorio o exantema lingual errante. Se presenta como zonas de depapilación y eritema con un margen queratinizado abultado en los márgenes laterales y en la superficie dorsal de la lengua. El aspecto de las lesiones es similar a un mapa (de ahí su calificativo de «geográfica») y su distribución puede variar a lo largo del tiempo (de ahí su calificativo de «migratoria»). Las zonas afectadas pueden recuperar la normalidad y pueden aparecer lesiones nuevas en otras zonas de la lengua. En ocasiones es sintomática, y para los niños que presentan dolor puede ser útil la administración de corticoides tópicos (fig. 8.14A).

Lengua fisurada
También recibe los nombres de lengua plicada, lengua escrotal, lengua fisurada o lingua secta. La lengua de estos pacientes está fisurada y las fisuras aparecen perpendiculares a los bordes laterales. Aunque supone una variación de la normalidad, se trata de una dolencia común en niños con síndrome de Down. Algunos pacientes con lengua fisurada presentarán también lengua geográfica, y las fisuras de la lengua son las características del síndrome de Melkersson-Rosenthal (fig. 8.14B).

Epúlides y lesiones exofíticas
Diagnóstico diferencial
- Hiperplasias inflamatorias:
- Épulis fibroso/granuloma piogénico.
- Épulis de células gigantes/granuloma periférico de células gigantes.
- Épulis congénito del recién nacido.
- Papiloma escamoso/verrugas víricas.
- Condiloma acuminado.
- Quiste/hematoma de erupción.
- Tumor neuroectodérmico melanótico de la infancia.
- Esclerosis tuberosa.
- Mucocele.
- Linfangioma.
Épulis fibroso
Se trata de uno de los epúlides más frecuentes en niños y resulta de una reacción fibroepitelial a la placa. Suele aparecer en las papilas interdentales y su color varía desde el rosa al rojo y el amarillo; los amarillos están ulcerados. El nombre de granuloma piogénico es utilizado por algunos para describir las lesiones en extremo vascularizadas (fig. 8.15A).

Tratamiento
Higiene oral y escisión quirúrgica. Las lesiones pueden recidivar, sobre todo si no se mantiene una buena higiene oral.
Épulis de células gigantes/granuloma periférico de células gigantes
Estas lesiones suelen presentarse en la región de la dentición temporal y suelen tener un color púrpura oscuro. En ocasiones se observa una pérdida de hueso en la cresta alveolar que da lugar a una «copa radiográfica». Es importante asegurarse de forma radiográfica de que no existe un componente intraóseo, puesto que en ese caso el diagnóstico sería el de granuloma central de células gigantes. Como sucede con las lesiones de células gigantes del maxilar y la mandíbula, se debe incluir el hiperparatiroidismo cuando se lleve a cabo el diagnóstico diferencial (fig. 8.15B).

Tratamiento
- Escisión quirúrgica.
- Exámenes hematológicos para determinar el calcio, el fósforo, la fosfatasa alcalina y la hormona paratiroidea.
- Si las lesiones no se reseccionan en su totalidad, pueden recidivar.
Papiloma escamoso
Un papiloma escamoso es una neoplasia benigna que se presenta como un crecimiento de la mucosa en forma de coliflor. El color de la lesión depende del grado de queratinización. La lesión es, desde el punto de vista clínico, indistinguible de una verruga vírica (fig. 8.15E).
Tratamiento
Escisión quirúrgica, incluyendo el tallo y el reborde de tejido normal.
Verrugas víricas
Infección vírica por el virus del papiloma humano. Las lesiones pueden ser únicas o múltiples, y se precisa considerar la presencia de verrugas en otras partes del cuerpo, sobre todo en las manos y los dedos.
Tratamiento
Escisión quirúrgica. Si existen muchas lesiones en el ámbito extraoral, puede precisarse instaurar también un tratamiento dermatológico.
Épulis congénito
El épulis congénito es una lesión benigna de origen desconocido que sólo se presenta en neonatos. Las lesiones se distribuyen regularmente en las arcadas maxilar y mandibular y pueden ser múltiples en el 10% de los casos observados. Son 10 veces más frecuentes en niñas que en niños y se originan en la cresta gingival, pero se cree que su origen no es odontogénico. La inflamación se caracteriza por la proliferación de células mesenquimáticas con un citoplasma granular y habitualmente pedunculado.
