Técnicas de diagnóstico por imagen
Las técnicas de diagnóstico por imagen ayudan a desarrollar e implementar un plan de tratamiento coherente y comprensivo para el equipo implantológico y para el paciente.
El equipo implantológico requiere los servicios o funciones de un número de profesionales que puede incluir al odontólogo referidor, al técnico de laboratorio, al prostodoncista, al periodoncista, al cirujano oral, al implantólogo, al anestesista, al radiólogo, al higienista, y al resto equipo. La información obtenida del historial médico y dental del paciente, que incluye el examen clínico, los análisis de laboratorio, los modelos diagnósticos, los encerados diagnósticos, y las imágenes diagnósticas, juega un papel en el desarrollo de la planificación del tratamiento y sus objetivos.
Objetivos de las imágenes
Los objetivos del diagnóstico por imagen dependen de un número de factores, que incluye la cantidad y tipo de información requerida y el período de tratamiento considerado.
La decisión de cuándo tomar una imagen junto con qué modalidad de imagen emplear depende de la integración de estos factores y se puede organizar en tres fases.
Fase 1
La fase 1 se denomina diagnóstico por imágenes implantológicas prequirúrgicas e involucra a todos los exámenes radiológicos pasados y las nuevas exploraciones radiológicos escogidas para ayudar al equipo implantológico a establecer el plan de tratamiento global final. Los objetivos de esta fase del diagnóstico por imagen incluyen toda la información quirúrgica y protésica necesaria para determinar la cantidad, calidad y angulación del hueso; las relaciones entre las estructuras críticas para las probables zonas implantarías; y la presencia o ausencia de patologías en los lugares propuestos para la cirugía.
Fase 2
La fase 2 se denomina diagnóstico por imágenes implantológicos quirúrgicas e intraoperatorias y se centra en la asistencia de la intervención quirúrgica y protésica del paciente. Los objetivos de esta fase de imágenes son de evaluar las zonas quirúrgicas durante e inmediatamente después de la cirugía, facilitar la obtención de una posición y orientación óptimas de los implantes dentales, evaluar la fase de cicatrización e integración de la cirugía implantológica, y asegurar que la posición del pilar y la fabricación de la prótesis sean correctas.
Fase 3
La fase 3 se denomina diagnóstico por imágenes implantológicas posprotésicas. Esta fase se inicia justo después de la colocación de la prótesis y continúa mientras los implantes se encuentren en los maxilares. Los objetivos de esta fase de imágenes son evaluar el mantenimiento a largo plazo de la fijación rígida del implante y de su función, incluyendo los niveles de cresta ósea alrededor de cada implante, y evaluar el complejo implantológico.
Modalidades de diagnóstico por imagen
La decisión de tomar una imagen del paciente se basa en sus necesidades clínicas. Una vez tomada la decisión de obtener imágenes, la modalidad de imágenes a realizar es aquella que proporciona la información diagnóstica necesaria en relación con las necesidades clínicas del paciente y cuyos riesgos radiológicos sean mínimos. La opinión del radiólogo puede ser requerida para modalidades más complejas o para situaciones en las que el odontólogo operador tenga menos experiencia.
Maximizar la proporción del beneficio sobre los riesgos en los exámenes de diagnóstico por imagen es un fundamento básico de la radiología. Los exámenes que sabemos producen este resultado, no son necesariamente los exámenes menos costosos, que estén más próximos al odontólogo, o que produzcan la exposición a radiaciones más bajas. En cualquier caso, permiten al odontólogo proporcionar el cuidado o tratamiento adecuados al paciente.
Muchas modalidades de diagnóstico por imagen se han descrito como habituales dentro del diagnóstico por imagen implantológico, incluyendo los dispositivos desarrollados recientemente y de forma específica para dicho diagnóstico (cuadro 3-1).
Muchas modalidades de imágenes pueden describirse como analógicas o digitales y en dos o tres dimensiones. La mayoría de los odontólogos están más familiarizados con las imágenes analógicas en dos dimensiones (v. cuadro 3-1). Las modalidades de imágenes analógicas son sistemas bidimensionales que emplean película radiográfica o pantallas de intensificación como receptores de imágenes. La calidad de imagen de estos sistemas se caracteriza por la función de transferencia resolución/modulación, contraste/H y curva D, espectro de ruido/Weiner, y la sensibilidad. El rendimiento clínico de estos sistemas de imágenes se mide por las características del dispositivo de recepción.
Las imágenes digitales pueden ser producidas también con cada modalidad de diagnóstico por imagen (v. cuadro 3-1). Una imagen digital en dos dimensiones es descrita por una matriz de imagen que tiene elementos fotográficos individuales llamados píxeles. Una imagen digital se describe por su anchura, altura y píxeles (es decir, 512 x 512). Para imágenes digitales más amplias (es decir, 1,2 M x 1,2 M, donde la M significa megapíxeles), la imagen se describe alternamente como una imagen de 1,5 M. Cada elemento fotográfico o pixel tiene un valor digital discreto que describe la intensidad de la imagen en ese punto particular. El valor de un elemento pixel se describe con una escala, que puede ir desde los 8 bits (256 valores) hasta los 12 bits (4.096 valores) para sistemas de imágenes en blanco y negro, o hasta 36 bits (65 billones de valores) para sistemas de imágenes en color. Las imágenes digitales en blanco y negro se proyectan de manera óptima en un monitor en blanco y negro. En general, se pueden observar 8 bits o 256 niveles de manera efectiva en un monitor.
Una imagen digital en tres dimensiones se describe por una matriz de imagen que tiene elementos individuales de imagen/fotografía llamados vóxeles. Una imagen digital en tres dimensiones no solo se describe por su anchura, su altura y sus píxeles (es decir 512 x 512) sino además por su profundidad/espesor. El volumen de una imagen o la caracterización en tres dimensiones del paciente se produce por imágenes continuas que producen una estructura en tres dimensiones de los elementos de volumen (es decir, en la tomografía computarizada [TC], la imagen por resonancia magnética [RM], y la tomografía interactiva computarizada [TIC]). Cada elemento de volumen tiene un valor que describe su nivel de intensidad. Típicamente las modalidades en tres dimensiones tienen una escala de intensidad que va de los 12 bits o 4.096 valores. El cuadro 3-1 describe las modalidades de imágenes en tres dimensiones.
Imágenes prequirúrgicas (Fase 1)
En el campo de la implantología oral, están disponibles numerosas modalidades de imágenes radiográficas para el asesoramiento prequirúrgico para los pacientes de implantes dentales. En el pasado se empleaban las radiografías intraorales y las imágenes panorámicas como las únicas determinantes del diagnóstico implantológico y de la planificación del tratamiento. Con los avances en tecnología radiográfica, actualmente existen varios sistemas de imágenes en tres dimensiones para la profesión dental que proporcionan al equipo implantológico una cantidad infinita de información diagnóstica.
El objetivo de la evaluación prequirúrgica radiográfica es valorar la cantidad y calidad de hueso disponible, la angulación del hueso, la elección de sitios implantológicos potenciales, y verificar la ausencia de patología. En cualquier caso, no existe técnica de imagen radiográfica ideal en el campo de la implantología oral que pudiese ser aceptable para todos los pacientes. Todas las técnicas de imágenes en el campo de la odontología tienen ventajas y desventajas inherentes y han mostrado que pueden producir imágenes positivas y negativas falsas.
Al escoger una modalidad radiográfica para el asesoramiento preoperatorio, se debería llevar a cabo un examen cuidadoso de las opciones de imágenes disponibles para las necesidades de los pacientes. En radiología médica y dental, un principio recomendado al escoger la modalidad radiográfica apropiada se basa en la dosis de radiación. El principio de «tan bajo como sea razonable alcanzar» (ALARA, por sus siglas en inglés) debería aplicarse siempre al axioma de que la técnica de imagen diagnóstica seleccionada debería incluir la dosis de radiación más baja posible para el paciente. En cualquier caso, la planificación del tratamiento y de los cuidados del paciente no debería estar condicionada por la respuesta a la dosis de radiación.
Los estudios han demostrado que un número aplastante (90 %) de odontólogos prescriben las imágenes panorámicas como las únicas determinantes en la planificación del tratamiento implantológico. En comparación, menos del 10% prescriben imágenes convencionales o TC. Por otra parte, las directrices de la American Academy of Oral and Maxillofacial Radiology establecen que todas las evaluaciones de lechos implantológicos deberían realizarse mediante una técnica de imagen en tres dimensiones como la tomografía convencional o computarizada.
La intención de esta fase de diagnóstico por imagen en implantología es la de evaluar el estado actual de los dientes y maxilares de cada paciente y desarrollar y afinar la planificación de su tratamiento. La evaluación del paciente por los miembros del equipo implantológico dental se lleva a cabo con una revisión del historial médico del paciente, un examen clínico a fondo, y una revisión de los exámenes radiológicos del paciente. Llegado a este punto, el odontólogo debería ser capaz de descartar enfermedad dental u ósea alguna, y establecer un objetivo clínico que coincida con las necesidades clínicas y estéticas del paciente. Si el odontólogo no puede descartar enfermedad dental u ósea alguna, son necesarios exámenes clínicos o radiológicos posteriores.
El objetivo global de esta fase de tratamiento es desarrollar y complementar un plan de tratamiento para el paciente que permita la restauración funcional y estética del paciente mediante la colocación exacta y estratégica de implantes dentales. Las necesidades funcionales y estéticas del paciente pueden transformarse físicamente en una plantilla diagnóstica en tres dimensiones, lo que permite al equipo implantológico identificar en los exámenes por imagen los lugares específicos para una cirugía prospectiva implantológica. Los objetivos específicos de las imágenes preprotésicas están listados en el cuadro 3-2.
Todas las modalidades listadas en el cuadro 3-1 se han empleado en la primera fase diagnóstica de tratamiento.
En cualquier caso, los casos de implantes dentales, son de manera inherente, problemas en tres dimensiones relacionados con las prótesis finales, la oclusión, y la función de la anatomía en tres dimensiones del paciente. Un plan de tratamiento en tres dimensiones identifica de una manera ideal en cada sitio de prospección de implante la cantidad de ancho de hueso, la posición ideal y orientación de cada implante, su longitud y diámetros óptimos, la presencia y cantidad de hueso cortical en la cresta, el grado de mineralización del hueso trabecular, y la posición o las relaciones entre las estructuras críticas en los sitios implantológicos propuestos. Por ello las modalidades escogidas para la planificación del tratamiento implantológico prequirúrgico proporcionan una información de alta resolución y dimensionalmente exacta en tres dimensiones sobre el paciente y los sitios implantológicos propuestos.
Las modalidades de imágenes listadas en el cuadro 3-1 pueden dividirse en modalidades de imágenes planas en dos dimensiones, de casi-tres dimensiones, y de tres dimensiones. Las modalidades de imágenes planas incluyen imágenes periapicales, de aletas de mordida, oclusales, y cefalométricas y son simplemente proyecciones en dos dimensiones de la anatomía del paciente. Por ello el odontólogo no pueda posiblemente desarrollar una perspectiva en tres dimensiones de la anatomía del paciente con una sola imagen. En cualquier caso, con un número de proyecciones orientadas inteligentemente, es posible desarrollar algún tipo de información útil en tres dimensiones.
Las modalidades de imágenes en casi-tres-dimensiones incluyen la tomografía de rayos X y algunas técnicas de imágenes de cortes de sección panorámicas. Estas técnicas producen un número de imágenes tomográficas muy cercanas entre sí, y la perspectiva en tres dimensiones de la anatomía del paciente se desarrolla viendo cada imagen y rellenando mentalmente los espacios. Las técnicas de imágenes en tres dimensiones incluyen la TC y la RM y permiten al odontólogo observar el volumen de la anatomía del paciente. Estas técnicas son cuantitativamente exactas, y se pueden conseguir modelos en tres dimensiones de la anatomía del paciente de los datos de la imagen y emplearse para producir guías quirúrgicas estereotácticas y estructuras protésicas.
Radiografía periapical
Las radiografías periapicales son imágenes de una región limitada alveolar mandibular o maxilar. Las radiografías periapicales se producen colocando la película en la boca y paralela al cuerpo del alveolo con el rayo central del dispositivo de rayos X perpendicular a dicho alveolo en la zona de interés, proporcionando una vista lateral alveolar. La radiografía periapical proporciona una imagen plana de alta resolución de una región limitada de los maxilares.
La película dental del tamaño número 2 proporciona con cada imagen una vista de la mandíbula de 25 x 40 mm. Las radiografías periapicales proporcionan una vista lateral de los maxilares pero ninguna información de sección transversal. Incluso con radiografías periapicales adyacentes hechas con orientaciones oblicuas limitadas, la información en tres dimensiones tiene muy poca utilidad para el diagnóstico por imagen en implantología (cuadro 3-3).
Las radiografías periapicales pueden sufrir distorsiones y magnificaciones. La técnica radiográfica más exacta empleada para la radiología periapical es la técnica paralela, que requiere colocar la película o el sensor paralelos al eje axial del implante, al diente, o a la estructura ósea en cuestión. Estos principios en el posicionamiento permitirán una imagen intraoral con una distorsión y magnificación mínimas. Si se emplea un posicionamiento incorrecto o la técnica del ángulo de la bisectriz, las medidas verticales y horizontales pueden verse distorsionadas y magnificadas.
La técnica de paralelismo de cono largo elimina la distorsión y limita la magnificación en un 10%. Las cuadrículas radiopacas milimétricas, algunas veces empleadas en endodoncia, pueden superponerse por encima de la película antes de que esta sea expuesta, pero tienen muy poco valor y pueden proporcionar una información errónea porque están colocadas sobre la película, ocultando la anatomía situada por debajo y sin compensar la magnificación.
La distorsión de las formas de las imágenes se produce cuando se da una magnificación desigual del objeto. Esto ocurrirá cuando el área total en cuestión (hueso alveolar, implante) no tenga la misma distancia focal objeto-foco. Cuando el haz de rayos X es perpendicular al objeto, pero este no está paralelo a la película, se producirá un acortamiento anterior. Si el haz de rayos X está orientado perpendicularmente al objeto pero no a la película, se producirá un alargamiento (fig. 3-1). Estos conceptos básicos e importantes ayudarán a minimizar la distorsión y magnificación cuando se empleen radiografías intraorales.

