Odontología pediátrica restauradora
Dientes temporales
¿Por qué restaurar los dientes temporales?
Nuestros pacientes más jóvenes se merecen el mejor tratamiento dental que los especialistas les puedan proporcionar puesto que cualquier tratamiento (preventivo o restaurador) va a determinar el futuro de sus dientes. El objetivo de cualquier tratamiento restaurador es:
- Reparar o limitar el daño de la caries dental.
- Proteger y preservar la pulpa y la estructura dental remanentes.
- Asegurar una función adecuada.
- Restaurar la estética (siempre que sea preciso).
- Proporcionar directrices para el mantenimiento de una buena higiene oral.
Además, la restauración de los dientes temporales asegura que se retienen los espacios naturales de la dentición temporal del niño para la dentición permanente en desarrollo.
Elección de los materiales
La elección del material que debe utilizarse en un cuadro determinado no siempre es sencilla y no debería basarse exclusivamente en consideraciones técnicas. Otros factores ajenos a la durabilidad pueden ser determinantes en la elección del material, sobre todo en los niños.
Edad
La edad de un niño influirá en su capacidad para cooperar en procedimientos como la colocación del dique de goma y la anestesia local. La edad del niño determinará también cuánto tiempo debe permanecer una restauración en la boca de manera satisfactoria. La restauración del primer molar temporal de un niño de 9 años no requiere la misma duración que la restauración del primer molar permanente de un niño de 6 años o la de un segundo molar temporal de un niño de 4 años.
Riesgo de caries
Las restauraciones de un niño con alto riesgo de caries pueden sen/ir a objetivos diferentes que las de un niño en bajo riesgo. Pese a que el uso de un material que libere flúor presenta unas ventajas preventivas evidentes, los cementos de ionómero de vidrio (CIV) pueden no resultar la elección más adecuada en una boca con un alto riesgo de ataque ácido pos terior. Aunque la elección de las coronas de acero inoxidable pueda suponer la destrucción de una cantidad considerable de diente, se recomendarán si eliminan la necesidad de volver a tratar el diente en el futuro. Por otro lado, los CIV resultan útiles en el control inicial de la caries en los casos de caries rampantes.
Cooperación del niño
Muchos niños pequeños se comportan de una manera que no se ajusta a la forma ideal de realizar una preparación y restauración cavitaria. En estos casos, los procedimientos excesivamente ajustados a la técnica no son apropiados y puede ser más indicado el uso de amalgama, material más permisivo y que tolera una cierta cantidad de contaminación con humedad sin detrimento de su longevidad. El uso de los CIV para el tratamiento de las caries en dientes temporales anteriores puede resultar un método excelente para decelerar el proceso carioso y restaurar temporalmente la estética en un niño de 2 años sin tener que recurrir a la anestesia general. A la edad de 3 o 4 años, el niño puede estar preparado para someterse a un tratamiento más definitivo con resina composite y coronas temporales.
Condición restauradora
Por desgracia, no todos los niños son capaces de cooperar en el tratamiento dental con anestesia local debido a su edad o a discapacidades físicas o intelectuales que precisan sedación o anestesia general para completar el tratamiento. Cuando aparecen este tipo de casos, se requiere llevar a cabo un tratamiento al más alto nivel odontológico con el objetivo de reducir la necesidad de un tratamiento dental futuro en estos niños con necesidades especiales. Deben utilizarse materiales y técnicas de probada longevidad, como las coronas de acero inoxidable.
Materiales restauradores
En la actualidad se dispone de una gran variedad de materiales restauradores, por lo que se pueden utilizar un gran número de materiales que resultan apropiados para restaurar las lesiones cariosas de la dentición temporal. Debido al gran número de técnicas y productos disponibles en el mercado, así como a la irremediable experimentación que llevan a cabo los especialistas, se suele proceder a la combinación y comparación de los diferentes productos existentes. Al reemplazar cualquier tejido dental perdido, cualquiera que sea el procedimiento elegido, los especialistas deben conocer a la perfección la naturaleza del sistema que van a utilizar y entender que todos ellos dependen del operador y de la técnica.
La tabla 5.1 resume las principales ventajas y desventajas de los diferentes materiales restauradores.

Amalgama
Debido a la simplicidad de su uso, la amalgama dental ha sido el material restaurador más utilizado en la historia. La amalgama posee unas propiedades excelentes y su uso en molares temporales ha producido restauraciones muy satisfactorias a largo plazo. No obstante, el uso de la amalgama presenta también ciertas desventajas: la amalgama no es adhesiva, por lo que en el diseño de la cavidad se debe incluir alguna forma de retención mecánica, lo que obliga a que el tamaño de la restauración sea mayor y se aproxime inevitablemente a la pulpa. Quizá el mayor problema asociado a su uso sea la creciente y reciente preocupación pública que ha surgido en torno a su seguridad. En muchos países se ha restringido el uso de la amalgama en los dientes de los niños y la base teórica para estas restricciones se centra en preocupaciones ambientales más que en preocupaciones relativas a la toxicidad del producto y por esa razón el especialista dental se ve forzado a utilizar alternativas a la amalgama debido a una combinación de opinión pública y legislación.
