Opciones protésicas en implantología
La odontología implantológica es similar a todos los aspectos de la medicina en el hecho de que el tratamiento empieza con el diagnóstico de la situación del paciente. Muchas opciones de tratamiento tienen su origen en la información diagnóstica. La odontología tradicional proporciona opciones de tratamiento limitadas a los pacientes edéntulos.
Como el odontólogo no puede añadir pilares, el diseño de la restauración está directamente relacionado con la condición oral existente. Por otra parte, la odontología implantológica puede proporcionar una gama de localizaciones para pilares adicionales. El aumento de hueso puede modificar posteriormente la condición edéntula existente tanto en el arco edéntulo parcial como en el total afectando por tanto al diseño de la prótesis final. Como resultado, se dispone de un número de opciones de tratamiento para la mayoría de los pacientes edéntulos parciales y completos. De ahí que, una vez completado el diagnóstico, el plan de tratamiento implantológico elegido en un momento dado está basado en el paciente y su problema. No todos los pacientes podrán ser tratados con el mismo tipo o diseño de restauración.
La mayoría de las creaciones hechas por el hombre, ya sean arte, construcciones, o prótesis, requieren del resultado final para ser visualizados y por ello deben ser planificados con precisión para obtener resultados óptimos. Las marcas azules indican los detalles más finos en los edificios. El resultado final debería quedar claramente establecido antes de iniciar el proyecto, un axioma simple pero fundamental que los implantólogos odontológicos suelen olvidar con frecuencia. De una manera histórica en la odontología implantológica, la cantidad de hueso disponible para la inserción de implantes era el elemento que dictaba el número y las localizaciones de los implantes dentales. Se solía determinar entonces con frecuencia qué prótesis emplear, una vez que se había seleccionado la posición y el número de implantes.
Los objetivos de la odontología implantológica se centran en sustituir los dientes perdidos del paciente por un contorno, comodidad, función, estética, habla y salud normales, independientemente de la atrofia, enfermedad, o lesión previa en el sistema estomatognático. Es la restauración final, y no los implantes, la que consigue estos objetivos. En otras palabras, al paciente le faltan dientes, no implantes. Primero hay que diseñar la prótesis para poder predecir de manera satisfactoria las necesidades y deseos del paciente. En el teorema del tratamiento del estrés, se planea en primer lugar cuál va a ser la restauración final, de manera similar a como un arquitecto diseña un edificio antes de empezar los cimientos. Solo cuando se ha llevado esto a cabo, se pueden diseñar los pilares necesarios para soportar la restauración específica predeterminada (fig. 5-1).

