Anomalías Dentales
Introducción
El diagnóstico y tratamiento de las anomalías dentales constituye uno de los campos más relevantes de la odontopediatría. La mayoría de las anomalías dentales se manifiestan en la infancia, pero se diagnostican de forma errónea o quedan sin tratamiento debido a una falta de experiencia o por considerar el caso «demasiado difícil». En ciertos casos se recomienda consultar con un asesor genético, no sólo para poder descifrar el trastorno, sino también para obtener el asesoramiento adecuado con respecto al pronóstico y al riesgo de recurrencia en generaciones futuras. En multitud de casos, la presencia de un trastorno dental hereditario no impide que una familia tenga hijos, pero el asesoramiento correcto de los padres y niños afectados resulta fundamental. En general, la mayoría de los hospitales pediátricos disponen de servicios de genética.
En este capítulo se hace referencia a las condiciones concretas de la herencia con accesos a la Online Mendelian Inheritance in Man (OMIM). Esta base de datos online (v. Bibliografía y lecturas complementarias para los detalles) es un catálogo de trastornos genéticos desarrollado por el Dr.Victor McKusick de la Universidad Johns Hopkins y por el Centro Nacional para Información sobre Biotecnología.
Consideraciones para el tratamiento de las anomalías dentales
- Informar y tranquilizar al niño y a sus padres.
- Establecer un diagnóstico.
- Asesoramiento genético.
- Formulación interdisciplinaria para el plan de tratamiento definitivo.
- Suprimir el dolor.
- Restablecer la estética.
- Conseguir una función adecuada.
- Mantener la dimensión vertical oclusal.
- Utilizar restauraciones intermedias en la infancia y la adolescencia.
- Planificar el tratamiento definitivo a la edad óptima.
Planificación del tratamiento en los niños con anomalías dentales
La planificación del tratamiento debe ser interdisciplinaria. Las decisiones que se tomen deben incluir al niño y a los padres, así como tener en cuenta las necesidades presentes y futuras y el desarrollo del niño. Los niños aguantan varios aparatos y tratamientos, pero la adolescencia temprana representa un período de ajuste social y también de cambios transicionales en la dentición. Se trata quizá del momento más complicado para formular un plan de tratamiento a largo plazo. Los adolescentes se preocupan en exceso por la estética, pero puede resultar una época demasiado temprana para realizar restauraciones definitivas y requerirse un tratamiento ortodóncico extenso o una cirugía ortognática posterior. En las diferentes instituciones funcionan equipos que establecen el plan de tratamiento y/o el tratamiento de estos casos; más adelante se sugiere una lista. Asimismo, debe producirse la implicación del odontólogo general del niño.
Equipo multidisciplinar
- Odontopediatra.
- Ortodoncista.
- Prostodoncista.
- Cirujano.
- Logopeda.
- Psicólogo clínico.
- Odontólogo general.
Resulta fundamental la consulta con los colegas sobre el tratamiento de niños con cuadros dentales poco comunes. La colaboración local e internacional contribuye a incrementar nuestros conocimientos y poder mejorar los resultados en estos niños.
Anomalías dentales en las diferentes fases del desarrollo dental
Conviene determinar las anomalías dentales según la fase del desarrollo en la que aparecen.
Migración de las células de la cresta neural (ectomesénquima) a los arcos branquiales
Duplicación de las arcadas dentales.
Fase de formación de la lámina dental
Inducción y proliferación
- Hipodoncia/oligodoncia/anodoncia (que pueden estar asociadas a otras características de displasia ectodérmica).
- Dientes supernumerarios.
- Dientes dobles (geminados o fusionados).
- Odontomas (complejo y compuesto).
- Tumores odontogénicos.
- Fibroma ameloblástico/fibrodentinoma/fibroodontoma (dependiendo de la diferenciación y de la presencia y tipo de calcificación en el interior de la lesión).
- Queratoquistes odontogénicos.
Diferenciación histológica
Defectos en el desarrollo de varios tejidos dentales
- Odontodisplasia regional.
Diferenciación morfológica
Anomalías del tamaño y la forma
- Macrodoncia.
- Microdoncia (aislada o como parte de un síndrome).
- Odontoma invaginado (dens ¡nvaginatus).
- Odontoma evaginado (dens evaginatus).
- Tubérculo de Carabelli.
- Cúspide en talón.
- Incisivos de Hutchinson y molares en mora en la sífilis congénita.
- Taurodontismo.
Aposición de la matriz
Aposición de la matriz orgánica y mineralización
- Esmalte:
- Amelogénesis imperfecta.
- Hipoplasia cronológica del esmalte.
- Hipoplasia de molares e incisivos.
- Opacidades del esmalte.
- Fluorosis.
- Dentina:
- Dentinogénesis imperfecta.
- Displasia dentinaria.
- Raquitismo resistente a la vitamina D.
- Lesiones reabsortivas intracoronales preeruptivas.
Erupción y desarrollo radicular
- Erupción prematura.
- Dientes natales y neonatales.
- Erupción tardía.
- Erupción ectópica.
- Quistes de erupción.
- Transposición de dientes.
- Impactaciones.
- Detención del desarrollo radicular por enfermedades sistémicas (o tratamiento de las enfermedades sistémicas).
- Fallo de la erupción en la amelogénesis imperfecta.
- Fallo de la erupción en la displasia cleidocraneal.
- Fallo de la erupción en el querubismo.
- Fallo de la erupción asociado con quistes foliculares inflamatorios.
Formación de la lámina dental
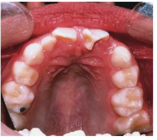
Hipodoncia
Terminología alternativa: hipodoncia, oligodoncia, anodoncia.
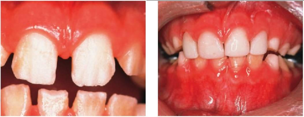
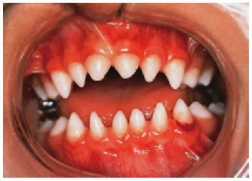
Hipodoncia, oligodoncia y anodoncia son los términos que designan los diferentes grados de progresión de la ausencia de dientes, si bien el término hipodoncia es el más utilizado debido a que se refiere a un número indeterminado de dientes ausentes (fig. 9.1 A). La oligodoncia designa la ausencia de seis dientes o más, y la anodoncia la ausencia completa de dientes. Todos estos casos se producen debido a un fallo en el desarrollo. El término «dientes ausentes congénitamente» no puede aplicarse a la dentición permanente, ya que estos dientes comienzan su desarrollo después del nacimiento, y tampoco a la dentición temporal ya que esa ausencia dental no puede determinarse de forma clínica en el momento de nacer; asimismo, el término «anodoncia parcial» carece de sentido. Sucede con frecuencia que los grados de hipodoncia aparezcan de manera esporádica o bien tengan un componente hereditario. Cuando a un individuo le faltan muchos dientes se debe estudiar a otros miembros de la familia afectados.
Los dientes que faltan con mayor frecuencia son los últimos de cada serie, es decir, el incisivo lateral, el segundo premolar y el tercer molar, y es realmente infrecuente la falta de los incisivos centrales, los caninos o los primeros molares permanentes. En el plano clínico, tiene mayor importancia el tipo de dientes ausentes que su número. La presencia de un diente rudimentario o cónico puede estar asociada a la ausencia del mismo diente del lado opuesto de la arcada. Un ejemplo frecuente es la microdoncia del incisivo lateral, que también puede estar ausente en descendientes del paciente afectado. Las ausencias de dientes son una manifestación de muchos síndromes de cabeza y cuello.

Principales trastornos que producen hipodoncia
La hipodoncia es una característica clínica de unos 50 síndromes, entre los que se encuentran:
- Displasias ectodérmicas.
- Hendiduras (paladar hendido/labio leporino).
- Trisomía 21 (síndrome de Down).
- Displasia condroectodérmica (síndrome de Ellis-van Creveld).
- Síndrome de Rieger.
- Incontinentia pigmenti.
- Síndrome oral-facial-digital.
- Síndrome de Williams.
- Síndromes craneosinostósicos.
Displasias ectodérmicas
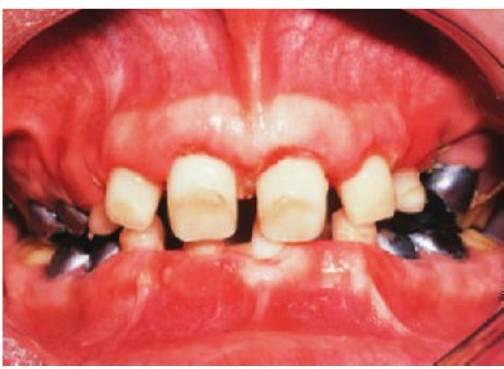
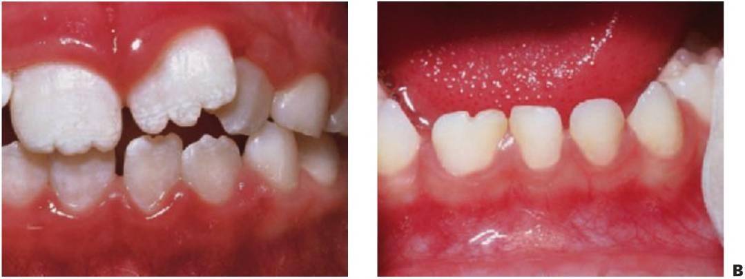
La displasia ectodérmica describe un grupo de trastornos del desarrollo que con frecuencia son heredados y afectan a las estructuras derivadas del ectodermo, como el pelo, los dien tes, las uñas, la piel y las glándulas sudoríparas. La forma más común es la forma hipohidrótica ligada al cromosoma X (OMIm305100, EDA1, Xq12-q13.1 [brazo corto del cromosoma X]). En este trastorno, la presentación usual es la de un niño varón con:
- Varios dientes ausentes (fig. 9.1 B).
- Cabello fino y ralo (fig. 9.2A, B).
- Piel seca (fig. 9.2A).
- Hipoplasia maxilar.
- Eversión de los labios.
- Pigmentación alrededor de la boca y los ojos.

Los dientes son pequeños y cónicos y a menudo presentan un gran diastema anterior (fig. 9.3). Sus manifestaciones pueden limitarse a un solo diente ausente o a un incisivo lateral en clavija (v. hipótesis de Lyon, más adelante) y las mujeres heterocigóticas suelen ser diagnosticadas gracias a este tipo de dentición.