Ionómeros de vidrio
Uno de los avances más significativos en la práctica de la odontopediatría contemporánea ha sido el desarrollo de los CIV. Un ionómero de vidrio que consiste en un vidrio básico y un polvo acídico soluble en agua que fragua mediante una reacción acidobásica entre los dos componentes. Un beneficio fundamental del CIV es que se adhiere a los tejidos duros del diente. En la actualidad existen varios CIV comercializados, ambos con ventajas y desventajas.
CIV convencionales
Los CIV convencionales son ionómeros de vidrio de fraguado químico con propiedades mecánicas más débiles. La reacción de fraguado se completa en minutos pero sigue «madurando» en los meses siguientes. Resulta importante proteger estos materiales de la contaminación por saliva en las horas siguientes a su colocación ya que el material puede contraerse, agrietarse e incluso descementarse.
La adhesión de todos los CIV mejora con el uso previo de agentes acondicionadores de esmalte y dentina.
Ionómeros de vidrio modificados con resina
Los ionómeros de vidrio modificados con resina se crearon para resolver los problemas de sensibilidad a la humedad y de baja resistencia mecánica inicial. Consisten en un CIV y un sistema de resina con base acuosa que permite su polimerización con luz antes de que se produzca la reacción acidobásica del ionómero de vidrio; esta reacción se produce en el interior de la resina fotopolimerizada. La resina aumenta la resistencia a la fractura y la resistencia al desgaste del CIV.
Otro tipo de ionómero de vidrio modificado con resina es un material «tricurado», es decir, que tiene tres reacciones de fraguado:
- La reacción acidobásica entre el vidrio y el poliácido.
- Una polimerización de radicales libres, activada por luz, de los grupos metacrilato del polímero.
- Una polimerización de radicales libres, en oscuridad, de los grupos metacrilato.
La ventaja potencial de este material es que seguirá polimerizando en la profundidad de la cavidad una vez retirada la fuente de luz. Sólo existe un ejemplo patentado de este tipo de CIV.
CIV de alta viscosidad
Los CIV de alta viscosidad se desarrollaron para la técnica restauradora atraumática (TRA). Estos CIV quimiopolimerizados tienen unas propiedades mecánicas cualitativamente superiores a los otros materiales; no se polimerizan mediante luz como con los ionómeros de vidrio modificados con resina pero son de fraguado rápido. Pese a que el CIV no posee aún las propiedades físicas ideales de un material restaurador, el CIV de alta viscosidad presenta las mejores propiedades físicas, por lo que, cuando se piense en utilizar CIV en dientes temporales posteriores, debería pensarse CIV de alta viscosidad.
Resinas composite
Los composites con base de resina (junto con la fotopolimerización) han revolucionado la odontología, si bien sus problemas relacionados con la resistencia al desgaste, la resistencia al agua y la contracción de polimerización pueden limitar su uso en restauraciones mayores de los dientes permanentes posteriores. En la dentición temporal, las resinas composite se han ido utilizando cada vez más en combinación con los CIV en una restauración estética de tipo «sandwich». La colocación de estos materiales es extremadamente técnica y conseguir el aislamiento de la humedad y la cooperación del paciente puede resultar complicado en menores, sobre todo en niños.
Compómeros (resina composite modificada con poliácido)
Los compómeros, o resinas composite modificadas con poliácido, son materiales que con tienen un relleno vitreo de fluorosilicato de aluminio cálcico y un poliácido. Contienen uno o los dos componentes esenciales de los CIV pero no tienen una base acuosa, por lo que no se produce una reacción acidobásica. Por eso no pueden recibir la denominación estricta de ionómeros de vidrio. Fraguan debido a la fotopolimerización de la resina. La reacción acidobásica se produce en el entorno intraoral húmedo y permite la liberación de flúor del material. La buena adhesión de este material precisa del uso de imprimadores de unión a la dentina antes de su colocación.
Coronas de acero inoxidable
Las coronas de acero inoxidable son restauraciones extracoronarias preformadas que resultan sobre todo útiles en la restauración de dientes muy destruidos, de molares temporales a los que se ha realizado un tratamiento pulpar y de dientes temporales o permanentes hipoplásicos. Están también indicadas cuando se va a restaurar la dentición a niños con alto riesgo de caries, sobre todo en los casos que precisan anestesia general. Las coronas de acero inoxidable son restauraciones muy duraderas y deberían ser la técnica de elección en las bocas con muchas caries.
