Fundamentos de los implantes dentales
El objetivo de la odontología moderna consiste en restaurar al paciente en un contorno, función, comodidad, estética, habla y salud, ya sea retirando una caries de un diente o reemplazando varios dientes. Lo que hace que la odontología implantológica sea única es su capacidad para obtener ese objetivo, independientemente de la atrofia, enfermedad o lesión del sistema estomatognático. En cualquier caso, esta tarea se vuelve aún más un desafío cuantos más dientes le falten al paciente. Como resultado de una investigación continuada, de las herramientas diagnósticas, de la planificación de los tratamientos, del diseño de los implantes, de los materiales y de las técnicas, la predicción del éxito ya es una realidad para la rehabilitación de muchas situaciones clínicas desafiantes.
El número de implantes dentales empleados en Estados Unidos se incrementó más de diez veces entre 1983 y 2002, y más de cinco entre 2000 y 2005. Más de un millón de implantes dentales son insertados cada año. Este número sigue incrementándose de manera constante, con aproximadamente 550 millones de dólares de productos implantológicos vendidos a los odontólogos norteamericanos en 2005, comparados con los 10 millones de dólares en 1983, con una expectativa de crecimiento anual sostenido de entre el 12 y el 15% para los próximos años. Si se consideran los materiales óseos para injertos como materiales implantológicos, se estima que el campo de la odontología implantológica venderá en servicios a los pacientes aproximadamente 10.000 millones de dólares para el año 2010.
Más del 90% de los odontólogos relacionados con la cirugía oral emplean actualmente tratamientos implantológicos dentales de manera rutinaria en sus consultas, el 90% de los prostodoncistas restauran implantes de manera rutinaria y más del 80% de los odontólogos generalistas han empleado implantes como soportes para prótesis fijas o removibles, en comparación con el 65% de hace 15 años.
El incremento de la necesidad y uso de tratamientos relacionados con los implantes se debe al efecto combinado de varios factores, que incluyen:
- el envejecimiento de la población que vive más tiempo,
- la pérdida de dientes en relación con la edad,
- las consecuencias de fallos de prótesis fijas,
- las consecuencias anatómicas del edentulismo,
- los pobres resultados de las prótesis removibles,
- las consecuencias de las dentaduras parciales removibles,
- los aspectos psicológicos de la pérdida de dientes y las necesidades y deseos de los «baby boomers» que envejecen,
- los resultados predecibles a largo plazo de las prótesis soporta das con implantes,
- las ventajas de las restauraciones soportadas con implantes y
- un mayor conocimiento de la población.
Efectos del envejecimiento de la población
Según todas las informaciones, la edad está directamente relacionada con to d os los indicadores de pérdida de dientes. Por tanto, el envejecimiento de la población es un factor a tener en cuenta en la odontología implantológica. Cuando Alejandro Magno conquistó el mundo antiguo, sólo tenía 17 años. En cualquier caso, la esperanza de vida en aquella época era de 22 años. Desde el año 1000 a.C. hasta el año 1800, la duración vital se mantuvo por debajo de los 30 años (fig. 1-1). Desde 1960, el crecimiento de la esperanza de vida ha sido más rápido que en cualquier otra época de la historia. En 1980, el 30% de la población de Estados Unidos tenía más de 45 años, el 21% tenía más de 50 y el 11% tenía más de 65. En 1995, 15 años después, todos estos individuos tenían más de 60 años. Se prevé que el grupo de mayores de 65 años se incremente en un 12% en el año 2000 hasta representar más del 20% de la población en los próximos 25 años (fig. 1-2).

Adicionalmente, no solo está aumentando el porcentaje de población mayor de 65 años, sino que la población total también está aumentando. La población en el año 2000 era de 282 millones y se prevé que para el año 2050 crezca un 49 % hasta los 420 millones. Considerando el efecto tanto del aumento total de población como de que un mayor porcentaje de dicha población tenga más de 65 años, se puede prever un incremento total espectacular del número de pacientes. En 2003, 35 millones de personas tenían más de 65 años. Se prevé que esta cifra se incremente en un 87% para el año 2025, hasta alcanzar los 70 millones de personas mayores de 65 años13 (fig. 1-3). Puesto que la pérdida de dientes es más probable en la población mayor, la necesidad de odontología implantológica aumentará brusca mente en las próximas décadas.

La esperanza de vida ha aumentado significativamente más allá de la edad de la jubilación. En 1965 la duración media de la vida era de 65 años; en 1990 era de 78 años.
La esperanza de vida en 2001 era de 85 años para una persona no fumadora de peso normal. Actualmente, una persona de 65 años puede esperar vivir 20 años adicionales, y una persona de 80 años puede hacerlo 9 años más (fig. 1-4). Las mujeres representan los dos tercios de la población mayor de 65 años. No es inusual que un paciente de 70 años pregunte, «¿merece la pena a mi edad gastar 30.000 dólares en reparar mi boca?». La respuesta debería ser muy positiva, ya que la esperanza de vida del paciente se prolongará dos décadas más y su estado oral actual normalmente empeorará si no es tratado.

Los placeres sociales, como tener citas y salir a cenar, perduran hasta una edad avanzada. En el pasado, la odontología geriátrica era equivalente a tratamientos poco caros, poniendo el énfasis en enfoques no quirúrgicos. El ratio de pobreza en las personas mayores alcanza en cualquier caso a solo el 10%, y los ingresos medios en los jubilados han aumentado un 8% en años recientes. Según el último censo, la ganancia media neta en los jubilados es 15 veces mayor que en los más jóvenes de 35 años, y tres veces mayor que en las «familias trabajadoras» de entre 35 y 44 años.
Cerca del 20 % de los jubilados actualmente tienen unas ganancias netas de más de un cuarto de millón de dólares.
Hoy día, debido al aumento de la edad de nuestra población, el potencial total de los servicios dentales para las personas más mayores está incrementando en importancia tanto para el público como para la profesión. Las alternativas de tratamiento que emplean las prótesis fijas con un soporte implantológico deberían plantearse a la mayoría de los pacientes. Los deseos de una persona en relación con los beneficios de la odontología implantológica solo se pueden apreciar realmente cuando se han analizado todas las opciones de tratamiento.
Los servicios dentales para las personas más mayores representan claramente una demanda creciente de la profesión dental. En el año 2000, el 28 % de los ingresos totales de un odontólogo vinieron de pacientes de 60 años o más, un grupo que solo representaba el 12% de los ingresos en 1988. Cuando el odontólogo tiene más de 4 0 años, los ingresos de estos pacientes mayores representan el 64 % de sus ingresos, mientras que en 1988 representaban el 30 %. Claramente, la demografía de nuestra población ha cambiado radicalmente la economía de la práctica dental.
Pérdida de dientes relacionada con la edad
Edentulismo de un solo diente
Las regiones posteriores de la boca suelen requerir la sustitución de un solo diente21'23 (fig. 1-5). Los primeros molares son el primer diente permanente en erupcionar en la boca y, desafortunadamente, suelen ser la primera pieza que se pierde por caries dentaria, fracaso de la terapia endodóncica o fractura (normalmente posterior a una endodoncia). Son dientes importantes para el mantenimiento de la forma de la arcada y de los esquemas oclusivos correctos. Adicionalmente, el paciente adulto suele llevar una o más coronas, como consecuencia de reparaciones importantes previas requeridas para reparar la integridad del diente. Los datos sobre la longevidad de las coronas han aportado resultados muy dispares.

Se ha observado que la vida media en el momento de la rotura es de 10 años. Otros datos revelan un rango de entre un 3% de fracaso a los 23 años hasta un fracaso del 20 % a los 3 años. La causa primaria del fracaso de la corona es una caries seguida de una terapia de endodoncia. El diente corre el riesgo de la extracción como resultado de estas complicaciones, que son las causas principales de la pérdida individual de un diente posterior en el adulto (fig. 1-6). Se ha evaluado que una corona de 245 dólares de valor en un paciente de 22 años supondrá un coste a lo largo de la vida del paciente de 12.000 dólares en repararlo/reemplazarlo.

