Planificación del tratamiento: factores de fuerza relacionados con las condiciones del paciente
El estrés biomecánico es un factor de riesgo significativo en la odontología implantológica. Su magnituDestá directamente relacionada con la fuerza. Así, cualquier aumento de un factor de fuerza dental magnifica el riesgo de las complicaciones relacionadas con el estrés. Las diversas condiciones de los pacientes originan distintas cantidades de fuerza en cuanto a magnitud, duración, tipo y dirección. Además, algunos factores pueden multiplicar o aumentar el efecto de estas otras condiciones. Una vez determinada la opción protésica y las posiciones clave de los implantes, se deberían evaluar y considerar los niveles potenciales de fuerza que se ejercerá sobre la prótesis, por si fuera necesario modificar todo el plan de tratamiento en su conjunto. Se han observado algunos factores durante la evaluación dental, que pronostican fuerzas adicionales sobre los futuros pilares de los implantes. Tanto la supervivencia inicial de los implantes, la supervivencia ante la carga, la pérdida de la cresta ósea marginal, la incidencia de pérdida de pilares o de tomillos protésicos, las restauraciones no retentivas, la fractura de la porcelana y la fractura de los componentes, se ven influidos por los factores de fuerza.
El cuadro 6-1 representa los factores primarios de los pacientes que afectan al entorno de estrés del implante y la prótesis.
Fuerza de masticación normal
Las mayores fuerzas naturales que se ejercen sobre los dientes, y por tanto, sobre los implantes, ocurren durante la masticación. Estas fuerzas son básicamente perpendiculares al plano oclusal en las regiones posteriores, tienen una corta duración, ocurren solo durante breves períodos de tiempo al día y varían en un rango de entre 2,5 a 22 kg en los dientes naturales. Se ha medido la fuerza real ejercida sobre cada diente durante su función con calibradores de tensión en los inlays. Se necesitó una fuerza de 28 psi para masticar una zanahoria cruda y una de 21 psi para la carne. El tiempo real durante el que se aplican las fuerzas masticatorias sobre los dientes es de alrededor de 9 minutos al día. La musculatura perioral y la lengua ejercen sobre los dientes o implantes una fuerza horizontal más constante y débil. Estas fuerzas alcanzan de 3 a 5 psi al tragar. Una persona traga mientras está despierto 25 veces a la hora y 10 veces por hora mientras duerme, lo que supone un total de 480 veces al día. Por esto, las fuerzas naturales en contra de los dientes inciden, principalmente, a lo largo de su eje longitudinal, son inferiores a los 30 psi y suponen menos de 30 minutos para todas las fuerzas normales de la deglución y masticación (cuadro 6-2). Se han medido las fuerzas de la masticación sobre los puentes implanto-soportados con un resultado similar al de los dientes naturales.
La fuerza máxima de oclusión difiere de la fuerza de masticación, varía mucho entre los individuos y depende del estado de la dentición y de la musculatura masticatoria. Ha habido muchos intentos de cuantificar la máxima fuerza normal de oclusión. En 1681, Borelli colgó pesos suspendidos con hilos sobre los molares con la mandíbula abierta. La carga máxima registrada con la que la persona todavía era capaz de cerrar la boca varió entre los 65 y los 220 kg. Se registró una fuerza de 82 kg con un dinamómetro gnatológico, que fue el primer instrumento de medida de la fuerza oclusal, desarrollado por Patrick y Dennis en 1892. Black mejoró este primer diseño y registró una medición de fuerzas de aproximadamente 85 kg. Los recientes estudios indican que las fuerzas normales de mordida vertical máxima sobre dientes o implantes pueden variar entre los 45 y los 550 psi. Las fuerzas del lado masticatorio y del contralateral parecen ser muy similares en cuanto a amplitud8 (tabla 6-1).
Debe recalcarse que las fuerzas de oclusión máximas no han sido registradas en nuestros pacientes durante un uso rutinario. Sin embargo, hay ciertas condiciones que aumentan el riesgo de sobrecarga oclusal sobre las prótesis implantológicas. Merecen una mención especial las fuerzas parafuncionales del bruxismo y apretamiento.
Parafunción
Las fuerzas parafuncionales sobre los dientes o implantes, se caracterizan por una oclusión repetida o continuada y se sabe desde hace mucho que es dañina para el sistema estomatognático. Además, estas fuerzas son más perjudiciales cuando se aplican sobre las prótesis implantológicas. La falta de una fijación rígida durante la curación es, a menudo, resultado de una parafunción sobre las prótesis soportadas sobre el tejido blando que cubre el implante sumergido. La causa más frecuente de fracaso, tanto precoz como tardío, de los implantes, después de una exitosa estabilidad quirúrgica, es la parafunción. Estas complicaciones ocurren con mayor frecuencia en el maxilar, debido a la disminución de la densidad ósea y al aumento en el momento de fuerza. Se debe valorar cuidadosamente la existencia de estas condiciones durante las primeras fases de la planificación del tratamiento.
Nadler ha clasificado las causas de parafunción o de contacto dental no funcional en las siguientes 6 categorías:
- Local.
- Sistémica.
- Psicológica.
- Ocupacional.
- Involuntaria.
- Voluntaria.
Los factores locales incluyen tanto la forma dental o la oclusión, así como los cambios en los tejidos blandos como ulceraciones o pericoronitis. Los factores sistémicos engloban parálisis cerebral, epilepsia y discinesia relacionada con fármacos. Las causas psicológicas son las más frecuentes e incluyen el alivio de la tensión emocional o la ansiedad. Los factores ocupacionales se refieren a profesionales como los dentistas, atletas y trabajadores de precisión, así como a los costureros y músicos que desarrollan hábitos orales inadecuados. La quinta causa de fuerza parafim rional es el movimiento involuntario que provoca un sobreesfuerzo de la mandíbula, como el que sucede cuando se levantan objetos pesados o se frena repentinamente al conducir. Las causas voluntarias incluyen masticar chicles o lapiceros, agarrar el teléfono entre la cabeza y el hombro y fumar con pipa.
Los grupos parafuncionales presentados en este capítulo se dividen en bruxismo, apretamiento y el empuje o tamaño de la lengua. Normalmente, la literatura dental no suele identificar el bruxismo y el apretamiento como entidades separadas. Aunque algunos aspectos del tratamiento son similares, su diagnóstico y tratamiento presentan ciertas diferencias. Por tanto, se presentarán como entidades diferentes en esta discusión. Se va a categorizar la magnitud de la parafunción como nula, media, moderada o grave. El bruxismo y el apretamiento son los factores más críticos a evaluar en cualquier restauración implantológica. No se obtendrá un éxito a largo plazo si existe una grave parafunción de bruxismo o apretamiento. Por ello, el dentista debería siempre intentar diagnosticar la existencia de dichas condiciones.
Esto no significa que pacientes con una moderada o grave parafunción no deban ser tratados con implantes. Un médico trata a un paciente con una diabetes incontrolada. Sin embargo, y a pesar del tratamiento, el paciente puede que pierda la visión o se le tengan que amputar los pies. El tratamiento fallido del diabético no tiene por qué ser culpa del médico. Otro problema sería el no reconocimiento de la diabetes en los signos y síntomas obvios. Debido a que el paciente con una parafunción moderada o grave representa numerosos riesgos adicionales en la odontología implantológica, se debe ser consciente de estas condiciones y de los métodos para la reducción de sus efectos nocivos en todo el sistema relacionado con los implantes.
Bruxismo
El bruxismo, básicamente, se refiere al rechinamiento horizontal y no funcional de los dientes. Las fuerzas que representa son significativamente más elevadas que las cargas psicológicas normales masticatorias. El bruxismo puede afectar a los dientes, musculatura, articulaciones, hueso, implantes y prótesis. Estas fuerzas pueden ocurrir mientras el paciente está despierto o dormido y pueden generar una fuerza aumentada sobre el sistema durante varias horas al día. El bruxismo es el hábito oral más común. Ciertos estudios clínicos del sueño han evaluado el bruxismo nocturno y han encontrado que, aproximadamente, el 10% de estos pacientes presentan un movimiento obvio de la mandíbula con contactos oclusales. Más de la mitad de estos pacientes tienen desgastes oclusales que afectan a la estética. Solo un 8% de estos pacientes eran conscientes de su bruxismo nocturno, y únicamente un cuarto de sus parejas sabían de su hábito nocturno. La tirantez muscular en las mañanas se observó en menos de un 10% de las veces.
Un estudio sobre pacientes bruxistas con implantes demostró un 80 % de bruxismo mientras el paciente estaba durmiendo en las fases de sueño ligero que, si embargo, no causó su despertar. Por tanto, los pacientes bruxistas pueden o no tener un desgaste obvio dental que afecte a la estética; puede que bruxen por la noche, pero las personas con las que comparten la cama no se dan cuenta la mayoría de las veces; infrecuentemente presentan tirantez muscular cuando se despiertan; y normalmente desconocen su hábito oral. En otras palabras, el bruxismo nocturno es, a veces, difícil de diagnosticar.
La fuerza máxima de oclusión de los pacientes bruxistas es mayor que la media. Tal y como un experimentado levantador de peso puede levantar más peso, los pacientes que continuamente ejercitan sus músculos de la masticación desarrollan una mayor fuerza de oclusión. Un hombre que mastique chicles de parafina durante más de una hora al día durante un mes, puede aumentar su fuerza de oclusión de 118 a 140 psi en solo 1 semana. Tanto mascar chicle, como el bruxismo y el apretamiento pueden derivar en los mismos resultados. Los esquimales, con una dieta muy tenaz y que mastican el cuero para ablandarlo antes de la fabricación de ropa, presentan unas fuerzas oclusales máximas superiores a los 300 psi. Un paciente de 37 años con un largo historial de bruxismo registró una fuerza oclusal máxima de más de 990 psi (de cuatro a siete veces superior a lo normal). Afortunadamente, la fuerza de oclusión no sigue aumentando en la mayoría de los pacientes bruxistas. Cuando los músculos no varían su régimen de ejercicios, su tamaño y función se adaptan a la dinámica de la situación. Como resultado, las fuerzas de oclusión más elevadas y el tamaño de la musculatura no continúan en una espiral sin fin.
Diagnóstico
El bruxismo no representa necesariamente una contraindicación para los implantes, pero sí influye dramáticamente en el plan de tratamiento. El primer paso consiste en reconocer esta condición antes de que esté terminado el tratamiento. Los síntomas de este desorden, que pueden llegar a ser comprobados con una historia dental, pueden incluir repetidos dolores de cabeza, un historial de fracturas dentales o de las restauraciones, repetidos descementados de restauraciones y disconfort mandibular al levantarse. Por ello, se consigue rápidamente el diagnóstico cuando el paciente es consciente de la tirantez muscular o su pareja conoce su condición nocturna. Sin embargo, muchos pacientes no atribuyen estos problemas a fuerzas excesivas sobre los dientes y rellenan una historia negativa. La ausencia de estos síntomas no descarta el bruxismo como una posibilidad.
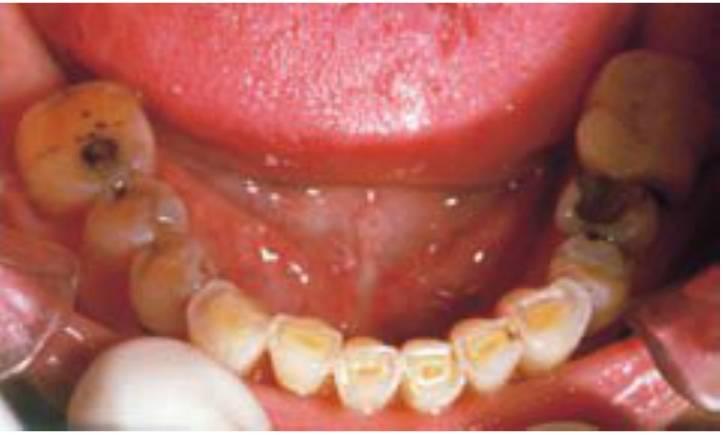
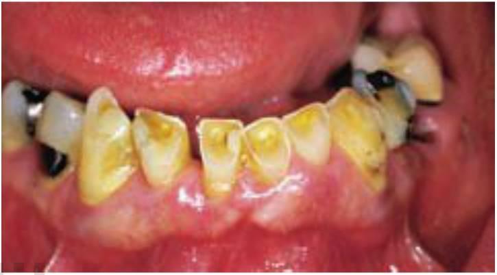
Afortunadamente, existen muchos signos clínicos que avisan de un excesivo rechinamiento. Los signos del bruxismo incluyen un aumento del tamaño de los músculos masetero y temporal (estos músculos y el pterigoideo externo pueden presentar molestias), desviación del maxilar inferior en la apertura, disminución de la apertura oclusal, aumento de la movilidad dentaria, desgaste cervical de los dientes, fractura dentaria o de las restauraciones y descementado de coronas o de prótesis fija. Sin embargo, el método de diagnóstico mejor y más sencillo del bruxismo es el examen del desgaste dentario. No solo es la forma más fácil de determinar el bruxismo en cada paciente individual, sino que permite, además, clasificar esta patología en ausente, suave, moderada y grave (figs. 6-1 a 6-3). Si no existen patrones de desgaste anterior denota una ausencia de bruxismo. En el bruxismo suave aparece un ligero desgaste en dientes anteriores sin que exista un compromiso estético. El bruxismo moderado conlleva facetas de desgaste incisales obvias, pero no hay un patrón de desgaste oclusal posterior. En el bruxismo grave desaparece la guía anterior por el excesivo desgaste y, además, el desgaste dentario posterior es obvio.