Últimamente se ha observado que las coronas de acero inoxidable proporcionan un sellado tan eficaz a los estímulos cariogénicos externos que investigadores del Reino Unido han intentado cementar coronas de acero inoxidable sin eliminar la caries ni hacer una preparación en el diente, esto es, directamente sobre el diente con caries. Hasta la fecha, los resultados demuestran que esta técnica tan sencilla proporciona restauraciones satisfactorias a corto plazo. En la actualidad no se defiende esta técnica, que recibe el nombre de «técnica de Hall», pero los hallazgos de investigaciones futuras pueden modificar las recomendaciones con respecto a su uso en años venideros.
Restauración de los dientes temporales anteriores
Coronas temporales de resina composite
El composite es el material de elección para la restauración de los dientes temporales anteriores. Una corona temporal anterior con resina composite proporciona una restauración estética y duradera.

Método
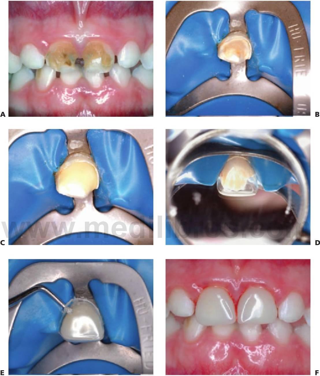
- Siempre que sea posible, se debe aplicar anestesia local y aislar con el dique de goma. Por otro lado, debido a la edad y poca cooperación de los niños más pequeños, puede completarse el trabajo restaurador bajo anestesia general.
- Seleccionar la forma de la corona de celulosa adecuada dependiendo de la anchura mesiodistal del diente.
- Eliminar la caries mediante el uso de una fresa redonda a baja velocidad.
- Con una fresa de diamante cónica o una fresa de carburo de tungsteno a alta velocidad, disminuir la altura incisal unos 2 mm, tallar las superficies interproximales y preparar un surco labial en la zona de los tercios gingival y medio de la corona.
- Proteger la dentina expuesta con una base de cemento de ionómero de vidrio.
- Recortar la corona para darle la forma y hacer dos agujeros en los ángulos incisales con un explorador afilado.
- Grabar el esmalte durante 20 segundos, lavar y secar.
- Aplicar una capa delgada de resina adhesiva y polimerizar durante 20 segundos, asegurándose de que todas las superficies están recubiertas homogéneamente.
- Rellenar la corona con un composite de color adecuado y sellar con una presión suave y uniforme, dejando que el exceso salga libremente. El uso de cuñas pequeñas puede ser útil para evitar la aparición de excesos interproximales.
- Fotopolimerizar todas las superficies (labial, incisal y palatina) por igual.
- Retirar suavemente la corona de celulosa, retocar la forma y acabar con fresas de acabado de composite o discos abrasivos.
- Comprobar la oclusión una vez quitado el dique de goma.
Desgaste interproximal
En ocasiones, se podría producir el desgaste del esmalte interproximal en los casos de caries pequeñas en los dientes temporales anteriores. La apertura de los puntos de contacto permite que la saliva y el flúor detengan el proceso carioso, incluso cuando la caries afecta a la dentina, si bien suele tratarse de una alternativa antiestética. Finalmente, es una obviedad que debe eliminarse la causa inicial, como dormir al niño con el biberón.
Método
Se eliminan los puntos de contacto con una fresa de diamante cónica larga y posteriormente se aplica flúor tópico al esmalte y a la dentina. En estos casos, es útil la colocación de un barniz de flúor. Es necesario un seguimiento frecuente.
CIV, CIV modificados con resina y compómeros
Éstos son los materiales que pueden utilizarse en las restauraciones de las superficies de dientes temporales anteriores. Proporcionan unos resultados estéticamente aceptables y son preventivos gracias a la liberación de flúor. Para que los resultados sean óptimos, es importante que la preparación esté exenta de caries.
Restauración de dientes temporales posteriores
Amalgama
Es frecuente utilizar amalgama para restaurar molares temporales; los ensayos clínicos apoyan la evidencia de su uso. Los estudios clínicos que evalúan la duración de la amalgama dental en los molares temporales la han definido como el estándar de comparación frente al que deberían juzgarse otras restauraciones.
Indicaciones
- La amalgama puede ser útil en niños que presentan un riesgo de caries moderado o que no son totalmente cooperadores, es decir, cuando el control de la humedad es un problema.
- Existen indicaciones limitadas para el uso de amalgama en las cavidades de clase I de niños ya que el ionómero de vidrio de alta viscosidad, el compómero o la resina composite proporcionarán una restauración exitosa y preservarán la estructura dental.
Éxito
Se ha visto que la tasa de éxito de las restauraciones de amalgama de clase II en los molares temporales es de un 70-80%.
Método para realizar una restauración interproximal de amalgama (clase II)
- Utilizar anestesia local y aislamiento con dique de goma.