Existe controversia acerca de la histogénesis de esta lesión, ya que el épulis congénito es histológicamente indistinguible del tumor extragingival de células granulares, que suele afectar a la lengua. Desde el punto de vista inmunoquímico, el épulis congénito es negativo para S100, mientras que el tumor de células granulares es positivo para CD68 y S100. Se ha indicado que el épulis congénito es una lesión no neoplásica, quizá reactiva, que se origina en las células mesenquimáticas perivasculares gingivales primitivas con potencial para la citodiferenciación del músculo liso (fig. 8.15C).
Terminología alternativa
Tumor congénito de células granulares, tumor de Neumann, épulis de células granulares, tumor gingival de células granulares.
Tratamiento
Las lesiones suelen remitir con el tiempo; sin embargo, las lesiones mayores que interfieren con la alimentación precisan su escisión quirúrgica. Las lesiones mayores suelen aparecer en el nacimiento y pueden ser letales debido a la obstrucción respiratoria. La erupción de la dentición temporal no se ve afectada por los tratamientos quirúrgico o conservador, y la lesión no suele recidivar.
Esclerosis tuberosa
La esclerosis tuberosa es un trastorno autosómico dominante caracterizado por crisis, retraso mental y adenoma sebáceo de la piel. Puede haber epúlides o aumentos de tamaño gingivales nodulares generalizados, que podrían deberse, en algunos casos, a malformaciones vasculares que pueden sangrar profusamente al reseccionarlos. Suele presentarse una hipoplasia del esmalte en forma de superficie picoteada que se aprecia claramente con el uso de soluciones reveladoras (fig. 8.15D).
Hipertrofias gingivales (sobrecrecimiento)
Diagnóstico diferencial
Hiperplasia inducida por fármacos:
- Fenitoína.
- Ciclosporina A.
- Nifedipina.
- Verapamilo.
Síndromes con hipertrofia gingival como característica principal:
- Fibromatosis gingival hereditaria.
- Otros síndromes.
Hipertrofia por fenitoína
No todos los pacientes que toman fenitoína presentan una hipertrofia gingival. Las partes que aumentan de tamaño son principalmente las papilas interdentales. Podría manifestarse un retraso en la erupción de los dientes debido al volumen de tejido fibroso presente y a la erupción ectópica. Se ha sugerido que el sobrecrecimiento se debe al descenso en la degradación del colágeno y a la fagocitosis, así como a un incremento en la síntesis de colágeno. La retirada del fármaco resolverá el cuadro en todos los casos excepto en los más graves. La mejor manera de controlar la hipertrofia es una buena higiene oral (fig. 8.16A, B).

Tratamiento
- Mantenimiento de la higiene oral.
- Uso de enjuagues de clorhexidina al 0,2%.
- Puede ser necesaria una gingivectomía para permitir la erupción de los dientes o por estética.
Hipertrofia por ciclosporina A
Actualmente un número considerable de niños reciben trasplantes de riñón, hígado, corazón y corazón/pulmón combinados. El principal fármaco inmunosupresor antirrechazo es la ciclosporina A. El 30-70% de los pacientes experimenta sobrecrecimiento gingival por la administración de ciclosporina, si bien determinados pacientes parecen tener un umbral por debajo del cual no se produce el sobrecrecimiento gingival. La hipertrofia no está directamente relacionada con la dosis recibida, pero se agrava cuando el fármaco se administra a una edad temprana (fig. 8.16C, D).
Hipertrofia por nifedipina y verapamilo
Estos dos fármacos son bloqueadores de los canales del calcio y se utilizan para controlar la insuficiencia coronaria y la hipertensión en adultos; su uso principal en niños es para controlar la hipertensión inducida por ciclosporinas después de un trasplante. Además de la ciclosporina A, que es utilizada invariablemente por los pacientes afectados, se añade como responsable de esta lesión a un incremento en el volumen del compartimento extracelular.