Prótesis parciales fijas
La elección más común para reemplazar un único diente posterior es la de la prótesis parcial fija (PPF) de tres unidades. Este tipo de restauración puede ser fabricado en una o dos semanas y satisface el criterio de contorno normal, comodidad, función, estética, habla, y salud. Gracias a estos beneficios, la PPF ha sido el tratamiento de elección durante las últimas seis décadas. Son pocas las consideraciones acerca del hueso y los tejidos blandos en el lugar del diente perdido. Todo odontólogo está familiarizado con este procedimiento, y es ampliamente aceptado por la profesión, los pacientes y las compañías aseguradoras dentales.
En Estados Unidos, al 70% de la población le falta al menos un diente. Casi el 30 % de las personas de entre 50 y 59 años examinadas en una encuesta nacional de EEUU presentaron uno solo o varios bordes edéntulos bordeados por dientes naturales. En 1990 se colocaron más de 4 millones de PPF en Estados Unidos. Los tratamientos para reemplazar un único diente mediante una prótesis fija representan el 7% del desembolso anual dental de las compañías aseguradoras y más de 3.000 millones de dólares anuales. Solo un tercio de la población de Estados Unidos dispone de una póliza de seguro dental, y de los que la tienen, a solo el 50% les cubre el coste de los tratamientos. De ahí que el coste global de las PPF de tres a cuatro unidades se acerque cada año a más de 10.000 millones de dólares en Estados Unidos.
Las PPF de tres unidades presentan también limitaciones de supervivencia a una restauración y, de manera más importante, al pilar dental. En una evaluación sobre 42 casos desde 1970, Creugers y cols, calcularon para las PPF una supervivencia media del 74% para un período de 15 años.
Walton y cols. y Schwartz y cols., respectivamente observaron una duración de vida media de entre 9,6 y 10,3 años.
En cualquier caso, los datos son muy inconsistentes, con valores que van desde el 3% de pérdidas sobre 23 años has ta el 20 % sobre 3 años. Las caries y los fracasos endodóncicos de los pilares dentales son las principales causas de los fracasos protésicos. Hasta un 15% de los pilares dentales para una PPF requieren un tratamiento endodóncico, en comparación con el 3% necesario para los dientes con coronas que no actúan como pilar. La salud periodontal a largo plazo de los pilares dentales, incluyendo la pérdida ósea, es también un factor de riesgo mayor.
Las consecuencias desfavorables del fracaso de una PPF incluyen la necesidad de reemplazar una prótesis que ha fracasado y la pérdida de un pilar, y la necesidad de pónticos adicionales y pilares dentales en el puente de sustitución. Se pueden perder los pilares dentales de una PPF hasta en un 30 % de los casos en un plazo de 14 años. Se pierden aproxi madamente entre el 8 y el 12% de los pilares dentales que sujetan una PPF en el plazo de los primeros 10 años. El mo tivo más común para la pérdida individual de un diente es el fracaso endodóncico o la fractura del diente (normalmente posterior a un tratamiento endodóncico). Por el hecho de que los pilares dentales requieren una endodoncia, y de que la terapia del canal radicular tenga éxito en el 90% de los casos en el plazo marcado de 8 años, los pilares dentales están más sujetos a sufrir caries cuando se encuentran inmovilizados mediante un póntico intermedio. Las coronas individuales tienen una media de incidencia de caries inferior al 2%; sin embargo, el riesgo de caries en los pilares dentales es del 20%, principalmente porque el área del póntico actúa como reservorio de placa. Una lesión de caries en un margen de la corona puede causar un fallo estructural, incluso siendo posible el tratamiento endodóncico (fig. 1-7).

Prácticamente el 80 % de los pilares dentales preparados para una PPF de tres unidades tienen mínimas restauraciones o ninguna. En lugar de remover la estructura externa de un diente y de colocar una corona en dos o más dientes, aumentando de esta manera el riesgo de caries y de terapia endodóncica (y de inmovilizar varios dientes con pónticos, lo que puede causar potencialmente la pérdida de otros dientes), un implante dental puede sustituir el diente individual (cuadro 1-1).
Implantes dentales unitarios
Un tratamiento opcional para sustituir a un solo diente perdido es un implante dental unitario (fig. 1-8). Durante años, los pacientes debían aparcar sus deseos y aceptar las limitaciones de una PPF. Sin embargo, muchos sienten que el método más natural de reemplazar un diente es emplean do un implante, más que preparando los dientes adyacentes y uniéndolos con una prótesis. Los motivos principales para sugerir el uso de las PPF fueron su facilidad clínica y su reducido tiempo de tratamiento. En cualquier caso, si se expandiera este concepto, las extracciones reemplazarían a las endodoncias y las dentaduras podrían incluso reemplazar a las ortodoncias. El motivo principal para sugerir o llevar a cabo un tratamiento no debería tener relación con el tiempo de tratamiento o la dificultad del procedimiento, sino que debería ser la mejor solución posible a largo plazo para cada individuo.

Desde 1993 hasta la fecha, los estudios sobre la supervivencia de los implantes individuales han validado este procedimiento como el método de sustitución dental más predecible. En la literatura existen más publicaciones sobre el implante dental unitario que sobre cualquier otro método de sustitución dental35'47, y todos los estudios mostraron una media de supervivencia más alta en los implantes den tales individuales. Goodacre y cols, publicaron una revista literaria médica desde 1980 hasta 2001 y observaron que la media de éxito del implante dental unitario era hasta del 97% , más alta que cualquier otra restauración implantológica. En 1995, Haas y cols, estudiaron 76 implantes den tales unitarios sobre un período de 6 años y observaron una media de supervivencia del 97% y un 2 % de pérdida del implante. Fugazzotto evaluó 1.472 implantes en un período de 13 años y observó una media de supervivencia del 97 % durante ese período.
Aunque la sustitución dental posterior individual es un tratamiento alternativo relativamente reciente, se han publicado numerosos estudios desde 1990, y las medias de supervivencia referidas van desde el 9 4 ,6 % hasta el 100% sobre períodos que van desde 1 año hasta 15 años. En estos estudios la media de pérdida del implante es del 2,8% sobre un período de 5 años. En comparación, la media de fracaso en las PPF es del 2 0 % sobre 3 años, y se pueden esperar fracasos del 50 % sobre períodos de 10 años. como resultado, el implante dental unitario exhibe la mayor media de supervivencia entre las sustituciones dentales individuales. Y tan importante es que ningún estudio refiere la pérdida de un diente adyacente, lo que es una ventaja considerable. Por otra parte, no se ha determinado de manera adecuada la longevidad de la pieza o corona implantaría al no extenderse tanto estos estudios como los de otras opciones de tratamiento.
Salvo algunas limitaciones y desafíos clínicos evidentes, el implante dental unitario representa un tratamiento de elección desde el doble punto de vista de la salud y el valor. Cuando los dientes adyacentes están sanos, o el paciente rechaza su preparación para la fabricación de una unidad tradicional de restauración de tres unidades, un implante dental posterior unitario es una solución excelente (fig. 1-9). Las ventajas relacionadas con la salud de esta modalidad respecto a la restauración fija parcial se enumeran en el cuadro 1-2 e incluyen disminución del riesgo de caries y de enfermedad periodontal, disminución del riesgo de pérdida de un pilar dental por caries o fracaso del tratamiento endodóncico y mejoría estética (fig. 1-10).