La magnificación de la imagen puede ser calculada colocando un marcador radiográfico de dimensiones conocidas (ej. una bola de referencia de 5 mm) en la región de la cresta de la localización deseada para el implante. Cuando el marcador se alarga, lo mismo ocurre con el sitio para el implante. Por ejemplo, una bola de orientación de 8 mm de medición radiográfica puede alcanzar un 60 % de magnificación. Por ello la imagen debajo de la bola de soporte puede representar una magnificación del 60% de su dimensión.
El punto de referencia opuesto de hueso disponible en la odontología implantológica se encuentra más allá de las inserciones musculares linguales de la mandíbula o de la bóveda palatina en el maxilar. Por ello, la imagen suele tener que ser preacortada para visualizar la tabla cortical opuesta. Como resultado, puede ser difícil valorar la altura de hueso disponible, de manera real.
La densidad ósea en la cresta es también un factor para valorar la pérdida ósea de la cresta con índices radiográficos. En el hueso de D4, no hay tabla cortical presente en la cresta, y está presente esencialmente hueso fino trabecular. Los efectos de quemado son comunes cuando se emplean parámetros estándar de kilovoltios y miliamperios, siendo beneficioso en estas situaciones la evaluación de la pérdida ósea crestal mediante sistemas digitales intraorales.
Las tablas corticales densas del aspecto lateral de la mandíbula y del aspecto palatino del maxilar, hacen difícil el cálculo de la calidad ósea con una radiografía periapical. De hecho, es necesario un cambio del 40 % en la densidad ósea trabecular para poder observar cualquier diferencia en la mandíbula anterior.
En términos de objetivos de diagnóstico por imagen prequirúrgico, la radiografía periapical es:
- Una práctica modalidad de alto rendimiento para descartar enfermedad dental o del hueso local.
- De valor limitado en la determinación cuantitativa porque la imagen es magnificada, puede ser distorsionada, y no representa la tridimensionalidad de la anchura ósea.
- De valor limitado en la determinación de la densidad ósea y la mineralización (las tablas corticales laterales impiden una interpretación exacta y no pueden diferenciar cambios sutiles en el hueso trabecular).
- De gran valor en identificar estructuras críticas pero de poco uso en representar las relaciones espaciales entre las estructuras y el lugar propuesto para el implante.
En la fase preprotésica, estas películas suelen emplearse para implantes dentales individuales en regiones con una anchura ósea abundante.
Radiografía digital
Uno de los adelantos recientes más significativos en la radiología dental ha sido la introducción de la tecnología digital que ha permitido reducir numerosas limitaciones de la radiografía intraoral convencional. Las ventajas de la radiografía digital y sus usos en la implantología oral están bien documentadas. Con el empleo de la radiografía digital, los procedimientos quirúrgicos implantológicos y las prótesis se han simplificado con un aumento de la eficiencia.
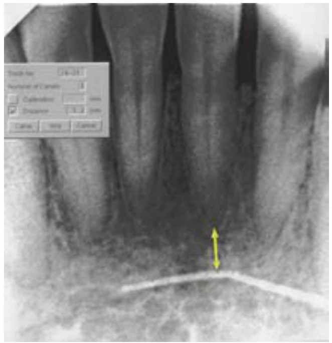
La radiología digital es un procedimiento de imagen en el cual la película es sustituida por un sensor que recoge los datos. La información analógica recibida es interpretada por un programa especializado, y se formula una imagen en la pantalla del ordenador. La imagen resultante puede ser modificada de diferentes maneras, como con la escala de grises, el brillo, el contraste, y la inversión. Se pueden formar imágenes en color para ampliar la imagen digital para una mejor evaluación. Actualmente están disponibles programas informáticos (ej. Dexislmplant) que permiten la calibración de imágenes magnificadas, además de asegurar mediciones exactas (fig. 3-2).

Al compararlos con las radiografías convencionales, los sistemas digitales más actuales tienen una significativa menor radiación con una resolución superior. En cualquier caso, con respecto a la implantología oral, la ventaja más significativa de la radiografía digital es la velocidad instantánea a la cual se forman las imágenes que es altamente útil durante la colocación quirúrgica de los implantes y la verificación de la colocación de los componentes protésicos (fig. 3-3).

Un inconveniente de la radiografía digital es el tamaño y espesor del sensor y de la posición del cordón de conexión. Estas características hacen que la colocación del sensor sea más difícil en algunas zonas como aquellas adyacentes a torus o en la zona de los caninos, en caso de una arcada superior estrecha (tabla 3-1).
Radiografía oclusal
Las radiografías oclusales son proyecciones planas obtenidas al colocar la película dentro de la boca, paralela al plano oclusal con el haz central de rayos X perpendicular a la película para la imagen mandibular y oblicuo (normalmente a 45 grados) a la película para la imagen maxilar. La radiografía oclusal produce imágenes planas de alta resolución del cuerpo de la mandíbula o del maxilar. Las radiografías maxilares oclusales son inherentemente oblicuas y por tanto distorsionadas de manera que no son de uso cuantitativo para la odontología implantológica para determinar la geometría o el grado de mineralización del lecho implantológico. Adicionalmente, se muestran estructuras críticas como los senos maxilares, la cavidad nasal, el canal nasal palatino, pero la relación espacial con el lecho del implante suele perderse con esta proyección (cuadro 3-4).
Al ser la radiografía oclusal mandibular una proyección ortogonal, es una proyección menos distorsionada que la radiografía oclusal maxilar. En cualquier caso, los alveolos mandibulares se ensanchan en general anteriormente, y muestran una inclinación lingual en sectores posteriores, produciendo una imagenoblicua y distorsionada de los alveolos mandibulares, lo que es de muy poca utilidad en odontología implantológica. Adicionalmente la radiografía oclusal mandibular muestra la mayor anchura del hueso (es decir, la sínfisis) comparado con la anchura crestal, que es donde más se necesita información diagnóstica (fig. 3-4).