Dentro del grupo de displasias ectodérmicas, se observan asimismo modos de herencia autosómica tanto dominante como recesiva. Si se compara con la displasia ectodérmica hipohidrótica ligada al cromosoma X, en las familias con este trastorno no existen diferencias tan acentuadas en cuanto al grado de trastorno entre los hombres y las mujeres (figs. 9.2A, 9.4). Se han identificado mutaciones en el gen MSX1 (4p16.1) en familias con terceros molares y segundos premolares ausentes con o sin paladar hendido/labio leporino, así como en familias con el síndrome diente-uña (Witkop). Se han observado mutaciones del gen PAX9 (14q12-q13) en otras familias con dientes ausentes de forma autosómica dominante.
El tratamiento dental de los niños afectados (que incluye la prevención, la ortodoncia y la prótesis) está cubierto por programas gubernamentales en algunos países.

Tratamiento
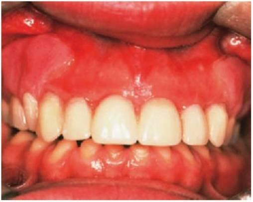
El objetivo del tratamiento es proporcionar una función adecuada, mantener la dimensión vertical y restaurar el aspecto estético. La mejor opción desde el punto de vista de las consideraciones sociales es el inicio del tratamiento a los 2-3 años de edad. Sucede a menudo que los padres pretendan con ahínco «normalizar» el aspecto del niño. Un primer paso suele ser la colocación de restauraciones de composite para enmascarar el aspecto «similar a un colmillo» del diente anterior caniniforme (fig. 9.3A). Más adelante se efectuará la provisión de prótesis para que sufra menos burlas, sobre todo en el momento en que el niño empieza a ir a la escuela. La prótesis puede prepararse tan pronto como al niño se le puedan tomar impresiones, pero la realidad es que el primer juego de prótesis suele llevarse en el bolsillo y a medida que el niño crece se desarrolla el deseo de tener un aspecto más normal. Gracias a una incentivación y refuerzo positivo del niño, la mayoría de los niños llevarán puestas sus prótesis.
Planificación del tratamiento de los niños con hipodoncia
La planificación del tratamiento debería ser multidisciplinar y tener en cuenta las necesidades presentes y futuras del paciente y su desarrollo, así como las inquietudes del individuo y de sus padres.
Opciones de tratamiento
- Reconstrucciones con composite sobre los dientes cónicos grabados con ácido.
- Pueden añadirse también botones de resina composite o botones ortodóncicos adheridos para proporcionar zonas de retención para los ganchos y retenedores de la prótesis (fig. 9.5).
- Prótesis parciales: convencionales o sobredentaduras (fig. 9.6).
- Exposición quirúrgica de los dientes impactados.
- Tratamiento ortodóncico de los espacios.
- Carillas de composite fabricadas en el laboratorio, así como coronas y puentes.
- Implantes osteointegrados (normalmente una vez finalizado el crecimiento).

Hipótesis de Lyon (inactivación del cromosoma X)
Durante la diferenciación celular, uno de los dos cromosomas X de cada célula somática femenina se inactiva, lo que significa que en las familias con trastornos ligados al cromosoma X, sobre un 50% de las células de las mujeres heterocigóticas manifestarán el trastorno del gen mutante, mientras que las demás manifestarán el gen normal. En las mujeres afectadas por este cuadro, los tejidos presentan un mosaico de células afectadas y normales, lo que tiene una especial importancia en trastornos como la hemofilia, la displasia ectodérmica hipohidrótica ligada al cromosoma X, el raquitismo resistente a la vitamina D y la amelogénesis imperfecta ligada al cromosoma X. Por ello, las mujeres heterocigóticas con displasia ectodérmica hipohidrótica ligada al cromosoma X pueden tener dientes ausentes, aunque su afectación es menos grave que la de los hombres. De manera similar, en la hemofilia A las mujeres heterocigóticas no suelen tener problemas hemorrágicos clínicos, si bien pueden presentarse si la lyonización está muy sesgada de manera que predominen las células que producen el factor VIII bajo control del gen mutante.
Hendiduras (paladar hendido/labio leporino)
En pacientes afectados por hendiduras dentoalveolares puede producirse una inducción o proliferación anómalas debido a la disrupción de la lámina dental en esa zona y que puede dar lugar, a su vez, a dientes ausentes (normalmente el incisivo lateral maxilar) y/o a dientes supernumerarios adyacentes a la hendidura. Es extremadamente infrecuente una afectación similar del canino.
Síndrome del incisivo central maxilar medio aislado (OMIM 147250)
El síndrome del incisivo central maxilar medio aislado (SMMCI) (fig. 9.7) es muy infrecuente y se presenta como un incisivo central maxilar asimétrico en la línea media. Este cuadro puede estar asociado a otras alteraciones de la línea media, como paladar hendido, estenosis o atresia coanal, ano imperforado o hernia umbilical, y forma parte del espectro del grupo de malformaciones holoprosencefálicas. Destaca en algunos casos su asociación con hipoplasia de la silla turca, disfunción pituitaria, deficiencia de hormona del crecimiento y la consiguiente estatura corta. El diagnóstico del síndrome se basa sobre todo en las manifestaciones dentales. Se ha identificado una mutación del gen SHH (7q36) en una familia, pero hay posibilidad de que exista una heterogeneidad genética en el cuadro.

En última instancia, el tratamiento de las anomalías dentales se realiza con medios ortodóncicos y prostodóncicos que se determinan por consideraciones espaciales. En la mayoría de los casos, el incisivo central aislado se desplaza hacia un lado de la línea media y se crea espado para una sustitución protésica o bien se recontornean los incisivos laterales adyacentes.
Implantes osteointegrados en niños
Existe una polémica considerable acerca del momento más adecuado para la colocación de implantes osteointegrados en niños pequeños. Hasta la fecha se han publicado pocos trabajos sobre la implantación temprana y sus consecuencias a largo plazo. En general, se considera que los implantes actúan de forma muy parecida a los dientes anquilosados y no se mueven de forma oclusal al crecimiento del hueso alrededor de los dientes naturales adyacentes. Una reciente investigación en animales han confirmado que la mayoría de las fijaciones se osteointegran en el maxilar y la mandíbula en crecimiento, aunque los datos derivados de esta investigación no evidencian que las fijaciones se comporten igual que los dientes naturales durante el desarrollo. En la mandíbula los implantes se desplazan en sentido lingual a los dientes naturales, y en el maxilar superior se desplazan en sentido palatino y superior a los dientes adyacentes y no siguen el crecimiento anteroinferior de este hueso. Este último detalle tiene gran importancia cuando se plantea la posibilidad de colocar implantes en la parte anterior del maxilar superior. Además, la colocación de fijaciones retrasaba el crecimiento alveolar a nivel local y alteraba la ruta de erupción de los gérmenes dentarios colocados distalmente. En la mayoría de los casos no se deben colocar implantes a niños durante el período de crecimiento, si bien conviene señalar que aquellos niños que presentan trastornos como displasia ectodérmica no desarrollan el hueso alveolar en las zonas de ausencia congénita de dientes; por tanto, se considera apropiado colocar implantes en estos niños mucho antes que en los que tienen unos alveolos normales, sobre todo cuando se presentan muchas agenesias dentales. Investigaciones recientes indican que, en casos de anodoncia, la mejor zona para colocar los implantes es la región canina mandibular, y el momento a los 8-10 años de edad (siguiendo el período de crecimiento transversal mandibular máximo) para facilitar la fabricación de la prótesis inferior.
Trastornos de la proliferación
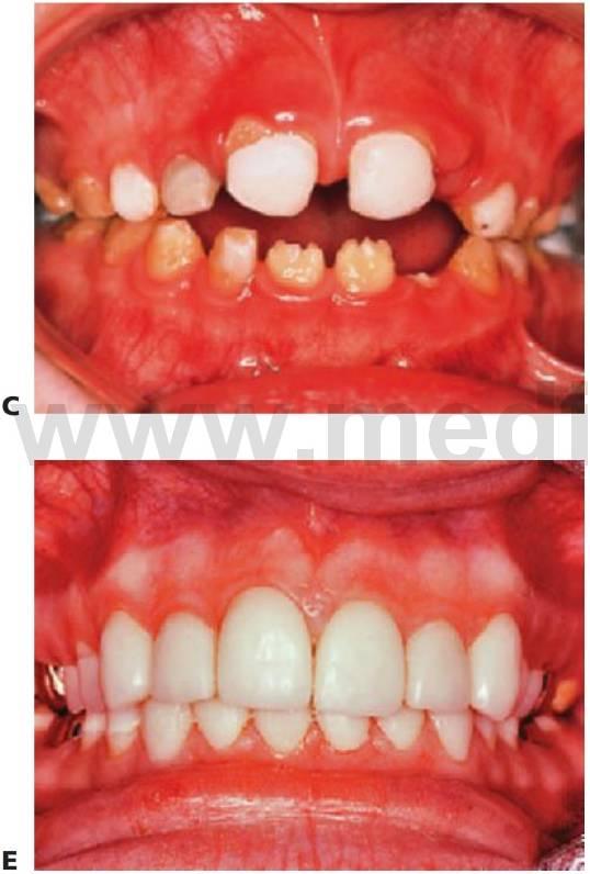
Dientes supernumerarios
Los dientes supernumerarios surgen como resultado de una geminación de la lámina dental que se produce de forma esporádica o se heredan, como sucede con la displasia cleidocraneal (fig. 9.8).
La forma de los dientes puede recordar a la forma de las piezas normales (diente suplementario), es decir, incisiforme, caniniforme o molariforme; de no ser así, sería cónico o tuberculado.
Habitualmente se presenta como consecuencia del fallo en la erupción de uno o más dientes permanentes y en general presenta formas cónicas o tuberculadas.
Se ha considerado a los dientes supernumerarios como manifestaciones de una dentición separada que se produce entre las denticiones temporal y permanente; de ese modo, se puede predecir cuándo y dónde podrían formarse los dientes supernumerarios (Jensen & Kreiborg 1990).

Terminología alternativa
Mesiodens (término restringido a los dientes supernumerarios de la línea media maxilar), paramolar, distomolar, hiperdoncia, polidoncismo, dientes suplementarios.
Diagnóstico
- Erupción fallida o ectópica de un diente permanente (fig. 9.8B).
- Estudio radiológico rutinario.
- Como parte de un síndrome, como la displasia cleidocraneal (fig. 9.9).