Diseño de prótesis para edéntulos completos
El paciente completamente edéntulo suele ser tratado con demasiada frecuencia como si el coste fuese el factor primario a la hora de establecer un plan de tratamiento. En cualquier caso, el odontólogo y su equipo deberían preguntar específicamente acerca de los deseos del paciente. Algunos pacientes presentan una gran necesidad psicológica de tener una prótesis fija tan parecida como sea posible a los dientes naturales. Por otra parte, algunos pacientes no muestran una seria preocupación sobre si la restauración es fija o removible siempre y cuando esté diseñada para sus problemas específicos. Para valorar el diseño final ideal de la prótesis, se debe evaluar la situación anatómica actual después de haber determinado si se desea una restauración fija o removible.
Un axioma del tratamiento con implantes es de proporcionar el tratamiento más predecible, con el menor coste posible que satisfaga las necesidades anatómicas y deseos personales del paciente. En los pacientes completamente edéntulos, una prótesis removible implantosoportada ofrece varias ventajas respecto de una restauración fija implantosoportada (cuadro 5-1).
En cualquier caso, algunos pacientes completamente edéntulos requieren una restauración fija por deseo propio o porque su condición oral hace difícil la fabricación de los dientes si se planean una superestructura y una prótesis removible. Por ejemplo si el paciente dispone de una gran cantidad de hueso y los implantes ya han sido colocados, la falta de espacio vertical en la corona puede impedir la colocación de una prótesis removible.
Con demasiada frecuencia, los planes de tratamiento para los pacientes completamente edéntulos consisten en una dentadura maxilar y una sobredentadura mandibular con dos implantes. En cualquier caso, esta opción de tratamiento puede mostrarse a largo plazo como un flaco servicio al paciente. El arco maxilar continuará perdiendo hueso, y la pérdida ósea podrá incluso verse acelerada en el premaxilar. Una vez perdida esta dimensión, el paciente tendrá muchas más dificultades con la retención y la estabilidad de la restauración. Adicionalmente la falta de soporte de implante posterior en la mandíbula permitirá que continúe la pérdida ósea posterior. Se deberían esperar entonces parestesias, cambios faciales y reducción de la oclusión posterior en la prótesis maxilar. El doctor debería diagnosticar la cantidad de pérdida ósea y sus consecuencias para la estética facial, la función, la salud psicológica y global. Los pacientes deberían ser conscientes acerca de las futuras consecuencias de la pérdida ósea y las mínimas opciones de tratamiento asociadas a estas, lo cual no aborda la continua pérdida ósea en las regiones donde no están insertados los implantes.
Es incluso más importante visualizar al inicio la restauración final cuando se trata de una restauración fija implantosoportada. Después de tan importante paso, se determinan las áreas de pilar de apoyo ideal o clave para valorar la posibilidad de colocar implantes que den soporte a la prótesis deseada. Se evalúan los factores de fuerza del paciente y la densidad ósea en la región del implante de soporte. Los implantes adicionales para soportar las fuerzas esperadas sobre la prótesis diseñada pueden ser determinados entonces escogiendo el tamaño y diseño del implante para contrarrestar la fuerza y las condiciones del área. Solo entonces se evalúa el hueso disponible para valorar si es posible colocar los implantes para soportar la prótesis escogida. En situaciones naturales o de pilares de implantes inadecuados, deben alterarse las condiciones orales existentes o las necesidades y deseos del paciente. En otras palabras, o bien se modifica la boca por aumento para colocar implantes en las posiciones anatómicas correctas, o se debe modificar la mente del paciente para aceptar un tipo diferente de prótesis y sus limitaciones. Para el paciente parcial o completamente edéntulo estaría indicada una restauración fija implantosoportada. La ventaja psicológica de unos dientes fijos aporta un mayor beneficio, y los pacientes edéntulos sienten a veces que los dientes implantosoportados son mejores que los suyos. La mejoría respecto a su restauración removible es significativa.
La sobredentadura completamente implantosoportada requiere el mismo número de implantes que una restauración fija sobre implantes, siendo el coste de la cirugía implantológica similar en ambos casos. Las prótesis fijas suelen durar más tiempo que las sobredentaduras, porque las sujeciones no requieren ser sustituidas y la dentadura de dientes acrílicos se desgasta más rápidamente que la porcelana o el metal. La posibilidad de que queden atrapados restos de comida debajo de una sobredentadura removible suele ser mayor que en una restauración fija, ya que en esta última suelen ser requeridas extensiones de tejido blando para soporte. Los gastos de laboratorio para una prótesis fija suelen ser similares a los de la barra, las cofias de retención y la sobredentadura. Al ser muy inferiores los gastos de una dentadura o una dentadura parcial en comparación con las prótesis fijas, muchos especialistas cobran una cantidad muy inferior al paciente por una sobredentadura removible sobre implantes aunque el tiempo de consulta y los gastos de laboratorio suelan ser similares para las restauraciones fijas o removibles que sean completamente implantosoportadas. Deberíamos planteamos aumentar al paciente los gastos de una sobredentadura hasta niveles más en línea con las restauraciones fijas.
Diseños de prótesis para pacientes parcialmente edéntulos
Un axioma común en la prostodoncia tradicional para un edentulismo parcial consiste en proveer una prótesis fija parcial siempre que sea posible. Cuantos menos dientes naturales falten, más indicada estará una prótesis fija parcial. Lo ideal sería que la prótesis fija parcial estuviese completamente soportada por implantes en lugar de unir los implantes con los dientes. Este concepto conlleva a emplear más implantes en el plan de tratamiento. Aunque esto pueda suponer un inconveniente en cuanto al coste, su importancia se ve completamente sobrepasada por los beneficios significativos para la salud intraoral. Los implantes añadidos en los lechos implantológicos suponen el empleo de un menor número de pónticos, más unidades de retención en la restauración, y menos estrés sobre el hueso de soporte. Como resultado, se minimizan las complicaciones y se aumenta la longevidad de los implantes y de la prótesis (cuadro 5-2).
Opciones protésicas
En 1989, Misch propuso cinco opciones protésicas para la odontología implantológica9,10 (tabla 5-1). Las tres primeras opciones son prótesis fijas (PF). Estas tres opciones pueden reemplazar denticiones parciales (uno o varios dientes) o totales y pueden estar cementadas o atornilladas. Se emplean para comunicar el aspecto de la prótesis final a todos los miembros del equipo implantológico. Estas opciones dependen de la cantidad de estructuras de tejidos blandos y duros a sustituir y de las características de la prótesis en el área estética. El elemento común de todas las opciones fijas es la imposibilidad por parte del paciente de remover la prótesis. Existen también dos tipos de restauraciones finales con implantes que son prótesis removibles (PR); dependen de la cantidad de soporte de implante, no del aspecto de la prótesis.
Prótesis fijas
PF-1
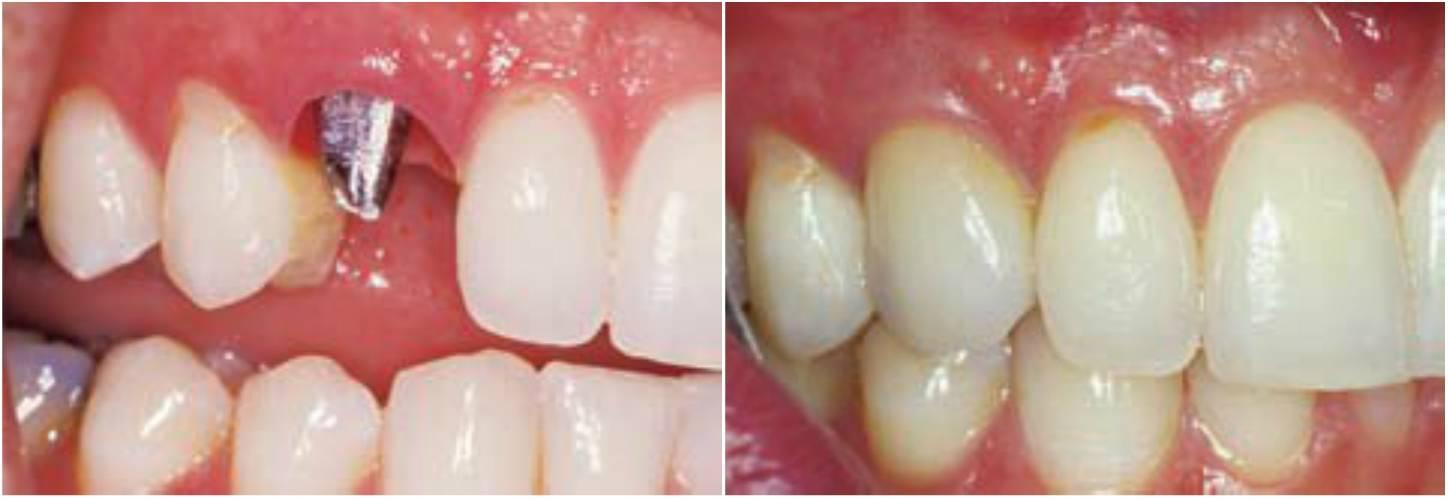
Una PF-1 es una restauración fija y parece, a ojos del paciente, sustituir únicamente las coronas anatómicas de los dientes naturales perdidos. Para fabricar este tipo de restauración, debe haber una pérdida mínima de tejidos blandos y duros. El volumen y posición del hueso residual deben permitir la colocación ideal del implante en una localización similar a la de la raíz del diente natural. La restauración final es muy similar en tamaño y contorno a las prótesis fijas más tradicionales empleadas para restaurar o reemplazar las coronas naturales de los dientes (fig. 5-2).

