Caries Dental
Factores que influyen en la caries dental
Se puede afirmar que la mayor parte del trabajo de la profesión dental se centra en esta enfermedad y, pese a ello, muchos especialistas poseen escasos conocimientos de los mecanismos que provocan la caries, la identificación de los pacientes en riesgo y los planes de tratamiento para que la enfermedad no progrese. Con demasiada frecuencia se tratan las consecuencias del proceso carioso pero no la causa de la enfermedad en sí.
La caries dental debe estudiarse como una enfermedad transmisible, que implica un proceso complejo de desmineralización y remineralización del esmalte debido a la acción de ácidos orgánicos producidos por microorganismos de la placa dental. La caries dental es una enfermedad multifactorial provocada por la interacción de factores ambientales, conductuales y genéticos. La figura 3.1 muestra los cuatro factores que influyen en su progresión.

Biopelícula de la placa dental
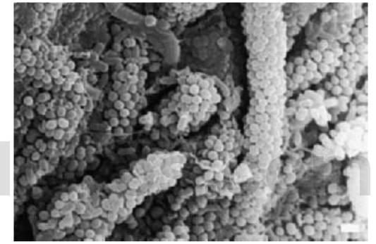
La placa se considera, cada vez con más frecuencia, una biopelícula dinámica (fig. 3.2) que mantiene su propio microentorno y desarrolla acciones que influyen en la salud oral. Si bien no es deseable, su presencia puede ser positiva como, por ejemplo, un reservorio de flúor o una barrera protectora contra la erosión.

La placa dental contiene bacterias tanto acidogénicas como acidodúricas. Muchas subespecies bacterianas se han asociado a la caries, pero se considera al Streptococcus mutans como la principal bacteria implicada en la aparición y desarrollo de esta enfermedad. Más avanzado el proceso, tras producirse la cavitación del esmalte, son los lactobacilos los que adquieren una mayor relevancia. En el proceso carioso, cuando el pH de la placa desciende por debajo de un nivel crítico (sobre 5,5), el ácido que se produce empieza a desmineralizar el esmalte, acción que se desarrolla en 20 minutos o más dependiendo de la disponibilidad de sustrato y el efecto de la saliva.
Los estreptococos mutans (S. mutans y S. sobrinus) constituyen el grupo principal de bacterias implicado en el inicio de la desmineralización del esmalte. El S. mutans se inocula normalmente a través de la madre o del principal cuidador del niño. Se pensaba que la inoculación inicial dependía de la presencia de una superficie dura y, por tanto, de la erupción de los primeros dientes, si bien estudios recientes han demostrado la presencia de este microorganismo en recién nacidos. En general, cuanto más temprana sea la inoculación de estreptococos mutans, mayor será el riesgo de caries en un niño. El consumo repetido de carbohidratos fermentables provoca el sobrecrecimiento proporcional de estreptococos mutans y la producción subsiguiente de ácidos orgánicos (láctico, fórmico, acético), así como un aumento en la matriz polisacárida extracelular y un cambio en los componentes relativos de la microflora, lo que produce un mayor riesgo de caries dental.
Sustratos
Las bacterias utilizan carbohidratos fermentables para la obtención de energía y los productos finales de la vía glucolítica en el metabolismo bacteriano son de naturaleza acida. La sucrosa es el carbohidrato fermentable implicado con mayor frecuencia, si bien debe tenerse en cuenta que las bacterias pueden utilizar cualquier carbohidrato fermentable, entre ellos los almidones cocidos. Cualquier carbohidrato puede producir ácidos, pero sólo la disponibilidad de glucosa, antes que subproductos más débiles como el formato, el acetoacetato y los alcoholes, permite la producción de ácido láctico. Además, la cantidad de carbohidratos fermentables tiene una importancia relativa ya que de inmediato sólo se utilizarán cantidades mínimas de los mismos.
Factores del huésped
La tríada tradicional de factores del huésped (dientes, microbios y dieta) resulta una representación simplista de las complejas interrelaciones existentes dentro de la cavidad oral. En cuanto al proceso carioso, la calidad de la estructura dental y la saliva son los principales factores principales a tener en cuenta por parte del huésped. La mala calidad dental, así como un esmalte hipomineralizado, está asociada a mayores tasas de caries. Asimismo, modificaciones en la cantidad y/o calidad de la saliva ejercen un efecto considerable en todo el entorno oral e influyen en la incidencia de caries, así como en el bienestar oral, la salud periodontal y la resistencia a infecciones.
