Modalidades de Flúor
Introducción
El flúor es ampliamente utilizado en la prevención de la caries dental. La reducción en los niveles de caries conseguidos gracias el uso del flúor ha sido un gran logro de la salud pública. La fluoración del agua comunitaria resulta segura y rentable, y debería proseguir en las comunidades que se han beneficiado de ello así como extenderse a comunidades con bajos niveles de flúor en la medida de lo posible. No existen pruebas fehacientes, tomando como base una población, que demuestren que la reducción de la caries es más eficaz si se mantiene una concentración baja de flúor de una forma constante en el entorno oral, sin embargo, esta afirmación contrasta con los conceptos iniciales del mecanismo de acción del flúor, que atribuían los beneficios principales del mismo a la maduración preeruptiva del esmalte en formación. Cualquier método que utilice flúor y ayude a mantener esta baja concentración oral resulta deseable. En este sentido, el agua comunitaria fluorada y los dentífricos con flúor se sitúan en primer lugar de la lista de medidas de salud oral en los países desarrollados. El flúor se encuentra profusamente distribuido en la naturaleza. Se halla en el agua corriente, el agua del mar, los pescados, las verduras, la leche y los compuestos orgánicos.
Fisiológicamente, el flúor es único porque no se comporta como otros halógenos y es un «buscador» de tejidos mineralizados. Cuando está presente en una solución con calcio y fosfato, derivará en fluoroapatita. Se absorbe en la sangre desde el tracto gastrointestinal para posteriormente depositarse en los huesos o excretarse por los riñones.
Nuevas directrices para el uso de las modalidades de flúor
A finales de 2006, el Centro de Investigación Australiano para la Salud Oral Pública (Australian Research Centre for Population Oral Health [ARCPOH]) publicó nuevas directrices para el uso de las diferentes modalidades de flúor en Australia. Las deliberaciones entre expertos e interesados condujeron a revisiones sistemáticas de la literatura y los artículos publicados con respecto a las modalidades de flúor en una conferencia de consenso de 2 días de duración en Adelaida, al sur de Australia (octubre de 2005). Sus conclusiones dieron como resultado un total de 18 directrices sobre el uso de las modalidades de flúor. Las directrices determinan el uso de la fluoración en las aguas comunitarias, los productos de flúor utilizados por el paciente, los productos de flúor aplicados a nivel profesional así como el desarrollo y monitorización de las propuestas para la prevención de la caries.
La introducción de las directrices reiteraba que «el flúor es la piedra angular en la prevención de la caries dental» y que deben valorarse todas las modalidades de flúor en relación con sus beneficios (es decir, la prevención de la caries) y riesgos (es decir, la fluorosis dental) potenciales. En los niveles recomendados en las directrices en cuanto al uso de las diferentes modalidades de flúor, no parece probable la aparición de efectos adversos para la salud.
Mecanismos de acción del flúor
Los conceptos sobre la forma en que el flúor previene la caries han variado notablemente en las últimas dos décadas y, como se cita anteriormente, en la actualidad se reconoce que su efecto predominante es más tópico que sistémico.
- El flúor actúa sobre todo de forma tópica, promoviendo la remineralización y reduciendo la desmineralización de manera posteruptiva. En la solución deben estar presentes el calcio y el fosfato para que se produzca una remineralización eficaz.
- El flúor puede evitar la pérdida mineral en las superficies de los cristales y favorecer la remineralización con iones calcio y fosfato. El modo de acción del flúor es predominantemente posteruptivo, por lo que la prevención de la caries requiere su exposición a largo plazo. Cuando se produce la remineralización en presencia de flúor, el esmalte remineralizado se vuelve más resistente a la caries que el mineral del esmalte original debido a la mayor cantidad de fluoroapatita y menor cantidad de apatita carbonatada. Este efecto se evidencia incluso con cantidades muy pequeñas de flúor (inferiores a 0,1 ppm) a través de la fase líquida que rodea la matriz del esmalte.
- El flúor actúa sobre la vía glucolítica de los microorganismos orales, disminuyendo la formación de ácido e interfiriendo con la regulación enzimática del metabolismo de los carbohidratos, lo cual reduce la acumulación de polisacáridos intra y extracelulares (es decir, la placa).
- La presencia continua de niveles bajos de flúor en la interfase esmalte-fluido de la placa proporciona el modo más eficaz de remineralización del esmalte desmineralizado.
- Se ha producido un aumento general en la disponibilidad de flúor en los alimentos, bebidas, dentífricos y agentes tópicos que da lugar al denominado «efecto halo» en las comunidades poco fluoradas, que pueden beneficiarse de la amplia distribución de estos productos a partir de las comunidades fluoradas en las que se han fabricado.
Este efecto tópico refleja la eficacia con respecto a la caries de productos como dentífricos, geles y colutorios fluorados, así como del flúor en el agua de consumo. La aplicación tópica de flúor concentrado, tal y como aparece en los barnices y geles de flúor, favorece la formación de fluoruro cálcico, que permanece en los poros del esmalte durante mucho tiempo y actúa como reservorio de flúor durante la remineralización.
Fluoración de las aguas comunitarias
La concentración natural de flúor presente en el agua de consumo de Australia se encuentra habitualmente entre 0,1 y 0,4 ppm. El flúor se añade a la red reticulada de agua de la mayoría de las comunidades urbanas más pobladas para conseguir una concentración de entre 0,8 y 1 ppm.