Tratamiento
- A menudo erupcionan dientes cónicos que se pueden extraer con mucha facilidad (fig. 9.8A).
- Los dientes tuberculados o cónicos invertidos requieren extracción quirúrgica (fig. 9.8D) tan pronto como sea posible para permitir la erupción sin obstáculos del diente permanente.
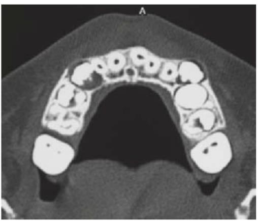
- Resulta esencial localizar la posición del diente que debe extraerse antes de la cirugía. Pueden realizarse radiografías periapicales que emplean la técnica del desplazamiento del tubo (tube-shift) para localizar el diente, pero siempre entrañan la posibilidad de errores e interpretaciones erróneas. De la misma manera, pueden utilizarse radiografías panorámicas y oclusales maxilares estándar. La proyección oclusal de vértice permite obtener una muestra más precisa de la localización horizontal y anteroposterior, por lo que es la preferida (fig. 9.8C) para ayudar a determinar el procedimiento quirúrgico óptimo. Algunos centros prefieren no utilizar esta vía debido a una excesiva radiación en el cráneo.
- Las técnicas digitales de imagen que utilizan tomografías de haz cónico proporcionan una buena definición e imágenes tridimensionales de la cabeza y el cuello y emiten mucha menos radiación que la tomografía computarizada tradicional (TC) (v. fig. 9.18 más adelante).
- Durante la remoción quirúrgica debe procurarse evitar alterar el desarrollo del diente permanente.
- Antes de los 10 años de edad: si el incisivo central sin erupcionar está alineado correctamente, el tratamiento de elección es extraer de forma quirúrgica el diente supernumerario y permitir la erupción normal del diente permanente. Posteriormente y debido a la cicatrización quirúrgica, puede que haya que recurrir a la exposición gingival, que puede inhibir la emersión final de los tejidos blandos. Algunas autoridades recomiendan la remoción quirúrgica de los caninos temporales para contrarrestar esta tendencia, pero los supernumerarios invertidos, sobre todo cuando están colocados en la región apical de los incisivos, pueden mantenerse hasta que se han formado los ápices de estos últimos para minimizar el riesgo de lesionarlos.
- Después de los 10 años de edad, o si el incisivo central está mal alineado: se puede precisar la exposición quirúrgica con o sin colocación de brackets o cadenas para la tracción ortodóncica posterior (fig. 9.10).

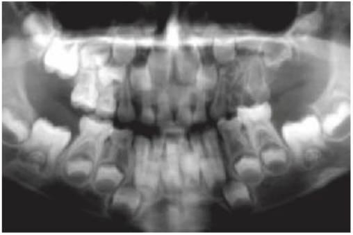
Displasia cleidocraneal (OMIM 119600)
Este trastorno se hereda con un rasgo autosómico dominante y se caracteriza por una frecuencia elevada de mutaciones espontáneas. Se ha localizado en 6p21 con mutaciones en el gen CBFA1 (fig. 9.9).
Manifestaciones
- Estatura corta.
- Aplasia o hipoplasia de una o ambas clavículas (fig. 9.9B).
- Retraso en la osificación de fontanelas y suturas.
- Frente abombada.
- Hipertelorismo e hipoplasia del maxilar superior.
- Huesos wormianos en las suturas craneales.
- Múltiples dientes supernumerarios (fig. 9.9A).
- Retraso en la erupción de los dientes.
- Formación de quistes dentígeros.
- Ausencia o alteración del cemento celular.
Tratamiento
- Diagnóstico precoz y documentación.
- Planificación de la extracción de los dientes temporales no reabsorbidos.
- Remoción quirúrgica de los dientes supernumerarios.
- Exposición quirúrgica de los dientes permanentes.
- Alineación ortodóncica y consideración de una posible cirugía ortognática una vez completado el crecimiento.
Debe observarse que la extracción de la dentición temporal sin exposición quirúrgica de los dientes permanentes no permite la erupción de estos últimos, por lo que se requiere una intervención en dos tiempos. En la primera operación se exponen los segmentos anteriores y se extraen los segmentos anteriores temporales y todos los dientes supernumerarios que pueda haber. Se exponen quirúrgicamente los dientes permanentes, ya sea mediante colgajos reposicionados apicalmente o mediante cadenas de oro cementadas para la tracción ortodóncica.
A continuación, los dientes anteriores se alinean ortodóncicamente. En la segunda operación se extraen los molares temporales, se extraen quirúrgicamente los dientes supernumerarios restantes y se exponen los premolares y molares en los segmentos bucales. Posteriormente se procede al tratamiento ortodóncico definitivo y puede requerirse la realización de una cirugía ortognática en los casos de maloclusión de clase III esquelética grave. Resulta evidente que el tratamiento es muy prolongado en el tiempo y el odontólogo debe valorar los problemas potenciales relacionados con el cumplimiento del tratamiento por parte del niño.
Querubismo (OMIM 118400)
El querubismo es un trastorno autosómico dominante causado por la mutación del gen SH3BP2 en el cromosoma 4.
Los pacientes pueden presentar hinchazón facial y/o fallo en la erupción de los dientes, sobre todo de los molares mandibulares. Las radiografías revelarán radiotransparencias multiloculares, que afectan principalmente a los ángulos de la mandíbula (fig. 9.11). Una biopsia revelará células gigantes multinucleadas en un estroma tisular fibroso. Los dientes en desarrollo de la zona afectada tienden a desplazarse y no erupcionan a su tiempo. Los maxilares, así como las costillas, pueden estar afectados y la hinchazón facial refleja la afectación del hueso subyacente. En algunos pacientes, puede exponerse la esclerótica de la parte inferior de los ojos para dar el aspecto querúbico o «mirada al cielo» que le da el nombre a la enfermedad. En algunos casos, no existe una hinchazón facial discernible y el trastorno se identifica como el resultado de exámenes radiológicos rutinarios o de la planificación de un tratamiento ortodóntico, o bien de la erupción tardía de los dientes.

El cuadro progresa en la adolescencia y se va resolviendo más adelante, de forma que en la tercera o cuarta décadas de la vida no se encuentran cambios radiográficos. En algunas familias, el número de varones afectado supera al de las mujeres debido a la escasa penetrancia en las mujeres, y debe tenerse en cuenta en el asesoramiento genético. Un subgrupo de pacientes con querubismo con una mayor afectación presenta radiotransparencias multiloculares que afectan al maxilar y la mandíbula. En los casos leves puede bastar la realización de revisiones periódicas y en los casos más graves puede requerirse la reducción quirúrgica si al paciente le angustia su aspecto.
Quistes foliculares inflamatorios
Algunos niños pueden presentar fallos en la erupción de un premolar mandibular asociados a radiotransparencias que afectan a las raíces de los molares deciduos y a la corona del premolar que no ha erupcionado (v. fig. 6.2B). No hay acuerdo sobre si estos casos se deben a una formación quística radicular asociada a las raíces de los dientes deciduos (que algunos consideran un caso raro) o a la formación de quistes dentígeros alrededor de la corona del premolar. Las características comunes de estos casos suelen ser:
- Tratamiento endodóncico previo en los molares temporales.
- Radiotransparencia que afecta a las raíces de los dientes temporales y a la corona del sucesor permanente.
- Desplazamiento del sucesor permanente inferiormente.
En el plano histopatológico, el examen tiende a mostrar una inflamación aguda y crónica del tejido cureteado que está recubierto por epitelio escamoso estratificado hiperplásico. Estos casos han recibido el nombre de «quiste folicular inflamatorio» y se caracterizan por una inflamación permanente de los molares deciduos endodonciados, lo que deriva en una hipertrofia inflamatoria del folículo del diente permanente subyacente.
Odontomas
Los odontomas se producen debido a una alteración de la diferenciación, y suelen presentarse debido a la falta de erupción de un diente permanente. En los odontomas compuestos se encuentran masas de dentículos irregulares en un estroma de tejido blando circunscrito. Los odontomas complejos son alteraciones de tipo desorganizado, con una masa aislada e incidental de tejido calcificado que contiene todos los elementos dentales. Un diente de la serie normal puede sustituirse por un complemento dental normal o bien por un odontoma (fig. 9.12).

Tratamiento
- Enucleación.
- Dependiendo de la duración del diagnóstico, los dientes permanentes pueden quedar en una posición ectópica y pueden requerir exposición quirúrgica y alineación ortodóncica.
Tumores odontogénicos
El fibroma ameloblástico, el fibrodentinoma y el fibroodontoma son tumores mixtos odontogénicos benignos. Se consideran una alteración en la diferenciación del germen dentario: en el fibroma ameloblástico no se forma tejido blando, en el fibrodentinoma ameloblástico sólo se reconoce tejido similar a la dentina y en el fibroodontoma también se forma esmalte. Las lesiones tienden a estar bien delimitadas.
Tratamiento
- Enucleación quirúrgica.
- Seguimiento de la dentición permanente que está erupcionando si los dientes están siendo desplazados por la lesión.
Queratoquistes odontogénicos
Los queratoquistes odontogénicos pueden aparecer en lugar de un diente de la serie normal o de la lámina dental, además de como un complemento dental normal. Constituyen el 5-15% de los quistes odontogénicos.
Síndrome del nevo de células basales
Este síndrome (síndrome de «Gorlin» o de «Gorlin-Goltz») es un trastorno autosómico dominante que se caracteriza por múltiples nevos de células basales, queratoquistes odontogénicos y determinadas anomalías del desarrollo, entre las que se encuentran la frente abombada, la calcificación de la hoz cerebral, las costillas bífidas y los hoyuelos palmares. El gen responsable es el gen PTC («patched») del cromosoma 9. Los queratoquistes odontogénicos pueden ser la primera manifestación del cuadro y se presentan como una o más radiotransparencias uniloculares o multiloculares del maxilar y la mandíbula. La tendencia de los queratoquistes odontogénicos a recidivar tiene implicaciones en el tratamiento de los pacientes con síndrome del nevo de células basales.
Odontodisplasia regional
Se trata de un defecto esporádico en la formación dental con afectación segmentaria que se localiza en general en una parte de un cuadrante, pero que puede cruzar la línea media para afectar al incisivo central contralateral. Esta rara displasia afecta a todos los tejidos dentales y se presenta con dientes hipoplásicos que erupcionan lentamente y que muestran un aspecto radiográfico de diente fantasma. Su etiología no está clara (fig. 9.13).
- Suele presentarse inicialmente con abscesos en los dientes temporales antes o poco después de la erupción de los mismos.
- Algunos casos se asocian con anomalías vasculares superficiales.

Terminología alternativa
Dientes fantasma.
Tratamiento
- Pese a los intentos por restaurar los dientes a partir de coronas de acero inoxidable o de resina composite, deben extraerse la mayoría de los dientes afectados. Los sucesores permanentes o los dientes temporales afectados pueden presentar una afectación de menor grado. No está justificada la escisión ósea al mismo tiempo que la extracción dental; algunos artículos documentan el éxito de un trasplante de diente autólogo en el lugar de remoción del diente afectado.
- Se necesitan prótesis parciales para restaurar el diente perdido.
- Puede ser apropiado colocar implantes.
Anomalías morfológicas
Macrodoncia
Diente o dientes más grandes de lo normal para este tipo de diente concreto (fig. 9.15).
La macrodoncia verdadera que afecta a toda la dentición es en extremo infrecuente.
Lo común son los dientes aislados anormalmente largos debido a una alteración aislada del desarrollo (fig. 7.15A).