Las facetas de desgaste no funcionales en los bordes incisales pueden aparecer tanto en dientes naturales como en los que han sido repuestos, especialmente en los caninos superiores e inferiores, y puede desaparecer el ángulo de los dientes anteriores maxilares. No hay que dar mucha relevancia al desgaste anterior aislado si se puede eliminar el contacto dental posterior en los movimientos excursivos.
Tiene mucha más importancia el desgaste dental cuando aparece en las regiones posteriores y varía la intensidad del bruxismo de moderado a grave. Los patrones de desgaste posterior son más difíciles de manejar, ya que normalmente están relacionados con una pérdida de la guía anterior en las excursiones; una vez que existe un contacto oclusal posterior en los movimientos excursivos se generan fuerzas mayores. Los músculos masetero y temporal se contraen cuando hay un contacto dental posterior. Cuando existe una guía anterior y ausencia de contacto posterior, dos tercios de estos músculos no se contraen, con lo que se reduce dramáticamente la fuerza de oclusión. Sin embargo, cuando sí se mantiene el contacto posterior, las fuerzas de oclusión son similares durante las excursiones como en la masticación posterior. Por ello, en el paciente con un bruxismo grave puede que se necesite modificar el plano oclusal, la guía incisal anterior, o ambos, para eliminar todos los contactos posteriores durante los movimientos excursivos mandibulares antes de la restauración implantológica.
A menudo, los pacientes bruxistas repiten movimientos mandibulares, diferentes a los movimientos bordeantes, y tienen una determinada dirección. Como resultado, el desgaste oclusal es muy específico y principalmente en un solo lado de la arcada, o incluso, en solo unos dientes (fig. 6-4).

Este patrón de engranaje normalmente continúa después del tratamiento. Si el dentista restaurador restablece la guía incisiva sobre los dientes que se han visto gravemente afectados por el patrón de engranaje bruxista, se aumentará la incidencia de complicaciones sobre esos dientes. Las complicaciones más frecuentes sobre los dientes restaurados con este «método de destrucción» son la fractura de la porcelana, descementación de prótesis y fractura radicular. Cuando los implantes soportan las coronas en el marco de esta senda de destrucción, el implante podrá fracasar, fracturarse o presentar una pérdida de hueso crestal, asimismo se puede perder el to millo del pilar, fracturar la porcelana o desprenderse las restauraciones. Si el paciente continúa con un patrón grave de bruxismo, la pregunta no sería si aparecerán complicaciones, sino cuándo y cuáles. El dentista debe avisar al paciente de que estos hábitos causan esos problemas. El tratamiento puede estar enfocado a reparar estos problemas, pero existirán complicaciones si no se reduce el bruxismo.
El bruxismo provoca cambios en las fuerzas masticatorias normales en cuanto a su magnitud (fuerzas de oclusión más elevadas), duración (horas en lugar de minutos), dirección (lateral en lugar de vertical), tipo (de cizalla en vez de compresivas) y magnificación (de 4 a 7 veces por encima de lo normal). La forma de restaurar un bruxismo grave puede ser problemática, incluso cuando el deseo sea principalmente estético. Al desgastarse los dientes anteriores, estos suelen erupcionar y toda la dimensión vertical oclusal permanece invariable. Además, el proceso alveolar puede seguir la erupción del diente. Por tanto, cuando se restauran los dientes por causas estéticas (o para obtener una guía incisal) no se podrá aumentar la altura coronaria perdida simplemente incrementando la altura de la corona hasta un tamaño medio. En su lugar se sugieren las siguientes líneas de actuación:
- Determinar la posición de los bordes incisales de los dientes anteriores maxilares. Puede que sea aceptable (si la erupción transcurrió mientras se desgastaban), o que necesiten una mayor longitud coronaria para corregir el desgaste incisal.
- Determinar la dimensión vertical oclusal deseada. Esta no es una dimensión exacta y pueden existir varias posiciones distintas sin ninguna consecuencia. Sin embargo, como la mayoría de los factores, este es un rango específico de cada paciente y sigue unas pautas. Los métodos más comunes para determinar esta dimensión se relacionan con mediciones faciales, el menor espacio de lenguaje, la posición de descanso psicológico, el habla y la estética. Este es uno de los pasos más importantes. Si se colapsa la dimensión vertical por un desgaste anterior y posterior se necesitará mucha más rehabilitación. Esta situación se observa mucho más frecuentemente cuando el bruxismo es grave, se había perdido la guía incisal anterior y como consecuencia, el desgaste del bruxismo grave se ve incrementado por el aumento de los factores de fuerza. El acelerado desgaste oclusal puede provocar una pérdida de la dimensión vertical oclusal (DVO). La DVO se ve muy poco frecuentemente disminuida cuan109 do todavía está presente la guía incisal, ya que los dientes posteriores mantienen la dimensión y los dientes anteriores tienen tiempo de erupción porque las fuerzas son menores y la velocidad de desgaste también es menor.
- Hay que valorar y restaurar, cuando sea necesario, la posición de los dientes anteroinferiores. Antiguamente, muchos autores determinaron que la restauración debería comenzar con dichos dientes. La arcada mandibular no puede ser restaurada hasta que se restablezcan los dientes anteriores maxilares y la dimensión vertical oclusal. Están disponibles muchas guías estéticas y del habla para ayudar al dentista restaurador a reponer la posición de los dientes anterosuperiores. Por ejemplo, cuando el dentista comienza la restauración de un paciente totalmente edéntulo, determina en primer lugar, por razones similares, la posición del borde de la cera del área anterior del maxilar.
La posición de los dientes anteriores inferiores es aquella en la que contactan con la superficie palatina de los dientes anterosuperiores en relación a la dimensión vertical oclusal establecida, y la cantidad de sobremordida vertical de los bordes incisales maxilares y el ángulo de los contactos incisales en los movimientos protrusivos de la mandíbula, determinan el ángulo y la altura de la guía anterior. La dimensión debe ser mayor que la unión del disco condilar (el ángulo de la eminencia) para que los dientes posteriores se separen durante los movimientos excursivos mandibulares.
En pacientes con bruxismo de moderado a grave, no se debe extremar la altura de la sobremordida ni el ángulo de la guía incisal, ya que la cantidad de fuerza sobre los pilares anteriores, las obturaciones cementadas y la porcelana están directamente relacionadas con estas condiciones (fig. 6-5). En otras palabras, cuanto mayor sea el resalte incisal, mayor será la distancia entre los dientes posteriores en los movimientos excursivos, y mayor será la fuerza generada en los dientes anteriores durante dichos movimientos. En pacientes con un bruxismo grave, se debe reducir la intensidad de la fuerza, ya que su duración está aumentada.