La prótesis PF-1 suele escogerse con más frecuencia para la región maxilar anterior, especialmente en la zona estética durante la sonrisa o el habla. La restauración final PF-1 parece ser similar, para el paciente, a una corona sobre un diente natural. En cualquier caso, el pilar del implante raramente puede ser tratado exactamente como un diente natural preparado para una corona completa. El diámetro cervical de un incisivo central maxilar es aproximadamente de 6,5 mm con un corte de sección oval a triangular. En cualquier caso, el pilar del implante suele tener un diámetro de 4 mm y tener un corte de sección redondo. Además, el lugar de colocación del implante raramente suele corresponder exactamente a la posición de la corona-raíz del diente original. El fino hueso labial que se extiende por encima del aspecto facial de una raíz anterior maxilar se remodela después de la pérdida del diente y el ancho de la cresta se mueve hasta el paladar, disminuyendo en un 40% durante los dos primeros años. Se suele modificar también la tabla oclusal en regiones no estéticas para acomodarse al tamaño y posición del implante y para dirigir las fuerzas verticales hacia el cuerpo del implante. Por ejemplo, las prótesis mandibulares posteriores implantosoportadas tienen tablas oclusales más estrechas en detrimento del contorno bucal, porque el implante es de tamaño más pequeño en diámetro y es colocado en la región de la fosa central del diente (fig. 5-3).