El grado de mineralización del hueso trabecular no se determina con esta proyección, y las relaciones espaciales entre las estructuras críticas, como el canal mandibular y el foramen mentoniano, y el sitio implantológico propuesto se pierden con esta proyección. Como resultado, las radiografías oclusales raramente están indicadas para las fases diagnósticas prequirúrgicas en la odontología implantológica.
Radiografía cefalométrica o telerradiografía
Las radiografías cefalométricas son radiografías planas orientadas del cráneo. El cráneo es orientado hacia el aparato de rayos X, y al receptor de imagen que emplea un cefalómetro, que fija físicamente la posición del cráneo con dispositivos en el canal auditivo externo. La geometría de los aparatos de imágenes cefalométricas resulta en una magnificación del 10% de la imagen con un objetivo focal de 60 pulgadas y una distancia entre objetivo y película de 6 pulgadas.
Una radiografía cefalométrica lateral se realiza con el plano sagital medio del paciente orientado paralelamente al receptor de imagen. Esta radiografía demuestra una imagen transversal de los alveolos mandibular y maxilar en el plano sagital medio. Se puede mostrar una imagen transversal de la mandíbula o del maxilar en la región de los incisivos laterales o de los caninos, con una leve rotación del cefalómetro. Al contrario que las imágenes panorámicas o periapicales, las vistas transversales de los alveolos muestran la relación espacial entre la oclusión y la estética con el largo, el ancho, el ángulo, y la geometría de los alveolos y son más exactas para las determinaciones de cantidad ósea. Los implantes tienen que ser posicionados con frecuencia en las regiones anteriores adyacentes a la tabla lingual.
La radiografía cefalométrica lateral es útil ya que muestra la geometría de los alveolos en la región medio-anterior y la relación entre la tabla lingual y la anatomía esquelética del paciente (figs. 3-5 y 3-6; cuadro 3-5). La anchura ósea en la región de la sínfisis y la relación entre el córtex bucal y las raíces de los dientes anteriores pueden determinarse antes de la toma de este hueso para el aumento del reborde. Junto con las radiografías periapicales regionales, se puede disponer de información espacial cuantitativa para mostrar la geometría del lecho implantológico y la relación espacial entre el mismo y las estructuras críticas como el suelo de la cavidad nasal, el proceso anterior de los senos maxilares, y el conducto nasopalatino. La vista cefalométrica lateral puede ayudar también a evaluar una pérdida de dimensión vertical, las interrelaciones esqueléticas entre las arcadas, el cociente entre la corona anterior y el implante, el perfil del tejido blando, la posición de los dientes anteriores en la prótesis, y los momentos de fuerza resultantes. Como resultado, las radiografías cefalométricas son una herramienta útil en el desarrollo de un plan de tratamiento implantológico, especialmente para los pacientes completamente edéntulos. En cualquier caso, esta técnica no es útil para mostrar la calidad ósea y solo muestra una imagen transversal del alveolo donde los rayos centrales del aparato de rayos X son tangentes al mismo.

Los inconvenientes de las radiografías cefalométricas incluyen una información transversal limitada al área de la línea media así como la difícil accesibilidad a la maquinaria cefalométrica. Cualquier estructura externa a la línea media queda superpuesta con el lado contralateral. Esta técnica radiográfica depende de la sensibilidad del operador y, posicionada incorrectamente, resultará en una visión distorsionada. Al emplear las radiografías cefalométricas laterales pantallas de intensificación, la resolución y la nitidez se ven comprometidas en comparación con las técnicas radiográficas intraorales.
Radiografía panorámica
La radiografía panorámica es una técnica radiográfica tomográfica de plano curvo empleada para representar el cuerpo de la mandíbula, del maxilar, y la mitad inferior de los senos maxilares en una sola imagen. Esta modalidad es probablemente la modalidad diagnóstica más empleada en la odontología implantológica. En cualquier caso, como imagen cuantitativa de implantología prequirúrgica, la radiografía panorámica no es la más diagnóstica. Esta técnica radiográfica produce una imagen de una sección de las mandíbulas en diferentes espesores y magnificaciones. El receptor de la imagen ha sido tradicionalmente una película radiográfica pero puede ser también una placa fosforada digital de almacenamiento o un receptor digital tipo dispositivo de carga acoplada o CCD. no obstante las imágenes panorámicas ofrecen numerosas ventajas (cuadro 3-6).
Las limitaciones significativas de las radiografías panorámicas pueden clasificarse en dos categorías:
- distorsiones inherentes al sistema panorámico y
- errores en el posicionamiento del paciente.
La radiografía panorámica se caracteriza por una sola imagen de las maxilares que muestra la magnificación vertical y horizontal, junto con un espesor de sección tomográfica que varía de acuerdo con la posición anatómica. La fuente de rayos X expone los maxilares desde un ángulo negativo, y produce una magnificación vertical relativamente constante de aproximadamente el 10%. La magnificación horizontal es aproximadamente del 20 % y variable dependiendo de la localización anatómica, de la posición del paciente y de la distancia del objeto enfocado, y de la localización relativa del centro de rotación del sistema de rayos X. Los datos clínicos han mostrado que la magnificación no uniforme puede ir del 15 al 220 %. Las estructuras de los maxilares se magnifican más cuanto más aumenta la distancia entre el objeto y la película y cuanto más disminuye la distancia entre el objeto y la fuente de rayos X.
Las estructuras de posición oblicua en relación al lecho implantológico receptor se magnifican más cuanto más lejos estén del receptor de imagen y menos cuanto más cerca estén del mismo. La magnificación uniforme de las estructuras produce imágenes con una distorsión que no puede ser compensada para la planificación del tratamiento. Las regiones maxilares posteriores suelen ser en general las regiones menos distorsionadas en una radiografía panorámica. El espesor de corte tomográfico de una radiografía panorámica o a nivel de su punto focal es espeso, aproximadamente de 20 mm en las regiones posteriores, y fino de aproximadamente 6 mm en la región anterior.
La radiografía panorámica tradicional es una técnica de alto rendimiento en la demostración de enfermedad dental u ósea. En cualquier caso, la radiografía panorámica no muestra la calidad/mineralización óseas, lleva a conclusiones erróneas cuantitativamente a causa de la magnificación y porque no se observa el corte de sección transversal como una tercera dimensión, y tiene por tanto alguna utilidad para mostrar las estructuras críticas pero poca utilidad a la hora de representar la relación espacial entre las estructuras y la cuantificación dimensional del lecho implantológico. Al ser la radiografía panorámica tan popular y ser una técnica de tan fácil acceso enodontología, los odontólogos han desarrollado medios para compensar sus limitaciones. Las compañías implantológicas suelenofertar equipos con una magnificación programada del 25 % para la evaluación de un lecho implantológico que se colocan en una película panorámica para comparar las posiciones de las estructuras vitales.
Al ser imposible y no fiable el concepto de estandarizar la magnificación, la mayoría de estudios han observado las inexactitudes de las mediciones directas de las radiografías panorámicas (fig. 3-7).

La magnificación inherente depende de los posicionamientos erróneos del paciente, lo que resulta en una distorsión geométrica significativa. Con conocimiento la mayoría de los errores en el posicionamiento del paciente pueden ser corregidos (tabla 3-2). En cualquier caso, en un plano dado, la distorsión horizontal no puede ser determinada y las medidas no son nada fiables. Las dimensiones horizontales están afectadas por la rotación del haz que cambia en relación con la distancia entre objeto y película.
Las dimensiones verticales dependen de la fuente de rayos X y su enfoque con la cantidad de distorsión determinada por la distancia del arco del paciente a la película. En cualquier caso, la magnificación vertical puede determinarse introduciendo en la imagen un objeto de diámetro conocido cerca del reborde alveolar. El factor de magnificación puede calcularse en el sitio dado dividiendo el diámetro actual del objeto por el diámetro medido en la imagen radiográfica. Las plantillas diagnósticas que tienen bolas de contraste de 5 mm o un alambre incorporado alrededor de la curvatura del arco dental portadas por el paciente durante el examen panorámico de rayos X permiten al odontólogo determinar la cantidad de magnificación en la radiografía (fig. 3-8). Se desarrolló una técnica para evaluar una radiografía panorámica para implantes mandibulares posteriores y la comparación con la evaluación clínica durante la cirugía, mediante la identificación del foramen mentoniano y la extensión posterior del conducto dentario inferior. En cualquier caso, los estudios han demostrado que el foramen mandibular no puede ser identificado en el 30% de los casos en la película de la radiografía y que, cuando es visible, puede no ser identificado correctamente. La región maxilar anterior edéntula suele ser oblicua con respecto a la película y suele ser el área más difícil de evaluar en una radiografía panorámica por la curvatura de los alveolos y la inclinación del hueso. Las dimensiones de las estructuras inclinadas en las radiografías panorámicas no son fiables. Los estudios en unidades de rayos X panorámicas han demostrado que objetos en frente y detrás del punto focal se ven borrosos, magnificados, reducidos de tamaño o distorsionados hasta el punto de ser irreconocibles.