Cuando el desgaste de los dientes anteriores se acompaña con la erupción dental y se mantiene la dimensión vertical oclusal y el proceso alveolar en la región se alarga hacia el plano incisal, no se deberían levantar los bordes incisales. En su lugar, se deberían reducir el hueso alveolar y las regiones cervicales y se debería conformar la longitud coronaria de los dientes antes de la restauración. Esto es, a menudo, más frecuentemente necesario en la región anterior mandibular, aunque también se puede llegar a observar en cualquier región de la boca en un bruxismo grave de larga duración. Además, se pueden llegar a necesitar tratamientos endodóncicos para conseguir una preparación adecuada de los dientes anteriores.
No se necesita realizar alargamientos coronarios o procedimientos similares cuando se ha reducido la dimensión vertical por el desgaste incisal. En su lugar, los dientes se deben preparar según su situación actual. La restauradón recupera la dimensión vertical y restablece la guía anterior incisal.
- Entonces hay que determinar el plano oclusal posterior. Esto se puede lograr usando bien el arco maxilar primero o la arcada mandibular posterior. Sin embargo, es mejor si se tratan a la vez los mismos cuadrantes posteriores bilaterales, para poder paralelizar el plano posterior al plano horizontal. Normalmente se determina primero el plano posterior maxilar en el paciente completamente edéntulo.
Fracturas por fatiga
El aumento de la duración de la fuerza es un problema considerable. Los materiales siguen una curvatura de fatiga que se ve afectada por el número de ciclos y por la intensidad de la fuerza (fig. 6-6).

Una fuerza puede llegar a ser tan grande que solo un ciclo puede provocar una fractura (ej. un golpe de kárate contra un trozo de madera). Sin embargo, si una fuerza de menor magnitud golpea repetidamente un objeto, este se acabará rompiendo. El alambre de una percha que esté desgarrado no se romperá en primera instancia, pero los continuos desgarros sí acaban rompiendo el material, no porque el último desgarro haya sido el más fuerte, sino por la fatiga. Un paciente bruxista representa un riesgo aumentado de fracturas por fatiga por dos razones. La magnitud de las fuerzas aumenta con el tiempo, a medida que la musculatura se hace más fuerte y el número de ciclos aumenta sobre los componentes protésicos. Con el tiempo alguno de los componentes (implante, to millo, pilar, prótesis) se acabará rompiendo si no se puede reducir la parafunción en intensidad o duración (fig. 6-7).

En los pacientes con un bruxismo grave no se puede esperar un resultado protésico a largo plazo. Por ello, una vez que el implantólogo ha identificado las fuentes de fuerza adicional sobre el sistema de implantes, hay que cambiar el plan de tratamiento para conseguir minimizar el efecto negativo sobre la longevidad del implante, hueso y la restauración final. Se deben considerar todos los elementos capaces de reducir el estrés.
Protecciones oclusales
La causa del bruxismo es multifactorial y puede incluir la disarmonía oclusal. Está justificad o realizar un análisis oclusal cuando se va a considerar la colocación de una restauración implantológica en un paciente bruxista. Los contactos prematuros y posteriores en los movimientos excursivos mandibulares aumentan las condiciones de estrés. La eliminación de los contactos excéntricos puede permitir la recuperación de la salud del ligamento periodontal y de la actividad muscular en un plazo de 1 a 4 semanas. La armonía oclusal no elimina necesariamente el bruxismo, pero esta no es una razón para no realizar un análisis oclusal y eliminar los contactos prematuros. No existe ningún estudio que demuestre un aumento de la parafunción después del ajuste oclusal. Por tanto, la capacidad para disminuir el riesgo de sobrecarga oclusal sobre determinados dientes y el beneficio añadido de, quizá, reducir la parafunción está justificado en casi cada uno de los pacientes diagnosticados con un hábito parafuncional de bruxismo o apretamiento.
Una férula nocturna puede ser un instrumento útil de diagnóstico para evaluar la influencia de la disarmonía oclusal en el bruxismo nocturno. La férula michigan nocturna muestra incluso contactos oclusales en la arcada en relación céntrica y proporciona una desoclusión posterior con la guía anterior en todos los movimientos excursivos mandibulares. Se puede fabricar con resina acrílica de color de 0,5 a 1 mm de grosor en la superficie oclusal. Después de 4 semanas de desgaste nocturno, si el paciente lleva este aparato durante un mes o más, se puede llegar a observar directamente la influencia de la oclusión sobre el bruxismo. mientras se usa la férula no existen contactos prematuros; sin embargo, si el acrílico de color no ha variado, significa que la parafunción nocturna se ha reducido o eliminado. Por ello, se debería realizar una reconstrucción o modificación oclusal. Si se pierde el color del acrílico del protector nocturno, el ajuste oclusal tendría poca influencia sobre la disminución del hábito parafuncional. Aun así, el protector nocturno se sigue indicando para reducir el estrés durante la parafunción nocturna, aunque el plan de tratamiento debería responder a fuerzas mayores.
Las fuerzas del bruxismo son las más difíciles de controlar a largo plazo. La educación y el consentimiento in formado del paciente son de gran ayuda para conseguir su cooperación en la eliminación o reducción de los efectos nocivos. Si la arcada opuesta es una prótesis removible soportada en tejido blando, los efectos del hábito nocturno pueden reducirse si el paciente se quita la dentadura por la noche. El uso de un protector nocturno es útil en pacientes con prótesis fija, para poder transferir el eslabón más débil del sistema al aparato acrílico removible. Los contactos céntricos en relación céntrica y desoclusión con guía anterior de los dientes posteriores durante los movimientos excursivos se marcan mucho en la férula nocturna, con lo que se puede diseñar para colocar en el maxilar o la mandíbula.
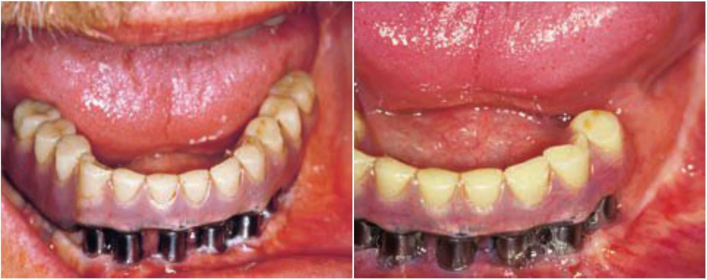
Al contrario que los dientes, los implantes no se extruyen cuando no existe un contacto oclusal. Por tanto, en los pacientes parcialmente edéntulos la férula nocturna se puede aliviar alrededor de las coronas sobre implantes, para que los dientes naturales remanentes soporten toda la carga. Por ejemplo, en una restauración implantológica maxilar se puede ahuecar el protector nocturno para que no se transmita ninguna fuerza oclusal sobre la corona del implante. Cuando la reconstrucción está en la mandíbula, se alivian las superficies de la férula nocturna del maxilar en oclusión con las coronas sobre implantes, para que no se transmita ninguna fuerza oclusal sobre los implantes (fig. 6-8).

También se debe aliviar la oclusión de los voladizos posteriores mandibulares de las rehabilitaciones de arcadas completas con implantes, con las férulas nocturnas. Cuando un cuadrante posterior de implantes soporta una prótesis fija en el maxilar superior, teniendo como antagonistas los dientes naturales inferiores, se debe colocar un material de refuerzo blando alrededor de las coronas sobre implantes que actúe como un elemento de alivio del estrés y que disminuya el impacto de la fuerza sobre la restauración (fig. 6-9).