- Utilizar una fresa de diamante redonda pequeña o con forma de pera en una pieza de mano a alta velocidad para conseguir acceder a la caries. El contorno oclusal no debe extenderse a todas las fisuras pero sí debe incluir un pequeño istmo y una cola de milano para la retención (fig. 5.2).
- Extender la cavidad al área proximal dirigiendo la fresa suavemente hacia el gingival hasta eliminar el punto de contacto. Bucolingualmente, la cavidad debe extenderse de manera que se pueda llegar con la punta de un explorador a los márgenes de la restauración.
- Eliminar la caries más profunda con una fresa redonda a baja velocidad.
- Biselar el suelo de la cavidad en la unión entre la pared axial y el suelo oclusal para aumentar la resistencia de la restauración. Uno de los lugares de fracaso más comunes de la amalgama de clase II es el istmo, puede que debido a un volumen insuficiente de amalgama para soportar las fuerzas oclusales.
- En las lesiones profundas, colocar un recubrimiento de hidróxido de calcio o una mezcla de acetato de triamcinolona y demeclociclina, mientras que en las lesiones moderadamente profundas es apropiado colocar un recubrimiento de ionómero de vidrio fotopolimerizable sobre toda la dentina.
- Adaptar una banda matriz a la circunferencia del diente. Para llevar a cabo este procedimiento, resulta útil el uso de una banda en T curva y estrecha de bronce, especialmente si se van a colocar restauraciones adyacentes. Tanto las matrices Siqveland como las Tofflemire son adecuadas para las restauraciones unitarias, y la colocación de cuñas es fundamental para crear un buen punto de contacto.
- Insertar la amalgama de manera incremental, comenzando por la caja proximal y con el uso de un condensador pequeño para conseguir atacar bien la amalgama en todas las líneas ángulo.
- Sobreobturar ligeramente la cavidad y darle una forma curva a la superficie oclusal con el uso de un bruñidor pequeño con el extremo de bola y un recortador cleoide-discoide. Con un explorador se puede recrear la forma del reborde marginal.
- Retirar con cuidado la matriz y pasar la seda dental entre los puntos de contacto para eliminar los restos.
- Quitar el dique de goma y comprobar la oclusión.

CIV, CIV modificados con resina y compómeros
Estos materiales van adquiriendo un papel cada vez mayor en el tratamiento de las lesiones cariosas en los molares temporales debido a sus propiedades adhesivas y de liberación de flúor.
Indicaciones
- Debido a su falta de resistencia, los CIV no deben utilizarse en restauraciones grandes que están sometidas a una carga oclusal significativa en dientes que han de mantener se más de 3 años.
- Cavidades oclusales e interproximales pequeñas.
- Siempre que sea posible, utilizar el CIV más fuerte, de mayor viscosidad, y evitar el uso de CIV modificados con resina en restauraciones posteriores, puesto que la resistencia al desgaste es mayor.
Éxito
- La tasa de fracaso del CIV es mayor que la de la amalgama (el 33% a los 5 años en comparación con el 20% de la amalgama).
- Se ha publicado que el tiempo de supervivencia medio del CIV es de 33 meses.
- La incidencia de caries secundaria disminuye alrededor de materiales que liberan flúor.
- El uso de resinas composite y compómeros modificados con poliácidos muestra un potencial considerable, en concreto en términos de características de manipulación y radiopacidad. No obstante, tienen una capacidad de liberación de flúor limitada.
- Los resultados de cuatro años disponibles sugieren actualmente que presentan una duración adecuada para su uso en la dentición temporal.
Método para las restauraciones de ionómero de vidrio
- Siempre que sea necesario, infiltrar anestesia local y aislar con dique de goma (fig. 5.3).
- El contorno de la cavidad debe rodear toda la extensión de la lesión cariosa. No es necesaria una extensión por prevención. Tampoco suele ser necesaria una pequeña cola de milano oclusal en las restauraciones interproximales. Sin embargo, la retención de las cavidades proximales mínimas puede conseguirse practicando surcos en la dentina con una fresa redonda muy pequeña (tamaño Yi) (fig. 5.4).
- Eliminar toda la caries blanda con el uso de una fresa redonda a baja velocidad o un instrumento manual. Debe tenerse en cuenta el gran tamaño de la cámara pulpar puesto que es fácil exponer la pulpa de un diente temporal.
- Preacondicionar la dentina mediante el uso de ácido poliacrílico al 10% durante 10 segundos, lavar y secar.
- Cuando se utilicen materiales encapsulados, asegurarse de que las cápsulas se comprimen durante, al menos, 3 segundos para facilitar la mezcla adecuada del polvo y el líquido. Tras mezclarlos durante 10 segundos en el amalgamador, desechar los primeros 3-4 mm del material mezclado puesto que la mezcla no suele ser satisfactoria. Colocar el resto directamente en la cavidad.