Al originarse la fuente de rayos X en una posición inframandibular, la posición del canal mandibular en relación a la cresta del reborde es variable, dependiendo de su posición bucolingual en el cuerpo de la mandíbula. En otras palabras, cuando el canal transcurre lingualmente dentro del cuerpo, la posición observada en la película es más crestal en comparación con una localización más bucal, aunque se encuentren a la misma distancia vertical desde la cresta del reborde. Como resultado, el canal posicionado lingualmente puede tener suficiente altura vertical para colocar un implante, pero la película panorámica puede indicar una altura inadecuada del hueso.
Se ha desarrollado una modificación de la máquina de rayos X panorámica que tiene la capacidad de producir una imagen de corte transversal de los maxilares. Estos aparatos emplean la tomografía lineal de limitación angular (zonografía) junto a unos medios para posicionar al paciente. La capa tomográfica es de aproximadamente 5 mm. Esta técnica permite la apreciación de la relación espacial entre las estructuras críticas y el lecho implantológico y la cuantificación de su geometría. Las capas tomográficas son espesas y muestran estructuras adyacentes que están borrosas y superpuestas en la imagen, limitando la utilidad de esta técnica para zonas individuales, especialmente en las regiones anteriores donde la geometría de los alveolos cambia rápidamente. Esta técnica no es útil para determinar las diferencias en la mayoría de las densidades óseas o para identificar patologías en el lecho implantológico.
La tomografía
Tomografía es un término genérico formado por las palabras griegas tomo (loncha) y graph (foto) que fue adoptado en 1962 por la International Commissionon Radiological Units and Measurements para describir todas las formas de radiografía de sección corporal. La radiografía de sección corporal es una técnica especial que permite la visualización de una sección de la anatomía del paciente volviendo borrosas las regiones de la anatomía del paciente localizadas por arriba y por debajo de la sección de interés.
Se han desarrollado numerosos métodos tomográficos ingeniosos y aparatos. En cualquier caso, el principio básico de la tomografía consiste en que el tubo de rayos X y la película estén conectados por una barra rígida llamada la barra De fulcro, que pivota en un punto llamado fulcro. Cuando se conecta el sistema, el tubo de rayos X se mueve en una dirección con el plano de la película moviéndose en la dirección opuesta y con el sistema pivotando sobre el fulcro. El fulcro se mantiene estacionario y define la sección de interés, o la capa tomográfica. Se producen diferentes secciones tomográficas ajustando la posición del fulcro o la posición del paciente relativa al fulcro en sistemas geométricos fijos.
Los factores que afectan a la calidad tomográfica son la amplitud y dirección del movimiento del tubo. Cuanto más amplio sea el movimiento del tubo, más fina será la sección tomográfica. La tomografía lineal es la forma más sencilla de tomografía en la que el tubo de rayos X y la película se mueven en línea recta. Esta película tomográfica es unidimensional y produce el borrado de las secciones adyacentes a dicha dimensión, dando lugar a artefactos lineales de rayado en la imagen resultante, lo que puede ocultar la sección de interés. Una tomografía de movimiento complejo y alta calidad se describe por un desplazamiento bidirectional del tubo y la placa y produce un borrado uniforme de las regiones de la anatomía del paciente adyacentes al movimiento tomográfico. Los movimientos circulares, espirales, hipocicloidales del tubo se emplean en la tomografía compleja.
La calidad diagnóstica de la imagen tomográfica resultante viene determinada por el tipo de película tomográfica, el espesor de la sección, y el grado de magnificación. El tipo de película tomográfica es probablemente el factor más importante en la calidad tomográfica. La película hipocidoidal se acepta en general como la película de imagen borrosa más efectiva. Se prefieren los tubos de movimiento de gran amplitud y las secciones de 1 mm para los objetos anatómicos de alto contraste con una geometría que cambia en la distancia corta, como los alveolos de las mandíbulas. La magnificación varía del 10 al 30% con una magnificación mayor que suele producir imágenes de calidad más alta. Las estructuras densas como los dientes, exostosis, tablas corticales espesas, y materiales dentales/restauraciones son difíciles de borrar de manera efectiva cuando son mucho más densas que las estructuras representadas en la sección tomográfica. Las estructuras densas pueden persistir en la imagen tomográfica aunque estén a tres o cuatro veces la distancia del espesor de la capa con respecto a la sección tomográfica y servirán para ocultar las estructuras de interés en dicha sección.
Para los pacientes de implantes dentales, las películas complejas tomográficas de alta calidad muestran los alveolos y, teniendo en consideración la magnificación, permiten la cuantificación de su geometría. Esta técnica permite también la determinación de la relación espacial entre las estructuras críticas y el lecho implantológico. De una manera ideal, las secciones tomográficas espaciadas cada 1 o 2 mm permiten la evaluación de la región del lecho implantológico y, con integración mental, permiten la apreciación del aspecto casi tridimensional del alveolo. La cantidad de hueso alveolar disponible para la colocación del implante puede ser determinada compensando la magnificación. La digitalización de las imágenes tomográficas implantológicas posteriores permiten el empleo de una regla digital para ayudar en la determinación de hueso alveolar para la colocación del implante. La ampliación de la imagen puede ayudar en la identificación de las estructuras críticas como el canal alveolar inferior. La tomografía compleja no es especialmente útil para determinar la calidad ósea o para identificar enfermedades dentales u óseas (cuadro 3-7).
Los tomógrafos convencionales tendrán una magnificación constante que variará según cada máquina. Se ha observado que la magnificación de la imagen puede llegar a ser del 40 % en algunos aparatos. Además, esta técnica depende de la sensibilidad del operador con una superposición de las estructuras externas al plano del enfoque que causan un enmascaramiento significativo de la imagen, haciendo muy difícil su lectura (fig. 3-9). Adicionalmente, cuando se busca la posición del canal mandibular, hay un espacio vascular que puede parecer similar al corte de sección del canal, y puede producirse una mala interpretación.

Existen estudios que han demostrado que el 20 % de las imágenes tomográficas no son diagnósticas.
Tomografía computarizada
El descubrimiento y desarrollo de la TC revolucionó la imagen médica. La TC es una técnica de imagen digital y matemática que crea secciones tomográficas en las que la capa tomográfica no está contaminada por estructuras borrosas de la anatomía adyacente. Adicionalmente, y es probablemente lo más importante, la TC permite la diferenciación y cuantificación entre los tejidos duros y blandos. De esta manera, por primera vez en la historia de la imagen médica, el radiólogo podía tener una vista de los tejidos duros y blandos en una imagen sin tener que llevar a cabo un procedimiento invasivo en el paciente, como la inyección de un medio de contraste.
La TC fue inventada por Hounsfield y fue presentada al mundo de la imagen en 1972, pero tenía sus orígenes en las matemáticas (1917) y la astrofísica (1956). Los primeros escáneres TC aparecieron en los departamentos de imagen médica a mediados de 1970 y tuvieron tanto éxito, que sustituyeron ampliamente a las tomografías complejas para los inicios de la década de 1980.
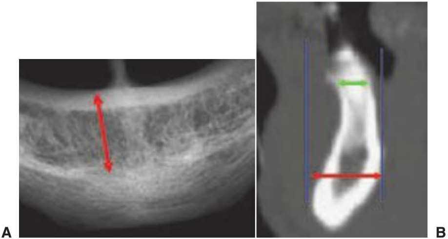
La TC produce imágenes axiales de la anatomía del paciente. Las imágenes axiales se producen perpendiculares al eje largo del cuerpo. La TC es una técnica prospectiva de imagen digital. La fuente de rayos X es sujetada rígidamente a un detector geométrico de haces en abanico desplegado, que rota 360 grados alrededor del paciente y recoge los datos. El detector de imagen es gaseoso o de estado sólido, produciendo señales electrónicas que sirven como datos para introducir en unordenador conectado. El ordenador procesa los datos empleando técnicas algorítmicas de retroproyección de Fourier, desarrolladas por primera vez por Hounsfield para producir las imágenes de TC. Las imágenes de TC son en sí mismas imágenes digitales en tres dimensiones, típicamente de 512 x 512 píxeles con un espesor definido por la separación de los cortes de la técnica de imagen. El elemento individual de la imagen de TC es el vóxel, que tiene un valor, referido en unidades de Hounsfield, que describe la densidad de la imagen de TC en ese punto. Cada vóxel contiene 12 bits de datos y va desde los -1.000 (aire) hasta los +3.000 (esmalte/materiales dentales) de unidades Hounsfield. Los escáneres de TC tienen un valor estandarizado de Hounsfield de0 para el agua. La escala de densidad de los TC es cuantitativa y significativa en cuanto a la identificación y diferenciación de las estructuras y los tejidos.
Las imágenes de TC son en sí mismas tridimensionales. Las imágenes contiguas de TC describen una estructura tridimensional de vóxeles. El ordenador de imagen original puede crear imágenes secundarias desde casi cualquier perspectiva reproyectando o reformateando los datos de vóxeles en tres dimensiones originales. Cuando se emplea un ordenador secundario para efectuar un reformateo o un procesado de imagen del dato original del TC, nos referimos al sistema como una estación De trabajo.
El poder y la utilidad del TC en la imagen y el diagnóstico maxilofacial se volvieron evidentes tan pronto como se introdujeron los TC de alta resolución a principios de la década de 1980. La TC se empleaba para producir imágenes de la articulación temporomandibular, la evaluación de lesiones dentales/óseas, la evaluación de las deformidades maxilofaciales, y la evaluación preoperatoria y postoperatoria de la región maxilofacial. La TC proporciona unos medios únicos de análisis postimágenes de la cirugía propuesta o de los lechos implantológicos reformateando el dato de la imagen para crear imágenes tomográficas tangenciales y de cortes de sección del sitio del implante. Con los escáneres TC de actual generación, las imágenes reformateadas se caracterizan por un espesor de sección de 1 pixel (0,25 mm) y una resolución de plano in terno de 1 pixel por la distancia de barrido (0,5 a 1,5 mm), produciendo una resolución geométrica similar al de una imagen plana. La densidad de las estructuras dentro de la imagen es absoluta y cuantitativa y puede emplearse para diferenciar los tejidos en la región y caracterizar la calidad ósea (fig. 3-10; cuadros 3-8 y 3-9).