Saliva
A menudo se sobrevalora la importancia de la saliva. No obstante, realiza varios papeles fundamentales en el proceso carioso. La saliva se excreta a velocidades diferentes con distintos constituyentes dependiendo de la presencia o ausencia de factores estimulantes; por ejemplo, la saliva estimulada por la masticación presenta una mayor concentración de iones calcio y fosfato. Se ha apreciado que un efecto gustatorio, como el inducido por algunos ácidos de la alimentación, estimula una tasa de flujo salival mayor que la estimulación por la masticación mecánica. Al eliminar el sustrato y gradas al efecto de tamponamiento ácido, la saliva coadyuva a equilibrar el proceso carioso ya que desempeña un papel funda mental en la remineralización, proporcionando una solución supersaturada estabilizada de iones calcio y fosfato, así como de iones fluoruro de fuentes extrínsecas. El constituyente principal de la saliva es el agua (~99,5%), con una amplia variedad de otros componentes orgánicos e inorgánicos, de entre los que destacan las proteínas salivales, sobre todo las histatinas, mucinas y estaterinas, que potencian:
- Actividad antibacteriana, antifúngica y antivírica.
- Lubricación, que coadyuva en la formación del bolo.
- Inhibición de la desmineralización y estabilización de los iones calcio y fosfato, lo que favorece la remineralización.
Por tanto, una disminución en la cantidad o calidad de la saliva puede aumentar de forma sustancial el riesgo de caries.
Tiempo
Cuando se producen ataques ácidos de forma reiterada, puede que un colapso suficiente de cristales de esmalte y de laminillas provoque la rotura de la superficie, acción que se prolonga durante meses o años dependiendo de la intensidad y frecuencia del ataque ácido.
Ya que la mayoría de las bocas contienen bacterias cariogénicas, en todas ellas se puede producir la continua desmineralización y remineralización del esmalte, por lo que se deduce que un individuo jamás dejará de estar exento de poder padecer caries dental. El proceso de desmineralización y remineralización del esmalte se define como un proceso constante y cíclico entre la pérdida y la ganancia neta de mineral. Sólo cuando el equilibrio se inclina hacia la pérdida neta, se encuentran signos clínicos identificables y el proceso se hace presente. El resultado a largo plazo de este ciclo se encuentra determinado por:
- La composición y cantidad de placa.
- El consumo de azúcar (frecuencia y momentos).
- La exposición al flúor.
- El flujo y calidad de la saliva.
- La calidad del esmalte.
- La respuesta inmunitaria.
Debido a lo cual debería modificarse el término «sin caries» para describir a un paciente (niño) que no tiene caries visibles por el término «caries inactiva», ya que este término describe con más precisión la realidad clínica en cuestión. Con el fin de que el equilibrio se mantenga, debería existir un tiempo suficiente entre los ataques cariogénicos para que se produjera la remineralización. Cuando los ataques son demasiado frecuentes, o se producen al disminuir el flujo salival, aumenta la tasa de desmineralización y la subsiguiente destrucción del diente.
Proceso carioso
La desmineralización del esmalte dental es un proceso químico y en la siguiente fórmula se describe, de forma sencilla, la disolución de la hidroxiapatita:
Ca,o(P04)6(OH)2 + 10H+ ->■ 10Ca2 + 6H(P04)3- + 2H20
donde la desmineralización del esmalte se define como una pérdida neta de esmalte debida a la acción de ácidos tanto intrínsecos como extrínsecos, lo que provoca la caries dental o la erosión del esmalte. La caries dental se debe principalmente a los ácidos láctico y acético que se diseminan a través de la placa y hacia el interior de los poros del esmalte entre las laminillas en forma iónica neutra, donde se disocian y disminuyen el pH del líquido que rodea los cristales del esmalte. Ya disociados, los protones disuelven la superficie de los cristales de hidroxiapatita según el grado de saturación de la apatita específica y se produce el aumento de la concentración de iones calcio y fosfato del fluido entre las laminillas.