- Una vez colocado el material relativamente espeso en la cavidad, comprimir con un bruñidor de bola, humedeciendo ligeramente la punta en una pequeña cantidad de agente adhesivo o de resina sin relleno para evitar que el material se pegue al instrumento.
- Hay que proteger la restauración final de la contaminación por humedad. Como mejor se consigue esto es colocando una fina capa de resina sin relleno sobre la superficie y polimerizándola durante 20 segundos. En niños pequeños con problemas de comportamiento, puede ser más apropiado utilizar vaselina en lugar de resina sin relleno.
- Al retirar el dique de goma, hay que comprobar la oclusión.

Resinas composite
El composite es un material restaurador satisfactorio, siempre que el niño sea cooperador.
Indicaciones
Cavidades oclusales y proximales de tamaño pequeño a moderado.
Éxito
Los estudios clínicos sugieren que las restauraciones de composite de clase II en los molares temporales tiene una duración moderada. Sólo un estudio publica un éxito inferior al 40% a los 6 años. Sin embargo, estudios recientes muestran unas tasas superiores de éxito con los composites de base de resina más nuevos.
Método
Para las lesiones interproximales, se debe modificar ligeramente el diseño de la cavidad con respecto al descrito para la amalgama: se debe preparar un bisel alrededor de los márgenes oclusales para aumentar la adhesión al esmalte. El problema más importante que nos encontramos con las restauraciones de composite es la integridad de la unión en la profundidad de la caja proximal. La colocación del composite es técnicamente difícil y muy sensible a la contaminación con humedad. La colocación de un recubrimiento de ionómero de vidrio sobre la dentina no sólo asegura una buena unión en la base de la cavidad y disminuye la microfiltración, sino que también libera flúor localmente. El uso del dique de goma y la colocación del composite mediante la aplicación de la técnica incremental puede disminuir los problemas de manipulación y contracción de la polimerización.
Los padres demandan cada vez más restauraciones del color de los dientes. Hay que reconocer que el uso de estos materiales va asociado a unas mayores demandas técnicas y a un mayor coste.
Coronas de acero inoxidable
Indicaciones
Las coronas de acero inoxidable son restauraciones extracoronarias preformadas, útiles sobre todo para la restauración de:
- Dientes muy destruidos.
- Molares temporales en los que se ha realizado un tratamiento pulpar.
- Dientes temporales o permanentes hipoplásicos.
- Denticiones de niños con alto riesgo de caries, sobre todo niños a los que se va a tratar bajo anestesia general.
Éxito
- Las coronas de acero inoxidable proporcionan, sin duda, las restauraciones más duraderas en la dentición temporal. Los tiempos de supervivencia superan los 40 meses.
- Son relativamente caras en relación con el tiempo y el coste a corto plazo, pero su tasa de reemplazo es baja (3% en comparación con el 15% de las restauraciones de clase II de amalgama), lo que las convierte en más económicas a largo plazo.
- Pueden ser consideradas antiestéticas y requerir preparar mucho el diente. Invariablemente, la preparación debe realizarse bajo anestesia local.
Método
Independientemente de si el diente objeto de restauración es vital o no vital, cuando se coloca una corona de acero inoxidable se debe utilizar anestesia local debido a la manipulación de tejido blando. Siempre que sea posible debe colocarse el dique de goma, aunque en ocasiones resulte difícil en una dentición muy destruida.
- Restaurar el diente con el uso de un CIV o un compómero antes de preparar el diente para una corona de acero inoxidable.
- Reducir la superficie oclusal aproximadamente 1,5 mm con una fresa de diamante con forma de llama o cónica. Regularizar la reducción oclusal facilitará la colocación de la corona sin que ésta interfiera con la oclusión.
- Colocar una fresa de diamante cónica, larga y ligeramente convergente con respecto al eje axial del diente y tallar las superficies interproximales mesial y distal. Esta reducción debe permitir el paso de una sonda a través del área de contacto (fig. 5.6).
- Es necesario realizar una pequeña reducción bucolingual salvo que exista, por ejemplo, una cúspide de Carabelli prominente. De cualquier manera, esta reducción debe ser lo más pequeña posible ya que estas superficies son importantes para la retención.
- Elegir una corona precontorneada del tamaño apropiado midiendo la anchura mesiodistal.
- Antes de cementar definitivamente la corona, hay que realizar una última prueba. Es importante que la corona no se extienda más de 1 mm subgingivalmente. Si la isquemia del tejido es excesiva, debe reducirse la longitud de la corona. Deben pulirse los márgenes con una piedra blanca.