Cuando las dos arcadas son rehabilitacion es completas sobre implantes, la férula nocturna proporciona únicamente contactos anteriores durante la oclusión céntrica y las excursiones mandibulares. Por tanto, se reduce la fuerza parafuncional en los dientes/implantes anteriores y se elimina en las regiones posteriores.
Plan de tratamiento
Básicamente, el plan de tratamiento con implan tes se modifica de dos formas cuando estos se colocan en las regiones posteriores: 1) una manera de reducir el riesgo de sobrecarga es colocar implantes adicionales de mayor diámetro o 2) se pueden modificar los dientes anteriores para recrear un a adecuada guía anterior y evitar interferencias posteriores durante los movimientos excursivos. Se recomienda la eliminación de los contactos oclusales posterolaterales durante los movimientos excursivos, cuando sus antagonistas son los dientes naturales, un implante o prótesis fija dentosoportada. Esto es beneficioso por dos motivos: 1) debido a que las fuerzas laterales aumentan dramáticamente el estrés en la interfase implante-hueso, la eliminación de los contactos posteriores disminuye el efecto negativo de las fuerzas anguladas durante el bruxismo, y 2) cuando existen contactos posteriores durante los movimientos excursivos, casi todas las fibras del masetero, del temporal y del pterigoideo externo se contraen, provocando unas fuerzas más elevadas sobre los dientes/implantes anteriores. Por el contrario, durante los movimientos excursivos sin contactos posteriores se estimulan muchas menos fibras de los músculos masetero y temporal y las fuerzas aplicadas sobre el sistema implante-diente anterior se reducen en casi dos tercios.
Apretamiento
El apretamiento es un hábito que genera un a fuerza constante aplicada de una superficie oclusal a la opuesta sin movimiento lateral. La posición habitual de apretamiento no tiene por qué corresponDer necesariamente con la oclusión céntrica. La mandíbula se puede posicionar en cualquier dirección antes de la carga estática; por eso, se pueden llegar a combinar el bruxismo y el apretamiento.
La mayoría de las veces la posición de apretar se repite y de forma muy rara varía de un período a otro. La dirección de la carga puede ser vertical u horizontal. Las fuerzas involucradas exceden significativamente de las cargas psicológicas normales y se asemejan al bruxismo en cantidad y duración; sin embargo, existen varias condiciones clínicas diferentes en el apretamiento.
Diagnóstico
Existen muchos síntomas y signos clínicos del rechinamiento excesivo. Sin embargo, las señales del apretamiento son, normalmente, mucho menos obvias. Las fuerzas que se generan durante el apretamiento son directamente mucho más verticales al plano oclusión, por lo menos en las regiones posteriores de la boca. normalmente el desgaste oclusal no es evidente; por ello, no se suele detectar el apretamiento durante el examen intraoral. Así, el dentista debe observar atentamente para poder diagnosticar este desorden.
Muchas de las señales clínicas del apretamiento se asemejan al bruxismo. Cuando el paciente presenta un historial dental de contracción muscular al levantarse o sensibilidad dental al frío, se debe sospechar de una parafunción. Si no existe desgaste oclusal el primer sospechoso será el apretamiento. Signos clínicos de apretamiento son la movilidad dental, molestia o hipertrofia muscular, desviación o limitación de la apertura, líneas de estrés en el esmalte, abfracción cervical y fatiga del material (esmalte, cavidades en esmalte, componentes de la porcelana y de los implantes). Todas estas condiciones también se podrían encontrar en los pacientes bruxistas. Sin embargo, el desgaste oclusal presenta una correlación muy fuerte con el bruxismo, de tal forma que es el factor básico y, a menudo, el único para evaluar el bruxismo. El paciente apretador tiene la «enfermedad sigilosa de la fuerza». Por todo esto, se debe prestar una atención especial para diagnosticar este desorden y compensar, así, la falta de condiciones clínicas obvias.
El examen físico de un candidato a implantes debería incluir la palpación de los músculos masticatorios. En la primera visita se pueden examinar fácilmente los músculos masetero y temporal. Los músculos hiperactivos no siempre están contraídos, pero la contractura muscular en ausencia de trauma o enfermedades una señal de uso excesivo o de incoordinación entre los grupos musculares. El pterigoideo lateral presenta, a menudo, un sobreesfuerzo en el paciente bruxista o apretador, pero es difícil de palpar. El pterigoideo medial ipsilateral proporciona una información más fiable en esta región. Actúa como antagonista del pterigoideo lateral durante la hiperfunción y, cuando se contrae, es un buen indicador del sobreesfuerzo del pterigoideo lateral.
La evaluación muscular del apretamiento también incluye la desviación durante la apertura mandibular y la contractura de la articulación temporomandibular. La desviación hacia un lado al abrir indica un desequilibrio muscular en ese mismo sitio. La limitación de la apertura es muy fácil de evaluar y puede ser indicativa de desequilibrio muscular o de una enfermedad degenerativa de la mandíbula. La mínima apertura normal debería de ser de 40 mm desde el borde incisal maxilar hasta el borde incisal mandibular en un paciente clase I de Angle, teniendo en cuenta el resalte o la sobremordida. Si existe algo de resalte o sobremordida, hay que restar su valor en milímetros de la medición de los 40 mm de mínima apertura. El rango de apertura sin tener en cuenta la sobremordida o el resalte se ha valorado entre los 38 y 65 mm para los hombres y entre 36 y 60 mm para las mujeres, de un borde incisal al otro.
El aumento de la movilidad dental puede ser Un indicador de una fuerza por en cima de los límites fisio lógicos, de pérdida de hueso, o de ambos. Esto requiere una mayor investigación sobre la parafunción y tiene mucha importancia si se va a colo car un implante en la zona con movilidad dentaria. El implante rígido puede recibir más fuerza oclusal de la que comparte cuando se rodea de dientes móviles. En el paciente apretador aparece, a menudo, el fremitus, que es un tipo de vibración de la movilidad dentaria. Para evaluar esta condición el dedo del dentista apenas to ca la cara vestibular de un diente cada vez y siente las vibraciones mientras el paciente choca los dientes. El fremitus es sintomático de cargas oclusales locales excesivas.
El desgaste cervical es, principalmente, un signo de las parafunciones de bruxismo o apretamiento (fig. 6-10).

Anteriormente, Black analizó las ocho teorías más populares sobre la recesión de encía en los dientes, encontrándolas todas inconcluyentes. Esta situación se ha denominado frecuentemente como «abrasión por el cepillo de dientes». McCoy en contró esta condición en uno de cada dos dientes, en un solo diente e incluso en los dientes de algunos an imales. La parafunción era la característica común entre los pacientes que la presentaban. La imagen de corte de la porción cervical de los dientes se correlaciona directamente con la concentración de fuerzas demostradas en el análisis finito tridimension al y en estudios de fotoelasticidad. La abfracción de los dientes también se observó en gatos, ratas y marmotas y ya se describió en la literatura en 1930. Un estudio sobre la población mayor no institucionalizada reveló que la abrasión cervical estaba presente en un 56 % de los participantes.
Otros signos de fatiga de esmalte o del material de oclusión relacionados con el bruxismo y el apretamiento incluyen las invaginaciones oclusales o fosas, líneas de estrés en el esmalte, líneas de estrés en reconstrucciones con aleaciones o acrílicas (líneas de Luder) y la fractura del material (figs. 6-11 y 6-12).

El fremitus se puede llegar a ver clínicamente en muchos dientes con erosiones cervicales y sin movilidad. No todas las erosiones gingivales son provocadas por una parafunción. Sin embargo, cuando aparezca se debe evaluar con especial atención la oclusión junto con otros signos de fuerza excesiva. Si se concluye que las fuerzas excesivas son la causa, se denomina esta condición como abfracción cervical.
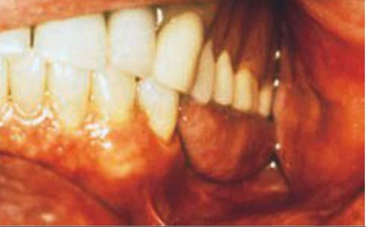
Un signo clínico típico del apretamiento es el borde festoneado de la lengua (fig. 6-13).

Normalmente, la lengua se apoya contra las superficies linguales de los dientes maxilares al apretar, ejerciendo una presión lateral que da como resultado el borde festoneado. Esta posición de presión de la lengua se puede acompañar también con un vacío intraoral, lo que permite que el apretamiento se prolongue durante más tiempo, a menudo mientras se duerme.
Fracturas por fatiga
El aumento de la magnitud y duración de la fuerza es un problema significativo, ya sea provocado por el bruxismo o por el apretamiento. La curva de fatiga expuesta previamente para el bruxismo también se aplica al apretamiento. Además, el paciente apretador puede sufrir un fenómeno llamado fluencia, que también provoca la fractura de los materiales. Esta fluencia ocurre en un material cuando un a deformación progresiva se expresa como una función de tiempo, al estar sometido a una carga constante (fig. 6-14).

Aunque los ciclos de carga puede que no estén presentes para afectar a la deformación del material, la fuerza constante es capaz, por sí sola, de causar la fractura. En otras palabras, algo sí se romperá si la fuerza continuada no se elimina o, por lo menos, no se reduce su intensidad o duración (fig. 6-15).

Esta situación también puede ocurrir en el hueso, lo que puede con llevar la pérdida o movilidad del implante. Se deben considerar todos los elementos para reducir la fuerza excesiva del apretamiento y sus consecuencias.
El apretamiento afecta al plan de tratamiento de un modo similar al bruxismo. Sin embargo, las fuerzas verticales son menos perjudiciales que las horizontales y la alteración del plano oclusal anterior no es tan crítica como en el paciente bruxista. También, las férulas nocturnas son menos efectivas. Sin embargo, una estructura de acrílico duro y una férula nocturna de acrílico duro pero con rebase blando sobre los implantes, es, a menudo, beneficiosa para los apretadores. Al contrario que los dientes, los implantes no se extruyen. De esta manera, la férula nocturna se puede aliviar alrededor de los implantes intermedios y que sean los dientes los que soporten toda la carga. En una restauración implantológica de toda la arcada o de un cuadrante, la férula proporciona una ventaja biomecánica para reducir el impacto de la fuerza durante el apretamiento (fig. 6-16).