Tratamiento
- Al igual que sucede con la hiperplasia por fenitoína, resulta fundamental el mantenimiento de la higiene oral.
- Se requiere llevar a cabo una gingivectomía.
- En niños con hipertrofia grave, puede requerirse un procedimiento en toda la boca.
En estos casos, se debe optar por los colgajos periodontales para conseguir el cierre primario.
Fibromatosis gingival hereditaria
Varios síndromes producen hipertrofia gingival, y los hay que incluyen incapacidades en el aprendizaje. Estos síndromes pueden presentarse espontáneamente o tratarse de un rasgo autosómico dominante o autosómico recesivo (fig. 8.16E).
Tratamiento
La gingivectomía o los colgajos periodontales permiten la erupción dental y mantienen la estética. El examen histopatológico del tejido reseccionado ayuda al diagnóstico de algunas de las causas más raras de hipertrofia gingival sindrómica (ej. fibromatosis hialina juvenil).
Exfoliación prematura de los dientes temporales
La pérdida prematura de los dientes temporales es un signo diagnóstico importante. La mayoría de los cuadros que se presentan con pérdida precoz son graves, y se debe llevar a cabo un estudio inmediato de un niño que se presente con una pérdida inexplicable de los dientes. Los dientes pueden perderse debido a alteraciones metabólicas, enfermedad periodontal grave, trastornos del tejido conjuntivo, neoplasias, pérdida de hueso alveolar de soporte o trauma autoinfligido.
Diagnóstico diferencial
Neutropenias:
- Neutropenia cíclica.
- Agranulocitosis congénita.
Defectos cualitativos de los neutrófilos:
- Periodontitis prepuberal.
- Periodontitis juvenil.
- Defecto de adhesión de los leucocitos.
- Síndrome de Papillon-Lefévre.
- Enfermedad de Chédiak-Higashi.
- Acatalasia.
Trastornos metabólicos:
- Hipofosfatasia.
Trastornos del tejido conjuntivo:
- Síndrome de Ehlers-Danlos (tipos IV y VIII).
- Eritromelalgia.
- Acrodinia.
- Escorbuto.
Neoplasias:
- Histiocitosis de células de Langerhans.
- Leucemia mieloide aguda.
Hipofosfatasia.
Autolesiones:
- Neuropatías sensitivas hereditarias.
- Síndrome de Lesch-Nyhan.
- Trastornos psicóticos.
Enfermedad periodontal en niños
No es infrecuente la presencia de gingivitis en niños, pero la periodontitis con pérdida ósea alveolar suele ser la manifestación de un defecto inmunológico subyacente serio. Dos formas de enfermedad periodontal en niños, la periodontitis prepuberal y la periodontitis juvenil, se asocian a una flora bacteriana característica que incluye Actinobacillus actinomy-cetemcomitans, Prevotella intermedia, Eikenella corrodens y Capnocytophaga sputigena. Se cree que la presencia de estas bacterias está relacionada con una menor resistencia del huésped, sobre todo con la neutropenia o los defectos en la función de los neutrófilos. Los defectos en las células B muestran pocos cambios orales, pero la función alterada de las células T se manifestará con gingivitis, periodontitis y candidiasis graves (fig. 8.17D).

Neutropenias y defectos cualitativos de los neutrófilos
Neutropenia
- Niveles en sangre periférica < 1.500/ml.
- Las formas agudas suelen ser mortales.
- Las formas crónicas tienen una progresión benigna.
- Formas cíclicas (v. más adelante) caracterizadas por episodios recurrentes.
- Intermitente como parte del síndrome de Shwachman.
Neutropenia cíclica
En este cuadro existe una disminución episódica del número de neutrófilos cada 3-4 semanas. Los recuentos de neutrófilos periféricos suelen bajar a cero y, durante este tiempo el niño es en extremo susceptible a las infecciones. Cuando el número de células es bajo, suele producirse una ulceración oral recurrente y los dientes sufren problemas gingivales y periodontales progresivos (fig. 8.17A, B).
Tratamiento
- Tratamiento preventivo precoz.
- Tratamiento dental en todas las fases del ciclo.