Las directrices 1 a 3 del ARCPOH apoyan definitivamente la continuación de la fluoración de las aguas comunitarias ya que la consideran eficaz, eficiente y equitativa desde un punto de vista social, así como una propuesta segura de prevención de la caries para toda la población. La fluoración de las aguas comunitarias debería extenderse al mayor número de individuos posible.
Reducción de la caries
La reducción de la caries registrada en la actualidad es del 20 al 40% y resulta considera blemente inferior a la producida al introducir por primera vez la fluoración de las aguas en las sociedades occidentales contemporáneas debido sobre todo al aumento general de la disponibilidad de flúor a partir de otras fuentes.
- Se produce una inversión de los beneficios protectores del flúor tras su desaparición de los suministros de agua.
- El flúor beneficia tanto a los adultos como a los niños.
- Existe una disminución de la prevalencia de caries en superficies radiculares en los habitantes de áreas con agua fluorada.
- Si se tienen en cuenta la rentabilidad y la expansión por toda la comunidad, la fuente preferida de flúor es la fluoración de las aguas comunitarias.
En las comunidades occidentales, la existencia continuada de aproximadamente el 20% de niños con un índice elevado de caries indica la necesidad de maximizar la protección mediante el uso combinado de fluoración de las aguas comunitarias y diversas modalidades de flúor tópico.
Aguas embotelladas y filtradas
Las aguas embotelladas han experimentado un rápido crecimiento en el mercado y, para muchos individuos, el consumo de agua de esta fuente ha sustituido por completo al agua reticulada. El contenido en flúor del agua embotellada puede ser muy bajo (a menos que se suplemente durante su fabricación), por lo que los consumidores de agua embotellada en comunidades fluoradas pueden perderse los beneficios del flúor.
Algunos filtros de agua pueden eliminar el flúor, aunque este hecho suele limitarse sobre todo a los filtros con osmosis inversa, a los filtros de hueso o carbón vegetal o a los de destilación e intercambio iónico. No debe superarse las fechas de preferencia de uso que aparecen en estos productos. Los filtros con membranas normales no eliminarán un ion tan pequeño como el ion flúor. Los filtros de cerámica y carbono, sin embargo, retienen flúor en el agua filtrada.
Los consumidores deberían poder elegir entre diferentes modelos de agua embotellada y filtrada, y se anima a los fabricantes a comercializar aguas embotelladas de 1,0 mg F⁻/l (1 ppm de F⁻) así como filtros de agua que no eliminen el flúor. Se deben etiquetar las aguas embotelladas y los filtros de agua de manera que indiquen el contenido de flúor del agua consumida o resultante del uso de tales productos.
Los comprimidos de flúor antes comercializados como suplementos orales pueden utilizarse en la actualidad como suplementos de agua, para dotar al agua filtrada de un contenido de flúor de hasta 1 ppm:
- Un comprimido de 2,2 mg de NaF que contenga 1,0 mg de F⁻ disuelto en 1 litro de agua.
- Dos comprimidos de 1,1 mg de NaF que contengan (cada uno de ellos) 0,5 mg de F⁻ disuelto en 1 litro de agua.
- Cuatro comprimidos de 0,55 mg de NaF que contengan (cada uno de ellos) 0,25 mg de F⁻ disuelto en 1 litro de agua.
Los comprimidos de flúor se disuelven fácilmente en agua a temperatura ambiente. Después debe enfriarse el agua fluorada y utilizarse en preparaciones de bebidas y comidas para toda la familia.
Fluoración del agua en casa
Alrededor del 70% de la población en Australia se beneficia de la fluoración del agua reticulada. En las zonas en las que el agua no se encuentra fluorada, debería optarse por la fluoración en casa. Se ha recomendado comercializar los comprimidos de fluoruro sódico como suplemento del agua para añadir a las aguas no fluoradas y conseguir así 1 mg F⁻/l (1 ppm de F⁻).
Para ello, se disuelven un comprimido de 2,2 mg de fluoruro sódico (que contiene 1 mg de F⁻), dos comprimidos de 1,1 mg (cada uno de ellos contiene 0,5 mg de F⁻) o cuatro de 0,55 mg de fluoruro sódico (cada uno de ellos contiene 0,25 mg de F⁻) en un litro de agua (se disuelven fácilmente a temperatura ambiente) que se almacena en el frigorífico para su uso en la preparación de comidas o bebidas para toda la familia.
Fluorosis dental (v. cap. 9)
La fluorosis dental es un defecto cualitativo del esmalte (hipomineralización) que resulta de un aumento en la concentración de flúor en el microambiente de los ameloblastos durante la formación del esmalte. En las formas más graves, la fluorosis puede manifestarse también como un defecto cuantitativo (hipoplasia).
Informes realizados en Australia, EE.UU. y otros países desarrollados indican una tenden cia hacia niveles cada vez mayores de una fluorosis dental leve, que se manifiesta con claridad en comunidades tanto fluoradas (aumento del 33%) como no fluoradas y que se debe a los efectos aditivos de los siguientes productos:
- Suplementos de flúor (como comprimidos o gotas).
- Flúor en la dieta de cada individuo (alimentos y bebidas para niños producidos en áreas fluoradas).
- Dentífricos fluorados.
- Aplicaciones tópicas de soluciones de flúor en altas concentraciones durante la formación del esmalte.
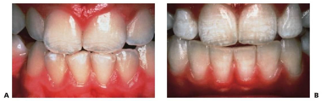
Los niveles presentados con anterioridad pueden resultar suficientes para inducir una fluorosis detectable a nivel superficial, incluso en áreas sin suplementos de flúor en las aguas comunitarias (fig. 4.1). Con la reducción en el uso de los suplementos de flúor y la introducción de dentífricos fuertes para niños en la década pasada en países como Australia, se ha producido una marcada reducción en la fluorosis leve en niños y adolescentes.