La TC permite la evaluación de los lechos implantológicos propuestos y proporciona in formación diagnóstica que otras técnicas o combinaciones de técnicas de imagen no pueden proporcionar. La utilidad de la TC para la planificación del tratamiento de implantes dentales56'62 era evidente, pero el acceso a estas técnicas de imágenes era limitado. El acceso a esta in formación diagnóstica requería un radiólogo para comunicar a los doctores referidos con detalle a propósito de la cirugía prospectiva y para sentarse delante del ordenador de imagen o de la estación de trabajo durante un lapso considerable de tiempo para reformatear el estudio, interpretar las imágenes resultantes, y producir copias en soporte duro de las imágenes para enviarlas a los doctores referidos. Las ventajas de este tipo de imágenes eran evidentes así como las limitaciones de su transmisión, lo que derivó en el desarrollo de un número de técnicas a las que nos referimos genéricamente como imágenes DentaScan.
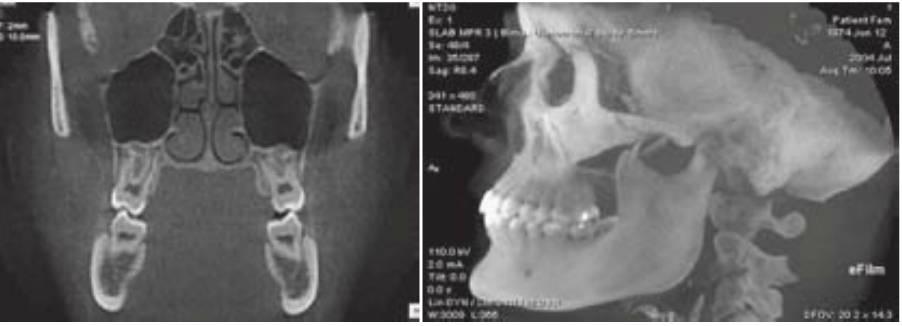
Las imágenes DentaScan proporcionan una reforma, organización e imagen en pantalla programadas del estudio de imágenes (fig. 3-10). El técnico o el radiólogo simplemente indica la curvatura del arco mandibular o maxilar, y el ordenador es programado para generar cortes de sección referenciados e imágenes tangenciales/panorámicas de los alveolos junto con imágenes tridimensionales del arco. Las imágenes de cortes transversales y panorámicos están espaciadas entre sí 1 mm y permiten una planificación del tratamiento prequirúrgico exacto.
Las limitaciones de las imágenes DentaScan incluyen imágenes que pueden no ser verdaderas en tamaño y requieran compensación de la magnificación, la determinación de la calidad ósea que requiere el empleo de ordenadores o estaciones de trabajo de imágenes, copias en soportes duros de imágenes DentaScan que solo incluyen una parte limitada de la escala de grises diagnóstica del estudio, y la inclinación de la cabeza del paciente durante el examen, lo que es crítico ya que todas las imágenes de corte de sección son perpendiculares al plano axial de la imagen. Esta técnica proporciona una información diagnóstica abundante que es exacta, detallada y específica. normalmente es necesaria una plantilla diagnóstica para aprovechar toda la ventaja de esta técnica. La plantilla diagnóstica permite al odontólogo incorporar el plan de tratamiento tridimensional del resultado protésico final al examen de las imágenes, evaluar la anatomía del paciente relacionada con los lechos implantológicos propuestos, la estética y la oclusión; y grabar y transmitir estos datos al paciente en el momento de la cirugía. La TC permite la identificación de la enfermedad, la determinación de cantidad y calidad óseas, la identificación de las estructuras críticas en las regiones propuestas, y la determinación de la posición y orientación de los implantes dentales. Por ello, la TC es capaz de determinar los cinco objetivos radiológicos de las imágenes implantológicas prequirúrgicas (cuadro 3-10; v. cuadro 3-2).
Tipos de escáneres TC
Médico
En los departamentos de radiología médica, el escáner TC es la modalidad de imagen diagnóstica más común para evaluar los tejidos blandos y duros. La tecnología en la imagen médica de TC ha avanzado significativamente desde su introducción, y su empleo aumenta a una media de entre el 15 y el 20 % anual. Los avances en la velocidad y calidad de la imagen fueron evidentes a principios de la década de 1990 con el advenimiento de los escáneres TC espirales/helicoidales. En cualquier caso, desde su introducción en 1998, los multicapas (detector TC de múltiples hileras) han revolucionado el campo de la tomografía TC médica. Estas unidades de barrido TC son máquinas tomográficas que están clasificadas como máquinas de 4-, 8-, 12-, 16-, 3 2- y 64- cortes. El número de cortes corresponde al número de veces que el haz de rayos X rota alrededor de la cabeza del paciente para adquirir los datos TC. Los valores TC, o unidades de Hounsfield, se reconstruyen entonces matemáticamente y son formateados en imágenes. En cualquier caso, al consistir estas imágenes en una serie de imágenes incrementadas agrupadas conjuntamente, las capas espirales de la TC producen unas imágenes reconstruidas «medias» basadas en múltiples rayos X que atraviesan el área escaneada. Con esta reconstrucción de imágenes, existe un pequeño espacio entre cada corte, lo que contribuye a un error inherente a los escáneres médicos.
En la década de 1980, la reconstrucción de los cortes de sección de las imágenes de TC mejoró drásticamente el diagnóstico y la planificación del tratamiento en la implantología oral. Estas imágenes reformateadas permitieron la evaluación en tres dimensiones de las estructuras vitales y de la anatomía oral relacionada. En cualquier caso, aunque estos adelantos ampliaron las habilidades diagnósticas, existían deficiencias inherentes a los escáneres médicos empleados para propósitos dentales. Al no estar desarrollados los escáneres médicos para el reformateo dental, existían errores inherentes como la distorsión, magnificación, y problemas de posicionamiento que conllevaban a inexactitudes en el momento del reformateo. Adicionalmente, no existía información protésica que pudiese ser empleada para predecir el resultado protésico final. Esto se superó con el advenimiento de aparatos sofisticados de escaneo, modelos óseos estereolitográficos de resina67, programas interactivos, guías quirúrgicas generadas por ordenador, TC basados en sistemas de navegación guiados por imagen, lo que permitió establecer la colocación y resultado protésicos ideales.
Aunque se han remediado los problemas clínicos de los escáneres médicos, existen aún numerosos inconvenientes: exposición a la radiación y la disponibilidad. La cantidad de exposición a radiación de los escáneres médicos ha sido tópico de controversia durante muchos años y ha demostrado ser excesiva e innecesaria. Se ha postulado que la exposición a radiación de un escaneo involucrando la mandíbula y el maxilar es equivalente a aproximadamente 20 radiografías panorámicas. La disponibilidad, aunque haya mejorado de manera significativa con el paso de los años, sigue siendo un problema para las consultas en las zonas rurales.
Tomografía volumétrica de haz de cono
Para superar algunos de los inconvenientes de los escáneres médicos convencionales, se ha desarrollado recientemente un nuevo tipo de TC específico para las aplicaciones dentales. Este tipo de tomografía avanzada se denomina tomografía volumétrica de haz de cono (TVHC). Al estar asociada la TC convencional a una dosis tan elevada de radiación, esta técnica de imagen médica ha estado siempre sujeta a críticas significativas cuando se ha empleado para la planificación de un tratamiento implantológico. En cualquier caso, con el advenimiento de la tecnología de haz de cono, se han superado las limitaciones de la tomografía médica computarizada. Recientemente con la aprobación, por parte de la US Food and Drug Administration, de la tecnología de haz de cono, existen más posibilidades de elección para proporcionar más imágenes diagnósticas exactas junto con una fracción de la exposición a la radiación, y se ha cumplido con el principio ALARA (fig. 3-11). Los escáneres están hechos para una instalación y uso «en el gabinete», lo que permite al doctor y al paciente disfrutar de la conveniencia de las posibilidades de escanear in situ.

El primer escáner TVHC aprobado para su uso en la odontología fue el NewTom QR-DVT 9000 y ha sido sustituido recientemente por el NewTom 3G (fig. 3-12). Otros nombres de marcas están ya disponibles también. El tubo de rayos X en estos escáneres rota 360 grados y captura imágenes de la mandíbula y el maxilar en 36 segundos, de los que solo se necesitan 5,6 segundos para la exposición. El posicionamiento de los pacientes es similar al empleado con los escáneres médicos en donde el paciente está acostado sobre una camilla con la cabeza posicionada en un atrio abierto. Una película de exploración permite un posicionamiento adecuado y calibra la dosis de radiación. Las imágenes registradas se colocan sobre un chip de dispositivo de carga acoplada (o CCD) con una matriz de 752 x 582 píxeles y son convertidas entonces en cortes axiales, sagitales y coronales y permite reformatearlas a una visión tradicional de imágenes radiográficas así como imágenes tridimensionales de tejidos blandos u óseos (fig. 3-13).

Las dosis de radiación médicas frente a las de la tecnología de haz de cono. La media de dosis de radiación absorbida de un escáner TVHC (NewTom 3G) es de aproximadamente 12.0 mSv (micro sieverts). Esta dosis es el equivalente a cinco rayos X dentales D-speed, o el 25 % de la radiación de una típica radiografía panorámica. Adicionalmente, los escáneres médicos adquieren imágenes que emplean unas dosis de radiación de 40 a 60 veces las dosis de los TVHC (tabla 3-3).
La adquisición de imágenes de los equipos médicos frente a los escáneres de haz de cono. Los escáneres de TC médicos producen imágenes de planos transaxiales mediante el empleo de detectores sólidos y una fuente de rayos X que rota alrededor del paciente. Comparada con una radiografía dental convencional que es una imagen en dos dimensiones de varios planos superpuestos unos encima de otros, la imagen de TC tiene un mayor contraste con una reducción de la resolución espacial. Estas imágenes de TC son reconstruidas matemáticamente de estas imágenes incrementadas que producen imágenes medias reconstruidas. En cualquier caso, entre cada corte paralelo existe un pequeño espacio que contribuye a crear un error en los escáneres médicos. Estos espacios están ajustados en los algoritmos del programa que pueden resultar en errores de 1,0 a 1,5 mm.
Emplear los TVHC evita los errores de los escáneres médicos por la acumulación de datos de una rotación de 3 60 grados alrededor de la cabeza del paciente. Los algoritmos en los escáneres TVHC son muy predecibles porque están exentos de cualquier «espacio», de ahí que se eliminen la distorsión y la magnificación. Los márgenes de error en los TVHC son inferiores a 0,1 mm. Numerosos estudios han demostrado que la tecnología de haz de cono es más exacta que los TC médicos convencionales.
Las ventajas de las imágenes de TC son numerosas, con la magnificación siendo casi del 0 % sin superposición alguna de las imágenes y con una distorsión mínima. La densidad del hueso puede valorarse también exponiendo todas las imágenes como unidades Hounsfield. Al comparar la TC con otros tipos de modalidades radiológicas, la TC ha demostrado ser superior en la identificación de estructuras vitales y en el cálculo de las medidas de distancias76 (v. cuadro 3-10).
Tomografía computarizada interactiva
Uno de los adelantos más significativos en la TC es la TCI interactiva, que dirige muchas de las limitaciones de la TC. La TCI es una técnica que se desarrolló para crear un puente sobre la separación existente en la transferencia de información entre el radiólogo y el clínico. Esta técnica permite al radiólogo transferir el estudio de imagen al clínico como un archivo de ordenador que le permite observar e interaccionar sobre el estudio de imagen con un ordenador personal. El ordenador del odontólogo se transforma en una estación de trabajo radiológica diagnóstica con herramientas para medir la longitud y anchura de los alveolos, medir la calidad ósea, y cambiar la ventana y nivel de la escala de grises del estudio para aumentar la percepción de las estructuras críticas. Se proyectan y referencian imágenes axiales, cortes de sección, panorámicas, y tridimensionales de manera que el odontólogo puede apreciar la misma posición o región de la anatomía del paciente en cada una de las imágenes. Se pueden seleccionar regiones de la anatomía del paciente para proyectarlas normalmente, con magnificación, o con un número de representaciones de escala de grises que faciliten la apreciación de la anatomía, de las estructuras o de la enfermedad.
Una característica importante de la TCI es que el odontólogo y el radiólogo pueden llevar a cabo cirugía electrónica (CE) seleccionando y colocando cilindros de tamaño arbitrario que simulan la forma de la raíz de los implantes en las imágenes. Con una plantilla diagnóstica adecuadamente diseñada la CE puede llevarse a cabo para desarrollar electrónicamente la planificación del tratamiento del paciente en tres dimensiones. Los implantes electrónicos pueden colocarse en posiciones y orientaciones arbitrarias unos respecto de los otros, de los alveolos, de las estructuras críticas, y de la oclusión prospectiva y de la estética. La cirugía electrónica y la TCI permiten el desarrollo de una planificación de tratamiento en tres dimensiones que se integra en la anatomía del paciente y puede ser visualizado antes de la cirugía por miembros del equipo implantológico y el paciente para su aprobación o modificación. La TCI permite la determinación de la calidad ósea adyacente a los lechos implantológicos prospectivos (figs. 3-14 a 3-16). Una vez determinados con exactitud el número y tamaño de los implantes, junto con la densidad ósea en los sitios implantológicos propuestos, el odontólogo puede determinar con exactitud las características de los implantes antes de la cirugía.