Al disminuir frecuentemente la anchura o la altura vertical del hueso de la cresta después de la pérdida de múltiples dientes naturales adyacentes, suele requerirse un aumento de hueso antes de la colocación del implante para conseguir coronas de apariencia natural en la región cervical (fig. 5-4).

En los rebordes edéntulos no existen papilas interdentales, de ahí que suela requerirse con frecuencia el aumento de tejidos blandos para mejorar el contorno gingival interproximal. Ignorar este paso provocaría espacios triangulares abiertos «negros» (donde debería estar presente la papila) al sonreír el paciente. Las prótesis PF-1 son especialmente difíciles de conseguir cuando faltan más de dos dientes adyacentes. La pérdida de hueso y la falta de tejido blando interdental complican el resultado estético final, especialmente en la región cervical de las coronas.
El material restaurador escogido para una prótesis PF-1 va desde la porcelana hasta la aleación de metal noble. Una subestructura de metal noble puede ser separada y soldada en el caso de una falta de ajuste pasivo durante la prueba del metal, y los metales nobles en contacto con los implantes se corroen menos que las aleaciones no preciosas. Cualquier historial de exudado alrededor de un margen de base metálica subgingival aumentará dramáticamente el efecto de corrosión entre el implante y la base de metal. Una corona de diente PF-1 individual puede emplear núcleos de óxido de aluminio y coronas de porcelana, o pilares cerámicos y coronas de porcelana. En cualquier caso, el riesgo de fractura aumentará en el segundo caso, ya que las fuerzas de impacto son mayores sobre los implantes que sobre los dientes naturales.
PF-2
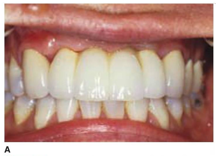
Una prótesis fija PF-2 parece restaurar la corona anatómica y una porción de la raíz del diente natural. El volumen y la topografía del hueso disponible es más apical en comparación con la posición ósea ideal de una raíz natural (de 1 a 2 mm por debajo de la unión cemento-esmalte) y dicta una colocación del implante más apical en comparación con la prótesis PF-1. Como resultado, el eje incisivo se encuentra en la posición correcta, pero el tercio gingival de la corona se extiende más, habitualmente de manera apical y lingual respecto de la posición del diente original. Estas restauraciones son similares a los dientes que presentan pérdida ósea periodontal y recesión gingival (fig. 5-5).

Tanto el paciente como el odontólogo deberían estar al corriente desde el inicio del tratamiento de que los dientes protésicos finales parecerán más largos que unos dientes naturales sanos (sin pérdida ósea). La zona estética de un paciente se establece en el arco maxilar durante la son risa y en el arco mandibular mediante sonidos sibilantes durante el habla (figs. 5-6 y 5-7).

Si durante la sonrisa y el habla, las líneas labiales superior e inferior respectivamente no exponen las regiones cervicales, los dientes largos no suelen tener consecuencias estéticas, a condición de que el paciente haya sido informado previamente al tratamiento (fig. 5-5, B).
A medida que el paciente se hace mayor, la zona estética maxilar se ve alterada. Solo el 10% de pacientes más jóvenes no muestran algún tejido blando al sonreír, mientras que el 30 % de los que tienen 6 0 años y el 50 % de los que tienen 80 años no muestran las regiones gingivales mientras sonríen (fig. 5-8).