También son significativas las ventajas psicológicas, especialmente en el caso de ausencia dental congénita o la pérdida de un diente después de la restauración de una corona.
Estas ventajas son tan significativas para la salud y las condiciones periodontales de los dientes adyacentes y el mantenimiento de la forma de la arcada que el implante dental unitario se ha vuelto el tratamiento de elección en numerosas situaciones. Las consideraciones económicas pueden jugar en contra del implante dental durante los primeros 7 años. El implante dental individual se hace rentable económicamente, no solo por las ventajas relacionadas con la salud, desde el punto de inflexión desde el del 7.° año, momento en el que el paciente no necesitará una prótesis de sustitución. El ahorro contrarrestará el coste inicial más ele vado.
Edentulismo parcial
El predominio del edentulismo parcial es interesante debido al número creciente de implantes empleados en estos pacientes. Un estudio efectuado entre 1988 y 1991 en Estados Unidos observó que solo el 38% de estos pacientes tenía todas y cada una de las 28 piezas dentarias. Los pacientes parcial mente dentados presentaban una media de 23,5 dientes.
En el seguimiento consiguiente entre 1999 y 2002, la media de dientes ausentes era inferior a dos en el grupo de edad comprendido entre los 20 y 39 años. Sin embargo, este número se incrementaba rápidamente a una media superior a los 9 dientes en el grupo de edad superior a los 60 años. Las personas mayores parcialmente desdentadas de más de 60 años, habían perdido una media de 10 dientes, mientras que las personas aún más mayores habían perdido tres dientes más que dicho grupo. Las estadísticas para el edentulismo parcial son similares tanto para hombres como para mujeres. En el estudio de 1987 el momento de mayor transición de una arca da dental intacta a una situación de edentulismo parcial se observó en el grupo de entre 35 a 54 años. La media de crecimiento de esta porción de población de «baby boomers» era aproximadamente del 30% en 1982 y seguía incrementándose, más que cualquier otro grupo de edad. Por ejemplo, en 1982 el grupo de edad de «baby boomers» (nacidos entre 1946 y 1964) aumentó de 39 millones de estadounidenses a 79 millones en 2005. Aunque el número de dientes perdidos por paciente parece disminuir, el número global de dientes perdidos seguirá aumentando. De ahí que la necesidad de servicios implantológicos en pacientes parcialmente desdentados aumentará de manera dramática en las próximas décadas.
Los dientes perdidos más comunes son los molares. El edentulismo parcial de extremo libre es de mayor interés ya que en estos pacientes, los dientes suelen ser reemplazados por prótesis parciales removibles. Esta condición se encuentra raramente en personas menores de 25 años. El edentulismo mandibular de extremo libre es mayor que en su equivalente maxilar en todos los grupos de edad. El edentulismo de extremo libre unilateral es más común que el edentulismo bilateral tanto en la arcada maxilar como en la mandibular en los grupos de edad más jóvenes (de entre 25 y 44 años). Aproximadamente 13,5 millones de personas de estos grupos de menor edad tiene un edentulismo de extremo libre indistintamente de la arcada.
En los pacientes de entre 45 y 54 años, el 31,3% tiene edentulismo de extremo libre mandibular y el 13,6 lo tienen en la arcada maxilar. En este último grupo, 9,9 millones de personas tienen al menos un cuadrante edéntulo de extremo libre, y la mitad de estos tienen al menos un edentulismo parcial bilateral. El patrón de edentulismo posterior evoluciona en el grupo de edad entre los 55 y 64 años, en el que el 3 5 % de las arcadas mandibulares presenta edentulismo de extremo libre, en comparación con el 18% de ar cadas maxilares. como consecuencia, aproximadamente 11 millones de individuos de este grupo de edad son candi datos potenciales para implantes. Diez millones más muestran un edentulismo de extremo libre parcial a los 65 años o más. Estudios adicionales han documentado que en la población civil estadounidense no institucionalizada, 1 de cada 5 personas lleva una prótesis removible de cualquier tipo. El núm ero total de pacientes potenciales en el estudio estadounidense con al menos un cuadrante de diente posterior perdido es de más de 44 millones de personas. Si cada uno de estas arcadas necesita 3 implantes para soportar una prótesis fija, se necesitarían 132 millones de implantes añadidos a los 192 millones para pacientes edéntulos.
Edentulismo total
El edentulismo no es un hecho ocasional ni saludable en una población adulta. Suele ser más bien el resultado de extracciones dentales repetidas de los procesos patológicos combinados de la caries dental, de la enfermedad periodontal, o de un método para reducir los costes asociados a tratamientos dentales. El hecho de la pérdida total de dientes, de manera similar a los resultados patológicos de enfermedades, está relacionado directamente con la edad del paciente. La media de edentulismo aumenta un 4 % por cada 10 años en los años adultos iniciales y aumenta más del 10% por década después de los 70 años.
La media total de edéntulos en el mundo es del 20 % a los 60 años, a la vez que existe una gran disparidad por naciones con las medias más altas y bajas54 (fig. 1-11). Por ejemplo, en el grupo de edad de entre 65 y 74 años, la media total de edéntulos en Kenia y Nigeria es del 0% , mientras que en Holanda e Islandia es del 65,4 % y 71,5% respectivamente.

La media de edéntulos en Canadá es del 47 % de los 65 a 69 años y del 58 % entre los 70 y 98 años (con un 67 % en Québec para los mayores de 65 años por un 41% en comparación en Ontario). Uno de los principales factores que in fluyen el edentulismo total es el nivel de formación. En los datos obtenidos en el Estudio Canadiense de Fomento de la salud desde 1990, los menos formados tenían una media de edentulismo del 50% , mientras que en los que tenían formación universitaria era del 4%. Estados Unidos mostró un patrón similar en el período de 1988 hasta 1994 con una media de edentulismo del 22% para aquellos que tenían me nos de 8 años de formación académica, un 12% para los que tenían entre 9 y 11 años de escolarización, un 8% para los que tenían 12 años de escolarización y un 5% para aquellos individuos con más de 12 años de escolarización. Los ingresos suelen estar relacionados con el nivel de formación y pueden jugar también un papel en la media del edentulismo.
En los estudios llevados a cabo por el National Institute of Dental Research a nivel nacional, la existencia de edentulismo total (la ausencia de dientes) en una única arcada (3 5 veces más frecuente en el maxilar) era leve en el grupo de edad de entre 30 y 34 años, pero aumentaba un 11% en el grupo de los 45 años y se mantenía estable en un 15% de la población total en el grupo mayor de 55 años. Un total de aproximadamente 12 millones de adultos en Estados Unidos tienen edentulismo en una de las arcadas, lo que representa el 7% de la población total.
Un estudio efectuado entre 1999 y 2002 observó que el edentulismo total en ambas arcadas se daba en el 7,7% de la población adulta de EEUU, es decir, a casi 20 millones de personas. La población más joven actual se está beneficiando de los conocimientos adelantados actuales y de las técni cas restauradoras. Se ha observado edentulismo en el 5% de los adultos empleados de entre 40 y 44 años, incrementán dose gradualmente hasta el 26 % a la edad de 65 años, y casi un 44 % en las personas mayores de 75 años (fig. 1-12). Tal y como se podría prever, las personas más mayores son más susceptibles de no conservar diente alguno. No se observó que el sexo pudiera asociarse a la conservación o la pérdida de los dientes una vez hechos los ajustes para la edad.

Los porcentajes de edentulismo en una o ambas arcadas se traducen en más de 30 millones de personas o aproximadamente el 17% de toda la población adulta en EEUU.
Para darle una perspectiva a estos números, 30 millones de adultos representa aproximadamente toda la población afroamericana de EEUU, o toda la población de Canadá.
Aunque la media de edentulismo disminuye cada década, la población de más edad está aumentando tan rápidamente que la población adulta que necesite una o ambas dentaduras completas se incrementará de los 33,6 millones de adultos en 1991 hasta los 37,9 millones de adultos en 2020.
El número total de arcadas edéntulas en el año 2000 se estima en 56,5 millones, 59,3 millones en 2010, y 61 millones en 2020. En cualquier caso, el edentulismo completo sigue siendo una preocupación significativa, y los pacientes afecta dos suelen requerir odontología implantológica para solucionar los diferentes problemas citados. Si se emplearan cuatro implantes para soportar cada arcada edéntula completa en el año 200 0 , se necesitarían un total de 2 2 6 millones de implantes. Solo 1 millón de implantes se han insertado al día de hoy cada año para el tratamiento de todos lo pacientes (para edentulismo parcial o completo). Casi el 70% de los odontólogos ocupa menos del 1 al 5 % de su tiempo de tratamiento con pacientes edéntulos, dejando una gran necesidad incompleta de odontología implantológica.
Cuando los datos de los edéntulos parciales se suman a los porcentajes de los edéntulos completos, casi el 30 % de la población de adultos de EEUU son candidatos a llevar una prótesis removible parcial o completa. Las indicaciones más comunes de los implantes dentales son la necesidad de una retención añadida, de soporte y estabilidad junto con el deseo de suprimir una prótesis removible.
como resultado, 74 millones de adultos (90 millones de arcadas) son candidatos potenciales para los implantes dentales. Al requerirse un mínimo de cinco visitas a la consulta para implantar y restaurar a un paciente, cada odontólogo de EEUU necesitaría 20 citas mensuales durante 20 años para tratar a la población actual con edentulismo posterior parcial o completo con una prótesis con soporte implantológico. La evolución de la población hacia una edad media aumentada, en combinación con la población ya existente de pacientes edéntulos parciales y completos, garantiza el futuro de la odontología implantológica para varias generaciones de odontólogos.
Consecuencias anatómicas del edentulismo
Consecuencias en las estructuras óseas
Los huesos basales forman la estructura esquelética dental, contienen la mayoría de las inserciones óseas, y se empiezan a formar en el feto antes del desarrollo dental. El hueso al veolar aparece por primera vez cuando evoluciona la vaina de Hertwig de la raíz del brote dentario57 (fig. 1-13). El hueso alveolar no se forma en ausencia del desarrollo de diente primario o secundario. La estrecha relación entre el diente y el proceso alveolar se mantiene a lo largo de la vida. La ley de Wolf (1892) establece que el hueso se remodela en función de las fuerzas aplicadas. Cada vez que la función ósea se modifica, se produce una cambio definitivo en la arquitectura interna y en la configuración externa. En odontología, las consecuencias del edentulismo completo y del volumen óseo restante fue observado por Misch en 1922, cuando describió la estructura esquelética de una mujer de 90 años con un edentulismo completo de varias décadas de antigüedad.