El primer paso en el procedimiento de la TCI son las impresiones para los modelos de estudio. Con el empleo de estos modelos, se completa un encerado diagnóstico de acuerdo con la posición ideal de los dientes ausentes en cuestión haciendo énfasis en la prótesis final. Partiendo del encerado diagnóstico, se fabrica una plantilla radiopaca que el paciente llevará durante el escaneo. Esta plantilla diagnóstica permitirá transferir el posicionamiento ideal de los dientes al examen radiográfico.
Para la tomografía convencional y la TC, el posicionamiento de los dientes está integrado en una férula radiológica de escaneo hecha de material radiopaco. Esto se puede llevar a cabo mediante una plantilla acrílica cubierta de sulfato de bario, marcadores gutapercha, o una dentadura radiopaca. Estas férulas radiopacas pueden entonces ser modificadas para su uso como plantillas quirúrgicas.
La TCI es la técnica de imagen más exacta para la imagen implantológica y la cirugía, pero con algunas limitaciones. La ES permite la colocación de implantes electrónicos en la imagen de estudio, pero el afinamiento y la orientación relativa exacta de las posiciones de los implantes son difíciles y engorrosos de conseguir. De hecho, tres implantes consecutivos pueden requerir un paralelismo y un espaciamiento interproximal de 2,7 mm. El odontólogo puede tener que luchar para conseguir un espaciamiento y orientación relativos exactos con la ES y la TCI. En la TCI es difícil apreciar el paralelismo empleando imágenes ortogonales más que con las tridimensionales. En este caso, la orientación del implante debe ser pospuesta hasta tener la orientación desarrollada con la plantilla diagnóstica más que con la obtenida de las imágenes. La ejecución del plan puede ser difícil, una vez que se haya desarrollado el plan de tratamiento con la TCI y la ES y lo hayan aprobado el equipo implantológico y el paciente. La exactitud y precisión del plan de tratamiento obtenido con la TCI y la ES en relación con la posición de los implantes, el tamaño, la orientación, el espaciamiento relativo, la relación espacial con las estructuras críticas, la estética propuesta y la oclusión se transforman en el mayor reto en el momento de la cirugía. El plan de tratamiento puede requerir las posiciones de los implantes con una exactitud de décimas de milímetros y la orientación con un par de grados. La in formación del plan al paciente en el momento de la cirugía puede transmitirse mediante una simple visualización y comprensión por parte de un cirujano experimentado y hábil, empleando las posiciones y orientaciones obtenidas de la TCI y la ES para convertir la férula diagnóstica en una férula quirúrgica, o bien para elaborar con los datos digitales de la TCI y la ES una férula quirúrgica estereotáctica tridimensional generada por ordenador.
Guías quirúrgicas
SurgiGuides (Materialise NV, Glen Bumie, Md.) son guías de perforación generadas por ordenador fabricadas mediante el procedimiento de estereolitografía. El concepto de SurgiGuide se basa en la planificación del tratamiento prequirúrgico empleando el programa Simplant para el posicionamiento ideal de los implantes. Estas guías con los diámetros de fresados de osteotomía quirúrgica secuenciados pueden ser osteosoportadas, dentosoportadas o mucosoportadas. Los SurgiGuides tienen tubos metálicos cilindricos que se corresponden con la preparación de osteotomía deseada y los diámetros de taladros específicos. El diámetro del tubo de perforación suele ser 0,2 mm más ancho que la fresa correspondiente, de ahí la poca probabilidad de desviar la angulación.
Los datos clínicos y los estudios han demostrado que estas guías quirúrgicas estereolitografiadas asistidas por ordenador han mostrado una mejora en la colocación del implante y que estas guías permiten una translación precisa de un plan de tratamiento predeterminado directamente al terreno quirúrgico (v. cap. 1 3).
Plantillas de guía quirúrgica basadas en la TC y sistemas de navegación
La tecnología avanzada ha introducido sistemas de guía para facilitar los procedimientos de colocación de implantes dentales durante la cirugía (v. cap. 13). Estos sistemas permiten transmitir el plan de tratamiento prequirúrgico al paciente, indicando por tanto cuando hay una desviación de los parámetros de perforación predeterminados. De ahí que la trayectoria y el trayecto de la secuencia de perforación se hagan en la localización exacta de la posición previamente planeada.
Numerosos estudios clínicos e informes de casos han dado importancia al uso de las imágenes dentales de TC con férulas de guía quirúrgica. Los autores de estos estudios han mostrado un aumento de la exactitud y precisión del procedimiento quirúrgico que facilita la cirugía en las localizaciones anatómicas.
Imágenes de resonancia magnética
Las imágenes de resonancia magnética son una técnica de imagen de TC que produce imágenes en cortes finos de tejido con una excelente resolución espacial. Esta modalidad de imagen desarrollada en 1972 por Lauterbur emplea una combinación de campos magnéticos que generan imágenes de los tejidos del cuerpo sin el empleo de radiación ionizante. La Rm permite una completa flexibilidad en el posicionamiento y ángulo de las secciones de imágenes y puede reproducir múltiples cortes simultáneamente.
Las imágenes digitales de RM se caracterizan por los vóxeles con una resolución en un solo plano medida en píxeles (512 x 512) y milímetros y un espesor de sección medido en milímetros (de 2 a 3 mm) para las adquisiciones de imágenes de alta resolución. Las secuencias de imágenes empleadas para obtener imágenes de resonancia magnética pueden variarse para obtener imágenes de tejido adiposo, de agua o equilibradas de la anatomía del paciente. Las imágenes creadas por la RM son el resultado de señales generadas por protones de hidrógeno en agua o tejido adiposo de tal manera que el hueso cortical aparecerá en negro (radiolúcido) o como no emitiendo señal. El hueso esponjoso generará una señal y aparecerá blanco ya que contiene médula grasa. Las restauraciones metálicas no producirán dispersión y por tanto aparecerán como imágenes en negro. Por tanto la RM se ha mostrado menos propensa a los artefactos de las restauraciones dentales, prótesis e implantes dentales que los escáneres de TC. Al igual que la TC, la Rm es una técnica cuantitativamente exacta con secciones tomográficas exactas y sin distorsión.
Numerosos autores han sugerido el empleo de la Rm para la evaluación de implantes dentales y para la planificación del tratamiento. Adicionalmente, las estructuras se visualizan con facilidad, tales como el canal dentario inferior y los senos maxilares. En los casos en los que el canal dentario inferior no puede ser diferenciado por la tomografía convencional o computarizada, la Rm podría ser una alternativa viable al estar el hueso trabecular bien diferenciado del canal dentario inferior. En los casos de deficiencia nerviosa o de infección (osteomielitis), la Rm puede ser empleada por otras ventajas adicionales que incluyen la diferenciación de los tejidos blandos respecto de la TC. Los estudios han mostrado que la exactitud geométrica del nervio mandibular con la Rm es comparable a la TC y es un método de imagen exacto para la planificación del tratamiento implantológico dental.
La RM se puede emplear en el diagnóstico por imagen implantológico como técnica de imagen secundaria cuando las técnicas de imágenes primarias como la tomografía compleja, la TC, o la TCI fracasan (cuadro 3-11). La tomografía compleja fracasa en diferenciar el canal alveolar inferior en el 60% de los casos de implantes, y laT C lo hace en aproximadamente el 2% de los casos. El fracaso en diferenciar el canal alveolar inferior puede ser causado por un hueso trabecular osteoporótico y un canal dentario inferior pobremente corticalizado. La RM visualiza la grasa en el hueso trabecular y diferencia el canal dentario inferior del haz neurovascular del hueso trabecular adyacente. Los protocolos de doble exploración de la RM90 con un volumen y una imagen de corte transversal orientados producen imágenes ortogonales contiguas cuantitativas y permiten la diferenciación espacial entre las estructuras críticas y los lechos implantológicos propuestos. En cualquier caso, existen numerosas desventajas en el empleo de la Rmpara la odontología implantológica. La RM no es útil en caracterizar la mineralización ósea o como técnica de alto rendimiento en la identificación ósea o de la enfermedad. No existen programas de reformateo disponibles para su empleo como puntos de referencia. Existe una lista de las demás desventajas (v. cuadro 3-11).
Imágenes radiográficas de estructuras vitales en implantología oral
Foramen mentoniano y canal mandibular
Cuando se evalúa la mandíbula posterior para la colocación de implantes, la posición del canal mandibular y del foramen mentoniano deben ser identificadas para evitar traumatismos en el nervio alveolar inferior. En la odontología implantólogica, las radiografías en dos dimensiones como las imágenes periapicales y panorámicas se siguen empleando de manera rutinaria como únicas determinantes de las mediciones óseas respecto de estas estructuras vitales. En cualquier caso, estas vistas de imágenes tienen numerosas desventajas siendo la falta de identificación bucolingual la más significativa. Al evaluar con radiografías en dos dimensiones las distancias alrededor de estas estructuras anatómicas, el posicionamiento tiene un impacto significativo en las imágenes intraorales de las estructuras vitales. Debido a la curvatura de la mandíbula, se deben tomar grandes precauciones con el ángulo del haz de rayos X para la radiografía intraoral. El haz de rayos X debe ser perpendicular a la tangente del área en cuestión entre el foramen y los dientes más anteriores. Si las imágenes son tomadas con una orientación oblicua desde mesial, las medidas se verán acortadas y si la orientación es oblicua desde distal, las medidas aparecerán alargadas (fig. 3-17).

Al evaluar la posición correcta del foramen mentoniano empleando radiografías en dos dimensiones, deben tomarse precauciones para evaluar la posición del foramen actual. Existen estudios que han demostrado que en algunas radiografías en dos dimensiones, existe una falta de identificación a causa de una densidad radiográfica demasiado alta. Este estudio establece que el foramen mentoniano es fácilmente visible en radiografías sencillas; en cualquier caso, a medida que aumenta la densidad por encima de los 2,8, el área del foramen se vuelve menos aparente.
Otros estudios muestran una falta de identificación a causa de hueso cortical alrededor del canal mandibular. Al evaluar el foramen mentoniano en radiografías periapicales, los estudios han mostrado que en el 50 % de las radiografías periapicales, el foramen mentoniano no es visible.
Numerosos estudios que incluyen evaluaciones sobre cráneos secos concluyen que el foramen mentoniano está ausente en aproximadamente el 12% de las radiografías panorámicas.
De manera adicional, la localización del foramen mentoniano en las radiografías periapicales y panorámicas es inexacta. Se ha demostrado que aunque el foramen mentoniano pueda ser visible en las Panorámicas, de manera más consistente que en las radiografías periapicales, la posición radiográfica de esta estructura es dependiente del posicionamiento mandibular en la unidad panorámica. Además, el punto radiográfico destacado representado en estas radiografías panorámicas, representa en cualquier caso una porción del canal mentoniano cuando deja el canal mandibular, no siendo el foramen mentoniano el agujero verdadero. En las mandíbulas edéntulas, el riesgo de error aumenta considerablemente al haber un incremento de la reabsorción de cresta alveolar.
Numerosos estudios han demostrado que los métodos de identificación más exactos se obtienen con la tomografía convencional y computarizada (fig. 3-18). Los métodos más exactos para visionar el canal mandibular y el foramen mentoniano son las radiografías tridimensionales. Estas imágenes pueden modificarse en el contraste, brillo, y la escala de grises para ayudar a representar estas estructuras. De ahí que la TC haya demostrado ser la más exacta y está muy recomendada cuando se necesitan una localización y medidas exactas para el canal dentario inferior y el foramen mentoniano.