Una causa común de fracaso de los implantes durante la curación es la parafunción en pacientes que llevan una prótesis mucosoportada sobre el implante sumergido. El tejido que recubre el implante se comprime durante la parafunción. La carga prematura puede provocar micromovimientos del cuerpo del implante dentro del hueso, pudiendo verse comprometida la osteointegración. Cuando la prótesis mucosoportada ejerce una presión a con secuencia de la parafunción, la necrosis por presión provoca una dehiscencia sobre el implante. Esta situación no se corrige quirúrgicamente cubriendo el implante con tejido blando, sino aliviando generosamente el área de la prótesis mucosoportada que cubre el implante durante el período curativo cuando se note la existencia de la parafunción. Hay que tener muy en cuenta la presencia de una dentadura parcial removible sobre Un implante durante su cu ración. normalmente, el acrílico que existe entre la zona mucosoportada y la estructura de metal tiene un espesor menor de 1 mm. Quitar esta zona acrílica tan fina alrededor del implante es, frecuentemente, insuficiente. En su lugar, se debería preparar Un agujero de 6 mm de diámetro a través de la estructura de metal (fig- 6-17).

Consideraciones protésicas
El intervalo entre las citas para la restauración protésica podría aumentarse para dar más tiempo a crear hueso alrededor de los implantes gracias a las técnicas de carga ósea. Los implantes anteriores sometidos a fuerzas laterales parafuncionales requieren mayores consideraciones de tratamiento. Están indicad os implantes adicionales y, preferiblemente, de mayor diámetro. Si están presentes los caninos naturales y sanos las excursiones tendrán una guía canina. Se creará una oclusión mutuamente protegida, con implantes anteriores adicionales o dientes distribuyendo las fuerzas, si los implantes se en cu entran en la posición de los caninos o se repone este diente como un póntico. Se debería diseñar la prótesis para mejorar la distribución del estrés a través del sistema de implantes con contactos verticales céntricos alineados a lo largo del eje longitudinal del implante, siempre que fuera posible. Son beneficiosas las tablas de oclusión posteriores estrechas para prevenir las fuerzas laterales inadvertidas y para disminuir las fuerzas oclusales. Se indica la ameloplastia de las fosas de las cúspides de los dientes naturales antagonistas para ayudar a mejorar la dirección de las fuerzas verticales, siguiendo las guías de la oclusión buscada.
El apretamiento aumenta el riesgo de fallo mecánico, como fractura de la porcelana, descementación de restauraciones, fractura del tornillo del pilar, fractura del cuerpo del implante y pérdida de hueso crestal (fig. 6-18).

Empuje y tamaño de la lengua
El empuje de la lengua parafuncional es la fuerza no natural de la lengua contra los dientes al tragar60. Se ha registrado al tragar una fuerza de entre, aproximadamente, 41 a 709 g /cm 2 en las zonas anteriores y laterales del paladar. En un movimiento ortodóncico, unos pocos gramos de fuerza son suficientes para desplazar los dientes. Se han identificado seis tipos distintos de empuje lingual; anterior, intermedio, posterior y en todos los casos unilateral o bilateral, y con casi todas las combinaciones posibles (figs. 6-19 y 6-20).

Una pregunta común es qué vino primero la posición aberrante de la lengua o los dientes mal alineados. Independientemente, esta condición puede afectar a la curación de los implantes y dar complicaciones protésicas. Aunque la fuerza del empuje lingual es de menor intensidad en comparación con otras fuerzas parafuncionales, es de naturaleza horizontal y puede aumentar el estrés en el área perimucosa del implante. Esto es más crítico para tratamientos con implantes en una fase, en los que estos se hallan en una posición más elevada en su colocación inicial y la interfase del implante se encuentra en una fase precoz de curación. El empuje lingual también puede contribuir a la apertura de la línea de incisión, lo que puede llegar a comprometer tanto a los tejidos duros como a los blandos.
El hábito de empuje lingual puede provocar Un movimiento dental o su movilidad, lo que es consecuencia de la existencia de implantes en el mismo cuadrante. Si se perdieran los dientes naturales en la zona del empuje lingual, como resultado de una posición o de un movimiento lingual aberrante, los implantes se encontrarían en un a situación de riesgo aumentado en el proceso de curación inicial y de carga protésica temprana. Si los dientes remanentes muestran una movilidad aumentada, la prótesis implantológica podría estar sometida a cargas oclusales aumentadas. Para evaluar el empuje anterior de la lengua, el doctor debe bajar el labio inferior, echar agua con la jeringa de agua en la boca y pedir al paciente que trague. Un paciente normal crea un vacío en la boca, posicion a la lengua en la parte anterior del paladar y es capaz de tragar sin dificultad. El paciente con Un empuje lingual anterior no es capaz de crear el vacío necesario para tragar cuando el labio inferior está retraído, ya que el sellado y el vacío del paciente se consiguen entre la lengua y el labio inferior. Como consecuencia, el paciente es incapaz de tragar cuando el labio está retraído.
El empuje lingual posterior se evalúa empujando un carrillo cada vez, separándolo de los dientes posteriores/región edéntula, con Un espejo, inyectando agua con la jeringa y pidiendo al paciente que trague. La observación visual de la lengua mientras deglute puede ir acompañada de una presión sobre el instrumento, lo que confirma la fuerza lateral. El empuje posterior de la lengua puede ocurrir en pacientes portadores de una prótesis maxilar antagonista de una arcada mandibular de clase I de Kennedy, sin la presencia de una prótesis mandibular que sustituya las regiones posteriores. En estas condiciones, la dentadura superior pierde el sellado del paladar y se cae en la parte posterior, ya que solo existe contacto anterior. Para disminuir este problema, el paciente extiende la parte lateral de la lengua hacia la región edéntula para prevenir el desajuste de la prótesis maxilar (fig- 6-21).

Una posible complicación protésica en los pacientes con un empuje lingual lateral es que queda un espacio inadecuado para la lengua cuando los implantes mandibulares están colocados. Un error protésico es reducir el ancho del contorno lingual de los dientes mandibulares. Las cúspides linguales de los dientes posteriores inferiores restaurados deben seguir la curva de Wilson e incluyen un resalte horizontal adecuado para proteger a la lengua durante su función. Una reducción del ancho de los dientes posteriores a menudo aumenta la frecuencia de morderse la lengua y puede no desaparecer con el tiempo. Más que ser un inconveniente a corto plazo, se debería reemplazar la prótesis. El dentista restaurador debería identificar la posición lingual antes del tratamiento e informar al paciente sobre la curvatura de aprendizaje temprana de la lengua una vez que se colocan los dientes sobre los implantes.
Incluso en ausencia de empuje lingual, la lengua, a menudo, se acomoda al espacio disponible y su tamaño puede aumentar con la pérdida de dientes. Como resultado, un paciente que no lleve un a dentadura inferior presenta una lengua más grande de lo normal. La colocación de implantes y de dientes protésicos en estos pacientes origina un aumento de la fuerza lateral, que puede llegar a ser continua. Este paciente se queja de un espacio inadecuado para su lengua y puede que se la muerda durante la función. Sin embargo, esta situación es de corta duración y el paciente gradualmente se adapta a su nueva situación intraoral (fig. 6-2 2).

Espacio de la altura coronaria
La distancia interarcada se define como la distancia vertical entre los dientes maxilares y mandibulares o entre las arcadas dentarias bajo unas condiciones específicas (ej. la mandíbula en reposo o en oclusión). La dimensión de un solo arco no es un término definido en prostodoncia; por ello, misch propuso el término espacio de altura oclusal (EAO). El EAO se mide en la odontología implantológica desde la cresta ósea hasta el plano oclusal en la región posterior y hasta el borde incisal de la arcada en la región anterior (fig. 6-23; cuadro 6-3).

En las regiones anteriores de la boca, la presencia de una sobremordida vertical se traduce en un EAO mayor en el maxilar que el espacio desde la cresta de la sobremordida hasta el borde incisal de los dientes opuestos. En general, cuando los dientes anteriores están en contacto en oclusión céntrica hay Un resalte vertical. Por esto, el EAO de los dientes anteriores mandibulares normalmente se mide desde la cresta de la sobremordida hasta el borde incisal inferior. Sin embargo, el EAO anterior maxilar se mide desde el hueso crestal maxilar hasta el borde incisal maxilar, no hasta la posición de contacto oclusal.
El EAO ideal necesario para una prótesis fija con implantes debe variar entre los 8 y 12 mm. Esta medida incluye el ancho biológico, la altura del pilar para la retención del cemento o de la fijación protésica con tornillo, la fuerza del material oclusal, estética y consideraciones higiénicas alrededor de las coronas de los pilares. A menudo, las prótesis removibles requieren un EAO mayor de 12 mm para los dientes acrílicos y la fuerza de la base de la resina acrílica, attaches, barras y consideraciones de higiene oral.
Consecuencias biomecánicas de una excesiva altura coronaria
Las tasas de complicaciones biomecánicas de las prótesis sobre implantes son muy a menudo las más elevadas de todas las complicaciones registradas en la literatura. Frecuentemente, las complicaciones mecánicas son provocadas por un excesivo estrés aplicado al sistema implante-prótesis (v. cuadro 6-3). El fracaso del implante puede ocurrir por sobrecarga y ocasionar un fracaso de la prótesis y pérdida ósea alrededor de los implantes fracasados. La fractura del cuerpo del implante puede ser debida a una carga de fatiga del implante por una fuerza más elevada, pero ocurre con menor incidencia que la mayoría de las complicaciones. Cuanto más elevada sea la fuerza, menor será el número de ciclos antes de la fractura, así que aumenta la incidencia. La pérdida de hueso crestal puede estar relacionada con fuerzas excesivas y a menudo ocurre antes de la fractura del cuerpo del implante. La tasa de fractura de la porcelana y del material oclusal puede verse aumentada a medida que la fuerza sobre la restauración sube. El riesgo de fractura sobre la prótesis antagonista aumenta con una media de un 12% en las sobredentaduras de implantes opuestas a dentaduras. Con dentaduras de implantes parciales fijas de resina se fracturan el 22 %. Las fracturas de clips o attaches de las sobredentaduras están en una media del 17%. También puede ocurrir la fractura de la estructura o subestructura como resultado de un aumento de las fuerzas biomecánicas.
Los magnificadores de fuerza son situaciones o artefactos que aumentan la cantidad de fuerza aplicada, e incluyen un tomillo, polea, plano inclinado y una palanca. La biomecánica del EAO se relaciona con la mecánica de palanca. Las propiedades de la palanca se han apreciado desde los tiempos de Arquímedes, hace 2.000 años. Los problemas de los voladizos e implantes se demostraron en la mandíbula edéntula, donde la longitud del voladizo posterior está directamente relacionada con las complicaciones o el fracaso de las prótesis. Más que un voladizo posterior, el EAO se convierte en un voladizo vertical cuando se aplica cualquier carga lateral o en extensión y, por tanto, es un magnificador de fuerza. Como resultado, como el exceso de EAO aumenta la cantidad de fuerza, también se pueden incrementar las complicaciones de causa mecánica de las prótesis de los implantes (fig. 6-24).