Los huesos necesitan estímulo para mantener su forma y densidad. Roberts y cols, dedujeron que una compresión del 4 % sobre el sistema esquelético mantiene el hueso y ayuda en el equilibrio del fenómeno de reabsorción y formación. Los dientes transmiten las fuerzas de compresión y tensión al hueso circundante. Estas fuerzas se han medido como un efecto piezoeléctrico en los cristales imperfectos de la hidroxiapatita que compone la porción inorgánica del hueso. Al perder un diente, la falta de estimulación en el hueso residual provoca una disminución de la densidad ósea y trabecular en el área, con pérdida del ancho externo, y por tanto de la altura, del volumen óseo. Hay una disminución del 2 5 % en la anchura del hueso durante el primer año posterior a la pérdida del diente y una pérdida de altura toral de 4 mm durante el año siguiente a una extracción en una dentadura inmediata. En un estudio longitudinal de 25 años en pacientes edéntulos, las cefalografías laterales mostraron pérdidas continuas de hueso durante este período de tiempo; se observó una pérdida cuatro veces mayor en la mandíbula65 (fig. 1-14). En cualquier caso, y debido a que la altura mandibular inicial es el doble que la maxilar, la pérdida ósea maxilar también es significativa a largo plazo en el paciente edéntulo.

Un diente es necesario para el desarrollo del hueso alveolar, y se necesita la estimulación de este hueso para mantener su densidad y volumen. Una dentadura removible (parcial o completa) no estimula ni mantiene el hueso; más bien acelera la pérdida ósea. La carga de la masticación se transmite solo a la superficie del hueso, y no a todo el hueso. Como resultado, el aporte sanguíneo disminuye y se produce la pérdida de volumen óseo total. Este asunto, que es de máxima importancia, ha sido observado pero no tratado por la odontología tradicional en el pasado. Los facultativos suelen mirar con indiferencia la pérdida ósea insidiosa que se producirá después de una extracción dentaria. El paciente no suele ser informado acerca de los cambios anatómicos y de las potenciales consecuencias de la continua pérdida ósea. La pérdida ósea se acentúa cuando el paciente lleva una prótesis parcial mucosoportada mal encajada. El paciente no sabe que se va perdiendo hueso en el transcurso del tiempo y a un mayor promedio debajo de una dentadura mal ajustada (fig. 1-15). Los pacientes no vuelven para revisiones regulares para evaluar su estado; en su lugar, vuelven varios años después cuando su dentadura se ha degradado o ya no la pueden tolerar. De ahí que los métodos tradicionales de sustitución de las piezas dentales afecten con frecuencia a la pérdida ósea de una manera no lo suficientemente considerada por el facultativo y el paciente. El facultativo debería informar al paciente de que la dentadura sustituye más al hueso y a los tejidos blandos que a los dientes, y que cada 5 años es conveniente llevar a cabo un rebasado protésico o la colocación de una nueva dentadura para sustituir la pérdida ósea adicional debida a la atrofia (fig. 1-16).

La odontología preventiva ha hecho énfasis tradicional mente en los métodos dirigidos a disminuir la pérdida ósea.
Ninguna terapia predecible ha sido aceptada por la profesión para evitar los cambios óseos debidos a la pérdida de piezas dentales. Actualmente la profesión debería considerar tanto la pérdida de hueso como del diente. La pérdida de los dientes provoca la remodelación y reabsorción del hueso alveolar circundante y eventualmente conlleva a unos rebordes edéntulos atrofiados. Aunque el paciente no suele ser informado o tener conocimiento de las potenciales con secuencias, estas se producen con el tiempo. La media y cantidad de pérdida ósea pueden verse influenciadas por factores como el sexo, las hormonas, el metabolismo, la parafunción, y dentaduras mal ajustadas. Todavía el 40% prácticamente de los portadores de dentaduras han estado llevando una prótesis mal encajada durante más de 10 años.
Los pacientes que llevan dentaduras día y noche ejercen fuerzas mayores sobre los tejidos duros y blandos, lo que acelera la pérdida de hueso. Sin embargo, el 80 % de las dentaduras se llevan día y noche.
Los rebordes edéntulos atrofiados se asocian a problemas anatómicos que suelen deteriorar los resultados predecibles de las técnicas de odontología tradicionales (fig. 1-17).

Varios de estos problemas anatómicos se listan en el cuadro 1-3. La pérdida de hueso provoca en primer lugar una disminución de la anchura ósea. El reborde estrecho residual que perdura suele provocar incomodidad cuando los finos tejidos que lo recubren son colocados debajo de una prótesis removible mucosoportada. La atrofia continuada de la mandíbula posterior puede causar eventualmente la prominencia de la línea milohioidea y del reborde oblicuo in terno, que terminan cubiertos por una delgada, móvil y desinsertada mucosa. El proceso alveolar anterior residual se sigue reabsorbiendo, y los tubérculos genianos superiores (que se sitúan a 20 mm por debajo de la cresta ósea cuando los dientes están presentes) se vuelven eventualmente al as pecto más superior del reborde mandibular anterior. Se puede hacer muy poco para evitar que una prótesis se desplace hacia delante contra el labio inferior durante su función o el habla. Esta condición se ve comprometida más adelante por el movimiento vertical del aspecto distal de la prótesis durante la contracción de los músculos milohioideo y buccinador y la inclinación anterior de la mandíbula atrofiada en comparación con la del maxilar.
La pérdida de hueso en el maxilar o la mandíbula no se limita a hueso alveolar; también pueden ser reabsorbidas algunas porciones de hueso basal (fig. 1-18), especialmente en el aspecto posterior de la mandíbula donde una reabsorción grave puede producir una pérdida ósea de hasta el 80%. El contenido del canal mandibular o del foramen mentoniano puede volverse eventualmente dehiscente y servir como parte del área de soporte de la prótesis. como resultado se pueden producir dolor agudo y parestesia transitoria o permanente en las áreas inervadas por el nervio mandibular. Existe también un aumento del riesgo de frac tura del cuerpo mandibular, incluso bajo el efecto de impactos de muy baja intensidad (fig. 1-19). La fractura mandibular hace que esta se desplace hacia un lado y provoca que su estabilización y el resultado estético obtenido durante el tratamiento sea más difícil de obtener.

Todo el reborde anterior e incluso la espina nasal pueden ser reabsorbidos en el maxilar, provocando dolor y un aumento del movimiento dental en el maxilar durante su función. Las fuerzas masticatorias generadas en los pacientes del tipo facial corto (braquicefálicos) pueden ser hasta tres o cuatro veces superiores a las generadas en los pacientes del tipo facial largo (dolicocefálicos). Los pacientes del tipo facial corto tienen un riesgo más elevado de desarrollar una atrofia severa (v. cuadro 1-3).
Muchas de estas condiciones similares se dan en los pacientes edéntulos parciales que llevan una prótesis removible mucosoportada (fig. 1-20). Adicionalmente, el pilar dental natural, sobre el cual se diseñan retenedores directos o indirectos, tiene que someterse a fuerzas laterales adicionales. Debido a que los dientes suelen estar comprometidos a causa de un soporte periodontal deficiente, muchas dentaduras parciales son diseñadas para minimizar las fuerzas que se les aplican. El resultado es un aumento en la movilidad de la prótesis removible y un mayor soporte de tejidos blandos. Estas condiciones protegen a los dientes restantes pero acelera la pérdida ósea en las regiones edéntulas.