El tamponamiento del calcio y el fosfato en la superficie del esmalte y en la biopelícula de la placa produce el desarrollo de una subsuperficie (o lesión de mancha blanca) con una capa superficial hipermineralizada de forma proporcional. También se producen variaciones ópticas debido al mayor espacio de los poros entre las laminillas más delgadas y a su efecto en las cualidades de refracción del esmalte. La continuación de este proceso socava finalmente el soporte de la capa superficial y se produce su rotura, tras lo que aparece una cavidad física.
Detección de la caries
Con la reducción considerable en la sociedad occidental de la prevalencia, incidencia y gravedad de la caries en las últimas tres décadas, salvo en comunidades e individuos menos avanzados que siguen permaneciendo en alto riesgo, también las pruebas diagnósticas de la caries se han reducido sensiblemente. La detección clínica de la caries oclusal es complicada debido a la morfología superficial, a la exposición al flúor, a la topografía anatómica de las fisuras y a la presencia de placa y tinciones. Los métodos empleados en la actualidad para la detección de la caries son:
- La inspección visual y táctil.
- Las radiografías.
- La transiluminación.
Nuevos métodos de detección de caries
En las pasadas dos décadas se han desarrollado tanto métodos de láser como de fluorescencia inducida por luz para detectar y cuantificar el contenido mineral del esmalte. Estos métodos se basan en las diferentes características de fluorescencia (pérdida de fluorescencia) del esmalte desmineralizado debido a la dispersión de la luz en la lesión cariosa. Existe una gran correlación entre la pérdida mineral y la fluorescencia en las manchas blancas (desmineralizadas) del esmalte.
La aparición reciente en el mercado de un sistema de cuantificación de fluorescencia inducida por luz (QLF, por sus siglas en inglés), que emplea luz con una longitud de onda de 290-450 nm, permite incrementar la exactitud en la medición de los niveles de mineralización del esmalte liso in vivo, debido a varios factores:
- Los métodos clínicos actuales se limitan a detectar la caries de esmalte sólo en un estado avanzado.
- La QLF puede detectar al microscopio pequeños cambios en la mineralización.
- La pérdida mineral puede cuantificarse.
- Pueden registrarse cambios progresivos en las características de la lesión.
Prevención de la caries dental
En general, la prevención, regresión o, al menos, una disminución de la progresión de la caries dental se consiguen con la alteración de uno o más factores de los antes mencionados.
Modificación de la dieta
Puede que la dieta sea el factor aislado de mayor importancia en riesgo de caries, si bien los odontólogos le prestan una atención mínima. Puede que algunos hábitos dietéticos hayan cambiado pero el consumo global de azúcar no ha variado en los últimos 50 años en la mayoría de los países occidentales y debe tenerse en cuenta que multitud de alimentos, si bien no se consideran específicamente cariogénicos, contienen azúcares ocultos y carbohidratos fermentables. Así pues, los historiales dietéticos pueden resultar de utilidad para identificar a los niños en alto riesgo. La modificación de los hábitos dietéticos resulta real mente difícil, por lo que las recomendaciones deben ser individuales, prácticas y realistas.
- La frecuencia de la ingesta tiene más importancia que la cantidad total ingerida.
- Se desaconseja «picotear» entre comidas.
- Se debe evitar el consumo frecuente de bebidas dulces (lo que incluye zumos de frutas y bebidas deportivas), ya que no sólo son cariogénicas sino también excesivamente erosivas y calóricas.
- Los dulces son recompensas habituales pero deben limitarse a las horas de las comidas.
- Muchos alimentos que incluyen en la etiqueta «Sin azúcares añadidos» contienen niveles elevados de azúcares naturales.
- Las recomendaciones dietéticas no deberían ser totalmente negativas, sino que también se pueden incluir alternativas positivas.
- La masticación de chicle sin azúcar de pH neutro aumenta el flujo salival y coadyuva a remineralizar y a prevenir la desmineralización.
- Puede que el mejor de los consejos dietéticos sea «dar a los dientes un respiro» durante, al menos, 2 horas entre las comidas y los tentempiés.