Dosis umbral
Desconocida, aunque se sugiere que oscila los 0,1 mg/kg de peso.
Manifestaciones
La apariencia clínica de la fluorosis de esmalte puede variar mucho dependiendo de la gravedad de la misma:
- Cuestionable a muy leve: pérdida de traslucidez del esmalte en el margen incisal y los márgenes proximales de la superficie labial (copo de nieve).
- Muy leve: manchas blancas.
- Leve: líneas blancas finas o estriaciones que siguen a las estrías de Retzius.
- Moderado: esmalte opaco, muy calcáreo, con fracturas que aparecen poco después de la erupción dental.
- Grave: moteado y con fosas con pérdida de porciones de las capas externas del esmalte así como tinción posteruptiva del esmalte.
Existen varias formas de cuantificar la gravedad de la fluorosis. Si bien se han realizado intentos de clasificar su gravedad dependiendo de la histopatología y del grado de exposición al flúor, el aspecto del diente cambiará a lo largo del tiempo. De hecho, en los casos de moderados a graves, en los que toda la superficie del diente es opaca en el momento de la erupción, con el tiempo esta fina capa se abrasionará, se teñirán las fosas y el aspecto del diente cambiará considerablemente. Cuando el contenido de flúor en el agua supere 1 ppm (fig. 4.1), aumentará la gravedad de la fluorosis en mayor medida que la disminución del nivel de caries (fig. 4.2).

Acciones de dosis elevadas de flúor en la formación del esmalte
La fluorosis dental afecta sobre todo a los dientes permanentes y su cuadro se relaciona con la dosis. El diagnóstico de la fluorosis dental requiere un historial detallado de exposición al flúor. El flúor tiene varios efectos negativos en la formación del esmalte, entre ellos:
- Alteración de la producción o composición de la matriz del esmalte durante la fase secretora ameloblástica.
- Interferencia en el proceso de mineralización inicial causado por los cambios en los mecanismos de transporte de iones.
- Disrupción de la función de los ameloblastos que afecta a la pérdida de proteínas y agua de la mineralización inicial del esmalte durante la fase de maduración.
- Disrupción de la nucleación y del crecimiento de los cristales en todas las fases de la formación del esmalte, lo que da lugar a varios grados de porosidad del esmalte (hipomineralización).
La mineralización del esmalte parece sólo sensible al flúor, y dosis elevadas de flúor pueden afectar a la rotura y desestructuración de las proteínas de la matriz del esmalte (ej. enamelinas, amelogeninas) produciendo la hipomineralización permanente del esmalte (porosidad superficial y subsuperficial). Las dosis elevadas de flúor parecen afectar también a la actividad de los ameloblastos, lo que hace que una ingesta excesiva de flúor sea preocupante, sobre todo durante los primeros 36 meses de vida, cuando se están mineralizando las coronas de los incisivos maxilares permanentes o el esmalte está madurando.
Se ha identificado la ingesta de dentífricos como una fuente significativa de flúor en exceso en niños pequeños. En las revisiones del Consejo de Salud Nacional e Investigación Médica (National Health and Medical Research Council), los dentífricos suponen una gran proporción del flúor ingerido en niños pequeños, independientemente del nivel de flúor en el sistema de agua reticulada. Otra fuente de flúor en exceso es la fórmula infantil, aunque existen variaciones significativas en la concentración de flúor en las fórmulas de niños antes de la reconstitución con agua, del orden de 0,9 a 2,8 ppm.
Tratamiento clínico de la fluorosis dental
La fluorosis dental se puede tratar con remineralización, microabrasión o sustitución restauradora del esmalte decolorado afectado. Aún en fase experimental, el esmalte que presenta una fluorosis leve puede remineralizarse mediante fosfopéptido de caseína-flúor de calcio fosfato amorfo (CPP-ACP) o flúor de fosfopéptido de caseína-flúor de calcio fosfato amorfo (CPP-ACPF), que reducen clínicamente la blancura (opacidad) y promueven la remineralización de las lesiones flúorósicas leves, lo que mejora la estética. El pretratamiento con hipodorito sódico como agente desproteinizante aumenta este efecto.
La superficie defectuosa con lesiones flúorósicas puede eliminarse de manera adecuada con microabrasión, para lo que pueden emplearse kits comercializados o bien ácido clorhídrico diluido o ácido fosfórico al 35% y pasta de piedra pómez, seguido de la remineralización de las superficies tratadas con flúor tópico, CPP-ACP o CPP-ACPF. Las lesiones más extensas pueden restaurarse con carillas vestibulares de resina composite o porcelana una vez que el diente haya erupcionado por completo y se haya establecido la altura de la encía marginal.
Fluoruros tópicos
La protección a lo largo de la vida frente a la caries dental es resultado del uso continuado de flúor en baja concentración. Además del papel de los fluoruros tópicos en la prevención de la caries dental, pueden emplearse también para estimular la remineralización de las manchas blancas, para controlar las caries invasivas iniciales y para limitar las lesiones que se producen alrededor de las restauraciones existentes, lo que resulta altamente eficaz tanto para adultos como para niños.
Una concentración óptima de flúor al día, si está presente tanto en la superficie del diente como en la saliva, ayudará a minimizar el riesgo de caries. Los factores que hay que tener en cuenta antes de iniciar un régimen de flúor incluyen:
- Riesgo de caries: alto, medio, bajo.
- Cariogenicidad de la dieta/velocidad de autoclisis oral.