Consecuencias en los tejidos blandos
Al perder el hueso anchura, altura, y de nuevo anchura y altura, la encía adherida va disminuyendo gradualmente. Habitualmente un tejido fino adherido se extiende por en cima de la mandíbula atrofiada adelantada o es completa mente inexistente. Las zonas de desqueratinización gingival progresiva son propensas a las abrasiones producidas por la prótesis suprayacente. Además, las inserciones musculares altas desfavorables así como el tejido hipermóvil suelen complicar la situación. Se relaciona también el espesor de la mucosa del reborde atrofiado con la presencia de una enfermedad sistémica y los cambios fisiológicos que acompañan al envejecimiento. Condiciones como la hipertensión, la diabetes, la anemia, y las alteraciones nutricionales tienen un efecto negativo sobre el aporte vascular y la calidad del tejido blando debajo de las prótesis removibles. Estas alteraciones dan como resultado una disminución en la tensión del oxígeno en las células basales del epitelio. La pérdida de células de superficie se produce a la misma velocidad, pero la formación de células se ve frenada en la capa basal. Como resultado, el espesor de los tejidos de la superficie disminuye gradualmente. Por tanto, se producen puntos de dolor y prótesis removibles incómodas.
La lengua del paciente con rebordes edéntulos suele ensancharse para acomodarse en el espacio ocupado anterior mente por los dientes. Al mismo tiempo, se emplea para limitar los movimientos de las prótesis removibles, y adquiere un papel más activo en el proceso de la masticación. como resultado, la prótesis removible pierde estabilidad. La disminución en el control neuromuscular se suele asociar con la edad, lo que agrava posteriormente los problemas de las prótesis removibles tradicionales. La habilidad para llevar con éxito una dentadura puede llegar a ser el resultado de un proceso largamente aprendido y desarrolla do. Un paciente mayor que se haya vuelto edéntulo recientemente puede no disponer de las cualidades motoras necesarias para ajustarse a las nuevas condiciones (cuadro 1-4).
Consecuencias estéticas
Los cambios faciales que se producen con el proceso del envejecimiento pueden verse acelerados y potenciados por la pérdida de dientes. Consecuencia de la pérdida de hueso alveolar se pueden dar una serie de consecuencias estéticas (figs. 1-21, 1-22). Una disminución en la altura facial por un colapso de la dimensión vertical causa varios cambios faciales. La pérdida del ángulo labiomental y el hundimiento de las líneas verticales en el área dan una apariencia áspera.

Al disminuir progresivamente la dimensión vertical, la oclusión evoluciona hacia una pseudomaloclusión de clase III.
como resultado, la barbilla rota hacia delante dando un aspecto facial prognático (fig. 1-23). Estas condiciones dan como resultado una disminución en el ángulo labial horizontal en la comisura de los labios; el paciente parece infeliz cuando la boca está en reposo. Las personas del tipo de rostro corto sufren fuerzas de mordida mayores, mayor pérdida de hueso y cambios faciales más dramáticos con el edentulismo en comparación con las demás personas.

El borde bermellón de los labios se vuelve más fino como resultado de un pobre soporte labial por parte de la prótesis y de la pérdida de tono muscular; su posición retruida guarda relación con la pérdida de reborde premaxilar y la pérdida de tonicidad de la musculatura involucrada en la expresión facial. En un estudio sobre 179 pacientes en diferentes etapas de atrofia mandibular, Sutton y cols, evaluaron el colapso de los labios y de la musculatura circumbucal. La con tracción de los músculos orbicular de los labios y buccinador en el paciente con atrofia ósea moderada a avanzada des plazan medialmente y posteriormente la grasa o modiolus y a los músculos de la expresión facial. como resultado, se encontraron de manera muy característica un estrechamiento de la comisura, una inversión de los labios y un hundimiento de las mejillas (fig. 1-24).

Las mujeres suelen emplear una de las dos técnicas que permiten esconder este aspecto estético indeseable: o bien nada de lápiz de labios y un mínimo de maquillaje para llamar poco la atención sobre esta área de la cara; o bien lápiz de labios aplicado sobre la piel por encima del borde bermellón del labio para dar una apariencia de mayor tamaño labial. Un hundimiento del surco nasolabial y un aumento en la profundidad de las demás líneas verticales en el labio superior se relacionan con un envejecimiento normal pero se ven acelerados por la pérdida de hueso. Esto suele verse acompañado por un aumento del ángulo entre el filtrum y la columella. La nariz puede parecer así más ancha que si el labio tuviera más so porte (fig. 1-25).