La posición del labio inferior no se ve tan afectada durante la sonrisa como la línea de sonrisa superior. Solo el 10% de los pacientes más mayores muestra el tejido blando mandibular durante el habla.
Una restauración PF-2 de múltiples unidades no requiere una posición de los implantes específica en la posición mesial o distal porque el contorno cervical no queda expuesto durante la función. Se puede escoger la posición del implante en relación con la anchura del hueso, el ángulo o consideraciones higiénicas más que las solicitudes puramente estéticas (en comparación con la prótesis PF-1). En ocasiones, el implante puede colocarse incluso en una tronera entre dos dientes (fig. 5-9).

Esto suele ocurrir con los dientes mandibulares anteriores en las restauraciones fijas de arcada completa. Si esto se produce, el área más estética suele requerir que los dos tercios incisales de las dos coronas tengan la anchura ideal, aunque el implante no esté presente (fig. 5-10).

Solo la región cervical se ve comprometida. Aunque el implante no se encuentre en una posición mesiodistal ideal, debería ser colocado en la posición bucolingual correcta para asegurar que el contorno, la higiene, y la dirección de las fuerzas no se vean comprometidos.
El material escogido para una prótesis PF-2 es un metal precioso unido a porcelana. La cantidad y el contorno del armazón metálico son diferentes al de una restauración PF-1 y es más relevante en una prótesis PF-2, porque la cantidad de volumen adicional de sustitución dental aumenta el riesgo de porcelana no soportada en la prótesis final, cuando la estructura metálica se encuentra infracontorneado.
PF-3
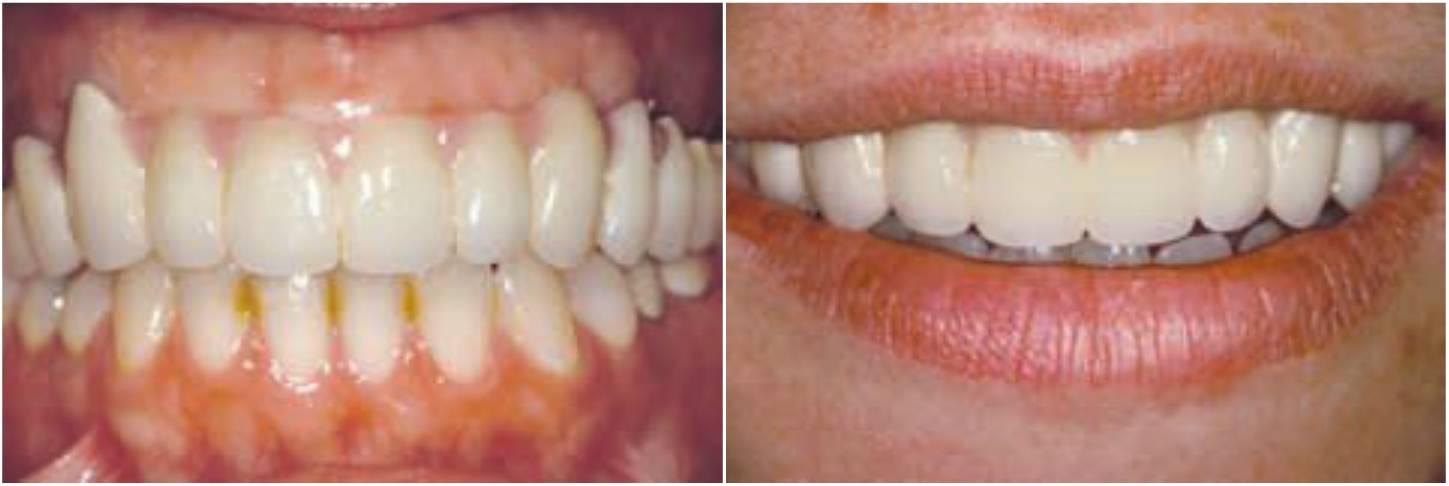
La restauración fija PF-3 parece reemplazar las coronas de los dientes naturales y contiene materiales restaurativos de color rosa para reemplazar una porción de los tejidos blandos. Al igual que con la prótesis PF-2, la altura ósea original disponible ha disminuido a causa de la reabsorción o por una osteoplastia en el momento de la colocación del implante. Para colocar el eje incisal de los dientes en la posición adecuada para la estética, la función, el soporte labial, y el habla, la excesiva dimensión vertical que es necesario restaurar requiere dientes que son antinaturales en longitud. En cualquier caso, al igual que la prótesis PF-2, el pacíente puede tener una línea labial maxilar alta durante la sonrisa o una línea labial mandibular baja durante el habla. La línea de sonrisa superior ideal muestra la papila interdental de los dientes maxilares anteriores pero no el tejido blando por encima de las regiones mediocervicales.
Aproximadamente el 7 % de los varones y el 14% de las mujeres tienen una sonrisa alta o «gingival» y muestran más de 2 mm de encía por encima del margen gingival libre de los dientes.
El paciente puede tener también mayores demandas estéticas incluso cuando los dientes no se muestran con una sonrisa estética y al hablar. Los pacientes se quejan de que la apariencia de dientes más largos no parece natural incluso cuando tiene que levantar o mover sus labios en posiciones antinaturales para observar las regiones tapadas de los dientes. Como resultado del color gingival restaurado de la PF-3, los dientes presentan un aspecto más natural en tamaño y forma y los materiales restaurativos rosas imitan a la papila interdental y la región emergente cervical. La suma de acrílico de to no gingival o porcelana para un aspecto de prótesis fija más natural suelen estar indicados en pilares de implantes múltiples porque la pérdida ósea es común en estas condiciones (fig. 5-11).