- Enjuagues o geles de clorhexidina al 0,2%.
- En los casos graves, puede considerarse la extracción electiva de los dientes temporales.
- En algunos casos conocidos, el cuadro parece remitir por completo durante la adolescencia.
Defecto de adhesión de los leucocitos
Trastorno autosómico recesivo grave asociado a un nivel inferior de adhesión de las moléculas o de los leucocitos periféricos que da lugar a una resistencia a la infección muy disminuida (fig. 8.17C, D).
Son necesarias las moléculas CD11/CD18 para que la fagocitosis sea eficaz. En estos niños las heridas tardan en cicatrizar y se observan ulceraciones graves y persistentes, así como celulitis sin formación de pus. Los niños presentan una cicatrización más lenta de las heridas, inflamación gingival grave y pérdida prematura de dientes temporales. También existe una leucocitosis elevada y una médula reactiva, pero sin evidenciar leucemia. Un indicador importante de este trastorno es el desprendimiento tardío del cordón umbilical tras el nacimiento.
Diagnóstico
Se confirma con un examen leucocitario para la expresión de marcadores de superficie CD11/CD18 mediante técnicas de inmunofluorescencia y análisis citofluorográficos.
Tratamiento
- La mayoría de los niños sucumben a las infecciones masivas.
- En algunos casos, pueden resultar efectivas las transfusiones de granulocitos y los trasplantes de médula ósea.
Síndrome de Papillon-Lefévre
Se trata de un trastorno autosómico recesivo caracterizado por una hiperqueratosis de las manos y los pies y por la exfoliación progresiva de todos los dientes debido a una enfermedad periodontal. La causa de tal enfermedad se atribuye a A. actinomycetemcomitans en asociación a un defecto cualitativo de los neutrófilos y mutaciones de las proteasas lisosomales del gencatepsina C en 11 q 14-21. Los dientes temporales empiezan a desprenderse en el momento de su erupción sin que se evidencie reabsorción radicular. Todos los dientes temporales suelen perderse antes de que erupcionen los dientes permanentes cuando ellos mismos se exfolian (fig. 8.18).

Diagnóstico
- Los cambios orales y las lesiones cutáneas son patognomónicos de este trastorno.
- El cultivo anaerobio selectivo de A. actinomycetemcomitans es complicado y resulta más fiable utilizar un sistema de ensayo por inmunoabsorción ligado a enzimas (ELISA) para detectar anticuerpos IgG contra este microorganismo.
Tratamiento
Ningún tratamiento da resultados satisfactorios. Se ha defendido la extracción de todos los clientes temporales restantes antes de la erupción de los dientes permanentes. El tratamiento periodontal intensivo con metronidazol y clorhexidina para eliminar o erradicar A. actinomycetemcomitans puede retrasar la inevitable exfoliación de los dientes, aunque persiste el defecto básico en la función de los neutrófilos. Se ha recomendado también el tratamiento de otros miembros de la familia y de las mascotas (especialmente los perros) si se comprueba que albergan la bacteria. Algunos artículos han citado el uso de derivados de la vitamina A que mejoran el pronóstico de la enfermedad. En todos los casos es necesario planificar la extracción total y colocar dentaduras para evitar el dolor y la desfiguración. Se deben llevar a cabo procedimientos que incluyan la extracción de dientes permanentes para minimizar una pérdida ósea excesiva.
Enfermedad de Chédiak-Higashi
Se trata de un trastorno autosómico recesivo raro que afecta a la conservación de los lisosomas y provoca un defecto cualitativo de los neutrófilos. Existe una quimiotaxis defectuosa de los neutrófilos y una degranulación anormal que deriva en muerte intracelular defectuosa. Existe también una función anormal de las células B y T, así como trombocitopenia. La mayoría de los niños fallecen a los 10 años debido a una sepsis. Los dientes se pierden debido a una enfermedad periodontal grave con pérdida ósea alveolar rápida.