Cuando la dirección de la fuerza es a lo largo del eje longitudinal del implante, no se ve magnificado el estrés del hueso en relación con el EAO. Sin embargo, cuando las fuerzas hacia el implante son sobre un voladizo, o se aplica una fuerza lateral sobre la corona, se magnifican las fuerzas en relación directa a la altura coronaria. Bidez y misch evaluaron el efecto de un voladizo o de un implante y su relación con la altura coronaria. Cuando se coloca un voladizo sobre un implante, existen seis puntos potenciales distintos de rotación (ej. momentos) sobre el cuerpo del implante (fig. 6-25; tabla 6-2).

Cuando se aumenta la altura coronaria de 10 a 20 mm, dos de estos seis movimientos se ven incrementados en Un 200 %. La fuerza del voladizo puede ser en cualquier dirección: facial, lingual, mesial o distal. Las fuerzas de voladizo dirigidas hacia el plano facial y lingual se denominan a menudo cargas no axiales. La pérdida de la anchura del hueso afecta principalmente a la cara facial de la cresta edéntula. Como resultado, a menudo se colocan los implantes más hacia lingual de donde estaría el centro de la raíz de un diente natural. Frecuentemente, esto provoca una restauración en voladizo hacia facial. Cuando la altura del hueso disponible está disminuida se aumenta el EAO. Por ello, si existe una longitud potencial reducida del implante bajo condiciones de EAO excesivas, la posición del implante acaba resultando en cargas no axiales.
Una carga angulada sobre una corona también magnificará la fuerza aplicada hacia el implante. Una fuerza de 12 grados hacia el implante se aumentará en un 20%. Este aumento de fuerza se ve muy magnificado por la altura coronaria. Un ángulo de 12 grados con una fuerza de 100 N se transformará en una fuerza de 315 N-mm sobre una corona de 15 mm. Normalmente, los dientes anteriores maxilares se encuentran en un ángulo de 12 grados o más sobre el plano oclusal. Incluso los implantes colocados en una posición ideal reciben, normalmente, cargas anguladas. A menudo, las coronas anteriores maxilares son más largas que cualquier otro diente en la arcada, por lo que los efectos de la altura coronaria provocan un mayor riesgo.
También, las fuerzas anguladas sobre los implantes pueden ocurrir durante los movimientos protrusivos o los excursivos laterales, ya que el ángulo de la guía incisal puede ser de 20 grados o más. Por ello, las coronas de los implantes anteriores estarán muy cargadas con un ángulo considerable durante las excursiones, en comparación con la posición del eje longitudinal del implante. Por consiguiente, se debería compensar el aumento en la fuerza de los implantes maxilares anteriores en el plan de tratamiento.
La mayoría de las fuerzas aplicadas sobre el cuerpo de los implantes osteointegrados se concentran sobre la cresta, de 7 a 9 mm, de hueso, independientemente del diseño del implante y de la densidad ósea. Por ello, la altura del cuerpo del implante no es un método efectivo para valorar los efectos de la altura coronaria. En otras palabras, la proporción corona-raíz es un concepto prostodóncico que puede guiar al dentista restaurador para evaluar el pilar de un diente natural. Cuanto mayor sea la raíz del diente natural, menor será la longitud de la altura coronaria, que actúa como palanca de rotación del diente alrededor de un eje situado en los dos tercios inferiores de la raíz. Sin embargo, la proporción altura coronaria-implante no presenta una proporción directa. La altura coronaria es un voladizo vertical que magnifica cualquier fuerza lateral o de voladizo en cualquier restauración dental o implanto-soportada. Sin embargo, esta situación no se mejora aumentando la longitud del implante para disminuir el estrés. El implante no rota alejándose de la fuerza en función de su longitud. En vez de esto, captura la fuerza en la zona de la cresta. Cuanto mayor sea el EAO, normalmente se necesita aumentar el número de implantes requeridos para la prótesis, especialmente en presencia de otros factores de fuerza. Esto supone un cambio paradigmático completo de los conceptos aceptados originalmente, con muchos implantes en un hueso disponible más abundante y coronas de pequeña altura y menores implantes con alturas coronarias mayores en un hueso atrofiado (figs. 6-26 y 6-27).

El EAO aumenta cuando ocurre una pérdida ósea crestal alrededor de los implantes. Un EAO aumentado puede incrementar las fuerzas en el hueso crestal alrededor de los implantes y el riesgo de pérdida ósea crestal. Esto puede llegar a aumentar mucho tanto el EAO como los momentos de fuerza en todo el sistema de soporte dando lugar a pérdida de tomillos, pérdida ósea crestal y fractura o fracaso del implante.
La distancia vertical del plano oclusal a la marca opuesta de la inserción del implante es, típicamente, una constante en cada individuo. Por ello, a medida que el hueso se reabsorbe, la altura coronaria se hace mayor, pero la altura ósea disponible disminuye (fig. 6-28).

Aparece una relación indirecta entre la altura de la corona y la del implante. Una pérdida ósea moderada antes de la colocación de los implantes puede dar lugar a una proporción altura coronaria altura ósea mayor de 1, con unas fuerzas laterales aplicadas sobre el hueso crestal mayores que las de un hueso abundante (en el que la altura coronaria es menor). Existe una relación lineal entre la carga aplicada y el estrés interno.
Por ello, cuanto mayor sea la carga aplicada, mayor será el estrés de tensión y compresión transmitido a la interfase ósea y a los componentes protésicos. Y entonces, muchos planes de tratamientos implantológicos se diseñan con muchos más implantes en situaciones de hueso abundante y muchos menos en los casos con un volumen óseo atrofiado. Puede darse el caso opuesto. A menor volumen óseo, mayor altura coronaria, y mayor número de implantes indicados.
Excesivo EAO
Un espacio de altura coronaria superior a los 15 mm es excesivo; principalmente es consecuencia de la pérdida vertical de hueso por un edentulismo de larga duración. Otras causas pueden ser la genética, un traumatismo o el fracaso de los implantes (cuadro 6-4). El tratamiento del excesivo EAO antes de la colocación de los implantes incluye procedimientos ortodóncicos y quirúrgicos. La ortodoncia es el método de elección en pacientes parcialmente edéntulos, ya que otros tratamientos quirúrgicos o protésicos son más costosos y presentan un riesgo mayor de complicaciones. También se deberían considerar ciertas técnicas quirúrgicas, incluyendo injertos onlay óseos en bloque, injertos de hueso particulado con mallas de titanio o membranas de barrera, injertos óseos interposicionales o la osteogénesis por distracción. A menudo se prefiere realizar una única cirugía para la reconstrucción de los maxilares y la colocación de los implantes, especialmente cuando se quiere ganar en volumen óseo. Cuando se necesita aumentar significativamente la altura vertical ósea se precisan múltiples procedimientos quirúrgicos.
La osteogénesis por distracción presenta varias ventajas para el crecimiento vertical del hueso, respecto de las técnicas de injerto óseo onlay. La ganancia de hueso vertical no se ve limitada por factores como el tamaño del injerto o la expansión del volumen del tejido blando existente. No existe morbilidad del área donante y se puede realizar la cirugía en el gabinete dental. Sin embargo, la distracción ósea requiere de la colaboración del paciente y el aumento de volumen óseo es unidireccional. Además, los estudios clínicos han encontrado que, a menudo, se necesitan posteriores procedimientos de aumento de hueso para la colocación de los implantes dentales70. Misch presentó una técnica única en la que combinaba la distracción ósea vertical con injertos de hueso onlay horizontales para la reconstrucción tridimensional del defecto. Primero se realiza la distracción ósea para aumentar la cresta verticalmente y expandir el volumen del tejido blando. Seguidamente, se usa un injerto óseo onlay para terminar de repara el defecto (fig. 6-29).