Los hombres suelen dejarse crecer el bigote para minimizar este efecto. El labio maxilar se hace más largo de manera natural con la edad por efecto de la grave dad y la pérdida de tono muscular, dando como resultado un menor número de dientes anteriores visibles cuando el labio está en reposo. Esto tiene una tendencia a «envejecer» la sonrisa, porque cuanto más joven es el paciente, mayor núm ero de dientes son visibles cuando el labio superior está en reposo o cuando sonríe. La pérdida de tono muscular se acelera en el paciente edéntulo, y el alargamiento del labio se produce a una edad más temprana.
Las inserciones de los músculos mentoniano y buccinador en el cuerpo y la sínfisis de la mandíbula se ven afecta dos también por la atrofia ósea. Los tejidos se doblan, produciendo «mofletes caídos» o «barbilla de bruja». Este efecto es acumulativo por la pérdida de tono muscular sumado a la pérdida de los dientes, la disminución asociada en la fuerza de mordida, y a la pérdida de hueso en las regiones donde solían insertarse los músculos.
Los pacientes no están al tanto de que estos cambios en los tejidos duros y blandos se deben a la pérdida de los dientes. Entre los portadores de dentaduras, el 39 % han estado llevando la misma prótesis durante más de 10 años.
La profesión es incapaz de evaluar a los pacientes si no vuelven antes a la consulta. Por ello las consecuencias de la pérdida de los dientes deben ser explicadas a los pacientes parcial o completamente edéntulos durante las fases inicia les del tratamiento (cuadro 1-5).
Rendimiento disminuido de las dentaduras completas
La diferencia en las fuerzas oclusivas máximas registradas entre una persona con todos sus dientes y una completamente edéntula es dramática. En la región del primer molar de una persona dentada se han llegado a registrar medias de fuerza de entre 150 hasta 250 psi. Un paciente que aprieta o rechina los dientes puede llegar a ejercer una presión cercana a los 1.000 psi. La máxima fuerza oclusiva en un paciente edéntulo se reduce a menos de 50 psi. Los pacientes son capaces de generar fuerzas cada vez menores cuanto más tiempo llevan siendo edéntulos. Los pacientes que llevan una dentadura completa desde hace más de 15 años tienen una fuerza oclusiva máxima de 5,6 psi.
Como resultado de una fuerza oclusiva disminuida y de la inestabilidad de la dentadura, la eficiencia masticatoria disminuye también con la pérdida de los dientes. En el mismo período de tiempo de 15 años, el 90% de la comida masticada con dientes naturales cabe por un tamiz del n.° 12; esto se ve reducido en un 58% en el paciente que lleva una dentadura completa. La disminución por diez de la fuerza y del 40 % en la eficiencia afectan a la habilidad del paciente para masticar. En personas con dentaduras, el 29 % es capaz de masticar únicamente alimentos blandos o triturados; el 50 % suele evitar muchos alimentos; y el 17% refiere comer mejor sin la prótesis. Un estudio sobre 379 portadores de dentaduras (1 5 8 hombres y 209 mujeres) observó que el 47% presentaba un rendimiento masticatorio bajo. Se observó también en este grupo una disminución en las mujeres de ingesta de frutas, verduras y vitamina A.
Estos pacientes tomaban significativamente más fármacos (37 % ), en comparación con los que tenían una habilidad masticatoria superior (20% ); el 28 % tomaban medicación para desajustes gastrointestinales. El consumo reducido de alimentos de alto contenido en fibra puede provocar problemas gastrointestinales en los pacientes edéntulos con un rendimiento masticatorio deficiente. Adicionalmente, el bolo alimenticio más grueso puede deteriorar las funciones correctas digestivas y extractivas de los nutrientes.
Se pueden encontrar en la literatura diferentes estudios que sugieren que unas funciones dentales comprometidas provocan una deglución y rendimiento masticatorio pobres, lo que a su vez puede influir en cambios sistémicos que favorezcan la enfermedad, debilidad y un acortamiento de la esperanza de vida8186 (cuadro 1-6).
En un estudio que evalúa la capacidad de ingerir fruta, verduras y otras fibras de la dieta en pacientes edéntulos, el 10% refería dificultad, y los análisis sanguíneos mostraron una disminución en plasma del ácido ascórbico y de retinol en comparación con los sujetos dentados. Estas dos pruebas sanguíneas están correlacionadas con un aumento del riesgo de problemas dermatológicos y visuales en las personas mayores.
En otro estudio, se compararon el rendimiento mastica torio y la eficiencia en los portadores de dentaduras con los individuos dentados. Este estudio observó que cuando se establecían las conexiones apropiadas para diferentes normas y niveles de rendimiento, la eficiencia masticatoria de un portador de dentadura era menos de una sexta parte que la de una persona dentada.
Varios estudios en la literatura correlacionan la salud y esperanza de vida con la salud dental. Una habilidad masticatoria pobre puede ser la causa de una pérdida de peso involuntaria en una persona mayor, con un aumento de la mortalidad. En contraste, las personas con un eleva do número de dientes perdidos tenían más tendencia a ser obesos. Una vez contabilizados los factores de riesgo convencionales para las trombosis y los ataques al corazón, se observó una relación significativa entre enfermedad dental y enfermedad cardíaca, siendo esta última la predominante como la mayor causa de muerte. Es por tanto lógico asumir que la restauración del sistema estomatognático de estos pacientes a una función más normal puede por tanto ampliar la calidad y duración de sus vidas.
Consecuencias negativas de las dentaduras parciales removibles
Las dentaduras parciales removibles mucosoportadas tienen la tasa media más baja de aceptación del paciente en odontología. La mitad de los pacientes con dentadura parcial removible mastican mejor sin el aparato. Un estudio en Escandinavia durante 4 4 años reveló que solo el 80 % de estos pacientes aún llevaban estas prótesis 1 año después. Esta cifra disminuyó a solo el 6 0 % en las dentaduras parciales de extremo libre llevadas por los pacientes después de 4 años.
En el 60% de las prótesis de extensión distal, la media de supervivencia de las dentaduras parciales basada en su tole rancia y uso fue de 5 años. Esto se redujo al 3 5 % a los 10 años. En otro estudio, muy pocas dentaduras parciales sobrevivieron más de 6 años. Aunque uno de cada cinco adultos en EEUU ha llevado alguna prótesis removible de algún tipo, el 60 % ha referido haber tenido al menos un problema con ella (cuadro 1-7).
Los estudios sobre las dentaduras removibles parciales indican que la salud de los dientes aún conservados y de los tejidos blandos circundantes suelen deteriorarse. En un estudio que evaluaba la necesidad de reparación de un pilar dental como indicador del fracaso, la media de super vivencia de las dentaduras parciales removibles convencionales era del 40 % a los 5 años y del 20 % a los 10 años.
Estos pacientes que llevan las dentaduras parciales suelen presentar una mayor movilidad del pilar dental, una mayor retención de la placa, un mayor sangrado durante el sondae, mayor incidencia de caries, inhibición del habla, inhibición del sabor, y poca colaboración en el uso. Un estudio efectuado por Shugars y cols, observó que la pérdida de un pilar dental en una dentadura parcial removible llega hasta el 23 % durante los 5 primeros años y 3 8 % durante los 8 primeros años. Aquilino y cols, observaron una pérdida del pilar dental en un 4 4 % en un período de 10 años en las dentaduras parciales removibles (v. cuadro 1-7). Adicionalmente debe notarse que en los pacientes que llevan una dentadura parcial removible se produce una aceleración en la pérdida ósea en las zonas de tejido blando de soporte. Por ello, se ve justificado en ocasiones el empleo de terapias alternativas que mejoran las condiciones orales y mantienen el hueso.
Aspectos psicológicos de la pérdida de dientes
Los efectos psicológicos del edentulismo completo son variados y complejos, y van desde un mínimo hasta un estado de neurosis (cuadro 1-8). Aunque las dentaduras completas son capaces de satisfacer las necesidades estéticas de muchos pacientes, existen algunos que su vida social se ve significativamente afectada. Les preocupa besar y las situaciones románticas, especialmente si una nueva persona en su relación no está al tanto de su discapacidad oral. Fiske y cols, en un estudio de entrevistas a pacientes edéntulos, observaron que la pérdida de dientes era comparable con la muerte de un amigo o la pérdida de cualquier otra parte corporal en provocar una reducción de la confianza en sí mismo hasta el punto de tener un sentimiento de vergüenza o de pérdida.
Un estudio dental de pacientes edéntulos observó que el 66 % estaban insatisfechos con sus dentaduras mandibulares completas. Las causas primarias eran la incomodidad y la falta de retención que producían dolor e incomodidad.
Estudios de salud dental en el pasado observaron que solo para el 80% de la población edéntula era posible llevar ambas prótesis removibles todo el tiempo. Algunos pacientes llevan solo una prótesis, normalmente la maxilar; otros solo pueden llevar sus dentaduras durante cortos espacios de tiempo. Adicionalmente, el 7% de los pacientes son incapaces de llevar alguna vez sus dentaduras y se vuelven inválidos dentales o «inválidos orales». Raramente salen de sus casas y cuando se ven forzados a ello, el pensamiento de encontrarse y hablar con alguien no llevando su dentadura es desestabilizador.
Misch llevó a cabo un estudio de 104 pacientes edéntulos completos que buscaban tratamiento. De los pacientes estudiados, el 88 % de ellos refería dificultad para hablar, con una cuarta parte con grandes dificultades. como consecuencia es fácil correlacionar el aumento de la preocupación observado en relación con las actividades sociales. El 62,5% de estos pacientes refirió tener conciencia de la movilidad de la dentadura mandibular, mientras que las prótesis maxilares se mantuvieron en su sitio la mayor parte del tiempo en el mismo porcentaje de casos. La incomodidad mandibular se citó con la misma frecuencia que el movimiento (63,5 % ), y sorprendentemente, el 16,5% de los pacientes admitieron no llevar nunca la dentadura mandibular. En comparación, la dentadura maxilar era incómoda la mitad de veces (32 % ), y solo el 0,9 % eran rara vez capaces de llevar la prótesis. La fruición fue la cuarta causa más común de problemas descrito por estos 104 portadores de dentaduras. La mitad de los pacientes evitaban muchos alimentos, y el 17% referían ser capaces de masticar con más efectividad sin la prótesis. Los efectos psicológicos de ser incapaz de comer en público se puede correlacionar con estos hallazgos. Otros estudios están de acuerdo en que los factores más motivadores para los pacientes para recibir el tratamiento se relacionaban con las dificultades para comer, el ajuste de la dentadura y la incomodidad.
La necesidad psicológica en los pacientes edéntulos se expresa de diferentes maneras. Por ejemplo, en 1970 los británicos emplearon aproximadamente 88 toneladas de adhesivo para dentaduras. En 1982, más de 5 millones de estadounidenses emplearon adhesivos para dentaduras (Ruskin Denture Research Associates: estudio AIM, sin fecha de publicación, 1982) y un estudio revela que en Estados Unidos, se gastan más de 2 0 0 millones de dólares al año en adhesivos para dentaduras, lo que representa 55 millones de unidades vendidas. El paciente está dispuesto a aceptar el sabor desagradable, la necesidad de aplicaciones recurrentes, un ajuste de la dentadura inconsistente, circunstancias embarazosas y un gasto continuado por el mero beneficio de una mejor retención de la prótesis. La falta de retención y el riesgo psicológico de la vergüenza en el portador de dentadura con prótesis removible es claramente una preocupación que el profesional dental debe abordar.
Ventajas de las prótesis implantosoportadas
El empleo de implantes dentales como soporte de prótesis ofrece muchas ventajas, en comparación con el empleo de restauraciones removibles mucosoportadas (cuadro 1-9).
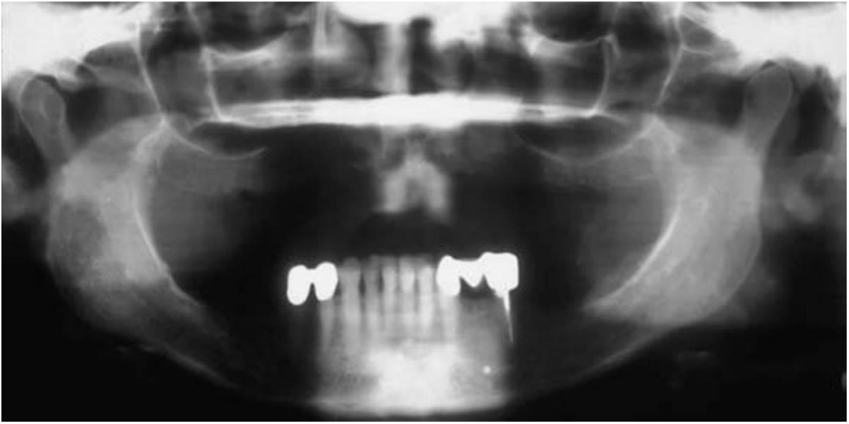
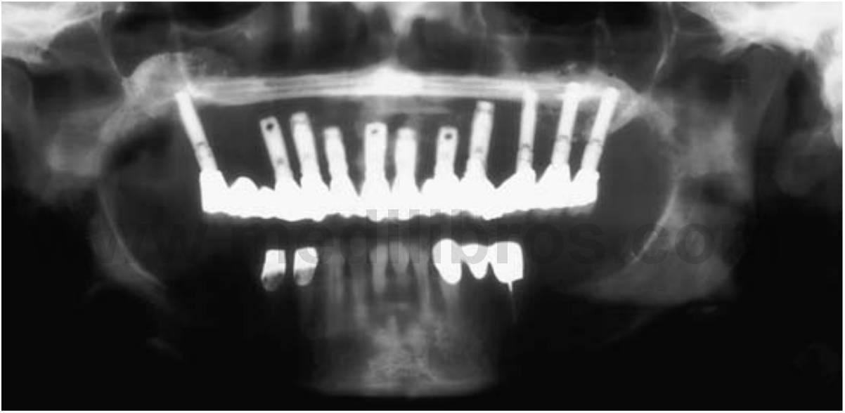
Una razón primaria para considerar los implantes dentales para sustituir los dientes perdidos es el mantenimiento del hueso alveolar (fig. 1-26). El implante dental colocado dentro del hueso sirve a la vez de anclaje para el aparato prostético y como uno de los mejores procedimientos de mantenimiento preventivo en odontología. Se puede aplicar tensión y presión al hueso circundante al implante. como resultado, se invierte la disminución en la trabeculación del hueso que aparece después de una extracción dentaria. Hay un aumento de las trabéculas óseas y en la densidad cuando se inserta el implante y empieza a funcionar. El volumen óseo total también se mantiene con un implante dental.