Básicamente existen dos enfoques para una prótesis PF-3: 1) una restauración híbrida compuesta por una dentadura con dientes con una subestructura acrílica y metálica o 2) una restauración de metal-porcelana (figs. 5-12 a 5-14; tabla 5-2).

El factor primario que determina el material de restauración es la cantidad de espacio vertical de la corona. Un espacio vertical excesivo de la corona significa que una restauración tradicional de metal-porcelana tendrá una gran cantidad de metal en la subestructura, para que la porcelana no tenga más de 2 mm de espesor. De lo contrario se produce un aumento en las fracturas de la porcelana. Los metales preciosos están indicados en las restauraciones con implantes para disminuir el riesgo de corrosión y mejorar la exactitud del colado, teniendo en cuenta que los metales no preciosos contraen más durante el proceso de colado. Sin embargo, la gran cantidad de metal en la subestructura actúa como un disipador de calor y dificulta la aplicación de la porcelana durante la confección de la prótesis. Además, como el metal se enfría después del colado, las regiones más finas del metal se enfrían primero, creando porosidades en la estructura. Esto puede producir fracturas en la estructura tras la carga. Además, cuando el colado vuelve a introducirse en el horno para la cocción de la cerámica, el calor en el interior del colado se mantiene en proporciones distintas, con lo que la velocidad de enfriamiento de la porcelana varía, aumentando así el riesgo de fractura de la misma. Además, el aumento de la cantidad de metal precioso en el colado incrementa el peso y el coste de la restauración. Una restauración ceramometálica tipo PF-3 es más difícil de fabricar para el técnico de laboratorio que una prótesis PF-2. La porcelana rosa es difícil de caracterizar para que imite el tejido blando y normalmente requiere varios ciclos de cocción. Esto incrementa el riesgo de porosidad o fracturas de la porcelana.
Una alternativa a la prótesis tradicional fija de metal porcelana es la restauración híbrida (v. tabla 5-2). Este di seño utiliza una estructura metálica menor, con dientes artificiales y acrílico para unir estos elementos (fig. 5-15).