- Cementar la corona con un CIV o con un cemento de policarbonato. Si la corona del diente se ha reconstruido antes de la colocación de la corona, puede emplearse un cemento de ionómero de vidrio; si no, se empleará un CIV restaurador. Se debe estar atento cuando se sostiene sujeta la corona, ya que puede caerse con facilidad mientras se está colocando. Debe retirarse el cemento en exceso y colocarse una capa de vaselina alrededor de los márgenes mientras el cemento esté fraguando.

Odontología mínimamente invasiva
Filosofía de la intervención mínima
La intervención mínima se basa en pruebas que demuestran que las propuestas tradicionales para el diseño de las cavidades suponían una reducción excesiva de estructura dental. Era habitual eliminar toda la dentina decolorada pero en la actualidad se acepta que por debajo de la dentina cariada infectada, blanda y decolorada se encuentra una capa de dentina «afectada», desmineralizada y con frecuencia decolorada pero no «infectada». Si se utilizan materiales como los CIV, con una capacidad innata para liberar flúor y otros minerales, se puede remineralizar esta capa afectada, lo que nos permite minimizar la cantidad de diente eliminado. Se trata de una ventaja potencial en la restauración de molares temporales, que cuentan con un esmalte y una dentina finos y unas pulpas relativamente grandes.
Técnica restauradora atraumática
La TRA se diseñó para su uso por dentistas y auxiliares dentales que trabajaban en áreas remotas de países subdesarrollados sin acceso a los equipos dentales modernos (como las turbinas). Básicamente, la TRA consiste en el uso de instrumentos de mano para eliminar la dentina infectada y el esmalte muy debilitado, seguido de la restauración con un CIV quimiopolimerizable de alta viscosidad. En general, en Australia y Asia el acceso a los equipos e instalaciones dentales modernos permite la provisión de un tratamiento dental de mayor calidad, por lo que la TRA no se emplea asiduamente en la mayoría de las clínicas de Australia y Asia. Pese a ello, el uso de esta técnica resulta interesante como modalidad de tratamiento intermedio en niños con problemas conductuales (fig. 5.7). No obstante, los especialistas deben ser conscientes de que esta forma de tratamiento sólo es apropiada cuando al niño se le pueden hacer revisiones y solucionar los defectos de las restauraciones con regularidad. Por ello, este tipo de restauración sólo debe considerarse como medida intermedia anterior a la colocación de una restauración definitiva.

Tratamiento de la caries oclusal en los dientes permanentes
Resulta de gran importancia preservar la estructura dental. En la década pasada, los artículos de Elderton y otros han subrayado los defectos en el uso de conceptos aceptados como el de «extensión por prevención». La colocación de restauraciones de amalgama innecesariamente grandes socava los rebordes marginales y debilita las cúspides que posteriormente pueden fracturarse. Si el diente se ve abocado a la colocación de restauraciones más grandes tiene el riesgo de afectación pulpar, tratamiento endodóncico y restauración con una corona de recubrimiento total. Debe existir una propuesta diferente para el tratamiento de los dientes permanentes que no se han restaurado anteriormente en comparación con los dientes que requieren la sustitución de sus restauraciones.
La amalgama es un material inapropiado para la restauración de lesiones incipientes en las superficies oclusales de los dientes permanentes. En estos casos, lo más indicado es una restauración preventiva de resina: se pierde una cantidad mínima de estructura dental y la ventaja es que la tabla oclusal se protege con un sellador de fisuras (fig. 5.8).

Selladores de fisuras
En las comunidades fluoradas de Australia y Asia, donde el DCAO medio (dientes permanentes cariados, ausentes y obturados) es inferior al 1,0%, la mayoría de las caries se producen en las fosas y fisuras de los primeros molares permanentes. Una forma sencilla y económica de prevenir las caries de fosas y fisuras es mediante el uso de selladores de fisuras. Las indicaciones para un sellador de fisuras son controvertidas. Tomando como base una población, se ha sugerido que sólo se deben colocar selladores de fisuras a los niños que presentan un riesgo moderado de caries. Sin embargo, ya que casi el 90% de la población mayor de 18 años tienen algunas caries (sobre todo en los primeros molares permanentes), se debería valorar la necesidad de colocar selladores de fisuras a lo largo de la erupción de la dentición permanente a todos los niños. La prescripción del tratamiento se debe realizar de acuerdo a las necesidades individuales de cada paciente (fig. 5.9).
Los selladores de fisuras no deben considerarse restauraciones permanentes, por lo que contemplar su uso requiere un diagnóstico exhaustivo y practicar una técnica minuciosa. Se deben examinar todas las radiografías de los dientes antes de la colocación del sella dor de fisuras. Otras acciones para pulir el diagnóstico antes de sellar las fisuras incluyen el uso de fresas miniatura para estudiar las tinciones, la fluorescencia láser, los detectores electrónicos de caries y la microabrasión. Si se observa o se sospecha una caries, es preciso colocar una restauración preventiva de resina.