Enfermedad periodontal en niños asociada a VIH
Existen pocos casos que documenten la enfermedad periodontal en niños pequeños. En adolescentes se han citado casos de gingivitis ulcerativa necrotizante aguda (GUNA) y un eritema gingival marginal lineal característico. Resultan fundamentales una excelente higiene oral y un meticuloso control de la placa, así como un tratamiento de soporte que incluye la dorhexidina y el metronidazol.
Histiocitosis de células de Langerhans (diseminada)
Este cuadro recibió en un principio el nombre de histiocitosis X, e incluía el granuloma eosinófilo, la enfermedad de Hand-Schüller-Christian y la enfermedad de Letterer-Siwe, y todas tienen en común la proliferación de células de Langerhans. Las lesiones orales se presentan de forma característica en los cuatro cuadrantes y afectan a los tejidos que recubren o dan soporte a los primeros molares temporales. Las lesiones se extienden normalmente hacia los caninos, pero no suelen afectar a los incisivos (fig. 8 19).

Presentación
- Malestar, irritabilidad.
- Exantema anogenital y postauricular.
- Diabetes insípida.
- Exposición prematura por reabsorción alveolar y pérdida subsiguiente de los dientes temporales, sobre todo los molares.
- En las radiografías, los dientes parecen estar «flotando en el aire».
- Normalmente se produce afectación de los cuatro cuadrantes.
Diagnóstico
- Biopsia de las lesiones orales o cutáneas y células positivas para S100.
- Con el microscopio electrónico de transmisión, las células de Langerhans muestran los cuerpos de Birbeck característicos.
Tratamiento
- Se precisa la escisión y el curetaje de las lesiones orales, así como la extracción de los dientes afectados para controlar las lesiones orales.
- Se requiere una quimioterapia multiagente para las enfermedades diseminadas, que resultará más eficaz si se comienza de forma precoz.
Hipofosfatasia
El descenso en la fosfatasa alcalina sérica y el aumento en la excreción urinaria de fosfoenolamina (PEA) son patognomónicos de la hipofosfatasia. La forma más habitual se transmite con un patrón autosómico dominante, mientras que la forma autosómica recesiva es invariablemente letal. Se suelen perder, al menos, algunos de los incisivos antes de los 18 meses. Varios autores han identificado grupos de niños que manifiestan sólo cambios dentales y que presentan la pérdida precoz de dientes sin cambios óseos por raquitismo. Para estos pacientes se ha sugerido el denominado cuadro de odontohipofosfatasia, aunque se trata de un término inadecuado, ya que la pérdida de dientes por sí sola es sólo un extremo del espectro en la expresión variable de esta enfermedad. En estos niños se producen menos cambios graves, y hemos observado que la dentición permanente queda sin afectación (fig. 8.20).

Diagnóstico
- Niveles de fosfatasa alcalina sérica inferiores a 90U/I. El rango normal se encuentra en 80-350 U/l, pero los niños en crecimiento suelen tener niveles que superan ampliamente estos valores (>400 U/l).
- Se precisan pruebas de PEA en orina y de piridoxal-5-fosfato sérico (vitamina Bs) para confirmar el diagnóstico. Se debe realizar un estudio esquelético de los huesos largos, ya que suelen producirse cambios raquíticos en los casos graves.
- Las secciones de los dientes exfoliados muestran un cemento anormal o ausente.
Automutilación
Existen varios trastornos que se presentan con automutilación:
- Neuropatías sensoriales hereditarias (insensibilidad congénita al síndrome doloroso).
- Síndrome de Lesch-Nyhan (deficiencia de hipoxantina guanina fosforribosiltransferasa).
Las neuropatías hereditarias son trastornos hereditarios infrecuentes que afectan al número y distribución de las pequeñas fibras nerviosas mielinizadas y desmielinizadas. La mayoría de las categorías de los sistemas de clasificación surgen de las diferentes presentaciones clínicas; los términos utilizados incluyen la indiferencia o insensibilidad congénita al dolor, la disautonomía, la anestesia sensorial, los panadizos indoloros de los dedos y las úlceras plantares recurrentes con osteomielitis.