Cuando el canal dentario inferior o el foramen mentoniano no se observan en la radiografía, la causa suele ser la superposición de las estructuras en el lado contralateral, o una falta de hueso cortical alrededor del canal. Existen estudios que han demostrado que en los casos en los que el canal o el foramen no puedan observarse, el inclinar la cabeza del paciente aproximadamente 5 grados hacia abajo en relación al plano horizontal de Franckfort permite ver estas estructuras anatómicas en el 91% de las radiografías.
Concavidades linguales mandibulares
Al emplear las radiografías en dos dimensiones para evaluar la cantidad de hueso para la colocación del implante, pueden aparecer complicaciones significativas a causa de una sobrestimación del hueso. Cuando existe una atrofia ósea avanzada en la mandíbula posterior, pueden producirse las concavidades linguales (fig. 3-19). Incluso aunque exista una cantidad adecuada de hueso en las radiografías en dos dimensiones, este puede ser engañoso. Un estudio realizado por Quirynen ha demostrado un 2,4 % de predominancia de las concavidades con una profundidad media de 6 mm (± 2,6 mm). En el interior de estas concavidades, o fosas glandulares submandibulares, pueden estar presentes ramas de la arteria facial. La sobrestimación de la cantidad de hueso puede conllevar a la perforación de la tabla lingual en el momento de perforar la osteotomía. Esto puede resultar en problemas de sangrado lingual que pueden ser una amenaza de por vida. Se recomiendan los cortes de sección tomográficos cuando se necesite una valoración de la mandíbula posterior.

La rama mandibular (sitio donante para autoinjerto)
El área de la rama mandibular se ha vuelto un sitio muy popular de donación para un autoinjerto óseo. Esta área de la mandíbula es extremadamente variable en cuanto a la cantidad de hueso presente. Las radiografías estándar para la prevaloración incluyen imágenes panorámicas en las que debería observarse la localización del oblicuo externo y el canal mandibular. En cualquier caso, la valoración en dos dimensiones de esta área puede ser muy difícil de emplear para una interpretación adecuada de la cantidad de hueso huésped presente. El empleo de la tomografía, preferentemente la computarizada, proporciona una representación más exacta. La toma de medidas exactas puede acompañarse también del empleo de modelos óseos en tres dimensiones que representen la anatomía fidedigna presente (fig. 3-20).

Sínfisis mandibular
El área de la sínfisis mandibular es un área anatómica muy crítica para la implantología oral. Esta región no solo es una zona de colocación de implantes en los pacientes edéntulos mandibulares sino que se emplea también como sitio donante para autoinjertos óseos. Cuando se emplean las imágenes en dos dimensiones, pueden producirse errores inherentes a causa de las concavidades linguales. Es relativamente común sobrestimar en las radiografías panorámicas la altura de hueso disponible en la región anterior. Por ello se recomienda una técnica de imagen que represente la verdadera cantidad de hueso disponible. Se pueden emplear radiografías, incluyendo las cefalométricas laterales y las TC convencionales (fig. 3-21).

Senos maxilares
Actualmente, no existe otra modalidad radiográfica que dé más información sobre los senos paranasales que la TC, que es el estándar oro para la observación de las estructuras óseas y la evaluación de patología en los senos. Este tipo de radiografía proporciona mucha más información detallada en cuanto al predominio y la posición de tabiques104, de la anatomía del seno maxilar, y la detección de patología sinusal en comparación con las imágenes de películas convencionales.
Planificación de tratamiento prequirúrgico recomendada
En el pasado, la radiografía panorámica era el estándar oro para la planificación del tratamiento para el implante dental. Al igual que las radiografías periapicales, estas técnicas de imagen presentan numerosas desventajas que han sido analizadas previamente. El inconveniente más significativo de estas radiografías es que son en dos dimensiones. Para casos más complejos, o para cuando se necesita una representación y localización más exactas de las estructuras vitales, se debería integrar la TC dentro de los procedimientos de imágenes previos al tratamiento.
Con la tecnología de TC y los programas interactivos, la planificación del tratamiento se ha vuelto una modalidad muy exacta para la cirugía implantológica dental. Puesto que la colocación óptima de los implantes dentales puede ser un desafío, los programas especiales interactivos junto con las plantillas generadas por ordenador han sido desarrollados para asistir al cirujano implantológico de cara al posicionamiento exacto. Se recomienda la evaluación de diagnóstico por imagen previa al tratamiento, a través de esta información y la evaluación de todas las modalidades de imágenes disponibles en la odontología implantológica, como se ilustra en el cuadro 3-12.
Imágenes intraoperatorias
El empleo de imágenes quirúrgicas ha cambiado dramáticamente la manera en que se completa la cirugía implantológica (cuadros 3-13 y 3-14). En el pasado las desventajas de las radiografías periapicales perioperatorias han condicionado un tiempo de inefíciencia. Para verificar el posicionamiento y localización de un sitio de osteotomía o para la identificación de una estructura vital, el procesamiento de una película de radiografía estándar puede llevar hasta 6 minutos. A causa de ello, los practicantes verificaban raramente el posicionamiento de las estructuras anatómicas durante la cirugía. Con la nueva tecnología radiográfica digital se consiguen imágenes instantáneas, permitiendo completar múltiples imágenes en una fracción de tiempo. Las ventajas adicionales de las imágenes digitales intraoperatorias incluyen la manipulación de las imágenes, su calibración, mediciones exactas y el posicionamiento, y el mantenimiento de un protocolo aséptico (figs. 3-22 y 3-23).

Imágenes posquirúrgicas inmediatas
Para emplear una imagen de base para evaluarla frente a futuras películas, se debería de tomar una radiografía convencional (periapical o panorámica) de manera posquirúrgica (fig. 3-24). Se pueden emplear herramientas de imagen adicionales para evaluar una zona de seguridad alrededor de las estructuras vitales.

Imágenes del pilar dental y del componente protésico
En el momento de hacer una evaluación para la transferencia de impresiones junto con la colocación del componente del pilar de dos piezas, se deberían tomar radiografías para verificar que la adaptación sea segura. Se deberían emplear radiografías intraorales debido a su alta resolución geométrica para evaluar cualquier discrepancia de ajuste.
En cualquier caso, se debe de tomar la precaución de que el haz de rayos X sea dirigido hacia un ángulo correcto del eje longitudinal del implante. Incluso una leve angulación permitiría que no se detectara un pequeño espacio. Cuando el posicionamiento para las radiografías periapicales es difícil, se pueden emplear radiografías de aletas de mordida o panorámicas (figs. 3-25 y 3-26).

Imágenes posprotésicas
No existen evidencias científicas concluyentes acerca del efecto negativo de una radiación ionizante de baja intensidad sobre el metabolismo y cicatrización del hueso. En cualquier caso las radiografías no deberían hacerse indiscriminadamente. Solo se deberían emplear las imágenes adicionales cuando se necesite información adicional o cuando se identifique un problema. Una radiografía panorámica es la técnica de imagen ideal para los implantes múltiples, cuando se investigan las complicaciones después de la colocación de un implante. En el caso de implantes unitarios, o cuando se necesita una información más detallada acerca de un implante observado en la panorámica, la radiografía periapical es la imagen de elección.
Es necesario hacer una radiografía posprotésica para utilizarla como imagen básica para futuras evaluaciones del ajuste del componente y también para la evaluación del nivel de hueso marginal. Se deben tomar precauciones para asegurar que se ha llevado a cabo el ajuste adecuado de todos los componentes. Adicionalmente, debe determinarse el nivel de hueso marginal para futuras evaluaciones.
Imágenes de revisión y mantenimiento
Las dos ayudas diagnósticas más exactas para la evaluación del éxito del implante son la inmovilidad y la evidencia radiográfica de hueso adyacente al cuerpo del implante. Se deberían hacer radiografías de seguimiento o revisión después de 1 año de carga funcional y anualmente durante los 3 primeros años. múltiples estudios han demostrado que, durante el primer año, se observa una pérdida de hueso marginal y un mayor número de fracasos.
Evaluación de los cambios de hueso alveolar
En términos radiográficos, la pérdida o falta de integración se suele indicar como una línea radiolúcida alrededor del implante. En cualquier caso, se pueden hacer falsos diagnósticos cuando el tejido blando alrededor del implante no es suficientemente amplio para superar la resolución de la modalidad radiográfica empleada. Se pueden hacer también diagnósticos positivos falsos cuando se produce el «efecto de banda de Mach» como resultado de un área de menor densidad radiográfica adyacente a un área de alta densidad (implante), lo que resulta en un área más radiolúcida que la realmente presente. En cualquier caso, los estudios han demostrado que la posibilidad de producir un efecto de banda Mach es significativamente menor con los procesados digitales de imagen. Adicionalmente, la radiografía digital ha demostrado tener la ventaja respecto de otras radiografías convencionales en relación con la «mejora del borde», que es la habilidad de detectar un espacio entre el implante y el hueso alrededor suyo (fig. 3-27).

Debido a la variabilidad de los problemas dependientes del operador, se debería de emplear un protocolo estricto de control de calidad para mantener una calidad ideal de imagen en el tiempo. El posicionamiento adecuado junto con la documentación de kVp y los ajustes de mA deberían documentarse para futuras referencias.
Radiografías periapicales
En los exámenes radiográficos de revisión, el nivel de hueso marginal es comparado con las imágenes posprotésicas inmediatas. De ahí que la similitud radiográfica en cuanto a geometría, densidad y contraste sean primordiales. Las radiografías periapicales estandarizadas son esenciales para asegurar la exactitud. En cualquier caso, reproducir el posicionamiento es muy difícil. Se han documentado numerosos aparatos soporte para las radiografías, que se sujetan al implante, al pilar o a la prótesis para estandarizar la geometría de la imagen. Cuando se consiguen las proyecciones adecuadas, se observan claramente las roscas del implante a ambos lados del mismo. Si no se observan claramente las roscas en las radiografías, es necesario llevar a cabo modificaciones en el ángulo del haz. Si aparecen roscas difusas en el lado derecho del implante, entonces es que el ángulo del haz estaba demasiado alto. Si las roscas se ven difusas en el lado izquierdo, entonces el ángulo del haz estaba en una angulación inferior (fig. 3-28). Con las radiografías ampliadas digitalmente, se han postulado numerosas técnicas para medir los niveles óseos alrededor de los implantes. Las mediciones asistidas por computadora, las reglas, los calibradores y la evaluación de las roscas supraóseas, han demostrado obtener resultados altamente reproducibles.