Etiología
- La macrodoncia generalizada no afecta a un solo diente y puede deberse a un desequilibrio hormonal, tal y como se ha descrito en el gigantismo pituitario. Debe recordarse que se producirá una macrodoncia generalizada ilusoria si el maxilar y la mandíbula son relativamente pequeños en relación con el tamaño de los dientes.
- Puede presentarse asociada con hiperplasia hemifacial.
- No debe confundirse la macrodoncia verdadera con la fusión o geminación de unidades dentales adyacentes o de un supernumerario para formar un único diente.
- La macrodoncia generalizada puede relacionarse también con el síndrome KBG (las iniciales del nombre se han tomado de los apellidos de las primeras familias que presentaron este cuadro). Estos niños presentan una estatura corta, retraso mental, anomalías esqueléticas, sindactilia y cara ancha, con microcefalia y otras anomalías faciales (fig. 9.15B).
Terminología alternativa
Megadoncia, megalodoncia y gigantismo.
Tratamiento
- Desgaste interproximal para reducir el tamaño dental, si bien se suele obtener tan sólo un cambio menor.
- Puede combinarse con la reconstrucción del diente simétrico si sólo hay un diente afectado.
- Extracción y sustitución con prótesis.
- En algunos casos puede resultar eficaz el ajuste estético de un diente macrodonte aislado mediante la realización de «una escotadura» en el borde incisal y la creación de un surco labial para romper las reflexiones.
Microdoncia
Uno o más dientes son más pequeños de lo normal para ese tipo de diente.
La forma más habitual de microdoncia afecta a uno o puede que a dos dientes y aparece con menor frecuencia en la dentición temporal que en la permanente.
Esta anomalía afecta asiduamente a los terceros molares y a los incisivos laterales superiores. Una característica llamativa es que los dientes afectados suelen ser los que con mayor frecuencia sufren ausencia congénita.
Los dientes supernumerarios son con frecuencia microdóncicos.
Los pacientes con displasia ectodérmica suelen presentar microdoncia.
Microdoncia generalizada verdadera
Todos los dientes presentan una forma normal, pero son más pequeños que los dientes normales. Este trastorno es en extremo infrecuente, pero puede aparecer en el enanismo hipofisario.
Microdoncia generalizada relativa
Los dientes son normales, pero relativamente más pequeños que los del maxilar y la mandíbula, que tienen un tamaño superior al normal.
Terminología alternativa
Incisivos laterales en forma de clavija.
Tratamiento
- Carillas de resina composite o puede que de porcelana para mejorar la forma.
- El perfil emergente del diente es más estrecho en el margen gingival que el de un diente de tamaño normal, lo que limita el aumento de tamaño dental sin ocasionar un sobrecontorneado en la región gingival o una antiestética sombra interdental.
- Pueden requerirse la alineación ortodóncica y la extracción del diente, así como otras técnicas, como el autotrasplante y los implantes.
Diente doble
Esta anomalía se manifiesta como una estructura que se asemeja a dos dientes que se han unido. En la región anterior, el diente anómalo suele presentar al menos un surco en la superficie labial y una escotadura en el borde incisal. Si bien es menos frecuente en la región posterior, la morfología cuspídea recuerda a dos dientes que se han unido. Se precisa la obtención de radiografías para determinar si las cámaras pulpares están unidas, pero incluso en tal caso podría resultar una mera especulación. Si el «diente doble» se presenta con un complemento dental normal en el mismo cuadrante, se considera que es producto de una geminación, y si el número de dientes ha disminuido, se sospecha de una fusión. Asimismo, si los dientes se han extraído o exfoliado, el uso del término neutro «diente doble» evita la necesidad de decidir arbitrariamente si se trata de una geminación o fusión (fig. 9.16).

Terminología alternativa
Fusión, geminación, conación, esquizodoncia, dicotomía.
Fusión
Se trata de la unión de dos dientes de la serie normal o de un diente normal y un supernumerario por la pulpa y la dentina. Suele haber dos conductos radiculares y el diente se origina a partir de dos gérmenes dentarios, por lo que el número de dientes suele disminuir en una unidad; sin embargo, si el diente normal se fusiona con un supernumerario, el número de dientes de la arcada será normal. Se estima que la fusión se produce entre dientes normales y supernumerarios debido a la gran proximidad de los gérmenes dentarios.
Geminación
Se trata del nacimiento de un segundo diente a partir de un único germen dental. Normalmente, sólo existe un conducto radicular.
Tratamiento
- El surco central de las superficies vestibular y palatina de un diente doble es propenso a la caries, por lo que se recomienda la aplicación temprana de un sellador de fisuras.
- En la dentición permanente, se puede realizar la separación quirúrgica de los dientes fusionados con una alineación ortodóncica posterior y un tratamiento restaurador para remodelar la corona, en caso necesario.
- Puede intentarse el remodelado o reducción de un diente doble con un solo conducto radicular (diente germinado) mediante la modificación del aspecto del surco labial y el uso de resina composite, pero a menudo resulta imposible y la extracción podría considerarse la última opción. Se debe realizar el tratamiento ortodóncico y/o la reposición protésica mediante el uso de implantes, una opción aceptable para los adolescentes.
- Igualmente, podría considerarse la extracción deliberada y la separación quirúrgica fuera de la boca a partir del reimplante, pese a que no siempre tiene éxito debido a la reabsorción posterior al reimplante.

Concrescencia
Se trata de la unión de dos dientes, uno de los cuales puede ser un supernumerario, por el cemento. La concrescencia afecta sobre todo a los segundos y terceros molares permanentes maxilares de adultos de mayor edad. Aparte del hecho de afectar a dientes supernumerarios, se trata de una afectación infrecuente en niños.

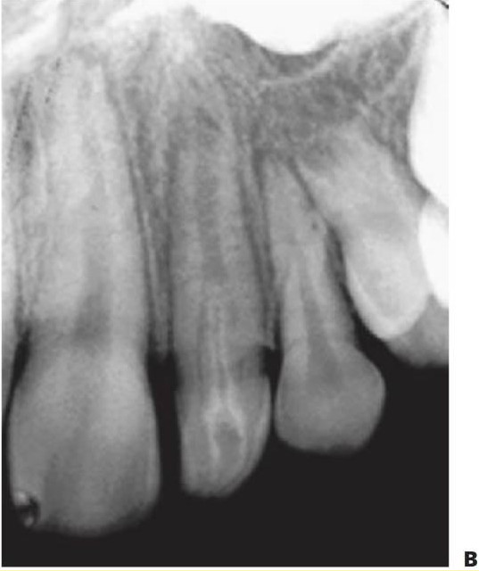
Dens invaginatus
Los incisivos laterales maxilares pueden presentar una invaginación (consecuencia del desarrollo) de la fosa cingular que presenta con frecuencia tan sólo una fina barrera de tejido duro que separa la cavidad oral y la pulpa. Suele producirse una necrosis pulpar poco después de la erupción del diente afectado y puede ocasionar un absceso o una celulitis en la fosa canina. Esta anomalía puede aparecer en otros dientes, como los incisivos centrales y caninos superiores (figs. 9 19,9.20).

Terminología alternativa
Odontoma invaginado, dens in dente (utilizado para describir la variante más extrema, pero no es un nombre apropiado), odontoma dilatado.
Tratamiento
- Si ha erupcionado de forma reciente, se puede prevenir mediante el sellado de las fisuras de la superficie palatina.
- Si hay caries, colocar una resina de composite tras un grabado ácido.
- Si el diente es asintomático y la morfología del conducto radicular resulta favorable, se puede llevar a cabo el tratamiento endodóncico.
- Si la anatomía interna es compleja y el conducto radicular no resulta accesible, en caso de infección se procederá a la extracción del diente. Se debe analizar de forma exhaustiva la presencia de esta anomalía durante la planificación del tratamiento ortodóncico.
Dens evaginatus
- Un tubérculo cubierto de esmalte que sobresale de la superficie oclusal de un premolar.
- Normalmente bilateral y más frecuente en la mandíbula.
- Existen pruebas de tejido pulpar en el interior del tubérculo en el 43% de los casos.
- Las radiografías pueden mostrar la extensión oclusal de la cámara pulpar.
Terminología alternativa
Premolar de Leong, premolar tuberculado, odontoma de núcleo axial, perla de esmalte oclusal, odontoma dilatado compuesto, cúspide supernumeraria de forma cónica, odontoma invaginado, cúspide intersticial.
Tratamiento
- El tubérculo puede fracturarse fácilmente debido a las interferencias oclusales, por lo que puede resultar eficaz limar el tubérculo y sellar la fisura. Una medida profiláctica alternativa consiste en apuntalar los lados del tubérculo con resina composite y después remodelar la superficie oclusal para crear un reborde central. Esta práctica debería realizarse antes de que los dientes alcancen la oclusión completa.
- Si se fractura o se abrasiona, se suele producir una exposición pulpar y el ápice suele estar abierto debido a que dicha exposición se produce poco después de la erupción del diente, lo que empeora su pronóstico a largo plazo. Se debe proceder a la extracción del diente tras consultarlo con el ortodoncista. Si el diente se va a mantener, se recomienda llevar a cabo un procedimiento de apexificación con hidróxido de calcio (v. cap. 6) para estabilizar el diente en el caso de que la ortodoncia sea más tardía para, posteriormente, realizar un tratamiento endodóncico definitivo.
- Si se diagnostica de forma precoz, se puede practicar una pulpotomía electiva (de Cvek) en un intento de que la raíz se forme normalmente.
Cúspide en talón
Se trata de una proyección en forma de cuerno del cíngulo de los incisivos maxilares, y puede alcanzar y hacer contacto con el borde incisal del diente (fig. 9.21).