Fluoruros
El principal modo de acción de todas las modalidades de fluoruro (cremas dentales, colutorios, geles y fluoración de las aguas comunitarias) es su efecto tópico sobre la superficie del esmalte. Incluso concentraciones bajas de fluoruro en el microentorno alrededor de los dientes inhiben la desmineralización y favorecen la remineralización de la superficie dental. La incorporación de fluorina (como fluoroapatita) en el esmalte disminuirá su solubilidad, lo que aumentará su resistencia a la caries. Pese a ello, hoy en día se ha reconocido que la incorporación de fluoruro administrado de forma sistemática en el esmalte en desarrollo (no erupcionado) juega un papel menor en el aumento de la resistencia del esmalte (v. cap. 4).
Calcio y fosfato
La capacidad de producir una remineralización neta se limita a la disponibilidad de iones calcio y fosfato, proporcionados de manera intrínseca por la saliva. Por ello, la remineralización está «supeditada a la saliva». En décadas pasadas se llevaron a cabo intentos de proporcionar soluciones de calcio y fosfato iónicos supersaturados para aumentar la remineralización, aunque se debía contar con la baja solubilidad de estos iones. Recientemente se ha citado que los fosfopéptidos de la caseína derivados de la leche estabilizan el calcio y el fosfato en una forma amorfa (fosfopéptido de caseína-fluoruro de calcio fosfato amorfo [CPP-ACP]), lo que constituye un entorno supersaturado que dirige la remineralización y limita la desmineralización.
Por ello, se ha añadido CPP-ACP a cremas tópicas, chicles y colutorios para aumentar la remineralización y disminuir la desmineralización, así como a bebidas deportivas para disminuir la erosividad.
Selladores de fisuras
Incluso en aquellas comunidades con baja incidencia de caries, las fosas y fisuras siguen siendo susceptibles a la caries. La forma más eficaz de prevenir la caries en estas zonas es mediante el sellado de las fisuras (v. cap. 5).
Eliminación de la placa
Cepillado
En comunidades abastecidas por aguas fluoradas, la caries se presenta en zonas interproximales y sobre todo en fosas y fisuras. Por tanto, si se pudiera eliminar toda la placa de las superficies dentales, no aparecerían caries, si bien este hecho resulta imposible tanto desde el punto de vista físico como conductual.
- Además de eliminar la placa, el cepillado debería considerarse como un vehículo para la aplicación tópica de flúor.
- La acción mecánica y aislada del cepillado no evita la caries ya que no elimina de forma eficaz la placa existente en las zonas antes mencionadas.
- Se debe animar a los niños a que adopten buenos hábitos de cepillado. El cepillado debe comenzar cuando erupcionan los primeros dientes, como parte de la higiene diaria. Para eliminar la placa en los niños pueden emplearse una gasa, una manopla con un dedo o un cepillo de dientes muy suave.
- Resulta beneficioso que los adultos ayuden a los niños a cepillarse los dientes hasta que cumplan los 8-10 años y hayan desarrollado la destreza necesaria para eliminar la placa de una forma eficaz por ellos mismos. De manera ideal, el cepillado debe practicarse dos veces al día con una pasta dental fluorada, si bien los padres deben tener en cuenta que, para disminuir el riesgo de caries, deben realizar la operación al menos una vez al día (v. cap. 4).
Uso de la seda dental
En los años preescolares y en la dentición mixta temprana, las superficies interproximales de los molares temporales incrementan el riesgo de caries. Se debe mostrar a los padres cómo pasar la seda por estas zonas en las que los dientes están en contacto, sobre todo si existen signos de desmineralización. A los niños mayores se les debe mostrar cómo usar la seda dental por sí mismos, acción que puede facilitarse con el uso de enhebradores de seda comercializados.
Reveladores de la placa
A los niños, a sus padres y a los pacientes de edad avanzada les resulta difícil saber cuándo han eliminado de forma eficaz la placa dental. Las soluciones y comprimidos de revelado se consideran una alternativa muy útil para ayudar a pacientes y padres a detectar y eliminar la placa con mayor eficacia (fig. 3.3).

Agentes antimicrobianos
En los últimos años, los colutorios antibacterianos se han convertido en parte de un régimen preventivo en odontología y para ciertos pacientes resultan fundamentales en la prevención de la caries dental. Concretamente, se suelen emplear enjuagues, geles, dentífricos o barnices que contienen dorhexidina y triclosán en pacientes con alto riesgo de caries para ayudar a controlar la placa y los microbios. Su papel fundamental forma parte del tratamiento multifactorial de individuos con un alto índice de caries, y sobre todo de los que están médicamente comprometidos. Los antimicrobianos sistémicos (antibióticos) producen alteraciones significativas en la microflora oral y carecen de utilidad en la prevención de la caries.