El término «indiferencia al dolor» en estos casos es erróneo, ya que la indiferencia implica una falta de atención cerebral o una disfunción cognitiva. Los pacientes con «indiferencia» reciben correctamente los estímulos dolorosos, pero fallan en la reacción habitual de defensa que es la retirada. Sin embargo, en los pacientes con «insensibilidad al dolor», se preservan los reflejos de los tendones profundos porque los controlan fibras mielinizadas de gran diámetro y la falta de percepción del dolor se debe a una neuropatía periférica (fig. 8.21).

Diagnóstico
El diagnóstico de estos cuadros suele hacerse por exclusión y por la observación minuciosa del niño. No es infrecuente que transcurran algunos meses hasta que se realice un diagnóstico correcto y, en ausencia de otras enfermedades, los padres o los cuidadores pueden sospechar incorrectamente de abuso en el niño o de padecer el síndrome de Münchhausen. La incapacidad para reconocer o sentir el dolor hace que estos niños se avulsionen los dientes y se infrinjan extensos traumatismos en las encías, la lengua o la mucosa, bien con los dedos o mordiendo y masticando.
La ulceración autoinfligida (ulceración simulada) se puede producir también como un hábito (parecido a morderse las uñas), pero también como una manifestación de trastornos psicológicos.
Tratamiento
- Tallado selectivo de las cúspides de los dientes o reconstrucción «en cúpula» de la meseta oclusal con resina composite para obtener una superficie lisa.
- Férulas acrílicas o férulas de plata sobrepuestas para evitar ulceraciones importantes de la lengua o los dedos.
- Como última opción, puede requerirse la extracción de los dientes en los casos más graves.
El tratamiento inicial de los niños pequeños suele requerir su inmovilización para impedir que se autolesionen. Incluso con los padres más atentos, resulta imposible la vigilancia constante y los niños seguirán lesionándose incluso cuando se les proporcionen los mejores cuidados. Se precisa la intervención de terapeutas ocupacionales que ayuden a los padres y puedan acondicionar los hogares con medidas protectoras, como el uso de prendas de ropa almohadilladas, férulas para los brazos, cascos y otros dispositivos de protección. Si aparecen laceraciones en la lengua y en otros tejidos, los protectores bucales y otros dispositivos impedirán la oclusión de los dientes. Es mejor colocar aparatos en la arcada inferior que en la superior. En los casos graves en los que no se puede tratar la mutilación, se ha utilizado toxina botulínica A (Botox) para paralizar selectivamente los músculos elevadores principales de la mandíbula (pterigoideo medial y masetero).
Pronóstico
La mayoría de los niños con neuropatías sensoriales periféricas tiene un mal pronóstico y, en un caso tratado por uno de los autores, el niño falleció por una neumonía no diagnosticada antes de los 3 años. Los niños acuden al hospital repetidamente, se fracturan los huesos largos y presentan lesiones en las extremidades e infecciones crónicas recurrentes. En un paciente de estas características, el patrón de lesiones traumáticas se repite y es:
- Pérdida prematura de todos los dientes temporales anteroinferiores.
- Ulceración crónica de los alveolos inferiores.
- Quemaduras de segundo grado en el antebrazo derecho con un radiador.
- Fractura del húmero izquierdo (durante el ingreso en el hospital) con osteomielitis multifocal posterior.
- Fractura del cóndilo izquierdo y de la sínfisis mandibular.
- Muerte como consecuencia de una sepsis repiratoria a los 2 años de edad.
Ehlers-Danlos tipo IV y tipo VIII
Estos errores congénitos del metabolismo se presentan como trastornos de la formación del colágeno. Normalmente, aparece una hiperextensibilidad de la piel, con fragilidad capilar así como equimosis en piel e hipermovilidad de las articulaciones. Los tipos IV y VIII pueden presentar complicaciones dentales, sobre todo enfermedad periodontal progresiva con el resultado de la pérdida de los dientes.
Eritromelalgia
Es un trastorno muy poco frecuente que se caracteriza por un exceso de actividad simpática que provoca una endarteritis y la sensación de calor en las articulaciones. Se ha citado un caso con pérdida de los dientes temporales y permanentes a los 4 años de edad. La niña presentaba una movilidad extrema de las articulaciones, y en invierno dormía en un suelo de baldosas debido al calor en las piernas. También presentaba una taquicardia inexplicable de 200 latidos por minuto y su diagnóstico constituyó un misterio durante muchos meses. Los dientes se exfoliaron debido a la necrosis del hueso alveolar.