Terminología alternativa
Cíngulo en T, cíngulo en forma de Y.
Tratamiento
- Si no interfiere en la oclusión, no se precisa ningún tratamiento.
- Selladores de fisuras para prevenir la aparición de caries en los surcos entre las diferentes partes del diente.
- En caso de interferencia oclusal, basta con hacer una reducción progresiva del esmalte para evitar la exposición pulpar o una pulpotomía electiva para permitir completar la formación de la raíz.
Taurodontismo
Este término hace referencia a los dientes molares que tienen una cámara pulpar que ha aumentado de tamaño verticalmente a expensas de las raíces. La distancia desde la unión amelocementaria hasta la furcación de la raíz puede ser mayor que la distancia desde la furcación a los ápices. Por tanto, el diente presenta el cuerpo alargado y las raíces cortas, así como la tendencia a tener una sola raíz o al desplazamiento apical de la furcación. Esta anomalía parece deberse a un fallo en la invaginación de la vaina epitelial radicular de Hertwig. El taurodontismo puede tener una base genética, y varios síndromes y cuadros como la displasia ectodérmica, las aneuploidías del cromosoma X y algunas familias con amelogénesis imperfecta (autosómica dominante) presentan esta anomalía. Este aspecto se puede ver también en dientes unirradiculares con conductos radiculares más anchos de lo normal.
Sífilis congénita
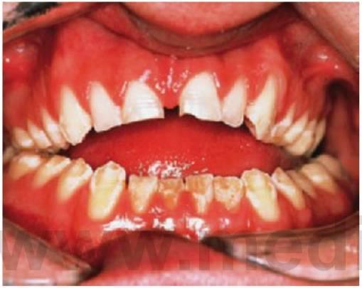
Aunque en la actualidad es muy infrecuente en todo el mundo, la sífilis congénita se presenta con ciertas manifestaciones odontológicas diagnósticas destacadas. Los incisivos temporales y permanentes pueden tener coronas estrechadas y escotaduras en el centro del borde incisal. Este aspecto afilado o en destornillador tiene una gran importancia en el diagnóstico diferencial, ya que las escotaduras del borde incisal pueden deberse a numerosas causas además de a la sífilis (p. ej., traumatismo). Esta morfología en destornillador recibe también el nombre de síndrome de Nance-Horan. Asimismo, en la sífilis congénita, las coronas de los molares presentan un aspecto «adoquinado» o «de mora».
Defectos de desarrollo del esmalte
Los defectos de desarrollo del esmalte pueden ser hereditarios o adquiridos.
Alteraciones cronológicas
Cualquier alteración sistémica grave que se produzca durante el desarrollo dental (es decir, desde los 3 meses in útero hasta los 20 años) puede provocar alguna anomalía dental. La mayoría de estas anomalías son subdínicas y sólo se aprecian en las secciones de los tejidos duros como cambios en las líneas de deposición incremental. En todos los dientes temporales se manifiesta la línea neonatal, pero a menos que se produzca una alteración fisiológica grave o sufrimiento fetal, esta alteración no se aprecia en el plano clínico. Varios tipos de dientes presentan defectos en diferentes niveles de la corona, dependiendo de la fase de formación de la corona en el momento en que se produce la alteración. Podría igualmente disminuir la cantidad (hipoplasia) y/o calidad (normalmente hipomineralización) del esmalte resultante.
Se dice que un defecto es localizado cuando se afectan uno o más dientes de una forma simétrica y es generalizado cuando existe una alteración simétrica de los dientes del mismo tipo en los lados derecho e izquierdo (y tanto en los dientes maxilares como mandibulares).
Se conocen más de 100 agentes etiológicos causantes de defectos en el desarrollo del esmalte. En la tabla 9.1 se enumeran los causantes de defectos localizados y en la tabla 9.2 los causantes de defectos generalizados.
Los defectos en el desarrollo del esmalte pueden clasificarse en función de su aspecto clínico:
- Decoloración.
- Opacidad.
- Hipoplasia.
En general, el tratamiento va dirigido a combatir la lesión y el dolor, mejorar el aspecto estético, mantener la función oclusal y mantener la dimensión vertical.
Decoloración dental
La decoloración dental puede ser de tipo extrínseco o intrínseco. La tinción extrínseca es superficial y se produce después de la erupción dental, y la decoloración intrínseca puede deberse a un defecto en el desarrollo del esmalte o a la tinción interna del diente (fig. 9.22). Aunque esa tinción interna se manifieste como un cambio en el color del diente, el defecto intrínseco puede afectar de forma fundamental o exclusiva a la dentina. Véase en la tabla 9.3 el diagnóstico diferencial de la decoloración dental.

Opacidad
Las opacidades son defectos en la calidad del esmalte y afectan a la lucidez del tejido. La hipomineralización produce un cambio en la porosidad del tejido, que se vuelve opaco. Se localiza por debajo de la superficie del esmalte, que se mantiene intacta.
Fluorosis
En las formas más leves, la fluorosis se manifiesta como una hipomineralización del esmalte que da lugar a opacidades, que pueden considerarse desde pequeñas manchas blancas hasta opacidades confluentes por todo el esmalte y privan totalmente de traslucidez al mismo. La hipoplasia se produce con concentraciones elevadas de flúor. Cuando erupciona el primer diente, la superficie de incluso el esmalte más afectado puede permanecer intacta, pero si se produce atrición, se pierden zonas de esmalte y las porosidades se van pigmen- tando. Con 1 ppmde flúor en el agua potable, sobre un 10% de la población presenta opacidades muy leves atribuibles a la fluorosis (aunque dependa del consumo individual de agua). Con mayor frecuencia parece obvia la existencia de un valor mínimo y que la proporción de opacidades aumenta a medida que los niveles de flúor disminuyen por debajo de 1 ppmo aumentan por encima de 2 ppm. Los casos más graves requieren microabrasión o restauración con resina composite, de forma localizada o generalizada, o bien carillas de porcelana. Muchas opacidades se diagnostican erróneamente como fluorosis sin una adecuada justificación o un estudio de aporte de fluoruros (fig. 9.22C, v. también cap. 4).
Tratamiento de las tinciones y opacidades
- Las tinciones extrínsecas pueden eliminarse con abrasivos.
- Las decoloraciones leves pueden mejorar mediante el uso de agentes blanqueantes basados en peróxido utilizados profesionalmente o de manera ambulatoria.
- Las tinciones intrínsecas, si son superficiales, pueden eliminarse mediante técnicas de microabrasión.
Microabrasión
La técnica de microabrasión implica la remoción de la capa opaca superficial del esmalte, por tanto, se elimina la capa blanca opaca, pero a menudo brillante, del esmalte y los niños y sus padres suelen quedar decepcionados por el aspecto del color «amarillo» habitual de la corona permanente. Se debe decidir inicialmente entre modificar todos los dientes a este color más oscuro o continuar con el ajuste de las zonas más oscuras para que igualen el aspecto «papel blanco» global. En la sociedad actual, esta última decisión suele ser satisfactoria e incluso deseable. Sin embargo, las técnicas de grabado ácido pueden crear más porosidad en el esmalte y acumularán más tinciones a lo largo del tiempo.
Ácido clorhídrico al 18% (con o sin el uso de piedra pómez)
Debe utilizarse siempre el dique de goma y asegurarlo ligándolo alrededor de los dientes y sellándolo con barniz de copal éter. Puede aplicarse pasta Orabase en el margen gingival antes de colocar el dique para así proteger los tejidos blandos de cualquier filtración de ácido. Asimismo, puede aplicarse una lechada acuosa de bicarbonato sódico en el dique alrededor de los dientes para neutralizar cualquier exceso de ácido inadvertido. Se procede a aplicar una lechada de ácido clorhídrico y piedra pómez en la zona afectada con una copa de goma a baja velocidad durante sólo 10 segundos. A continuación, se lava profusamente con agua. La aplicación se repite un máximo de 10 veces. Esta técnica es potencialmente destructiva para el esmalte y los tejidos blandos y debe emplearse con precaución.
Alternativas, en particular los lugares en que no puede utilizarse el dique de goma
- Abrasión con una mezcla de piedra pómez y ácido fosfórico al 37% (grabador).
- Pulido de las superficies labiales con una fresa de carburo de tungsteno de estrías múltiples.
- Tras el uso de esta técnica, se recomienda la aplicación de fluoruro sódico neutro al 2%, seguido del pulido con una pasta de pulido fina (existen pastas de pulido no coloreadas) en una copa de goma rotatoria.
- Las investigaciones recientes demuestran que la fluorosis leve puede remineralizarse y las opacidades reducirse con fosfopéptido de caseína-fluoruro de calcio fosfato amorfo (CPP-ACP) o fluoruro de fosfopéptido de caseína-fluoruro de calcio fosfato amorfo (CPP-ACPF). Se debe pretratar el esmalte con hipodorito sódico para desnaturalizar las proteínas.
Para poder eliminar las tinciones intrínsecas profundas debe eliminarse el esmalte afectado y reconstruirlo, en general con resina composite. Las marcas localizadas pueden tratarse de esta manera, pero el tratamiento con carillas de resina composite o porcelana, o con coronas, debe retrasarse en adolescentes hasta que se haya establecido la inserción gingival en la zona de la unión amelocementaria. La práctica de deportes de contacto puede ser otra razón para retrasar la colocación de restauraciones complejas. La longevidad de las resinas híbridas ha mejorado de forma sustancial, junto con la estabilidad del color, la resistencia y la traslucidez. Estos materiales pueden aplicarse rápidamente y resultan más económicos que la porcelana y otras restauraciones complejas, como las coronas. Los materiales modernos suelen proporcionar sombras blancas y densas que facilitan la igualación del color de los dientes naturales. Siempre se deben mantener abiertas todas las opciones terapéuticas.
Hipoplasia de esmalte
Se trata de un defecto cuantitativo que produce un defecto en el contorno de la superficie del esmalte. Suele deberse a un fallo inicial en la deposición de la proteína del esmalte, pero se puede producir el mismo efecto clínico si existe un defecto en la mineralización que deriva en la pérdida de sustancia del esmalte después de la erupción. En el primer caso, el esmalte es duro y brillante, y en el último, la sonda lo agujerea. En ciertos casos de traumatismos, el tejido puede perderse después de formarse, por lo que no se considera una verdadera hipoplasia. En la figura 7.18 se muestran ejemplos de defectos hipoplásicos tras un traumatismo (fig. 9.23).