- Edad del paciente y cumplimiento del tratamiento.
- Uso de modalidades de flúor sistémico y tópico.
- Niveles de fluoración del agua comunitaria.
- Cuadros médicos existentes.
Dentífricos fluorados
Los dentífricos fluorados proporcionan la forma más accesible de mantener concentraciones elevadas de flúor en la interfase esmalte-placa. El flúor se añade a los dentífricos en forma de fluoruro sódico, monofluorofosfato sódico (MFP), estañoso o fluoruro de amina.
El uso de pastas fluoradas ha entrañado una reducción del 25% en la prevalencia de caries en los países desarrollados y el mayor beneficio se ha observado en las superficies interproximales y lisas, así como en los dientes recién erupcionados.
Dentífricos para niños
Existen en el mercado dentífricos fluorados de baja concentración que contienen 250, 400 y 500 ppm de F⁻. Los metaanálisis recientes demuestran que el dentífrico con 250 ppm de F⁻ es menos eficaz en la prevención de la caries que los dentífricos estándar de 1.000 ppm.
Un niño puede ingerir hasta el 30% del dentífrico fluorado del cepillo de dientes, por lo que a los padres se les hacen las siguientes recomendaciones:
- Utilizar una cantidad de dentífrico equivalente a un guisante que cruce el cepillo (en lugar de colocarlo a lo largo del mismo).
- Cepillar y pasarle la seda dental al niño hasta que sea capaz de llevar a cabo estos procedimientos por sí mismo.
- Supervisar los «juegos con el cepillado».
- Utilizar un dentífrico para niños con bajo contenido en flúor en las zonas fluoradas habitualmente.
Estudios recientes y metaanálisis sobre el uso de dentífricos fluorados por niños demuestran el valor de unos buenos hábitos de higiene oral. Algunos resultados son:
- El cepillado dental dos veces al día de niños menores de 2 años disminuye considerablemente la aparición de caries.
- Este beneficio aumenta con su uso más frecuente y con la supervisión del cepillado.
- El proceso de «enjuagar y bombear» pasta de dientes fluorada entre los dientes disminuye considerablemente la caries en los niños en edad preescolar.
- El comienzo del uso de una pasta de dientes fluorada antes de un año de edad se asocia con una menor prevalencia de caries en comparación con una limpieza más tardía de los dientes.
- Comenzar con el uso de una pasta fluorada a edades tempranas puede tener mayor importancia en los niños que no se benefician de la fluoración de las aguas.
- El riesgo de fluorosis aumenta en los niños que utilizan un dentífrico fluorado antes de los 30 meses de edad en una comunidad fluorada.
Las directrices 7 y 8 del ARCPOH establecen que desde el momento en que erupcionan los primeros dientes (aproximadamente a los 6 meses de edad) hasta la edad de 17 meses, un adulto responsable debería limpiar los dientes a los niños, aunque sin utilizar pasta. Para los niños de 18 meses a los 5 años (inclusive), se deben limpiar los dientes dos veces al día con un dentífrico que contenga 0,4-0,5mg de F⁻/g (400-500 ppm de F⁻). El dentífrico debería utilizarse siempre bajo la supervisión de un adulto responsable; debe aplicarse una cantidad del tamaño de un guisante y los niños deben escupirlo, no tragárselo, así como no enjuagarse. Las directrices 9 y 10 del ARCPOH establecen que para los individuos de 6 o más años, se deben limpiar los dientes dos veces o más al día con una pasta fluorada estándar (1 mg de F⁻/g, 1.000 ppm de F⁻). Deben escupir, no tragar y no enjuagarse. Para los niños que no consumen agua fluorada o que presentan un riesgo mayor de desarrollar caries por alguna otra razón deben modificarse, en su caso, las directrices con respecto a los dentífricos según el dictamen del profesional. Las modificaciones pueden incluir el uso más frecuente de un dentífrico fluorado, comenzar el uso de dentífricos fluorados a una edad más temprana o comenzar precozmente con el uso de un dentífrico estándar (1 mg de F⁻/g).
Dentífricos fluorados estándar
Los dentífricos fluorados resultan muy eficaces en la prevención de la caries y son una estrategia poblacional excelente. Los ensayos clínicos demuestran que el nivel absoluto de protección de la caries con dentífricos fluorados resulta inferior al de la exposición a lo largo de la vida a la fluoración de las aguas comunitarias, si bien sus efectos preventivos se suman a los conseguidos con las aguas fluoradas.
Los dentífricos fluorados estándar contienen de 1.000 a 1.100 ppm de F⁻ (1-1,1 mg de F⁻/g de pasta).
Dentífricos fluorados de alta concentración
Conocidas también como pastas de tratamiento, los dentífricos fluorados de alta concentración representan un paso más en los tratamientos tópicos de flúor junto con los dentífricos fluorados. Los dentífricos fluorados de alta concentración contienen entre 1.500-5.000 ppm de F⁻ (1,5-5,0 mg de F⁻/g de pasta).
La directriz 11 del ARCPOH establece que para adolescentes, adultos y personas de edad avanzada con alto riesgo de desarrollar caries, el consejo del especialista dental debería centrarse en la necesidad de estos colectivos de utilizar un dentífrico con una concentración elevada de flúor (>1 mg de F⁻/g).
Enjuagues de flúor
Los programas de enjuagues de flúor supervisados pueden reducir la caries entre un 20-50%. Se considera que los enjuagues semanales de fluoruro sódico al 0,2% y diario al 0,05% resultan medidas de salud pública ideales. En la actualidad, se recomienda el uso de estos enjuagues, sobre todo en individuos con un alto riesgo de caries o durante períodos en los que aumenta la susceptibilidad a la misma.