Determinación de los pacientes con riesgo de caries dental
El desarrollo de una estrategia individual de tratamiento basado en los factores de riesgo asociados a un paciente concreto se considera el mejor estándar de actuación para un tratamiento mínimamente invasivo. Se trata de determinar el riesgo de caries del paciente antes de decidir los métodos apropiados y los productos preventivos que se van a recomendar. Para ello se consideran aspectos como:
- Presencia de manchas blancas.
- Historia de caries del individuo y de su familia.
- Situación socioeconómica.
- Raza.
- Dieta.
- Exposición al flúor.
- Cantidad y calidad de la saliva.
- Higiene oral.
- Historia médica.
- Presencia de defectos de desarrollo en el esmalte.
Estos factores (sobre todo los antecedentes) pueden resultar sólo orientativos pero resultan de utilidad a la hora de considerar las medidas preventivas aplicables a cada paciente de una forma individualizada. Una vez determinado el riesgo, se puede aplicar un programa preventivo que incorpore los métodos adecuados. La tabla 3.1 sugiere una forma deabordar el caso.
Antecedentes del paciente
- Niveles de flúor en el agua.
- Epidemiología de la caries, susceptibilidad a la caries del grupo al que pertenece el paciente.
- Raza.
- Variables socioeconómicas.
Características individuales
Edad
- Los riesgos en las diferentes zonas de los dientes varían según las edades.
- Características específicas del paciente.
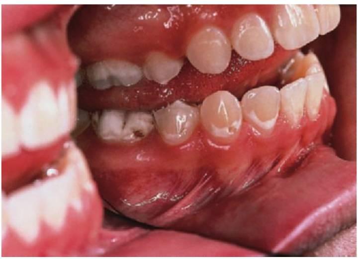
- Los dientes pueden encontrarse en mayor riesgo en asociación con un tratamiento ortodóncico (fig. 3.4) o en casos de comorbilidad médica.

Historia clínica
- ¿Medicación frecuente?
- ¿La medicación altera la saliva?
- ¿La medicación está endulzada con un carbohidrato fermentable?
- ¿La higiene oral resulta un problema?
- ¿Se ha modificado la dieta?
- Historia intrauterina y perinatal.
Dieta
- Frecuencia de carbohidratos fermentables.
- ¿Cuál es el conocimiento de los progenitores y de los pacientes sobre los alimentos con azúcares?
- Alimentos protectores (p. ej., alimentos lácteos).
- ¿Existen hábitos asociados al riesgo?
- ¿Lactancia artificial o lactancia materna?
- Uso de botellas de succión o vasos con boquilla.
- ¿Picoteos frecuentes durante los entrenamientos deportivos?
Historia familiar de caries
Las bacterias cariogénicas se transmiten verticalmente de los padres y puede que horizontalmente de otros cuidadores y personas cercanas.
- ¿Los padres presentan caries activas?
Información intraoral
Historia de caries
- Restauraciones o caries antiguas alrededor de las restauraciones existentes.
- Signos de desmineralización (manchas blancas).
Erupción de los dientes
- La dentición permanente de la infancia temprana puede encontrarse más en riesgo que la dentición madura.
- Se necesita tiempo para que la caries progrese hasta un estado detectable. El riesgo puede no evidenciarse durante los 3-4 años posteriores a la erupción.
Salud oral
- Presencia de placa.
- ¿Cuál es la efectividad de la higiene oral?
- ¿El acúmulo de placa va asociado a la desmineralización?
- ¿El paciente utiliza la seda dental?
- ¿Se utiliza un dentífrico fluorado?
Morfología del diente
- Fisuras profundas e imposibles de limpiar.
- Hipomineralización o hipocalcificación del esmalte (historias intrauterina, perinatal e infantil).
- ¿Se han sellado las fisuras de los dientes?
Signos radiográficos
- ¿Las lesiones han aumentado de tamaño?
- ¿Con qué rapidez progresan las lesiones?