Incluso los injertos óseos de cresta ilíaca en las mandíbulas, que suelen ser reabsorbidos durante los 5 siguientes años cuando no hay inserción de implante, son estimulados y mantienen el volumen óseo total y la integración del implante. Un implante endoóseo puede mantener el ancho y alto del hueso mientras que el implante se mantenga en buena salud. Al igual que para un diente, la pérdida de hueso periimplantario puede medirse en décimas de milímetro y puede representar más de la veinteava parte de la estructura pérdida, en comparación con la reabsorción que se produce con las prótesis removibles.
El beneficio del mantenimiento del hueso compensa especialmente en la arcada edéntulo maxilar. La arcada maxilar también debería ser tenido en cuenta, en vez de emplear los implantes solo en la arcada mandibular edéntula, aunque los principales problemas mecánicos con las dentaduras aparezcan en esta arcada. Una vez que las prótesis con implante están colocadas para soportar y retener la restauración mandibular, se sigue perdiendo hueso en la región maxilar y el paciente puede eventualmente quejarse de pérdida de retención e incapacidad para funcionar de la dentadura maxilar.
La pérdida de estética facial suele notarse primero en la arca da maxilar, con la pérdida del borde bermellón del labio, el aumento de longitud del labio maxilar y la falta de soporte óseo facial. Los implantes deberían emplearse para la pérdida ósea continuada y prevenir las complicaciones posteriores observadas en la arcada maxilar (figs. 1-27 a 1-31).

Una dentadura mandibular suele moverse cuando los músculos milohioideo y buccinador se contraen durante el habla o la masticación. Los dientes se suelen posicionar buscando más la estabilidad de la dentadura que la posición más habitual de los dientes naturales. Con los implan tes, los dientes se pueden posicionar para aumentar la estética y la fonética más que en las zonas neutrales dictadas por las técnicas tradicionales que buscan mejorar la estabilidad de las prótesis completas removibles.
Las facciones del tercio inferior de la cara están estrecha mente relacionadas con el esqueleto soportante. Al perder hueso vertical, las dentaduras actúan únicamente como «pelucas orales» para mejorar los contornos de la cara. Al reabsorberse el hueso, la mandíbula se vuelve más voluminosa, volviéndose más difícil el control de su función, estabilidad y retención. Con las prótesis implantosoportadas, se puede restaurar la dimensión vertical de manera similar a los dientes naturales. Adicionalmente, la prótesis implantosoportada permite un voladizo sobre los dientes anteriores para un contorno ideal de los tejidos blandos y los labios y una apariencia mejorada de todos los planos faciales. Esto se consigue sin la inestabilidad que aparece cuando se incorpora un voladizo anterior en una dentadura tradicional. El perfil facial puede ensancharse a largo plazo con los implantes, en lugar de deteriorarse con los años, como ocurre con las dentaduras tradicionales.
Es difícil establecer y estabilizar la oclusión con una prótesis completamente mucosoportada. Al llegar a moverse la prótesis hasta 10 mm o más durante su función, los contactos oclusivos adecuados se dan por casualidad, no por diseño. Pero una restauración implantosoportada es estable.
El paciente puede volver de manera más constante a una oclusión de relación céntrica en vez de adoptar posiciones variables dictadas por la inestabilidad de la prótesis. La propiocepción tiene conciencia de una estructura en el tiempo y el espacio. Los receptores en la membrana periodontal del diente natural ayudan a determinar su posición oclusiva.
Aunque los implantes endoóseos no tienen membrana periodontal, proporcionan una mayor conciencia oclusiva que las dentaduras completas. Los pacientes con dientes natura les pueden percibir una diferencia de 20 (xmentre los dientes, mientras que los pacientes con implantes pueden determinar diferencias de 50 |xm con puentes implantológicos rígidos, en comparación con las 100 mieras en los que llevan dentaduras completas (ya sea con una o dos).
como resultado de una mejor conciencia oclusiva, el paciente funciona en una amplitud oclusiva más asentada.
Con una prótesis implantosoportada, la dirección de las cargas oclusivas son controladas por el odontólogo restaurador. Las fuerzas horizontales sobre las prótesis removibles aceleran la pérdida ósea, disminuyen la estabilidad de la prótesis y aumenta la abrasión de los tejidos blandos. De ahí que la disminución de las fuerzas horizontales aplica das sobre las restauraciones implantológicas mejore los parámetros locales y ayude a preservar los tejidos blandos y duros subyacentes.
En una selección clínica hecha al azar por Kapur y cols, el grupo de pacientes implantados demostró un mayor nivel de placer con la comida y de mejora con el habla, habilidad para masticar, comodidad, seguridad de la dentadura, y una satisfacción global. La habilidad para comer diferentes alimentos de las dentaduras completas frente a los pacientes con sobredentadura mandibular, fue evaluada por Awad y Feine. La sobredentadura implantada era superior para comer, no solo alimentos duros, como zanahorias y manzanas, sino además para alimentos blandos como el pan y el queso. Geertman y cols, evaluaron portadores de dentaduras completas con mandíbulas gravemente reabsorbidas antes y después de serles implantadas sobredentaduras mandibulares. La habilidad para comer alimentos duros o sólidos mejoró significativamente.
Investigadores de la Universidad McGill evaluaron los niveles sanguíneos de pacientes que tenían dentaduras completas y 30 dentaduras maxilares y prótesis mandibulares con implante tras 6 meses de tratamiento. Dentro de este plazo de tiempo tan corto, los pacientes con implantes tenían una hemoglobina B12 más alta (relacionado con el aumento del hierro), y niveles de albúmina (relacionado con la nutrición). Estos pacientes tenían también y mayor nivel de tejido graso alrededor de hombros y brazos y una disminución del nivel de grasa alrededor de la cintura.
La media de éxito en los implantes de prótesis varía, de pendiendo de una gran cantidad de factores que cambian para cada paciente. En cualquier caso, y comparado con los métodos tradicionales de sustitución de los dientes, la prótesis con implante ofrece una longevidad aumentada, una función mejorada, una preservación del hueso, y unos mejores resultados psicológicos. Según los controles sobre 10 años acerca de la supervivencia de las prótesis fijas sobre dientes naturales, la caries aparece indicada como la causa más común para la sustitución; la media de supervivencia se sitúa aproximadamente en el 75 %. En los pacientes parcialmente edéntulos, la sustitución dental individual con implantes pueden preservar los dientes adyacentes naturales como los pilares dentales, limitando las complicaciones futuras como la caries o la terapia endodóncica, que son las causas más comunes de fracaso de las prótesis fijas. Una de las mayores ventajas de las prótesis implantosoportadas es que los pilares dentales no se pueden cariar y nunca requieren tratamiento endodóncico. El implante y su correspondiente prótesis pueden llegar a una supervivencia de 10 años en más del 90 % de los casos.
La fuerza oclusiva máxima alcanzada por un paciente con dentadura tradicional alcanza entre 2,5 y 25 kg. Los pacientes con una prótesis fija implantosoportada pueden aumentar su mordida máxima en un 85 % dos meses después de completar el tratamiento. Tres años después, la mayor fuer za puede alcanzar el 300%, en comparación con los valores previos al tratamiento. como resultado, los pacientes con prótesis con implantes pueden obtener una fuerza similar a la de los que llevan una restauración fija soportada por dientes naturales. La eficacia masticatoria mejora ostensiblemente con una prótesis con implantes, en comparación con la de una restauración mucosoportada. El rendimiento masticatorio de las dentaduras, de las sobredentaduras, y de la dentición natural fue evaluada por Rissin y cols. La dentadura tradicional mostró una disminución en la eficiencia masticatoria del 30% ; otros estudios indican que el portador de una dentadura tiene menos del 60 % de la función que las personas con dientes naturales. Las sobredentaduras soportadas solo pierden un 10% de la eficiencia masticatoria en comparación con los dientes naturales. Estos hallazgos son similares a los de las sobredentaduras implantosoportadas. Adicionalmente, los puentes fijos rígidos implantosoportados pueden funcionar igual que los dientes naturales.
Se han observado efectos beneficiosos como la disminución del engorde, del colesterol, así como una mejoría significativa del placer en comer alimentos del grupo de los carbohidratos y de una vida social.
La estabilidad y la retención de la prótesis implantosoportada son las grandes mejorías obtenidas en comparación con las dentaduras mucosoportadas (fig. 1-32). Los resultados mecánicos de la retención implantológica son muy superiores a los de la retención sobre tejido blando proporcionada por las dentaduras o los adhesivos y causan menos problemas asociados. El soporte implantológico de la prótesis final es variable, dependiendo del núm ero y posición final de los implantes; aunque todas las opciones de tratamiento han demostrado mejorías significativas.