Las directrices 13 y 14 del ARCPOH establecen que los niños menores de 6 años no deberían realizar enjuagues con flúor en casa, aunque sí pueden hacerlo niños a partir de los 6 años que presenten un riesgo elevado de desarrollar caries. Un enjuague bucal fluorado no debería sustituir el cepillado dental con pasta fluorada si éste es posible y debería realizarse en un momento del día diferente al que se utilice el dentífrico fluorado. El enjuague con flúor debe escupirse, no ingerirse.
Enjuagues diarios
- Fluoruro sódico neutro al 0,05% rrW (220-227 ppm F⁻).
- Solución parcialmente acidulada de fluoruro sódico, ácido fosfórico y fosfato sódico monobásico (200 ppm de F⁻).
Enjuagues semanales o quincenales
- Fluoruro sódico neutro al 0,2% mA/ (900-910 ppm de F⁻).
Indicaciones
- Niños que se encuentran bajo tratamiento ortodóncico.
- Niños con hiposalivación postirradiación.
- Niños incapaces de realizar un cepillado adecuado.
- Niños con riesgo elevado de caries.
Contraindicaciones
Los colutorios de flúor no se recomiendan en niños antes de la erupción de los incisivos permanentes.
Barnices fluorados
Los barnices fluorados se desarrollaron inicialmente para prolongar los tiempos de contacto entre el flúor y el esmalte con el fin de incrementar la formación de fluoroapatita. Los barnices fluorados unen el flúor al esmalte durante períodos de tiempo mayores que otras preparaciones tópicas de flúor, aunque la reducción de la caries resulta prácticamente la misma (aproximadamente el 30%).
Los barnices fluorados son eficaces en las denticiones temporal y permanente. Tras una aplicación de dos veces al año, no se han dado casos de fluorosis. La liberación lenta del flúor a partir del vehículo de la resina da lugar a unos niveles de flúor en plasma más bajos que los producidos con los geles fluorados ingeridos.
Indicaciones
- Áreas hipersensibles.
- Dientes recién erupcionados.
- Remineralización local de manchas blancas.
- Individuos con alto riesgo de caries.
- Individuos que pertenecen a grupos con alto riesgo de caries.
Duraphat (Colgate Oral Care) es una solución alcohólica de barnices naturales que contiene NaF/ml (un 5% de NaF, 2,26% F⁻, 22.600 ppm de F⁻, 22,6 mg de F⁻/ml). Este barniz permanece en los dientes entre 12-48 horas después de su aplicación y libera lentamente el flúor desde la película de aspecto encerado.
Fluor Protector (Ivoclar Vivadent) es un barniz de flúor de silano con una baja concentración de flúor (0,8%) en una laca de poliuretano.
Aplicación del barniz de flúor
No se precisa realizar de forma rutinaria una profilaxis de los dientes antes de la aplicación de flúor tópico. Sin embargo, se debe eliminar la placa y las tinciones de mayor tamaño. La presencia de placa en la superficie no disminuye la ingesta de flúor y se puede conseguir una disminución de la caries sin necesidad de limpiar los dientes antes de la aplicación de flúor. De hecho, la placa puede servir como reservorio de reciclaje para el flúor y permite el acceso al esmalte, si bien constituye, por desgracia, la fuente de los ácidos orgánicos que provocan la desmineralización. Secar los dientes antes de la aplicación del flúor facilita su adhesión y beneficia la captación del mismo.
Con estos productos fluorados de alta concentración, se debe poner especial atención en evitar su ingesta y en tragar una dosis excesiva. El fabricante de Duraphat (Colgate Oral Care) recomienda la aplicación de las siguientes cantidades de barniz (que no deben superarse):
- Dentición temporal: 0,25 mi (6 mg de F⁻).
- Dentición mixta: 0,40 mi (9 mg de F⁻).
- Dentición permanente: 0,75 mi (17 mg de F⁻).
La directriz 15 del ARCPOH establece que los barnices de flúor deberían utilizarse en personas con un riesgo mayor de desarrollar caries, incluyendo a niños menores de 10 años y en cuadros en los que no es posible o práctica la aplicación profesional de otros vehículos fluorados.
Geles, espumas, soluciones y cremas fluoradas concentradas
Los geles fluorados concentrados se comercializan como geles que previenen la caries y como geles de tratamiento. Pruebas clínicas recientes afirman que los geles fluorados con centrados resultan más eficaces en la dentición permanente que en la temporal, sobre todo en los primeros molares permanentes. La dosificación variable de las aplicaciones, seguida de la ingestión inadvertida, puede derivar en la ingesta de grandes cantidades de flúor, lo que puede provocar una fluorosis leve en los dientes permanentes que se están mi neralizando.
Los geles fluorados en concentraciones elevadas (ej. 9.000-12.300 ppm de F⁻) deben utilizarse sólo en el entorno profesional de la práctica dental y no dispensarse para su uso ambulatorio. Los geles en concentraciones más bajas (ej. 1.000 ppm de F⁻) pueden utilizarse en casa, siguiendo las instrucciones precisas del profesional y las demostraciones del uso adecuado del producto.
La directriz 16 del ARCPOH establece que pueden emplearse geles y espumas de flúor a concentraciones elevadas (>1,5mg/g de F⁻, 1.500 ppm de F⁻) en personas de 10 años o más que presentan un riesgo más elevado de desarrollar caries en aquellos cuadros en los que otros vehículos fluorados no se encuentran disponibles o no resultan prácticos.