Esta restauración es menos cara de fabricar y es muy estética debido a los dientes artificiales prefabricados y al reemplazo de los tejidos blandos por el acrílico rosa. Además, el acrílico interpuesto entre los dientes y el armazón puede reducir fuerza de impacto de las cargas odusales dinámicas. La prótesis híbrida es más fácil de reparar ante una fractura, y el diente artificial puede sustituirse con un riesgo menor que el añadido de porcelana a una restauración tradicional ceramometálica. En cualquier caso, la fatiga del acrílico es mayor que en las prótesis tradicionales; de ahí que la reparación de la restauración se necesite con más frecuencia.
La determinación del espacio vertical de la corona de una restauración híbrida frente a una restauración tradicional de metal-porcelana es de 15 mm desde el hueso hasta el plano oclusal. Cuando la dimensión de la que se dispone es inferior a esta, se sugiere emplear una restauración de metal-porcelana. Cuando existe un espacio vertical de la corona mayor, se suele fabricar una restauración híbrida.
Los implantes que se colocan demasiado vestibulares, linguales o en troneras son más fáciles de restaurar cuando se ha perdido hueso en sentido vertical y se ha fabricado una prótesis PF-2 o PF-3, porque incluso la línea labial superior en posición extrema no expone los pilares de los implantes durante la sonrisa. Las mayores alturas en las coronas permiten la corrección de las posiciones de los ejes incisales. En cualquier caso, la restauración PF-2 o PF-3 tienen un a mayor altura de corona en comparación con las prótesis fijas de tipo PF-1; de ahí que se produzca sobre las regiones cervicales de los implantes un mayor momento de fuerza, especialmente durante las fuerzas laterales (ej. las excursiones mandibulares o con las restauraciones con cantilevers). Como resultado, se deberían considerar pilares de implantes suplementarios o cantilevers de menor longitud para estas restauraciones.
Una prótesis PF-2 o PF-3 presenta en raras ocasiones la papila interdental o los contornos ideales de tejido blando del paciente alrededor de la emergencia de las coronas, porque estas restauraciones se emplean cuando existe un mayor espacio vertical en la corona y el labio no expone las regiones de tejido blando del paciente. En el arco maxilar, troneras completamente abiertas entre los implantes pueden causar impactación de la comida o problemas del habla. Estas complicaciones pueden resolverse mediante el empleo de un aparato removible de sustitución de tejidos blandos o haciendo restauraciones cervicales sobrecontorneadas. Se suele extender o superponer la prótesis maxilar PF-2 o PF-3 por encima de los tejidos blandos para no debilitar el habla. La higiene es más difícil de controlar aunque sea posible el acceso cercano a cada pilar de implante.
La restauración mandibular puede dejarse por encima del tejido, de modo similar a los pónticos sanitarios. Esto facilita la higiene oral en la mandíbula, especialmente cuando el sitio transmucoso del implante está al mismo nivel que el suelo de la boca y el fondo del vestíbulo. En cualquier caso, si el espacio debajo de la restauración es demasiado grande, puede faltar soporte al labio inferior en la región labiomental.
Prótesis removibles
Existen dos tipos de prótesis removibles, según sea el soporte de la restauración (tabla 5-1). Los pacientes pueden remover la restauración, pero no la superestructura implantosoportada sujeta a los pilares. La diferencia entre las dos categorías de prótesis removibles no se basa en su aspecto (como ocurre en las categorías fijas). Por el contrario, las dos categorías de removibles vienen determinadas por la cantidad de soporte para los implantes. Las prótesis de implantes removibles más comunes son sobredentaduras para pacientes completamente edéntulos. No se ha hecho referencia alguna en la literatura sobre las dentaduras parciales removibles tradicionales con retenedores sobre las coronas de los pilares de implantes. No se dispone de estudios ya sean a corto o largo plazo. Por otra parte, frecuentemente se han elaborado informes predecibles sobre las sobredentaduras removibles completas. Como resultado, las opciones protésicas removibles son primariamente sobredentaduras para los pacientes completamente edéntulos.
PR-4
La PR-4 es una prótesis removible completamente soportada por los implantes, los dientes o ambos. Cuando se inserta la restauración, esta es rígida: los retenedores de sobredentadura suelen conectar la prótesis removible con una barra de tejido de perfil bajo o una superestructura que feruliza los pilares de los implantes. Se suelen requerir cinco o seis implantes en la mandíbula y de seis a ocho implantes en el maxilar para fabricar las prótesis PR-4 completamente implantosoportadas en pacientes con un criterio dental favorable (fig. 5-16).