En los casos de un excesivo EAO se suele preferir el aumento óseo a la reposicón protésica. El incremento quirúrgico de la altura de la cresta ósea vertical reducirá el EAO y mejorará la biomecánica de los implantes. A menudo, este aumento permitirá la colocación de implantes más anchos con el beneficio asociado al incremento del área de superficie. Aunque las prótesis suponen el método usado con más frecuencia para corregir el EAO, deberían ser la última elección. Se debería considerar el uso de materiales protésicos del mismo color de la encía (porcelana o resina acrílica rosa) en las restauraciones fijas o cambiar el diseño de la prótesis a las rehabilitaciones removibles, para solucionar el excesivo EAO.
En el maxilar, la pérdida de hueso vertical aparece en una posición más palatina de la cresta. Como consecuencia, normalmente se colocan los implantes más hacia palatino de la posición de los dientes naturales. Las restauraciones removibles tienen más ventajas en este tipo de situaciones. Las prótesis removibles no necesitan troneras para la higiene. La restauración removible se puede quitar mientras se duerme para reducir el efecto del EAO aumentado durante la parafunción nocturna. La prótesis removible puede mejorar el soporte facial y del labio, que son bastante deficientes por la avanzada pérdida ósea. La sobredentadura podría tener un núcleo suficiente de resina acrílica para disminuir el riesgo de fractura de la prótesis. El aumento en el EAO permite la colocación de los dientes de la dentadura sin invadir la subestructura.
Además, el soporte blando de las restauraciones removibles implanto-soportadas con un excesivo EAO se recomienda cuando no es posible sobrecargar el sistema soportado por los implantes. Una sobredentadura rígida tiene unos requerimientos idénticos a los de las prótesis fijas, porque es rígida durante su funcionamiento. Misch describe «el voladizo escondido» detrás de la barra de voladizo con una sobredentadura rígida sobre implantes. Cuando la sobredentadura no tiene ningún movimiento durante la función, el voladizo no se para detrás de la estructura en voladizo, sino que termina en la última posición de contacto oclusal de la prótesis, a menudo a distal del segundo molar.
La posición y el tipo de los anclajes de la sobredentadura darían lugar a una sobredentadura rígida durante la función, incluso en ausencia completa de voladizos distales a la barra. Por ejemplo, si se ferulizan los tres implantes anteriores y se usa una horquilla de Hader para retener la prótesis, si los clips de Hader se sitúan en los ángulos hacia la línea media, los attaches tendrán un movimiento limitado, lo que dará lugar a una sobredentadura rígida durante la función. Misch sugiere que se debería evaluar el movimiento de la prótesis y no el movimiento individual de cada anclaje. El excesivo EAO con sobredentaduras se beneficia si el diseño de la prótesis presenta más de una dirección de movimiento.
El EAO ideal de una prótesis fija está entre los 8 y los 12 mm, junto con un ideal de tejido blando de 3 mm, un grosor de 2 mm de material oclusal y una altura del pilar de 5 mm o más. Debe preocupar si el EAO es superior a 12 mm en las restauraciones fijas. Los dientes a sustituir están elongados y a menudo se necesita añadir materiales de un tono similar a la encía en las regiones estéticas (fig. 6-30).

Las fuerzas de impactos mayores sobre los implantes en comparación con los dientes, combinado con la altura coronaria aumentada, ocasiona un incremento de los momentos de fuerza sobre los implantes y un mayor riesgo de fractura de los componentes y de los materiales. Estos problemas se notan especialmente cuando se asocian a una biomecánica menos favorable o a zonas de voladizo de las restauraciones fijas.
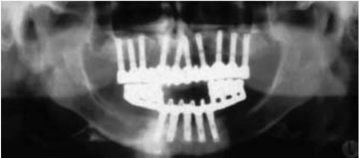
Un EAO mayor de 15 mm se traduce en la obligación de usar una gran cantidad de metal en la subestructura de una restauración fija tradicional para mantener la porcelana con sus 2 mm de grosor ideal (fig. 6-31).

Las técnicas de mejor afinación para las restauraciones fijas tradicionales permitieron a Dabrowsky manufacturar y monitorizar múltiples casos edéntulos totales, prótesis cemento-retenidas con un amplio EAO llegadas a múltiples centros en Estados Unidos. Cada vez fue más difícil controlar los poros de la superficie de las subestructuras metálicas después de fundirlas, ya que sus distintas partes se enfriaron en diferentes rangos. Más aún, cuando el material fundido se reinserta en el horno para cocer la porcelana, se mantiene el calor dentro del material fundido en diferentes rangos, por lo que la porcelana se enfría en las distintas regiones con rangos diversos. Si no se controla adecuadamente, estos dos factores aumentan el riesgo de fractura de la porcelana al cargarse. Debido a un excesivo EAO, el peso considerable de la prótesis (casi 85 g de aleación) puede afectar a los puntos de apoyo del complejo maxilar, ya que las restauraciones no se mantienen en su sitio sin el uso de un adhesivo. Se deben usar metales nobles para controlar la expansión de calor de la aleación o la corrosión; por ello, se ha aumentado dramáticamente el coste de estas restauraciones implantológicas. Se han propuesto métodos para crear estructuras huecas para aliviar estos problemas, incluyendo el uso de cubetas individuales para conseguir un ajuste pasivo, que doblarán o triplicarán los costes de trabajo.
Un método alternativo para fabricar prótesis fijas en situaciones de AEO de 15 mm o más son las dentaduras completas fijas o híbridas, con una estructura metálica más pequeña, dientes de resina y resina acrílica uniendo todos estos elementos (fig. 6-32).

La estructura metálica reducida, comparada con la prótesis fija porcelana a metal, exhibe menores cambios dimensionales y se fijará con mayor ajuste a los pilares, lo que es muy importante para las restauraciones retenidas por tomillos. Es más barata su fabricación que la de la prótesis fija porcelana a metal, es bastante estética (dientes de resina prefabricados), se restituye fácilmente la apariencia de los dientes y de los tejidos blandos y es más fácil de reparar en caso de fractura. Como la resina actúa de intermediaria entre los dientes y la estructura metálica, la fuerza de impacto durante la carga oclusal dinámica también puede verse reducida. Por ello, a menudo, se indica este tipo de prótesis fija para la rehabilitación con implantes en casos de un gran EAO. En ocasiones, el laboratorio diseña áreas interproximales infracontorneadas en ciertas restauraciones para ayudar a la higiene oral y se denominan restauraciones «de agua a presión». Este es un método excelente en la mandíbula; sin embargo, origina empaquetamiento de comida, afecta a los patrones de flujo de aire y puede ocasionar problemas de habla en la parte anterior del maxilar.
Como el aumento de las fuerzas biomecánicas es directamente proporcional al incremento en EAO, se deberían considerar, durante el plan de tratamiento de la restauración implantológica, las distintas opciones que reduzcan el estrés cuando el EAO esté aumentado. Entre los métodos para reducir el estrés se incluyen:
- Disminuir la longitud del voladizo.
- Minimizar las cargas de compensación hacia bucal o lingual.
- Aumentar el número de implantes.
- Aumentar el diámetro de los implantes.
- Diseñar los implantes para maximizar el área de superficie de los implantes.
- Fabricar restauraciones removibles, que son menos retentivas e incorporar un soporte en tejidos blandos.
- Quitarse las prótesis removibles durante las horas de sueño para reducir los efectos nocivos de la parafunción nocturna.
- Ferulizar los implantes juntos, cuando sean el soporte de una prótesis fija o removible.
Como el EAO es un considerable magnificador de fuerza, cuanto mayor sea la altura coronaria, menor debería ser el voladizo protético que se extiende detrás del sistema de soporte implantológico. En EAO superiores a los 15 mm no se deberían considerar los voladizos, a no ser que todos los restantes factores de fuerza fueran minimizados. Se debería reducir la intensidad de contacto oclusal sobre cualquier carga no axial del sistema de soporte de los implantes. Incluso, se deberían eliminar los contactos en oclusión de relación céntrica en la mayoría de los puntos posteriores del voladizo. En este sentido, se podría eliminar la carga de parafunción, ya que la mayor parte del voladizo de la prótesis se carga, únicamente, durante la actividad funcional (como masticar).
Dinámica masticatoria
La dinámica de los músculos masticatorios es la responsable de la cantidad de fuerza ejercida sobre el sistema de implantes. Bajo este epígrafe se incluyen diversos criterios: tamaño del paciente, género, edad y posición del esqueleto. La talla del paciente puede influir sobre la cantidad de la fuerza de oclusión. Los hombres altos y atléticos pueden generar fuerzas mayores; los pacientes con una condición física débil a menudo desarrollan menos fuerza que los atléticos (fig. 6-33).