Geles de fluorofostato acidulado
Los geles de fluorofostato acidulado (APF) contienen 12.300 ppm de F⁻ (un 1,23% de APF, un 1,23% m/V de F⁻) y se utilizan para aplicaciones profesionales. Consisten en una mezcla de fluoruro sódico, ácido fluorhídrico y ácido ortofosfórico. Los geles que contienen 5.000 ppm de F⁻ se limitan también al uso profesional y contienen fluoruro sódico, ácido fosfórico y fosfato sódico monobásico.
- Estos geles fluorados a elevadas concentraciones deberían limitarse a su uso profesional y no deberían dispensarse para su uso ambulatorio en niños.
- La incorporación de un polímero soluble en agua (carboximetil celulosa sódica) en APF acuoso produce una solución viscosa que mejora la facilidad de la aplicación mediante el uso de férulas fabricadas a medida.
- Los geles tixotrópicos en cubetas fluyen bajo presión, lo que facilita la penetración delgel entre los dientes.
- Los geles de APF se emplean para la prevención del desarrollo de la caries.
Geles de fluoruro sódico neutros
Puede utilizarse un gel de pH neutro (ej. gel de NaF neutro m/V 9.000 ppm de F⁻) en casos de erosión del esmalte, dentina expuesta, dentina cariada o en superficies del esmalte muy porosas (como en los casos de hipomineralización).
- El fluoruro sódico es químicamente muy estable, tiene un sabor aceptable y no irrita las encías. No produce decoloraciones en los dientes, en la resina composite o en las restauraciones de porcelana, al contrario que el APF o el flúor de estaño, que puede causar decoloraciones.
- Es preferible un gel o solución fluorada de pH neutro cuando se utilizan con restauraciones de cemento de ionómero de vidrio, resina composite o porcelana, ya que las preparaciones acídicas pueden grabar estas restauraciones.
Gel de flúor estañoso
Puede utilizarse un gel de tratamiento de flúor estañoso (SnF2) en un transporte de metilcelulosa y glicerina para la remineralización de las manchas blancas y las lesiones de hipomineralización del esmalte (ej. hipomineralización de incisivos o molares). Este producto lo comercializa Colgate Oral Care con el nombre de Gel Kam. Algunos casos clínicos esporádicos apoyan la eficacia de este producto, por ejemplo, cuando se pretende conseguir una remineralización localizada antes de la colocación de las restauraciones definitivas.
El gel de flúor estañoso al 0,4% se ha demostrado también eficaz para detener caries radiculares y se ha incorporado a una solución de saliva sintética para reducir la caries en pacientes con cáncer después de la irradiación.
- Contiene 1.000 ppm de F⁻ y 3.000 ppm de Sn2+.
- De forma domiciliaria, se coloca una pequeña cantidad en una bolita de algodón que un adulto aplicará sobre las superficies secas de los dientes o los padres a su hijo pequeño.
- Cuando proceda a esta aplicación sobre el niño, los padres deben seguir rigurosamente las instrucciones del profesional.
Solución de flúor estañoso
- El flúor estañoso al 10% puede emplearse para actuar localmente sobre las superficies «en riesgo» de los dientes como fosas y fisuras profundas o manchas blancas en superficies proximales accesibles.
- Sus mecanismos de acción principales son la penetración rápida del estaño y el flúor en el esmalte y la formación de un complejo estaño-fluorofosfato que recubre el esmalte. El ion estañoso puede dar lugar a la decoloración de los dientes y a la tinción de los márgenes de las restauraciones, sobre todo en áreas hipocalcificadas.
Cremas de fosfopéptido de caseína-flúor de calcio fosfato amorfo
El CPP-ACP y el CPP-ACPF se encuentran disponibles como cremas para su aplicación tópica en casa. Al aplicarlas sobre las superficies con riesgo de caries o erosión o con manchas blancas, el CPP-ACPF libera iones de flúor, calcio y fosfato para la remineralización local del esmalte.
- Contiene 900 ppm de F⁻.
- Producto fluorado para el uso en mayores de 6 años.
- Aplicar en los dientes después del cepillado y el uso de la seda dental con un dedo limpio o un aplicador con extremo en bolita de algodón. La crema no se enjuaga.
- No procederán a su uso personas con alergia a las proteínas de la leche.
Flúor sistémico
Los resultados de estudios realizados en varios países durante las dos últimas décadas han señalado lo siguiente con respecto al uso de los suplementos de flúor (en forma de gotas o comprimidos):
- Los suplementos de flúor tienen una aplicación limitada como medida de salud pública, aunque pueden ser beneficiosos en individuos con un riesgo alto de caries.
- Los suplementos de flúor resultan beneficiosos para reducir la caries dental sólo entre niños pertenecientes a comunidades no fluoradas, aunque este beneficio es reducido.
- Se dispone de datos clínicos limitados que demuestren los efectos preventivos sobre la caries de los suplementos prenatales.
- Se ha asociado el uso abusivo de suplementos a la fluorosis dental.
- Entre los 2 y 3 años los incisivos permanentes se muestran más susceptibles a la fluorosis.
En vista de la dudosa efectividad de los suplementos de flúor en la prevención de la caries, el riesgo de fluorosis y la variabilidad en el cumplimiento del tratamiento, se recomienda no utilizar suplementos de flúor en forma de gotas o comprimidos que haya que masticar y/o ingerir. En Australia, los calendarios de dosis que estaban publicados ya no se utilizan.