Tratamiento
- Los defectos hipoplásicos localizados pueden restaurarse con resina composite. Los defectos punteados pueden requerir primero la remoción de restos localizados o la tinción con instrumentos rotatorios, o bien sistemas de blanqueamiento con peróxido de amina.
- Se precisa mantener el soporte posterior y puede resultar necesario colocar coronas de acero inoxidable para restaurar los molares muy hipoplásicos. Con frecuencia, estos dientes son muy sensibles a los estímulos térmicos y osmóticos, lo que dificulta el tratamiento debido a la incapacidad para conseguir un buen aislamiento de unos dientes que están sólo parcialmente erupcionados. Puede emplearse de forma temporal el ionómero de vidrio para restaurar defectos oclusales hipoplásicos y prevenir la aparición de caries.
- Se debe valorar de manera realista y desde una edad temprana la duración posible de los primeros molares afectados. Debe tenerse en consideración la posibilidad de extraer estos dientes como parte de un plan de desarrollo oclusal para el niño. Se recomienda una prevaloración ortodóncica que no supere los 8 años de edad.
- El tratamiento restaurador complejo con onlays, carillas y coronas se retrasa hasta la adolescencia tardía, pero el uso selectivo de onlays metálicos adhesivos puede proporcionar una solución a largo plazo en algunos casos de molares.
Hipomineralización incisivo-molar
La hipomineralización incisivo-molar (HIM) es un cuadro que sigue siendo objeto de un estudio considerable pese a haber sido reconocido como una entidad clínica durante un tiempo. Se trata de un cambio cualitativo del esmalte cuyas manifestaciones varían desde la opacidad localizada, pasando por una opacidad con decoloración y una peor calidad, hasta la pérdida del esmalte que puede deberse a una destrucción posteruptiva. Estos hallazgos afectan a uno o más molares permanentes de una forma casi cronológica pero inconsistente, junto con (normalmente menor) la afectación de uno o más incisivos. La presentación de este cuadro despista, puesto que puede haber afectados desde un molar hasta los cuatro. Se han indicado multitud de factores etiológicos posibles, desde la presencia de contaminantes ambientales en la leche de la madre hasta enfermedades infantiles, y todos ellos son objeto de estudio en numerosos centros para definir los factores de riesgo, ya que el conocimiento de la etiología permitirá intervenciones preventivas y restauradoras tempranas (fig. 9.24).

Algunos autores han reconocido una tendencia familiar en este cuadro. Con independencia de la etiología exacta de la HIM, se debe reconocer que este cuadro representa una alteración cronológica en la formación dental entre el nacimiento y los 12 meses de edad. Los dientes que se calcifican después de este tiempo (es decir, los caninos, premolares y segundos molares permanentes) no están afectados, y debe valorarse esta afirmación en el momento de realizar una planificación a largo plazo.
Tratamiento
- Aún no se ha determinado la técnica restauradora ideal para estos casos. Suele intentarse la colocación de restauraciones adhesivas, pero su retención es impredecible y suele preferir se la opción de las coronas de acero inoxidable. Las coronas de acero inoxidable que se colocan en los primeros molares permanentes parcialmente erupcionados deben recortarse, lo que en muchos casos facilita el perfecto ajuste apical a la convexidad máxima de la coronas.
- Existe una asociación clara entre los intentos, bienintencionados pero repetidos, de los especialistas por colocar tratamientos «mínimos» (adhesivos o de otro tipo) en estos molares sin una adecuada anestesia local, lo que produce la antipatía del niño afectado con respecto al tratamiento dental. Para tratar estos casos debe utilizarse la analgesia local, pero incluso en estas condiciones el control del dolor no siempre será adecuado, lo que puede comprometer el tratamiento.
Amelogénesis imperfecta
El término amelogénesis imperfecta (fig. 9.25) suele aplicarse a defectos hereditarios del esmalte que afectan tanto a los dientes temporales como a los permanentes. La definición implica una historia familiar, pero en la práctica parece razonable ampliar esta definición para incluir los casos esporádicos y aquellos otros en los que los defectos del esmalte se asocian a manifestaciones extraorales, como ocurre en algunos síndromes (es decir, hipoplasia dérmica focal o síndrome trico-dento-óseo).

Diagnóstico
- Basado en una combinación del modo de herencia y de los aspectos clínico y radiográfico.
Variantes de la amelogénesis imperfecta con herencia mendeliana
- Ligada al cromosoma X (Xp22.3-p22.1) (OMIm301200): se ha observado que el gen AMELX del brazo corto del cromosoma X que codifica la amelogenina, la mayor proteína de la matriz del esmalte, muta en varias familias con amelogénesis imperfecta ligada al cromosoma X. Se ha identificado otro locus para la amelogénesis imperfecta ligada al cromosoma X (OMIm301201) en el brazo largo del cromosoma X (Xq22-q28).
- Ligada al cromosoma X (Xq22-q28) (OMIm301201): en el brazo largo del cromosoma X se ha identificado otro locus para la amelogénesis imperfecta ligada al cromosoma X.
- Autosómica dominante (OMIm104500): los análisis de ligamento han demostrado que un gen de la región 4q11-q21 da lugar a una amelogénesis imperfecta autosómica dominante en algunas familias. Se han identificado mutaciones en el gen de la enamelina, que se localizan en la misma región. Las familias con amelogénesis imperfecta autosómica dominante y con taurodontismo (ADAIT) como parte del síndrome trico-dento-óseo (TDO) tienen mutaciones en el gen DLX3. Se ha observado que una familia con ADAIT sin otras características de TDO tiene una mutación en el mismo gen, mientras que en otras familias con ADAIT se han excluido las mutaciones en el gen DLX3. Se espera que pueda conocerse mejor esta zona, puesto que existe la posibilidad de que genes aún desconocidos estén implicados en el trastorno en algunas familias.
- Autosómica recesiva (OMIm204650): la mutación en el gen de la metaloproteinasa-20 (MMP-20) o de la calicreína-4 (KLK-4) de la matriz parece causar una amelogénesis imperfecta autosómica recesiva.
- Casos esporádicos.
Fenotipos
Los fenotipos oscilan desde el esmalte (fino) marcadamente hipoplásico, uniformes (con espacios entre los dientes) o irregulares (dando lugar a pozos o surcos) hasta los diferentes grados de hipomineralización (esmalte muy mal formado) con alteraciones en su color y traslucidez. En muchos casos, la hipoplasia y la hipomineralización se presentan juntos. El color del esmalte refleja con claridad el grado de hipomineralización del mismo: cuanto más oscuro se presente el tono, más grave será la desmineralización.
En la amelogénesis imperfecta ligada al cromosoma X, las mujeres presentan franjas ver ticales de esmalte alterado como signo de lyonización (v. hipótesis de Lyon, descrita en este mismo capítulo). Pueden ser surcos verticales (debido a la hipoplasia) y/o bandas verticales de esmalte con el color o lucidez alterados (debido a la hipomineralización), o bien una combinación de ambos. En estas familias no existirá transmisión de varón a varón, pero las mujeres heterocigóticas pueden transmitir el rasgo a niños del mismo sexo.
En algunos pacientes afectados por amelogénesis imperfecta, los dientes no llegan a erupcionar, se cree que debido a una alteración del órgano del esmalte y sufren una reabsorción de sus coronas. En algunos casos (más del 50%) se observa una mordida abierta esquelética anterior.
Clasificación de la amelogénesis imperfecta
Se ha producido gran controversia y confusión con respecto a la nomenclatura y a las distintas clasificaciones presentadas. De hecho, en algunos libros se describen hasta 14 formas diferentes del mismo trastorno, basadas todas ellas en el aspecto clínico del cuadro. Resulta fundamental que el diagnóstico y la clasificación se basen en el modo de herencia y en el fenotipo, así como comprender el modo de herencia para el asesoramiento genético. Sin embargo y dejando aparte las consideraciones relativas a la herencia en nuestros objetivos actuales, podemos considerar dos formas clínicas básicas desde una perspectiva del plan de tratamiento clínico.
Formas predominantes/exclusivas de la hipoplasia dental
- Esmalte fino.
- Ausencia de punto de contacto entre los dientes.
- El esmalte puede ser rugoso, liso o con pozos repartidos al azar.
- Las mujeres heterocigóticas con amelogénesis imperfecta ligada al cromosoma X manifiestan lyonización (v. antes) con franjas verticales de esmalte normal y anómalo.
- La erupción de los dientes se retrasa.
- Los dientes que no han erupcionado pueden reabsorberse.
- Mordida abierta anterior asociada en aproximadamente el 50% de los casos.
- En el plano radiográfico, puede resultar difícil distinguir el esmalte de la dentina si aquél es demasiado fino.

Formas predominantes/exclusivas de hipomineralización del esmalte
- El esmalte tiene un espesor normal, al menos inicialmente.
- El color es amarillo o pardo.
- El esmalte es más blando de lo normal, tiende a astillarse y se puede atravesar con un explorador. En los casos muy hipomineralizados, se puede arañar el esmalte con una cureta.
- Los dientes pueden erupcionar con un espesor normal, pero el esmalte se pierde pronto, dejando al descubierto una dentina rugosa y muy sensible.
- Se forman grandes masas de cálculo supragingival.
- En el plano radiográfico, resulta difícil distinguir el esmalte de la dentina debido al menor grado de mineralización del esmalte.
- Los dientes que no han erupcionado pueden reabsorberse, y se debe observar esta reabsorción mediante radiografías.
Tratamiento
- Diagnóstico apropiado, teniendo en cuenta el modo de herencia y el fenotipo.
- Compromiso de apoyo permanente a los niños y las familias. Se trata de cuadros dolorosos que desfiguran al niño y lo convierten en objeto de burla.
- Ofrecer consejo genético en caso necesario.
- Valoración ortodóncica temprana.
- Preservación de los molares con restauraciones de recubrimiento total para mantener la dimensión vertical. Las sobredentaduras pueden resultar una opción en niños con dientes hipoplásicos pequeños (fig. 9.27E, F).
- Coronas de acero inoxidable u onlays de oro en los molares (fig. 9.28). También puede resultar eficaz la elaboración de coronas, de composite en el laboratorio.
- Debe ponerse atención al ajuste de las coronas debido a que el esmalte defectuoso se astilla o descascarilla con facilidad en algunos casos.
- Carillas de composite en los dientes anteriores para conseguir una buena estética. Se puede adherir con éxito resina composite a un esmalte hipoplásico e hipomineralizado (figs. 9.27 y 9.28).
- Puede resultar difícil conseguir unos márgenes adecuados debido a la mala calidad del esmalte (fig. 9.28C).
- Resultaría ideal retrasar el tratamiento definitivo a base de porcelana y metales preciosos hasta la adolescencia tardía, pero hay casos de personas en torno a los 40 años que refieren su tratamiento en la adolescencia como «poco conservador» y declaran preferir que su dentista les hubiera proporcionado un tratamiento restaurador «más convencional» si hubieran sabido que su dentición iba a fracasar posteriormente. Se plantean dos puntos:
- Los composites modernos han mejorado mucho, y el tratamiento «adolescente» resulta en la actualidad más estético y duradero que antaño.
- Existen pruebas de una asociación clara entre estos cuadros y una falta de autoestima. Tiene la misma importancia aquí como en cualquier otro campo de la odontología tratar al paciente de forma integral, no sólo los dientes.
- La ortodoncia, y puede que la cirugía ortognática, para corregir la mordida abierta anterior en las formas hipoplásicas.