Otras pruebas diagnósticas
- Uso de luz o fluorescencia láser (p. ej., QLF y DiagnoDent).
- DIFOTI (imagen digital de transiluminación a través de fibra óptica).
- Impedancia eléctrica.
Saliva
- ¿Se consideran dentro de la normalidad la tasa de saliva y su capacidad de tamponamiento?
- ¿Hay algo que pueda afectar a la composición de la saliva?
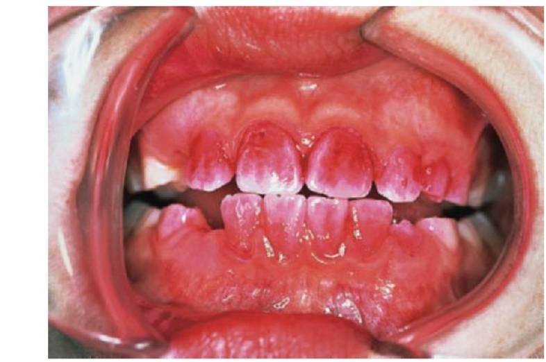
Caries en la infancia temprana
Una de las causas de caries en la infancia temprana o de caries rampantes en los niños es permitir a los más pequeños y a los que empiezan a andar que duerman con el biberón. La prevalencia citada oscila entre el 2,5 y el 15%.
Características de las caries inducidas por el biberón en la infancia temprana
- Las caries rampantes afectan a los dientes anterosuperiores (fig. 3.5).
- Las lesiones aparecen después en los dientes posteriores, los primeros molares maxilares y mandibulares.
- Los caninos están menos afectados que los primeros molares porque erupcionan después.
- Los dientes anteroinferiores no están afectados, se supone que debido al flujo salival y a la posición de la lengua.
- El biberón suele utilizarse como chupete para conseguir que el niño se duerma.
- Las caries de biberón se presentan en todos los grupos socioeconómicos y suelen reflejar la dinámica social de la familia. Los niños que duermen mal o tienen cólicos suelen tranquilizarse con el biberón. El biberón puede contener cualquier líquido con carbohidratos fermentables, incluso leche, si bien suelen usarse con bebidas y zumos que con tienen vitamina C.
- Este patrón de caries puede presentarse también a partir de una lactancia materna a demanda prolongada.

Etiología de la caries en la infancia temprana
- Largos períodos de exposición al sustrato cariogénico. Si se produce por el biberón, la tetina permanece junto a las superficies palatinas de los dientes anterosuperiores durante más de 8 horas. No obstante, hábitos como el «picoteo» son conductas de riesgo, al igual que el uso de botellas de succión y vasos con boquilla, objetos que siempre acompañan a los niños cuando empiezan a andar.
- Baja tasa de flujo salival por la noche y tamponamiento reducido.
- Historia de los padres de caries activa y no tratada, sobre todo en la madre.
Tratamiento
- Cese del hábito.
- Consejos dietéticos.
- Posible uso de productos antimicrobianos.
- Aplicación de flúor.
- Reconstrucción de dientes restaurables, que puede realizarse a través de restauraciones de ionómero de vidrio, coronas temporales de composite y/o coronas de acero inoxidable.
- Extracciones, si resultan necesarias. La pérdida de los dientes anterosuperiores no dará lugar a pérdida de espacio si han erupcionado los caninos. La dicción se desarrollará con normalidad. En caso de requerirse la extracción de dientes posteriores, se deberá informar a los padres sobre una posible pérdida de espado y se determinará la idoneidad de colocar un mantenedor de espacio.
Se precisa aconsejar adecuadamente a la familia sobre las caries en la infancia temprana. Nadie debe sentirse culpable de su aparición; en multitud de ocasiones estas caries aparecen por la ignorancia, la desinformación o la frustración que sienten los padres al tratar a un niño con problemas del sueño. El hábito de utilizar el biberón puede eliminarse con una disminución gradual de la cantidad de azúcar en el biberón, diluyéndolo con agua. Esta operación debe realizarse durante varias semanas. A otros padres, por el contrario, les resulta más fácil quitarle el biberón al niño de forma inmediata, sin pausas.
Con frecuencia, el uso de la anestesia local resulta necesario cuando el tratamiento se realiza en niños pequeños.