Los comprimidos de flúor que se habían comercializado con anterioridad como suplementos orales se pueden emplear en la actualidad como suplementos en el agua (v. apartado en «Aguas embotelladas y filtradas» de este mismo capítulo).
Algunas consideraciones del tratamiento con flúor en bebés y niños
Cada vez es más patente que los niños pequeños pueden obtener el flúor de una amplia variedad de fuentes dietéticas, dentífricos, suplementos y aplicaciones tópicas de flúor, lo cual puede derivar en una fluorosis dental leve o muy leve. Las pruebas demuestran que la fluorosis leve puede producirse tras la ingesta de 2 mg o más de flúor al día.
Cómo minimizar el riesgo
- Los padres deberían supervisar atentamente el cepillado de los dientes y cepillar y pasar la seda dental ellos mismos a los niños hasta aproximadamente los 8 años de edad, además de supervisar los «juegos» de sus hijos mientras realizan el cepillado.
- Los estudios clínicos indican que los bebés y los niños menores de 6 años ingieren aproximadamente el 30% del dentífrico utilizado, por lo que se recomienda poner una cantidad de crema dental equivalente al «tamaño de un guisante» y distribuirla por la cabeza del cepillo de dientes.
- No se debe ingerir el dentífrico.
- En zonas fluoradas de forma óptima, los padres deben utilizar dentífricos con una cantidad baja de flúor (400 o 500 ppm de flúor) en niños pequeños y niños pequeños, antes de la erupción de los incisivos centrales permanentes.
- La aplicación de estas nuevas directrices tiende a aumentar el uso profesional de los barnices fluorados y a disminuir el de los geles de flúor en niños menores de 10 años.
Si se tienen en cuenta estos puntos, dado que el resto de las fuentes son constantes y bajas, la ingesta total de flúor no debería exceder el límite superior recomendado de 0,07 mg de F⁻/kg de peso para un niño de entre 2 y 7 años.
Calendarios recomendados para la fluoración tópica
Pese a la distribución variable de la caries en los países desarrollados en los últimos 20 años y a la tendencia a centrarse en medidas únicamente preventivas en poblaciones de alto riesgo, la frecuencia inicial del cepillado de los dientes 2 veces al día con un dentífrico fluorado con inicio antes de los 2 años sigue considerándose la piedra angular de la prevención para la población en general. La revisión de los datos epidemiológicos en Australia y otros países indica que el uso de un dentífrico que contenga flúor dos veces al día prevendrá la aparición de caries nuevas en aproximadamente el 80% de los niños y el 60-70% de los adultos.
La implantación de tratamientos preventivos adecuados debe realizarse en consonancia a una valoración del riesgo de caries. La etiología del desarrollo de la caries dental es multifactorial, por lo que la valoración del riesgo debe incluir todos los factores clave y supone un ejercicio dinámico y en desarrollo que seguirá mejorando con la aparición de nuevas investigaciones y tecnologías. No obstante, los factores sociales, comportamentales y microbiológicos siguen siendo esenciales para determinar la propensión al riesgo de caries durante períodos de tiempo específicos. La herramienta para la valoración del riesgo de caries (Caries-risk Assessment Tool [CAT]) propuesta por la American Association of Pediatric Dentistry proporciona un conjunto adecuado de factores relacionados con la salud física, ambiental y general.
Riesgo bajo
- Sin aparición de lesiones cariosas nuevas en 12 meses.
- Aplicación 2 veces al día de un dentífrico bastante fuerte que contenga flúor.
- Aplicación puntual de flúor tópico en dientes posteriores permanentes recién erupcionados.
Riesgo mayor
Uso de suplementos de flúor de baja concentración en casos de:
- Pacientes adolescentes sin acceso a aguas fluoradas.
- Pacientes temporalmente en riesgo mayor de caries (es decir, pacientes ortodóncicos antes y durante el tratamiento, pacientes que se encuentran en tratamiento quimio o radioterápico).
Calendario
- Enjuague bucal diario de NaF o APF al 0,02%.
- Aplicación puntual de flúor tópico en dientes posteriores permanentes recién erupcionados.
Tasa de caries moderada
Una o dos lesiones nuevas por año y/o desarrollo de lesiones blancas cervicales.
Calendario
- Enjuagues diarios con NaF neutro al 0,05% o enjuagues semanales con NaF neutro al 0,2 %.
- Aplicación puntual de un barniz de flúor en las zonas susceptibles y aplicación de APF tópico al 1,23% por el profesional cada 3 meses o aplicaciones tópicas de SnF2 al 10% por el profesional cada 3 meses.
Riesgo elevado de caries
Más de dos lesiones nuevas por año.
Calendario
- Uso inicial de enjuagues diarios de NaF neutro al 0,2% y aplicación de APF tópico al 1,23% por el profesional cada 3 meses o aplicaciones tópicas de SnF2 al 10% por el profesional cada 3 meses.
- Aplicación puntual de barniz de flúor en áreas susceptibles.
Todos los regímenes de flúor deben considerarse en el contexto de la calidad y la cantidad de saliva, puesto que el flúor no es eficaz por completo en ausencia de iones calcio y fosfato. Estaría indicado aportar cantidades suplementarias de calcio y fosfato si existe una cantidad de saliva insuficiente o el riesgo de caries es lo suficientemente elevado para superar la capacidad de la saliva para frenarlo.