Indicaciones
- Todos los molares permanentes de niños en riesgo medio o elevado de caries (v. tabla 3.1). Es preciso sellar los premolares de los niños en alto riesgo.
- En niños de bajo riesgo, sólo hay que sellar las fisuras profundas y retentivas.
- Los dientes temporales posteriores de niños en riesgo alto de caries.
La valoración del riesgo debería continuar durante la adolescencia, incluso cuando el riesgo de caries fuera inicialmente bajo, pues el riesgo puede variar y el sellado de las fisuras sigue siendo protector en la edad adulta.
Material sellador
- Algunos estudios muestran ciertas diferencias, pero en la actualidad no parecen existir pruebas evidentes que determinen el uso de los selladores fotopolimerizables frente a los quimiopolimerizables o de los selladores de fisuras opacos, claros o coloreados.
- Los selladores deberían ser opacos para que puedan detectarlos otros dentistas. Los selladores claros transparentan las tinciones de las fisuras, que podrían ser caries inactivas. No obstante, otros especialistas, al ver estas tinciones, pueden decidir preparar una cavidad en un diente sano, lo que es totalmente contrario al objetivo de un sellador.
- Los estudios recientes favorecen el uso de los selladores con base de resina sobre los selladores de ionómero de vidrio, que tienen una peor retención.
- Los ionómeros de vidrio resultan útiles en individuos con una alta actividad de caries como selladores temporales hasta que el diente erupcione lo suficiente para permitir un sellado de fisuras convencional. El problema principal del uso de los CIV como selladores de fisuras es la fragilidad del material cuando se utiliza en esta sección sobre la superficie oclusal. No obstante, se ha observado que, pese a su baja retención, la incidencia de caries bajo los selladores de CIV es baja a largo plazo y similar a la de los selladores con base de resina, más retenidos. Se ha sugerido que el CIV se retiene en las profundidades de las fisuras a nivel microscópico o que el esmalte subyacente capta el flúor liberado por el CIV de manera que aumenta la resistencia de las paredes de las fisuras a la desmineralización.
Método
- Aislar el diente con el dique de goma. Si el diente no se puede aislar, debe aplicarse un tratamiento con flúor a dosis elevadas, como un barniz de flúor o un material de CIV. Revisar la erupción de los dientes en los siguientes meses y, cuando el diente haya erupcionado lo suficiente, colocar un sellador de fisuras.
- Eliminar los restos groseros con una sonda roma y, si es necesario, limpiar la superficie oclusal con piedra pómez sin aceite y agua. En muchos casos, el ensanchamiento mínimo de la fisura oclusal con una fresa de fisuras de diamante muy pequeña, fina y cónica, facilitará la penetración del material del sellador en la profundidad de la fisura y además eliminará la capa superficial más resistente al ácido que recubre las paredes de la fisura oclusal.
- Grabar el diente con un gel grabador durante 20 segundos y lavar copiosamente con agua; secar con aire durante 20 segundos.
- Si el diente está contaminado, volver a grabar durante otros 15 segundos.
- Aplicar una fina capa de sellador en las fosas y fisuras, asegurándose de incluir la extensión vestibular de los molares inferiores y el surco palatino de los molares superiores. Polimerizar con luz durante 20 segundos.
- Retirar el dique de goma y comprobar la oclusión.

Restauración preventiva de resina
Las resinas composite son el material de elección (por delante de los ionómeros de vidrio) para el tratamiento de las caries oclusales tempranas en dientes permanentes (debido a su mayor resistencia y sus propiedades mecánicas superiores). El desarrollo de las restauraciones preventivas de resina ha modificado drásticamente el tratamiento de las caries oclusales en niños.
Indicaciones
- Sólo lesiones adamantinas.
- Lesiones incipientes sólo en dentina.
- Lesiones de clase I pequeñas.
Éxito
Las restauraciones preventivas de resina han demostrado tener una durabilidad tan buena como las restauraciones de amalgama y pueden prepararse con una remoción de tejido dental sano considerablemente menor.
Método para las restauraciones preventivas de resina
- Utilizar anestesia local y aislamiento con dique de goma si la caries se extiende a la dentina.
- Con una fresa pequeña a alta velocidad, acceder a la fisura cuestionable.
- Eliminar la dentina cariada. Es importante no eliminar más esmalte del necesario pero sí debe accederse adecuadamente a la dentina subyacente para estar seguros de eliminar por completo la caries. Debe eliminarse el esmalte no soportado para conseguir una buena visión. La sección transversal recuerda a la forma de una lágrima (figs. 5.11, 5.12).
- Debe eliminarse la caries dentinaria más profunda mediante el uso de una fresa redonda a baja velocidad.
- Colocar un recubrimiento de ionómero de vidrio sobre la dentina, extendiéndolo hasta la unión amelodentinaria y fotopolimerizar durante 40 segundos.