El criterio para la colocación de los implantes para una prótesis PR-4 es diferente que para una prótesis fija. Se requieren dientes de dentadura más acrílicos para la restauración removible. Adicionalmente se deben añadir a los pilares de implantes una superestructura y retenedores de sobredentadura. Esto requiere una colocación de los implantes más lingual y apical en comparación con la colocación de los implantes para las prótesis fijas. En una prótesis PR-4 los implantes (y en las restauraciones PF-2 o PF-3) deberían ser colocados en la posición mesiodistal para la mejor situación biomecánica e higiénica. Ocasionalmente, la posición de una sujeción sobre la superestructura o la prótesis puede afectar también al espacio disponible entre los implantes. Por ejemplo, un clip de Hader requiere que el espacio entre implantes sea mayor de 6 mm de eje a eje, y como consecuencia reduce el número de implantes que se pueden colocar entre los agujeros mentonianos. La prótesis PR-4 puede tener el mismo aspecto que una restauración PF-1, PF-2 o PF-3. Se puede fabricar una prótesis de metal-porcelana con sujeciones en pilares de coronas escogidos para pacientes que tengan el deseo cosmético de una prótesis fija. Los retenedores de sobredentadura permiten una mejor higiene oral o permiten al paciente dormir sin las fuerzas excesivas del bruxismo nocturno sobre la prótesis.
PR-5
La PR-5 es una prótesis removible que combina el soporte por implantes y por tejido blando. La cantidad de soporte mediante implantes es variable. La sobredentadura mandibular completamente edéntula puede tener: 1) dos implantes anteriores independientes entre ellos; 2) implantes ferulizados en la región canina para aumentar la retención ; 3) tres implantes ferulizados en las áreas premolar y de los incisivos centrales para proporcionar estabilidad lateral, o 4) implantes ferulizados con una barra de cantilever para reducir las abrasiones de los tejidos blandos y para limitar la cantidad de recubrimiento de tejido blando necesario para el soporte de la prótesis. La ventaja primaria de una restauración PR-5 es su reducido coste. La prótesis es muy similar a las sobredentaduras tradicionales soportadas por dientes naturales (fig. 5-17).

Se puede fabricar una dentadura como tratamiento previo a la implantología para asegurar la satisfacción del paciente. Esta técnica está especialmente indicada para aquellos pacientes con necesidades y deseos acerca del resultado estético final. El odontólogo implantológico puede emplear también la dentadura de tratamiento como guía para la colocación de los implantes. El paciente puede llevar la prótesis durante la etapa de cicatrización. Una vez que se descubren los implantes, la superestructura es fabricada siguiendo las líneas de la restauración de tratamiento existente. Una vez se ha llevado esto a cabo, la prótesis de tratamiento preimplantológico se puede convertir en una restauración PR-4 o PR-5.
Tanto el odontólogo como el paciente deberían ser conscientes de que el hueso seguirá reabsorbiéndose en las regiones mucosoportadas de la prótesis. Los rebases y los ajustes odusales son un mantenimiento común requeridos cada pocos años por las restauraciones PR-5. Con las restauraciones PR-5, la reabsorción ósea suele producirse de dos a tres veces más rápido que la reabsorción observada en las dentaduras completas. Esto puede ser un factor a tener en cuenta al considerar este tipo de tratamiento en pacientes jóvenes, a pesar de un coste más bajo y un índice de fracasos bajo.
Resumen
En la odontología tradicional, la restauración refleja la condición existente en el paciente. Primero se evalúa la existencia de pilares naturales, y acorde a este hecho se fabrica una restauración removible o fija. La odontología implantológica es única ya que se pueden crear unidades de cimientos adicionales para un resultado prostodóncico deseado. De ahí que, las necesidades y deseos tanto psicológicos como anatómicos del paciente deben ser determinados. Se puede diseñar entonces la prótesis que satisface estos objetivos y elimina los problemas existentes. Para un paciente completamente edéntulo, la prótesis puede ser fija o removible mientras que para la mayoría de los pacientes parcialmente edéntulos se planean prótesis fijas.
Si solo se emplea el mismo enfoque para todos los pacientes, los mismos escenarios quirúrgicos y protésicos se repetirán invariablemente. Por ejemplo, si se emplea una tradicional placa fija a modo de abrazadera en la mandíbula, en todas las mandíbulas edéntulas, no solo el implante y la cirugía son similares, independientemente de las condiciones intra o extra orales, sino que además una prótesis PR-5 dará resultado a pesar de las necesidades y deseos del paciente.
Los beneficios de la odontología implantológica solo pueden ser percibidos la primera vez que se discute y se determina la prótesis. Un enfoque de tratamiento organizado basado en la prótesis, permite resultados de terapia predecibles. En odontología implantológica existen cinco opciones protésicas disponibles. Tres de ellas son fijas y varían según la cantidad de tejido blando y duro sustituido; dos son removibles y se basan en la cantidad de soporte para la restauración (figs. 5-18, 5-19).

La cantidad de soporte requerida para una prótesis con implantes debería ser diseñada inicialmente de manera similar a las restauraciones tradicionales dentosoportadas. Una vez que se diseña la prótesis pensada, se pueden establecer los implantes y tratamientos adyacentes a este resultado específico.