En general, las fuerzas registradas en las mujeres son 10 kg menores que las de los hombres. En un estudio clínico de van Steenberghe y cols, los hombres parcialmente edéntulos tuvieron un tasa de fracaso de implantes de un 13%, mientras que la de las mujeres fue del 77 %. En un estudio de Wyatt y Zarb, la pérdida de hueso radiográfica del primer año se correlacionaba positivamente con hombres, pacientes más jóvenes e implantes soportando una prótesis con extensión distal.
Los pacientes más viejos registran fuerzas de oclusión menores que los adultos jóvenes. Además, los pacientes más jóvenes viven más y necesitan un soporte implantológico adicional de la prótesis para usarla más tiempo. (Un paciente de 80 años necesitará un soporte implantológico para su uso durante muchos menos años que el paciente de 20 años, siendo el resto de factores iguales.)
La posición de la arcada esquelética puede influir en la cantidad de fuerza de oclusión máxima. Los braquicefálieos, con una forma de cabeza robusta, pueden generar una fuerza tres veces mayor en comparación con una forma de cabeza regular. Esto es especialmente notable cuando se acompaña de un bruxismo de moderado a grave o de apretamiento. La fuerza máxima de oclusión disminuye a medida que progresa la atrofia muscular a lo largo de años de edentulismo. Después de 15 años sin dientes se originaría una fuerza oclusal máxima de 5 psi. Esta fuerza puede llegar a aumentar hasta un 300 % después del tercer año de haber colocado los implantes. Por ello, el género, la masa muscular, el ejercicio, la dieta, el estado de la dentición el estado físico y la edad están influidos por la fuerza muscular, la dinámica masticatoria y la fuerza máxima de oclusión.
El paciente de clase III esquelética es principalmente un masticador vertical y genera fuerzas verticales con mínimos movimientos excursivos. Sin embargo, muchos individuos parecen una «pseudo-dase III» como resultado de la reabsorción ósea anterior o pérdida de soporte posterior y colapso de la dimensión vertical con una rotación anterior de la mandíbula. Estos pacientes sí exhiben movimientos laterales excursivos cuando se restaura la posición del borde incisal hasta su posición inicial.
Como regla general, el plan de tratamiento implantológico debería reducir otros magnificadores de fuerza cuando se aumente la dinámica de la musculatura masticatoria. Por ejemplo, se debería reducir la longitud del voladizo en los casos de una dinámica masticatoria elevada. Se podría reducir la altura coronaria con aumentos óseos. La prótesis podría ser removible para reducir el bruxismo nocturno (si no llevan su prótesis). Se debería aumentar el número, tamaño y diseño de los implantes para incrementar el área de superficie de la carga.
Posición en la arcada
La máxima fuerza de oclusión es mayor en la región molar y disminuye a medida que las evaluaciones progresan hacia las zonas anteriores. Las fuerzas de oclusión máximas en la región de los incisivos anteriores corresponden, aproximadamente, entre los 35 y 50 psi; las de la región canina varían entre los 47 y los 100 psi y en las áreas molares entre los 127 y los 250 psi (fig. 6-34).

Mansour y cols, evaluaron matemáticamente las fuerzas oclusales y los momentos usando un brazo de palanca de clase III, siendo los cóndilos, el fulcro y los músculos masetero y temporal los que proporcionan la fuerza. Se obtuvieron figuras similares con los cálculos matemáticos y las mediciones directas. Además, las fuerzas en el segundo molar fueron un 10% más elevadas que las del primero, indicando un rango de entre los 140 y 275 psi.
En un estudio de Chung y cols, sobre 339 implantes en 69 pacientes, en funcionamiento durante una media de 8,1 años (variando entre los 3 y los 24 años), los implantes posteriores (incluso con mucosa queratinizada) mostraron una mayor media de pérdida ósea de 3,5 por año respecto de los implantes anteriores.
Se disminuye la fuerza de oclusión anterior en ausencia de contacto dental posterior y mayor en presencia de oclusión posterior o contactos excéntricos. Además de las propiedades mecánicas de la función de palanca de la clase III, también hay un componente biológico que aumenta la fuerza de oclusión en las regiones posteriores. Cuando contactan los dientes posteriores se contraen la mayoría de los músculos masticatorios. Cuando no hay contacto posterior, dos tercios de los músculos temporal y masetero no contraen sus fibras. Como consecuencia, se reduce la fuerza de oclusión.
En las regiones anteriores con menor fuerza, las raíces de los dientes anteriores naturales son más pequeñas en diámetro y superficie radicular, si se comparan con los posteriores. Aun así, en la odontología implantológica a menudo alteramos la longitud original de los implantes y colocamos los más largos en la región anterior y los más cortos en las zonas posteriores (o voladizo detrás de los implantes anteriores, lo que provoca unas fuerzas de oclusión posterior magnificadas por la longitud del voladizo). Este acercamiento debería corregirse para crear una biomecánica similar a la que se observa en los dientes naturales. En otras palabras, muchas veces los implantes en las regiones posteriores deberían tener un mayor diámetro, especialmente en presencia de factores adicionales de fuerza. El mayor incremento de la superficie de los dientes naturales ocurre en la región molar, con un aumento de un 200 % en comparación con los premolares. Entonces, se debería considerar la elección de implantes de mayor diámetro, especialmente en la región molar.
La densidad del hueso edéntulo varía en función de la posición de la arcada. Los dientes naturales están rodeados por una pared cortical ósea fina y un complejo periodontal, lo que es similar a cualquier diente y posición de arcada. Sin embargo, después de la pérdida dental la densidad ósea en el área edéntula varía entre las distintas zonas de la boca. Las regiones posteriores, en general, forman un hueso de menor densidad después de la pérdida dental respecto de las regiones anteriores. El colocar implantes en el área mandibular anterior se beneficia de un hueso más denso que el de las zonas anteriores maxilares. Cuanto más denso sea el hueso, mayor es su resistencia al estrés aplicado en la interfase implante-hueso. En otras palabras, la densidad del hueso edéntulo se relaciona de una manera inversa con la cantidad de fuerza que, generalmente, se aplica en esa posición de arcada. Como resultado, el maxilar es la arcada que se encuentra en la posición de mayor riesgo, seguida de la zona posterior mandibular y después la parte anterior del maxilar. La región ideal es la anteromandibular.
Arcada antagonista
Los dientes naturales transmiten fuerzas de impacto a través de los contactos oclusales mayores que las de las dentaduras mucosoportadas. Además, la máxima fuerza oclusal de los pacientes portadores de prótesis completas soportadas sobre tejidos blandos es limitada y puede variar entre los 5 y los 26 psi. normalmente, la fuerza es mayor en los pacientes que llevan una dentadura reciente, y va decreciendo con el tiempo. A menudo, a lo largo del tiempo aparecen en los pacientes edéntulos atrofia muscular, adelgazamiento de los tejidos orales por la edad o enfermedad y atrofia ósea. Algunos portadores de prótesis pueden rechinar constantemente sobre su prótesis, lo que puede mantener su masa muscular. Sin embargo, esta situación normalmente acelera la pérdida ósea. Las sobredentaduras sobre implantes mejoran la condición masticatoria y permiten una recuperación más estable de la oclusión de la relación céntrica durante la función. La fuerza máxima generada sobre una prótesis implantológica depende de la cantidad de dientes o implantes que soporte la arcada antagonista (figs. 6-35 y 6-36).

Una prótesis completa fija sobre implantes no se beneficia tanto de la propiocepción como los dientes naturales y los pacientes muerden con una fuerza cuatro veces mayor que con dichos dientes. Por ello, las fuerzas mayores son las originadas por las prótesis sobre implantes (fig. 6-37).

Además, los contactos prematuros en los patrones oclusales o durante la parafunción sobre la prótesis implantológica no alteran la trayectoria de cierre, ya que está disminuida la propiocepción oclusal con las prótesis sobre implantes, en comparación con los dientes naturales. Según esto, se puede esperar que ocurra un continuo aumento del estrés sobre la restauración implantológica.
Los pacientes con dentaduras parciales pueden registrar fuerzas intermedias entre los dientes naturales y las prótesis completas, dependiendo de la localización y la condición de los dientes remanentes, músculos y articulación. En los pacientes parcialmente edéntulos con prótesis fija implanto-soportada, los rangos de las fuerzas son más similares a los de la dentición natural, pero la falta de propiocepción puede magnificar la cantidad de carga durante la actividad parafuncional.
A consecuencia de la arcada antagonista, que afecta a la intensidad de las fuerzas aplicadas sobre las prótesis implantológicas, se puede llegar a modificar el plan de tratamiento a fin de reducir el riesgo de sobrecarga. Es menos frecuente que se tenga que man tener la arcada opuesta en una dentadura tradicional para disminuir el estrés sobre la arcada con los implantes. En su lugar, la arcada con implantes debería diseñarse para compensar el estrés más elevado esperable proveniente de la arcada antagonista implantológica (fig. 6-38).

Resumen
Los factores de fuerza varían mucho de un paciente a otro. Una rehabilitación implantológica debería diseñarse para aguantar la carga y resistir el estrés que soporta la restauración durante su uso. Se debería establecer un plan de tratamiento ideal en función del número y de la posición de los dientes ausentes. Entonces, el plan de tratamiento debe modificarse dependiendo de los factores de fuerza de cada paciente individual.
Siempre es mejor sobrerreforzar la cantidad de soporte necesario para una prótesis. Si solo se usan muy pocos implantes o muy pequeños puede ocurrir la pérdida de hueso alrededor del implante, la fractura o el fracaso. Como regla general, la mejor forma de reducir el riesgo de sobrecarga biomecánica es añadir un implante.
Se han presentado en este capítulo los cinco factores de fuerza más importantes relacionados con las condiciones del paciente. En un a escala del 1 al 10, el bruxismo grave tiene una puntuación de 10; un excesivo EAO puede doblar una fuerza y, por eso, recibe un 7 en esta escala. La posición del pilar en la arcada determina la magnitud de la fuerza, siendo de un 1 a un 2 para los dientes anteriores mandibulares, de 3 a 4 para los anteriores maxilares, 5 para los posteriores mandibulares y de 6 a 7 en los posteriores maxilares (ya que la densidad ósea es la más ideal en la zona anterior de la mandíbula y la menos favorable biomecánicamente es la posteromaxilar). La dirección de la carga bajo unas condiciones ideales de posición del implante es un factor de 3 o 4 en las regiones anteromaxilares. Las otras posiciones de la arcada puede que tengan una dirección más adecuada, a no ser que se coloquen cargas de voladizo sobre la rehabilitación implantológica. La arcada antagonista bajo típicas condiciones de tratamiento es el componente de modificación de fuerza menos importante. Una rehabilitación completa con implantes puede ser un factor de 3, dientes naturales de 2 y una prótesis mucosoportada como antagonista de 1.