Trastornos de la dentina
Dentinogénesis imperfecta (OMIm125490)
La dentinogénesis imperfecta es un trastorno hereditario de la dentina que puede ir o no asociado a osteogénesis imperfecta. En ocasiones se utiliza el término «dentina opalescente hereditaria» para este cuadro aislado. Tanto la osteogénesis imperfecta como la dentinogénesis imperfecta se transmiten de forma autosómica dominante, y son indistinguibles en el plano clínico pese a tener una base genética diferente. La osteogénesis imperfecta se debe a mutaciones en los genes del colágeno tipo I, y la dentinogénesis imperfecta a mutaciones en el gen de la sialofosfoproteína dentinaria Algunos individuos y familias con osteogénesis imperfecta pueden presentar signos clínicos de dentinogénesis imperfecta, pero en otras familias puede existir una expresión variable de rasgo. En estas familias, algunos individuos pueden tener una dentina anómala, mientras que los dientes de otros no están afectados. Sin embargo, y debido al mismo defecto del colágeno, todos los niños con osteogénesis imperfecta pueden presentar una anomalía en la dentina en el plano subclínico. Se debe considerar la posible existencia de osteogénesis imperfecta en niños que presentan dentinogénesis imperfecta por medio de pruebas de densidad ósea y, así, la presencia de escleróticas azules o una historia de fracturas óseas debería alertar al especialista de la posibilidad de una osteogénesis imperfecta (fig. 9.29).

Manifestaciones dentales
- Opalescencia o decoloración ambarina, entre gris y azul-púrpura (fig. 9.29)
- Obliteración pulpar (fig. 9.29D).
- Coronas relativamente bulbosas.
- Raíces cortas y estrechas.
- El esmalte tiende a perderse después de la erupción y se expone la dentina blanda, que se desgasta rápidamente, lo que podría deberse a la debilidad inherente de la dentina más que al defecto del esmalte o a la anomalía en la unión amelodentinaria.
- La dentina subyacente aparenta normalidad.
- La dentina circumpulpar posee una formación muy deficiente y la dirección de los túmulos es anómala. Las pequeñas inclusiones de tejido blando representan restos de tejido pulpar.
Tratamiento
- Mantenimiento de la dimensión vertical de la oclusión.
- Compromiso y ayuda para los niños y sus familias. Se trata de situaciones que desfiguran, y los niños suelen sufrir burlas.
- Protección de los dientes posteriores contra la atrición utilizando restauraciones de recubrimiento total.
- Mejora del aspecto estético.
- Coronas de acero inoxidable en los dientes posteriores.
- Inicialmente, composite para reconstruir los dientes anteriores y posibilidad de una futura necesidad de coronas de porcelana. (Estos dientes pueden mantenerse o volverse cada vez más frágiles; así, las coronas convencionales que requieran la preparación de los dientes no pueden resultar nunca el tratamiento de elección, si bien se puede consultar más adelante el apartado Tratamiento de la amelogénesis imperfecta.)
- En los casos graves, se precisa la colocación de sobredentaduras o incluso de prótesis completas.
Durante muchos años hemos seguido los casos de adultos. El optimismo general de mantener estos dientes durante toda la vida se ve frenado por el fracaso final de las restauraciones complejas y por la pérdida de dientes en la edad adulta. Los especialistas deben permanecer muy sensibilizados con respecto a las implicaciones del fracaso a largo plazo y a las implicaciones estéticas, funcionales y, desde luego, legales que afectan al paciente.
Osteogénesis imperfecta (OMIM 166200)
La osteogénesis imperfecta se produce por las mutaciones en los genes del colágeno tipo I de los cromosomas 7 (7q22.1) y 17 (17q21.3-q22). Las clasificaciones anteriores enumeraban diversas variantes de la osteogénesis imperfecta con modos de herencia autosómica dominante o autosómica recesiva. Más recientemente se ha descubierto que la mayoría o la totalidad de los casos representan una osteogénesis imperfecta autosómica dominante con una expresión variable. Sus características principales son:
- Fragilidad ósea (fig. 9.30).
- Esclerótica azul.
- Pérdida auditiva progresiva.
- Cambios dentinarios.

Displasia dentinaria: hipoplasia dentinaria radicular (Shields tipo I DD) (OMIM 125400)
- Descrita en su origen como dientes sin raíces, parece tratarse de una entidad diferente de la dentinogénesis imperfecta. Las dos denticiones están afectadas por igual y los dientes se pierden de forma temprana debido a una infección periapical o a la exfoliación espontánea causada por las raíces cortas.
- Transmisión autosómica dominante.
- Raíces muy cortas o ausentes, pero coronas normales en el plano clínico.
- Obliteración total o parcial de la pulpa radicular antes de la erupción, pero con una pulpa coronal con forma de media luna en las radiografías de los molares.
- Las dentinas subyacente y coronal son normales en el plano histológico.
Tratamiento
- Pese a un excelente tratamiento preventivo, los dientes afectados suelen perderse debido a la pérdida de esmalte, a la necrosis pulpar o a la enfermedad periodontal.
- Coronas profilácticas de acero inoxidable.
- El tratamiento endodóncico puede funcionar bien si la obliteración pulpar es mínima.
- La dentición tiene un mal pronóstico a largo plazo.
Displasia dentinaria: displasia dentinaria coronal (Shields tipo II DD) (OMIM 125420)
- El consenso actual afirma que se trata de una variante de la dentinogénesis imperfecta más que de una entidad definida. Los dientes temporales tienen una decoloración ambarina típica y sufren un desgaste dental asociado con la pérdida del esmalte y, en el plano radiográfico, el aspecto de un diente cáscara.
- Corona y raíz con formas normales.
- Diferentes grados de obliteración del conducto radicular.
- Morfología pulpar alterada que recuerda a una cámara pulpar con «forma de cardo».
- Calcificaciones intrapulpares (piedras pulpares).
Tratamiento
Similar al tratamiento de la dentinogénesis imperfecta, si bien algunos autores sugieren que no requiere ningún tratamiento debido a que hay pocas secuelas. Si hay pérdida de esmalte en la dentición temporal, deben colocarse restauraciones de recubrimiento total (coronas de acero inoxidable). En el plano clínico, si la dentición permanente es normal, no se precisa ningún cuidado especial.
Otra clasificación de las anomalías dentinarias
Muchos libros de texto describen hasta cuatro formas diferentes de dentinogénesis imperfecta. Todas estas anomalías dentinarias se heredan de forma autosómica dominante. La dentinogénesis imperfecta se ha localizado en 4q 13-21. Recientemente, los estudios de liga miento de familias con displasia dentinaria coronal (Shields tipo II DD) han demostrado que la mutación del candidato se produce en una región de 4q que se solapa con la localización más frecuente del locus de la dentinogénesis imperfecta. Se ha determinado, además, un locus similar en el de la dentinogénesis imperfecta Shields tipo III (aislado Brandywine - OMIm125500). Estos resultados sugieren que la dentinogénesis imperfecta (Shields tipo II), Shields tipo III y tipo II DD (displasia dentinaria coronal) son alelos o el resultado de mutaciones en genes ligados muy estrechamente. La displasia dentinaria radicular puede ser una entidad diferente.
Raquitismo resistente a la vitamina D ligado al cromosoma X (OMIM 307800)
- También conocido como raquitismo ligado al cromosoma X (Xp22) o raquitismo hipofosfatémico hereditario.
- Trastorno ligado al cromosoma X con cambios raquíticos en los huesos largos asociados con un fallo en la reabsorción tubular distal de fosfatos en los riñones. El raquitismo no responde a la vitamina D.
- Estatura corta.
- Piernas arqueadas.
- Varones afectados de forma grave, y las mujeres pueden mostrar características más leves (típicamente estatura corta con piernas arqueadas), a menudo sin afectación de los dientes.
- Fosfato sérico bajo.
- Fosfatasa alcalina elevada (fig.9.31).

Manifestaciones dentales
- La atrición del esmalte incisal y oclusal expone los cuernos pulpares alargados, que a menudo se extienden más allá de la unión amelodentinaria.
- En hombres (y algunas mujeres) se presenta de forma típica con múltiples abscesos en ausencia de caries.
- Cámaras pulpares grandes y retraso en el cierre del ápice radicular.
- En las radiografías puede observarse una menor radiodensidad de la dentina. Puede haber poco esmalte o mostrar algún signo de hipoplasia y/o hipomineralización.
- Estos pacientes pueden someterse a procedimientos ortopédicos reiterados y a una mecánica permanente para promover el reforzamiento o alargamiento del hueso. Tiene mucha importancia mantener un ambiente aséptico, ya que puede requerirse la extracción de los dientes infectados en los momentos en los que el riesgo de infección resulta mayor. El plan de tratamiento debería incluir la colaboración con colegas ortopédicos.
Defectos reabsortivos intracoronarios preeruptivos
Estos defectos son lesiones de la dentina que se producen en dientes no erupcionados y que se detectan en radiografías dentales rutinarias. Se las denomina de forma errónea «caries preeruptivas» o «quistes dentinarios», y suelen localizarse adyacentes a la unión amelodentinaria en la parte oclusal de la corona. Resulta evidente que estos defectos se producen como resultado de una reabsorción coronaria y, al practicar la apertura a la lesión, ésta suele estar vacía o rellena de un tejido amorfo que comprime partículas pequeñas de la dentina tubular y material cristalino. Pueden encontrarse células reabsortivas, como osteoclastos y macrófagos. Cuando el diente erupciona, la flora oral tiende a colonizar rápidamente la lesión y ésta tiene la apariencia de una lesión cariosa (fig. 9.32).

Tratamiento
Se debe restaurar la cavidad de una forma conservadora. En el plano clínico, se ha especulado con la posibilidad de que estas lesiones sean responsables de muchas de las lesiones indetectables en los molares que derivan en destrucciones cariosas rápidas y, finalmente, la pérdida del diente.
Efectos odontológicos de prematuridad y bajo peso al nacer
Problemas derivados de la prematuridad extrema
- Enfermedad de la membrana hialina e insuficiencia respiratoria.
- Hiperbilirrubinemia (fig. 9.33D).
- Enterocolitis necrosante.
- Hemorragia intraventricular cerebral.
- Retinopatía por oxígeno.
El principal factor que limita las posibilidades de supervivencia es el desarrollo pulmonar y los niños que pesan menos de 400 g al nacer o los que nacen antes de las 24 semanas raramente sobreviven. La enfermedad de la membrana hialina se combate con surfactante sistémico, aunque los niños muy pequeños siguen desarrollando neumotorax debido a la prematuridad y fragilidad de los alveolos. Las hemorragias intraventriculares cerebrales y la enterocolitis necrosante (con la consiguiente sepsis) son causas frecuentes de mortalidad y morbilidad. Los niños que logran sobrevivir tienen problemas de retraso en el crecimiento, retraso del desarrollo cognitivo y otras anomalías diversas.