Acrodinia (enfermedad rosa)
La intoxicación por mercurio provoca destrucción alveolar y secuestros. Actualmente es muy poco frecuente, pero antiguamente se diagnosticaba en relación con el uso de polvos para la dentición que contenían mercurio.
Acatalasia
Deficiencia autosómica recesiva en catalasa de los neutrófilos que provoca una destrucción periodontal. Muy infrecuente fuera de Japón.
Escorbuto
Casi desconocido en la actualidad, este defecto nutricional de la vitamina C provoca un trastorno del tejido conjuntivo. Los dientes se pierden debido a un fallo en la hidroxilación de la prolina y la consiguiente reducción en la síntesis del colágeno.
Patología oral del recién nacido
Diagnóstico diferencial
- Quistes de queratina del recién nacido:
- Perlas de Epstein.
- nódulos de Bohn.
- Épulis congénito del recién nacido.
- Tumor de células granulares (mioblastoma de células granulares).
- Tumor neuroectodérmico melanótico de la infancia.
- Dientes natales/neonatales.
Quistes del recién nacido
Perlas de Epstein
Estos nódulos duros y elevados son pequeños quistes queratinizados que se forman de los restos epiteliales atrapados a lo largo de las líneas de fusión en los procesos embrionarios. Aparecen en la línea media del paladar duro, con mayor frecuencia en su parte posterior.

Nódulos de Bohn
Se trata de restos de las láminas dentales y suelen presentarse en la parte bucal de los rebordes alveolares maxilares.
Tratamiento
No precisan más tratamiento que el de tranquilizar a los padres.
Tumor neuroectodérmico melanótico de la infancia
Un tumor pediátrico poco frecuente pero de importancia que proviene de las células de la cresta neural y afecta de forma predominante al maxilar superior. Puede aparecer durante el nacimiento, si bien todos los casos registrados se han diagnosticado hacia los 4 meses de edad. Parecido a un neuroblastoma, se da con un aumento en los niveles urinarios de ácido vanililmandélico (un producto terminal de las catecolaminas). Sus lesiones pueden ser multicéntricas y aproximarse muy estrechamente a los tejidos dentales, pero sin llegar a afectarlos debido a su origen ectomesenquimático. En la zona intraoral, las lesiones son hinchazones circunscritas que pueden presentar el aspecto de una mucosa normal y un tono negro azulado que podría asociarse a la erupción prematura de los incisivos temporales.
Diagnóstico
Tomografía computarizada seguida de una biopsia escisional debido al crecimiento extremadamente rápido de la lesión. Este trastorno suele ser tan exclusivo, por la edad y por el lugar, que su diagnóstico no suele plantear ninguna dificultad.
Tratamiento
- Enucleación del tumor y de los dientes temporales afectados.
- Raspado del suelo óseo de las numerosas cavidades.
- Está contraindicada la radioterapia.
- Las recidivas son rarísimas.
Enfermedades de las glánculas salivales
Diagnóstico diferencial
- Mucocoele.
- Ránula.
- Sialolitos.
- Paperas.
- Parotiditis autoinmunitaria.
- Parotiditis bilateral asociada a bulimia.
- Aplasia (o hipoplasia) de las glándulas salivales mayores.
Mucocoele
Quiste de extravasación mucosa
El quiste más común de la cavidad oral, el quiste de extravasación mucosa, surge como consecuencia de la lesión del conducto de una de las glándulas salivales menores en el labio (inferior) o la mejilla. Suele deberse a la mordedura del labio o a otras lesiones menores. El moco crece en el tejido conjuntivo y se rodea de tejido fibroso. Muchos mucoceles son tumefacciones azuladas bien circunscritas, si bien las lesiones traumatizadas pueden presentar una superficie queratinizada.

Tratamiento
- Algunos quistes curan espontáneamente.
- Escisión quirúrgica, preferentemente junto con las glándulas salivales menores que se le asocian.