- Se aplica el gel grabador durante 20 segundos en los márgenes del esmalte y en la superficie oclusal, se lava y se seca. No es necesario grabar la base de ionómero de vidrio, ya que con el proceso de lavado se asperizará suficientemente la superficie del CIV.
- Colocar una capa fina de resina de unión en la cavidad y fotopolimerizar durante 20 segundos. El exceso de resina producirá un efecto de encharcamiento y disminuirá la integridad de la unión.
- Rellenar la cavidad mediante la aplicación de la técnica incremental e ir polimerizando la resina composite hasta llegar a la superficie oclusal.
- Aplicar una capa de sellador de fisuras sin relleno opaco sobre la restauración y toda la fisura oclusal y polimerizar durante 20 segundos. No es necesario volver a grabar la superficie oclusal antes de colocar el sellador de fisuras.
- Retirar el dique de goma y comprobar la oclusión.

Nuevas técnicas para la preparación dental
A partir de todo lo comentado anteriormente puede concluirse que la odontopediatría se basa evidentemente en el uso de piezas de mano de alta y baja velocidad. Las piezas de mano estándar permiten al especialista eliminar dentina cariada y conformar la cavidad. No obstante, en los últimos años se han desarrollado nuevas técnicas de remoción de tejido blando que también tienen cabida dentro de la odontopediatría moderna.
Abrasión con aire
La abrasión con aire es una técnica que utiliza la energía cinética para eliminar estructura dental con caries. Cuando las partículas de óxido de aluminio impactan sobre la superficie dental, sin calor ni ruido de vibración, eliminan tejido dental. Esta técnica requiere un equipamiento adicional en la clínica dental para la extracción segura de las partículas, además del uso del dique de goma. Pese a ello, ha demostrado ser una técnica útil en algunos niños que pueden ponerse nerviosos con el ruido o la sensación de las piezas de mano convencionales. Con este método se debe poner especial atención en cuanto a las partículas en niños con alergia grave al polvo (inhalación), heridas abiertas y enfermedades pulmonares como el asma.
Odontología asistida por láser
El término láser es el acrónimo de amplificación de luz por emisión estimulada de radiación. Los láseres dentales son dispositivos que utilizan la energía generada por el intercambio de electrones del átomo para producir una radiación electromagnética monocromática coherente que se encuentra entre los campos ultravioleta e infrarrojo lejano del espectro electromagnético. Los efectos fotobiológicos de los láseres más utilizados en odontología son:
- Fluorescencia inducida por láser (detección de caries y cálculo).
- Fotoacústica que produce disrupción y ablación (tratamientos en tejidos duros y blandos).
- Efecto fototérmico que induce coagulación y vaporización (tratamientos en tejidos blandos).
La bioestimulación y los efectos fotoquímicos inducidos por los láseres de longitud de onda corta para tratamientos que incluyen la cicatrización de las heridas, la analgesia y el crecimiento tisular irán siendo cada vez más habituales con el tiempo. Los tratamientos de flúor y blanqueamiento asistidos por láser muestran también aplicaciones prometedoras.
Las propiedades de biorresonancia de los láseres de erbio sobre el tejido neural dan lugar al bloqueo de la bomba de Na⁺/K⁺ y a la polarización de las fibras A delta y posiblemente de las fibras C. Para muchas aplicaciones puede reducirse y, en ocasiones, eliminarse la anestesia local debido a las propiedades analgésicas de los láseres por sí mismos.
Aplicación sobre tejidos duros
Los dos tipos de láser más utilizados para los tratamientos en los tejidos duros dentales se encuentran en las longitudes de onda de 2.790 nm (ErCr:YSGG [cristal de itrio, escandio, galio y granate contaminado con erbio]) y 2.940 nm (Er:YSG [cristal de granate alumínico de itrio contaminado con erbio]). El tejido se elimina mediante un rayo que no contacta con el tejido y que produce la ablación gracias al efecto fotoacústico sobre las moléculas de agua. El contenido en agua del tejido tratado y la densidad de la potencia del rayo láser afectan a la eficacia del corte. Sus aplicaciones sobre los tejidos blandos incluyen la preparación de cavidades, la remoción de caries y cálculos, los tratamientos endodóncicos, la desensibilización y la cirugía ósea. Entre las ventajas del láser se encuentran:
- Capacidad para eliminar selectivamente sólo el tejido dental cariado.
- Poco ruido.
- Sin vibración.
- Capacidad de cortar tejido dental sin necesidad de anestesia local (en algunos casos).
Por tanto, los láseres pueden ser extremadamente útiles para los pacientes inquietos pero son caros y debe tenerse mucho cuidado durante su uso para no generar calor, que puede ser deletéreo para el tejido pulpar.
Indicaciones para el uso de materiales restauradores en odontopediatría
Véase la tabla 5.2.