Consecuencias odontológicas
- Hipoglucemia.
- Hipocalcemia con seudohiperparatiroidismo reactivo.
- Hiperbilirrubinemia que provoca una tinción intrínseca en los dientes.
- Traumatismos por intubación, que provocan hipoplasia/hipocalcificación del esmalte. Normalmente afectan a los incisivos centrales superiores (sobre todo el izquierdo) (fig. 9.33E). Si al niño se le intuba por vía oral, pueden formarse estrías palatinas. La erupción dental puede retrasarse, aunque suele ser normal para la edad «corregida» tras el ajuste por la prematuridad.
- Opacidades o hipoplasia cronológicas.
Trastornos de la erupción
La erupción no siempre guarda una correlación con el desarrollo somático. En los niños con alteraciones del crecimiento puede retrasarse la erupción, si bien el retraso puede deberse a otras causas, como la hiperplasia gingival producida por la fenitoína. Tiene una mayor importancia la exfoliación prematura de los dientes asociada invariablemente a una enfermedad sistémica grave (v. cap. 8), que debe investigarse.
El retraso en la erupción de la dentición temporal no precisa más tratamiento que confirmar la presencia de todos los dientes. Ya que es infrecuente tener que recurrir a la extracción quirúrgica de los dientes en un lactante, se debe tranquilizar a los padres explicándoles que la erupción de los dientes es muy variable (unos 6 meses para los dientes temporales y sobre 1 año para los dientes permanentes). Si se produce el retraso en la erupción de la dentición permanente, se debe investigar la presencia de dientes supernumerarios y de otras anomalías. Mientras que la cronología de la erupción dentaria es muy variable, el desarrollo coronal y radicular y el orden de erupción tienen una importancia mucho mayor, de manera que sí conviene investigar, por ejemplo, el fallo en la erupción de un diente contralateral más de 6 meses después de la aparición de su diente simétrico (fig. 9.34).

Dientes natales y neonatales
Los dientes neonatales son aquellos que erupcionan en los 30 días posteriores al nacimiento. Los dientes natales estén presentes en el momento del nacimiento y son, en casi todos los casos, incisivos temporales normales que han erupcionado de forma precoz. El desarrollo de estos dientes coincide con la fase esperada de desarrollo de un incisivo temporal en el momento del nacimiento (es decir, sólo se han formado cinco sextas partes de la corona y normalmente no existe raíz). Esta falta de desarrollo de la raíz explica la movilidad de estos dientes. Se debe examinar de forma meticulosa a los lactantes con dientes natales posteriores para descartar otras alteraciones sistémicas que podrían asociarse a otros síndromes y enfermedades (fig. 9.33).
Tratamiento
- El punto más importante que debemos considerar es si la madre puede amamantar de forma adecuada al niño. Si se lesionan los pezones o la superficie ventral de la lengua del lactante, debe extraerse el diente.
- Si los dientes no presentan demasiada movilidad se deben conservar, ya que se reforzarán con el paso del tiempo a medida que la raíz se vaya desarrollando.
- Si los dientes manifiestan una movilidad excesiva, pueden exfoliarse de forma espontánea. No obstante, debido al riesgo teórico de aspiración o ingestión, conviene extraerlos.
- Se debe tener cuidado para extraer el diente entero, ya que con frecuencia se extrae la corona y se deja en el sitio el tejido pulpar. Si esto sucediera, más adelante se formarán la dentina y una raíz que deberá ser extraída transcurrido un tiempo.
- Los dientes permanentes no se ven afectados por la extracción del diente temporal.
Molares temporales anquilosados (sumergidos)
Sucede con frecuencia que los molares temporales se anquilosen. Si el anquilosamiento se produce antes de la erupción, los dientes pueden no aparecer en la boca; si ocurre después de la erupción, el diente aparecerá sumergido en el alveolo (de hecho, el diente permanece inmóvil mientras el hueso alveolar crece a su alrededor y los dientes adyacentes van erupcionando). El momento para la extracción de estos dientes se basa en la posición del primer molar permanente y en la reabsorción de las raíces del diente temporal (fig. 9.35).

Tratamiento
- Si existen pruebas radiográficas de reabsorción radicular, debe retrasarse la extracción hasta que la mayoría de estos dientes se exfolien con normalidad.
- Consultar con un ortodoncista (v. cap. 11).
- Si el premolar está ausente de forma congénita, está indicada la extracción temprana.
- Se debe evitar la extracción quirúrgica del diente anquilosado antes de la erupción del primer molar permanente, ya que éste migrará mesialmente y se perderá espacio debido a la impactación del segundo premolar. Una vez que haya erupcionado el diente permanente, se puede extraer el diente temporal y colocar un mantenedor de espacio.
- Se debe mantener el espacio y, en caso necesario, alinear el molar permanente con ortodoncia.
Fallo en la erupción de los primeros molares permanentes
Se trata de un hallazgo poco frecuente, pero hoy en día nadie ha sido capaz de explicar el mecanismo que impide que estos dientes erupcionen. Durante la intervención quirúrgica se observa invariablemente que estos dientes no están anquilosados (fig. 9.36).

Desarrollo radicular
Al igual que las enfermedades sistémicas afectan al esmalte, el desarrollo radicular puede verse retrasado, alterado o detenido por una enfermedad sistémica. Se observa con mayor frecuencia cuando la radioterapia produce el acortamiento y estrechamiento de las raíces de los premolares (v. cap. 10). Las fuerzas ortodóncicas excesivas producen también reabsorción radicular (fig. 9.37).

Determinación de la edad dental (maduración)
Al odontopediatra se le suele pedir que ayude en la valoración de la edad, tanto en necropsias como con niños huérfanos. Deben considerarse la raza y el potencial de crecimiento somático para la determinación dental.
La erupción de los dientes no tiene tanta importancia como la calcificación coronal y el desarrollo radicular. El método más utilizado y aceptado es el desarrollado por Demirjian y cois. (1978), y se basa en el aspecto en las radiografías panorámicas de la calcificación a diferentes edades.
Aunque existen pocas dudas acerca de la estrecha relación que existe entre la velocidad máxima de crecimiento, el desarrollo esquelético y la maduración sexual, parece que el desarrollo dental es independiente del desarrollo somático general.
Pérdida de estructura dental
Atrición:
- Desgaste de uno o más dientes de una arcada por uno o más dientes de la arcada antagonista.
Erosión:
- Por causas exógenas, como la dieta, los hábitos o el entorno.
- Por reflujo gastroesofágico.
- Por bulimia.
Abrasión.
Pérdida de estructura dental exógena por la dieta, los hábitos o el entorno.
Erosión del esmalte
Recientemente se ha estimado que la prevalencia de erosión del esmalte en niños y adolescentes resulta muy elevada: casi la mitad de los niños de 14 años en una población del Reino Unido presentan una erosión moderada; la mayor prevalencia la presentan los grupos socioeconómicos más bajos. La etiología de la erosión en niños y adolescentes varía, y se ha indicado que el factor más importante en su aparición se refiere al consumo de zumos de frutas y bebidas carbonatadas, cuya venta ha aumentado en un 56% con respecto a la década anterior.
El potencial erosivo de las bebidas ácidas está relacionado con:
- Acidez titulable (AT).
- pKa.
- Tipo de ácido.
- Capacidad de quelación del calcio.
- Método y temperatura de consumo.
Las bebidas carbonatadas contienen ácido carbónico y suelen añadirse además ácidos orgánicos (sobre todo ácidos cítricos) para mejorar el sabor y la «sensación en la boca». Los iones citrato quelan fuertemente el calcio en ambientes tanto ácidos como básicos, y disminuyen la cantidad de calcio iónico libre disponible en la saliva y en la superficie del esmalte, lo que estimula la desmineralización. El potencial erosivo de las bebidas no alcohólicas «dietéticas» es similar al de las bebidas azucaradas, pero su potencial para aumentar el riesgo de caries disminuye de forma considerable. La forma de beberías influye también en la extensión de la erosión: el descenso del pH intraoral resulta mayor si la bebida se mantiene en la boca o se bebe a «grandes sorbos» mientras que cuando la bebida se traga con rapidez, el pH no disminuye de forma tan llamativa.
Las consecuencias de la erosión dental son importantes a corto y a largo plazo y requieren un tratamiento dental amplio y caro; además, existe la posibilidad de la pérdida de dientes. La sensibilidad dental concomitante puede resultar grave y debilitante. Se ha observado que incluso ingestas pequeñas y regulares de bebidas ácidas se relacionan con una erosión dental considerable. Se debe preguntar en primer lugar al niño, y también a los padres, acerca del uso de dichas bebidas (extracto de frutas, zumos de frutas frescos, sobre todo zumos cítricos, bebidas carbonatadas, colas, etc.). Al tomar modelos de estudio e instituyendo una dieta de exclusión durante 3 meses se obtiene una «línea de marca» de sustancia dental no afectada que se desarrolla en una revisión posterior.
Prevención de la erosión
- Cese o restricción de la exposición al factor etiológico.
- La modificación de la erosividad de la bebida parece tener las mejores perspectivas futuras sobre la reducción de la pérdida de estructura dental. La investigación se ha centrado en la adición de calcio y/o fosfato y en la modificación del pH de las bebidas no alcohólicas.
- A las familias se las bombardea con anuncios sobre la comida sana, lo que puede con fundirles con respecto a la limitación en la ingesta de zumos de frutas. Todo ello requiere una información cuidadosa y clara.
Reflujo gastroesofágico
Cuando la pérdida de esmalte no se puede explicar por factores dietéticos, se debe considerar la posibilidad del reflujo gastroesofágico. Los niños con reflujo sufren erosión del esmalte, que consiste en una pérdida de estructura dental que no deja relieve y que se caracteriza porque las restauraciones de amalgama sobresalen del diente. Algunos niños presentan un reflujo gastroesofágico que no se diagnostica y que se manifiesta inicialmente con la erosión de esmalte (fig. 9.38A).

Diagnóstico
- En el tránsito del bario puede pasar desapercibido el reflujo.
- Se precisa una manometría de pH durante 24 horas para valorar la magnitud del reflujo (fig. 9.38D).
Tratamiento
- Diagnóstico y tratamiento del reflujo antes de proceder a la restauración dental definitiva.
- Bloqueantes histamínicos (antagonistas H2), como ranitidina y cimetidina.
- Antieméticos (agentes procinéticos), como metoclopramida.
- Resina composite, coronas de acero inoxidable, recubrimientos de cemento de ionómero de vidrio y otros onlays sobre los dientes posteriores.
- Onlays sobre los dientes posteriores para proteger la oclusión y mantener la dimensión vertical.
- Aplicación profesional de fluoruros. Protectores bucales nocturnos con dentífrico fluorado a modo de barrera mecánica contra el ataque del ácido y fluoruros para promover la mineralización.