Toxicidad del flúor
Existen pruebas irrefutables que respaldan la seguridad de los fluoruros a bajas concentraciones, aunque las concentraciones elevadas aumentan la posibilidad de una sobredosis tóxica. El primer signo de sobredosis crónica de flúor es el moteado del esmalte. A dosis mucho más elevadas se producen la fluorosis ósea incapacitante y una toxicidad aguda. El servicio de Salud Pública de EE.UU. ha llevado a cabo revisiones de los riesgos y beneficios del flúor y, basándose en más de 50 estudios en humanos, ha concluido que no existe ninguna prueba que demuestre una asociación entre la ingesta de flúor y el cáncer.
Dosis tóxica probable estimada
- 5 mg de F⁻/kg de peso.
- Se ha observado la aparición de síntomas gastrointestinales tras la ingesta de 3-5 mg de F⁻/kg por parte de niños pequeños y adultos muy debilitados.
- Para un niño de 10 kg, se correspondería a todo el contenido de un tubo de dentífrico de 45 gramos, por lo que los niños pequeños no deberían tener acceso a dentífricos fluorados o suplementos de flúor sin supervisión.
Dosis tóxica probable
- 32-60 mg de F⁻/kg de peso.
- Se han dado casos de fallecimiento de niños con dosis de 16mg de F⁻/kg de peso. Varias preparaciones tópicas concentradas pueden contener estos niveles para niños pequeños en una sola dosis.
Es preocupante la prescripción inapropiada de tratamientos domiciliarios de geles fluorados con concentraciones elevadas de flúor en niños muy pequeños (ej. para el tratamiento de caries tempranas en la infancia). No deben prescribirse para su uso domiciliario productos con flúor concentrado que excedan las 1.000 ppm de F⁻.
Envenenamiento agudo
- Bloqueo del metabolismo celular.
- Inhibición de la enolasa en la vía glucolítica.
- Interferencia con el metabolismo del calcio.
- Trastornos en los impulsos y la conducción nerviosos.
Signos y síntomas
- El curso clínico en la toxicidad fluorósica aguda evoluciona con una rapidez alarmante.
- Los signos y síntomas generalizados incluyen:
- Náuseas y molestias epigástricas, a menudo acompañadas de vómitos.
- Salivación excesiva, producción de desgarros, secreciones mucosas por nariz y boca y sudoración.
- Cefalea.
- Diarrea.
- Debilidad general.
Dosis letal potencial
- Signos miopatológicos que incluyen espasmos en las extremidades, tetania y con vulsiones.
- Fracaso progresivo del sistema cardiovascular con un pulso apenas detectable, hipotensión y arritmias cardíacas.
- Alteraciones en el equilibrio electrolítico, sobre todo hipocalcemia e hipercalemia.
- Al estar deprimida la respiración, se va desarrollando de forma progresiva una acidosis respiratoria.
- El paciente puede sufrir una desorientación extrema antes de quedar inconsciente.
Tratamiento
El tratamiento de la toxicidad fluorósica aguda consiste en:
- Estimar la cantidad de flúor ingerida.
- Reducir más la absorción de flúor.
- Eliminar el flúor de los fluidos corporales.
- Mantener las constantes vitales.
Si el paciente no ha vomitado de forma espontánea:
- Administrar al paciente toda la leche que pueda ingerir, o
- Administrarle por vía oral gluconato cálcico al 5% o lactato cálcico o leche de magnesia.
Mientras se lleva a cabo esta acción de forma inmediata, se debe avisar al hospital por si se está produciendo un envenenamiento agudo por flúor y estar preparado para una intervención terapéutica apropiada.
Debe observarse que mientras que los protocolos anteriores defendían el uso de un emético como el jarabe de ipecacuana, se ha producido un cambio de tendencia y en la actualidad no se recomienda el vómito debido al riesgo de aspiración del mismo y de que madura del esófago por el ácido fluorhídrico formado en el estómago (debido a la interacción entre el flúor y el ácido clorhídrico). Los protocolos de emergencia modernos preconizan el uso de carbón activado o la realización de un lavado gástrico en la mayoría de los envenenamientos.
Tratamiento por dosis
<5 m g/k g
- Administrar calcio por vía oral (leche) y mantener en observación durante más de 4 horas.
5-15 m g/k g
- Ingresar en el hospital, mantener las constantes vitales y observar.
- Vaciar el estómago con un lavado gástrico.
- Administrar calcio por vía oral (leche, gluconato cálcico al 5%, lactato cálcico).
> 15 m g/k g
- Ingresar en el hospital de inmediato.
- Administrar carbón activado y comenzar el lavado gástrico.
- Monitorización cardíaca y soporte vital.
- Gluconato cálcico intravenoso.
Cálculo de la ingesta de flúor
- Un dentífrico de 1.000 ppm contiene 1 mg de F⁻/g de pasta dental.
- Un dentífrico de 400 ppm contiene 0,4 mg de F⁻/g de pasta dental.

Ejemplo
- Un niño de 2 años que pesa 10 kg se traga un tubo de dentífrico (es decir, 90 g de un dentífrico con un 0,76% de monofluorofosfato (MFF).
- Cantidad de flúor ingerido: 1 mg/g x 90 g de dentífrico = 90 mg.
- Peso del niño= 10kg.
- Dosis de flúor ingerido: 90 mg/10 kg = 9 mg de F⁻/kg de peso.
- El tratamiento debe comenzar como se ha descrito anteriormente.
Suele ser difícil determinar la cantidad exacta de dentífrico que se ha ingerido, por lo que, ante la sospecha de una sobredosis, resulta prudente consultar de inmediato a un médico especialista. La mayoría de los hospitales infantiles cuentan con un servicio de información sobre envenenamientos.
Consúltese el apéndice P en el que se presenta la muestra de un cálculo de los valores del flúor de los productos dentales.