Radiografías de aleta de mordida
En los casos en los que la fuente de rayos X no puede ser posicionada perpendicular al implante a causa de la anatomía oral o de una prótesis ya existente, deben hacerse las aletas de mordida horizontales o verticales para evaluar el área de la cresta ósea. Con esta proyección, el haz central es perpendicular al implante y al alveolo y la distancia objeto película es relativamente pequeña, por lo que se producen distorsiones muy pequeñas. La única limitación de las radiografías de aleta de mordida es que no se puede observar la porción apical.
Radiografía de sustracción
Las radiografías convencionales tienen un valor limitado si se producen cambios óseos alveolares mínimos; de ahí que las técnicas hayan sido desarrolladas para estandarizar la geometría de proyección de las radiografías para la evaluación.
Esta técnica, denominada radiografía digital De sustracción, permite superponer dos radiografías hechas en diferentes momentos una encima de la otra, dando como resultado una imagen que muestra las diferencias a nivel óseo.
La radiografía de sustracción requiere el uso del mismo posicionamiento y misma técnica de imagen entre las dos radiografías respecto de la fuente de rayos X, la posición del paciente y de la película, la exposición y el procesado de variables. Una vez sustraídas las imágenes, se dejará una imagen de sustracción que represente los cambios óseos entre las dos radiografías. Esta técnica ha demostrado ser la más exacta para observar la mineralización ósea y los cambios de volumen en comparación con la observación de las radiografías individuales originales. Con el advenimiento en las consultas de los sistemas de radiografía digitales, los programas especializados permiten llevar a cabo con facilidad las radiografías digitales.
Radiografías panorámicas
Las radiografías panorámicas no suelen emplearse de manera rutinaria para la evaluación de los niveles óseos y los exámenes de las revisiones. Al emplear las radiografías panorámicas pantallas de intensificación, la resolución no es tan buena como en las radiografías intraorales. En cualquier caso, para el posicionamiento de la película o cuando se necesita evaluar múltiples implantes, la radiografía panorámica es la técnica de imagen escogida.
Tomografía computarizada
Las radiografías en dos dimensiones (periapicales, panorámicas) tienen limitaciones en la medida en que no ofrecen información bucolingual sobre el estado presente del hueso alveolar. La TC proporciona una información en tres dimensiones sobre el estado óseo alrededor del implante.
La resolución y la dispersión han sido siempre un problema en la evaluación de los implantes; en cualquier caso, esto se ha mejorado considerablemente con el advenimiento de la tecnología de haz de cono.
La TC puede ser de gran beneficio en la evaluación del pronóstico del injerto de elevación del seno. Se puede determinar una información importante sobre la maduración ósea, con la ventaja de la evaluación de densidad ósea efectuada empleando las unidades de Hounsfield. Esta modalidad radiográfica es también la imagen escogida para la evaluación de la infección de los senos o de complicaciones de sinusitis posquirúrgicas (fig. 3-29).

Fabricación de férulas diagnósticas
El objetivo de las férulas radiográficas diagnósticas es de incorporar el plan de tratamiento propuesto del paciente en el examen radiográfico. Esta práctica requiere el desarrollo de una tentativa de plan de tratamiento antes del procedimiento de imagen. De una manera ideal, los modelos de diagnóstico montados, los encerados diagnósticos, el acuerdo entre los facultativos acerca del número y localización de los implantes dentales propuestos, y la autorización previa del tratamiento propuesto por parte del paciente hacen de la férula diagnóstica una herramienta práctica y en numerosas ocasiones el factor determinante en el plan de tratamiento final del paciente. El procedimiento de imagen preprotésica permite la evaluación del lecho implantológico propuesto en la posición ideal y con la orientación identificada por los marcadores radiográficos incorporados en la férula.
Tomografía computarizada
La precisión de la TC permite el uso de una férula diagnóstica compleja y precisa. Aunque la TC puede identificar la cantidad de altura y ancho óseos disponibles de manera precisa para un implante en un sitio implantológico propuesto, la posición y orientación exactas del implante, lo que determina en numerosas ocasiones la longitud y diámetro del implante, suelen estar dictadas por la prótesis. Como tal, una férula diagnóstica empleada durante la imagen es más beneficiosa. Las superficies de las restauraciones propuestas y la posición y orientación exacta de cada implante dental debería ser incorporado en la férula diagnóstica de TC. Los diseños de las férulas de diagnóstico de TC han evolucionado desde la simple reproducción de la forma del encerado en un vaciado a una reproducción en acrílico del encerado diagnóstico y a otros tipos sofisticados fabricados con dentaduras radiopacas específicamente diseñadas. La férula acrílica procesada puede ser modificada cubriendo la restauración propuesta con una fina película de sulfato de bario y rellenando un agujero taladrado en la superficie oclusal de la restauración con gutapercha. Las superficies de la restauración propuesta se vuelven entonces radiopacas en el examen de la TC, y se puede identificar la posición y orientación del implante propuesto por la prolongación radiopaca de gutapercha dentro de la restauración propuesta.
La férula hecha al vacío presenta un número de variaciones. Otro diseño posible consiste en cubrir las restauraciones propuestas con una fina película de sulfato de bario. Aunque la restauración propuesta se hace evidente en el examen TC, la posición y orientación ideal del implante propuesto no se identifica con este diseño. Otro diseño consiste en rellenar los espacios de la restauración propuesta en el modelo vaciado del encerado diagnóstico con una mezcla del 10% de sulfato de bario y del 90 % de acrílico de polimerización en frío. Esto da como resultado una apariencia de diente radiopaco de las restauraciones propuestas en el examen TC, lo que iguala al esmalte y a la dentina del diente natural pero no identifica la posición y orientación exacta de los sitios implantológicos propuestos. El siguiente diseño modifica el previo perforando un agujero de 2 mm a través de la superficie oclusal de la restauración propuesta en la posición y orientación ideales con respecto al lecho implantológico que será preparado con una fresa helicoidal. Este procedimiento consigue una apariencia de diente natural de la restauración propuesta en el examen TC en el que todas las superficies de la restauración son evidentes junto con un canal radiolúcido de 2 mm a través de la restauración, lo que identifica precisamente la posición y orientación del implante propuesto.
Recientemente se han comercializado dientes radiopacos diseñados específicamente para la fabricación de férulas diagnósticas para restauraciones fijas y removibles implantosoportadas. El material radiopaco (sulfato de bario) es un componente integral del escáner dental de la TC (del 66 al 67 %) (fig. 3-30) (Ivoclar, O rthotac, Schaan, Liechtenstein).

Las ventajas de los dientes prefabricados es que hacen ganar tiempo, se colocan fácilmente, proporcionan una consistente radiopacidad alta, tienen moldes que se corresponden con los dientes protésicos empleados en la restauración final, y se pueden adherir fácilmente al material de base de la férula. La férula diagnóstica puede ser transformada entonces en una férula quirúrgica.
Tomografía
Las férulas diagnósticas para los exámenes tomográficos son en general menos precisas que los requeridos en los exámenes de TC. La información diagnóstica obtenida de los exámenes tomográficos no es tan detallada o precisa como la obtenida de los exámenes de TC. La férula tomográfica más sencilla se produce obteniendo un vaciado del modelo diagnóstico del paciente con bolas calibradas de 3 mm colocadas en las posiciones propuestas para los implantes. Se producen un número de tomografías de la región implantológica identificando el lecho implantológico por aquel en el que la bola de contraste se encuentra nítidamente enfocada. Las bolas de contraste pueden servir además como medida de la magnificación del sistema de imagen, aunque la magnificación de la mayoría de los sistemas de imágenes tomográficas es fija y conocida. Las plantillas que incorporan cilindros o tubos metálicos en los lechos implantológicos propuestos permiten la evaluación de las tomografías para la orientación además de la posición del implante propuesto. La plantilla diagnóstica empleada en los exámenes TC, que es producida a partir del vaciado de un modelo diagnóstico del paciente con una capa de bario en la restauración propuesta y con alambres ortodóncicos para indicar la orientación y posición del implante propuesto, se puede emplear también para la tomografía y proporciona la mayor información diagnóstica de todas las plantillas descritas.
Imágenes en perspectiva del implante
El propósito de las imágenes de los implantes es de asistir al equipo implantológico para restaurar la oclusión y función del paciente proporcionando una información diagnóstica exacta y fiable de la anatomía del paciente en los lechos implantológicos propuestos. La TC y la TCI completan más objetivos de las imágenes preprotésicas que la radiografía periapical, la radiografía cefalométrica y la radiografía panorámica; asimismo determinan la cantidad absoluta de hueso, la calidad ósea y la relación con las estructuras críticas con un nivel de precisión considerablemente mayor que la tomografía, la radiología periapical, o la radiología panorámica. De hecho, en un 9 5 % de casos en los que se emplea la TC se determina la cantidad de hueso con una exactitud de ±1 mm, por solo un 30 % de los casos en los que se emplea la radiografía panorámica. Aún más, en los casos mandibulares, el canal dentario inferior no puede ser determinado en más del 30 % de los casos en los que se emplean técnicas periapicales, panorámicas, o tomográficas mientras que la TC puede identificar el canal dentario inferior en el 100% de los casos. Con el empleo de la TCI y la ES, el equipo implantológico puede determinar directamente la calidad ósea en los lechos implantológicos propuestos y desarrollar un plan de tratamiento que puede convertirse en una guía quirúrgica estereotáctica para asistir en la cirugía a la ejecución del plan de tratamiento. Para las imágenes quirúrgicas, deberían escogerse las modalidades de radiografía periapical o periapical digital. Aunque la radiografía periapical digital ofrece muchas alternativas convenientes a la película periapical analógica, ninguna de estas modalidades radiográficas parece tener una ventaja diagnóstica significativa. En cualquier caso, la SR digital temporal ofrece una ventaja diagnóstica considerable sobre la radiografía periapical para determinar los cambios en el volumen óseo o la mineralización para las imágenes implantológicas posprotésicas. Desafortunadamente, la SR no suele estar disponible de manera conveniente en las consultas clínicas generales, haciendo que la modalidad escogida para las imágenes posprotésicas sea la radiografía periapical, excepto en los casos agudos de fracaso implantológico, parestesias o infecciones, donde la TC ofrece mayores ventajas.