Quiste de retención mucosa
Resulta menos frecuente que el quiste de extravasación mucosa y presenta un aspecto clínico idéntico o similar, salvo por estar recubierto de epitelio.
Ránula
Es un quiste mucoso (extravasación) del suelo de la boca causado por una lesión del conducto de las glándulas submandibular o sublingual. Forma un flemón blando de color azul en un lado del suelo de la boca. Se forma una ránula sumergida cuando la lesión se hernia a través del músculo milohioideo y llega a afectar al cuello (fig. 8.23C).
Tratamiento
- Escisión quirúrgica.
- Las lesiones mayores pueden requerir marsupialización en primera instancia.
Sialoadenitis
Esta inflamación de las glándulas salivales mayores puede deberse a:
- Infecciones víricas:
- Paperas o infección por citomegalovirus. Produce una parotiditis bilateral no supurativa, normalmente epidémica.
- Infección por el virus de la inmunodeficiencia humana (VIH) y SIDA. Un 10-15% de los niños con SIDA presentan una parotiditis bilateral.
- Infecciones bacterianas:
- Infección supurativa, normalmente retrógrada.
- Autoimmune:
- Síndrome de Sjógren (en general visto en pacientes de edad avanzada).
- Parotiditis autoinmune bilateral. Presenta aspecto de sialectasia punctata en el sialograma.
- Bulimia:
- En la bulimia nerviosa, se produce con frecuencia un aumento en el tamaño de las glándulas salivales.
- Sialoadenitis crónica:
- En general, se debe a la obstrucción unilateral de una glándula salival mayor que se produce por un estrechamiento, por un tapón epitelial o por un sialolito (cálculo) pudiendo provocar, asimismo, una inflamación. El dolor se produce al comer y en el caso de producirse una exacerbación aguda de la infección.
Tratamiento
- Masajear la glándula o exprimir el conducto en caso de tapones epiteliales recidivantes.
- Antibióticos para controlar la infección en la fase aguda.
- Extracción del sialolito. Nota: debe suturarse por debajo del conducto y detrás del sialolito para evitar que se desplace hacia atrás.
- En los casos crónicos de sialoadenitis obstructiva puede requerirse la resección de la glándula.
Tumores de glándulas salivales
La mayoría de los tumores de glándulas salivales en los niños se relacionan con malformaciones vasculares. Los adenomas pleomorfos son infrecuentes. Las neoplasias malignas, como el carcinoma epidermoide, el adenocarcinoma y el sarcoma, son muy infrecuentes y afectan sobre todo a niños mayores y a adolescentes. La parótida es la glándula más afectada por estos tumores.
Diagnóstico por imagen de las glándulas salivales
Radiología
Para visualizar los cálculos salivales del conducto submandibular resultan de gran utilidad las radiografías oclusales mandibulares. Se pueden apreciar también en las radiografías panorámicas, pero con la superposición de la mandíbula.
Sialografía
Se utiliza para determinar un estrechamiento del conducto y la arquitectura glandular.
Tomografía computarizada, resonancia magnética y ecografía
Si se sospecha de la existencia de una neoplasia. Se puede combinar con la sialografía.
Medicina nuclear
Muestra la función de la glándula salival. Un trazador de pertecnetato de tecnecio (99mTc) busca las principales glándulas exocrinas y endocrinas secretoras de proteínas, y las glándulas salivales mayores captan rápidamente el isótopo. Después, se administra zumo de limón de forma oral para valorar la función y el aclaramiento de las glándulas.
Aplasia de las glándulas salivales
Se han citado varios casos de agenesia congénita de glándulas salivales. No es frecuente la hipoplasia de las glándulas salivales mayores en niños que tienen caries extensas en lugares poco habituales. Deben observarse minuciosamente las caries de los dientes anteroinferiores de un niño pequeño, ya que pueden indicar la existencia de aplasia de las glándulas submandibulares. No es frecuente en niños sometidos una medicación que pudiera provocarles una xerostomia grave, pero en esos casos siempre se debe considerar la aplasia y la hipoplasia (fig. 8.24).

Diagnóstico
Disminución en la captación de pertecnetato de tecnecio.