La fonética puede verse deteriorada por la inestabilidad de una dentadura convencional. Los músculos buccinador y milohioideo pueden flexionar e impulsar la porción posterior de la dentadura hacia arriba, provocando chasquidos, independientemente de la dimensión vertical.
como resultado, un paciente en el que la dimensión vertical ya se ha colapsado entre 10 y 20 mm puede seguir produciendo chasquidos al hablar. Muchas veces la lengua del portador de la dentadura se aplana en las áreas posteriores para sujetar la dentadura en posición. Los músculos mandibulares anteriores de la expresión facial pueden ponerse en tensión para evitar que la prótesis mandibular se deslice hacia delante. La prótesis con implante es estable y retiene y no requiere estas manipulaciones orales. La restauración implantológica permite reducir el tamaño de los bordes o del paladar de las prótesis. Esto beneficia especialmente al portador reciente, que suele referir con frecuencia incomodidad con el volumen de la restauración.
La oclusión extensa del tejido blando afecta también al sabor de la comida, y los tejidos blandos pueden también ablandarse en las regiones de extensión protésica. El pala dar de una prótesis maxilar puede causar nauseas en algunos pacientes, lo que puede suprimirse con una sobreden tadura implantosoportada.
Los pacientes tratados con una prótesis implantosoportada valoran la mejoría de su salud global psicológica en un 80 % en comparación con su estado previo al llevar aparatos prostodóncicos removibles tradicionales. Perciben la prótesis implantosoportada como una parte integrada en su cuerpo. Por ejemplo, Raghoebar y cols, evaluaron a 9 0 pacientes edéntulos en un estudio multicéntrico aleatorizado. Cinco años después del tratamiento, un cuestionario validado se centró en la satisfacción estética del pacíente, la retención, la comodidad, y la habilidad para hablar y comer, tanto con una dentadura mandibular completa, como con una dentadura mandibular completa tras vestibuloplastia, como con una sobredentadura mandibular con dos implantes. Las sobredentaduras con implantes tiene medias significativamente más altas, aunque no se han hallado diferencias significativas entre los dos grupos de dentaduras completas. Geertman y cols, observaron resulta dos similares comparando la habilidad masticatoria entre las dentaduras completas convencionales y las sobredenta duras mandibulares con implantes.
Resumen
El objetivo de la odontología moderna es devolver a los pacientes una salud oral de una manera predecible. Los pacientes edéntulos parciales y completos pueden ser incapaces de recuperar la función normal, la estética, la comodidad, o el habla, con una prótesis removible tradicional. La función del paciente puede verse reducida a una sexta parte del nivel experimentado con la dentición natural al llevar una dentadura; en cualquier caso, una prótesis con implantes puede devolver la función a límites cercanos a la normalidad. La estética del paciente edéntulo se ve afectada como resultado de la atrofia muscular y ósea. La reabsorción ósea continuada lleva a cambios faciales irreversibles. Una prótesis con implantes permite una función muscular normal, el implante estimula el hueso y mantiene sus dimensiones de manera similar a los dientes naturales sanos. como resulta do, las facciones faciales no se ven comprometidas por la falta de soporte como suelen requerir las prótesis removibles. Adicionalmente, las restauraciones implantosoportadas se posicionan en relación con la estética, la función y el habla, y no en zonas neutras de soporte de tejidos blandos.
Los tejidos blandos de los pacientes edéntulos están doloridos por el efecto de una mucosa más fina, una disminución del flujo salivar, y prótesis inestables o no retenidas. La res tauración implanto-retenida no requiere soporte de los tejidos blandos y mejora la comodidad oral. Con las prótesis mucosoportadas, el habla suele verse comprometida por que la musculatura perioral y la lengua pueden estar ocupa das limitando los movimientos de la prótesis mandibular.
La prótesis con implantes es estable y es retenida sin esfuerzo por parte de la musculatura.
Las prótesis con implantes suelen ofrecer un curso del tratamiento más predecible que las restauraciones tradicionales. De esta manera, la profesión y el público van teniendo un mayor conocimiento de esta disciplina dental. Las ventas de los fabricantes se han incrementado de unos pocos millones de dólares a varios cientos millones de dólares.
Prácticamente todos los periódicos profesionales publican actualmente informes sobre implantes dentales. Actual mente todas las escuelas dentales en EEUU enseñan odontología implantológica a todas las especialidades relaciona das. La odontología implantológica ha sido finalmente aceptada por la odontología institucionalizada. La tendencia actual de incremento en la aplicación de la odontología implantológica continuará mientras toda práctica restaurativa emplee esta modalidad de soporte con pilar en prótesis fijas como removibles de manera regular como primera opción para todas las sustituciones dentales.