03. Trastornos del estómago
El estómago es un reservorio para los contenidos que ingresan al tubo digestivo. Se ubica en la región superior del abdomen, por delante del páncreas, los vasos esplénicos y el riñón izquierdo. Por delante, el estómago está limitado por la pared abdominal anterior y la porción inferior del lóbulo izquierdo del hígado. Mientras se encuentra en el estómago, el alimento es agitado y mezclado con ácido clorhídrico y pepsina, antes de liberarse hacia el intestino delgado. En condiciones normales, la superficie mucosa del estómago cuenta con una barrera que la protege del ácido clorhídrico y la pepsina que contienen las secreciones gástricas. Los trastornos del estómago incluyen la gastritis, la úlcera péptica y el carcinoma gástrico.
Barrera mucosa gástrica
El recubrimiento del estómago suele ser impermeable al ácido que secreta, propiedad que le permite contener ácido y pepsina sin que se digieran sus paredes. Varios factores contribuyen a la protección de la mucosa gástrica, entre otros, una cubierta superficial de las células epiteliales con uniones excepcionalmente estrechas y, por ende, impermeable. Esto se aúna a la presencia de un moco tenaz y espeso que secretan las células, que genera una cubierta protectora para la pared interna del estómago, que también contiene bicarbonato y sirve para mantener un pH neutral. En forma conjunta, estos mecanismos se denominan barrera mucosa gástrica.
Las células del epitelio gástrico se encuentran conectadas entre sí por uniones estrechas que impiden la penetración del ácido; están cubiertas por una capa lipídica hidrofóbica impermeable que impide la difusión de moléculas hidrosolubles ionizadas. El ácido acetilsalicílico tiene capacidad de atravesar la capa lipídica y generar daño a las células superficiales, lo que puede inducir la formación de erosiones agudas.
La irritación gástrica y la hemorragia oculta por irritación gástrica se identifican en un número significativo de personas que reciben ácido acetilsalicílico con regularidad. El alcohol que, igual que el ácido acetilsalicílico, es soluble en líquidos, también daña la barrera mucosa. Cuando el ácido acetilsalicílico y el alcohol se toman combinados, la permeabilidad de la barrera mucosa gástrica aumenta en grado significativo y se presenta daño celular. Cuando existe reflujo del contenido duodenal hacia el estómago, los ácidos biliares también atacan los componentes lipídicos de la barrera mucosa y representan un potencial de irritación gástrica.
En condiciones normales, la secreción de ácido clorhídrico por las células parietales del estómago se acompaña de una secreción de iones bicarbonato (HCO3−). Por cada ion hidrógeno (H+) que se secreta, se produce un HCO3− y mientras la producción de HCO3− es igual a la secreción de H+ no se presenta lesión mucosa. Los cambios en el flujo sanguíneo gástrico, como los que tienen lugar en el shock, tienden a reducir la producción de HCO3−. Esto es en particular válido en situaciones en que existe disminución del flujo sanguíneo acompañada por acidosis. El ácido acetilsalicílico y los fármacos antiinflamatorios no esteroideos (AINE) también comprometen la secreción de HCO3− al inhibir la ciclooxigenasa (COX) tipo 1 gástrica, una enzima para ácidos grasos que sintetiza prostaglandinas que median la secreción de bicarbonato.
El moco que protege la mucosa gástrica es de 2 tipos: insoluble en agua e hidrosoluble. El primero forma un gel delgado y estable que se adhiere a la superficie mucosa gástrica y le provee protección de las acciones proteolíticas (de digestión de proteínas) de la pepsina. También forma una capa de agua estancada que atrapa al bicarbonato para crear una interfase alcalina entre el contenido luminal del estómago y su superficie mucosa. El moco hidrosoluble se elimina de la superficie mucosa y se mezcla con el contenido luminal; su naturaleza viscosa lo convierte en un lubricante que impide el daño mecánico a la superficie mucosa.
Las prostaglandinas, mensajeros químicos derivados de las membranas lipídica celulares, desempeñan un papel importante en la protección de la mucosa gástrica de la lesión. Se cree que ejercen su efecto mediante el mejoramiento del flujo sanguíneo a la mucosa, la disminución de la secreción de ácido, el incremento de la secreción de iones bicarbonato y el aumento de la producción del moco.
Gastritis
La gastritis hace referencia a la inflamación de la mucosa gástrica. Existen muchas causas de gastritis, la mayor parte de las cuales pueden agruparse bajo los rubros de gastritis aguda o gastritis crónica.
Gastritis aguda
La gastritis aguda se caracteriza por un proceso inflamatorio agudo de la mucosa, por lo general, de naturaleza transitoria. La inflamación puede ir acompañada de emesis, dolor y, en casos graves, hemorragia y ulceración. Esta variante erosiva es una causa significativa de hemorragia GI aguda. Con más frecuencia, la condición se relaciona con irritantes locales como el ácido acetilsalicílico u otros AINE, el alcohol o las toxinas bacterianas. La administración oral de corticoesteroides también puede complicarse con una gastritis hemorrágica aguda. Cualquier enfermedad grave o traumatismo que se acompaña de estrés fisiológico intenso y requiere un tratamiento médico o quirúrgico sustancial deja a la mucosa gástrica más vulnerable a una gastritis hemorrágica aguda, debido a la lesión en la mucosa (que se analiza en la sección sobre las úlceras por estrés). La uremia, el tratamiento con quimioterapéuticos antineoplásicos y la radiación gástrica son otras causas de gastritis aguda.
La sintomatología de las personas con gastritis aguda varía. Quienes presentan gastritis relacionada con ácido acetilsalicílico pueden ignorar del todo la condición o referir tan sólo pirosis o acidez estomacal. La gastritis causada por un consumo excesivo de alcohol a menudo constituye una situación distinta; es frecuente que induzca tensión gástrica transitoria, que pudiera generar vómito y, en situaciones más graves, hemorragia y hematemesis. La gastritis que desencadenan las toxinas de organismos infecciosos, como las enterotoxinas del estafilococo, suele tener un inicio abrupto y violento, con malestar gástrico y vómito que comienzan alrededor de 5 h después de la ingestión del alimento contaminado. Por lo general, la gastritis aguda es un trastorno autolimitado, con resolución en unos cuantos días y regeneración completa después de la eliminación del agente incitante.
Gastritis crónica
La gastritis crónica es una entidad independiente de la gastritis aguda. Se caracteriza por la ausencia de erosiones macroscópicas y la presencia de cambios inflamatorios crónicos, que de manera eventual conducen a la atrofia del epitelio glandular del estómago. Existen varios tipos de gastritis crónica: gastritis por H. pylori, gastritis autoinmunitaria y multifocal crónica, y gastropatía química.
Gastritis por Helicobacter pylori
La infección por H. pylori es la causa más frecuente de gastritis crónica. Su prevalencia en Estados Unidos se asocia a la condición socioeconómica, el aumento de la edad y el origen étnico hispano y afroamericano. Helicobacter pylori se identifica en 2 terceras partes de la población mundial. Se ha sugerido que, en gran medida, en países industrializados la transmisión se da de una persona a otra mediante vómito, saliva o heces, mientras que las vías tradicionales de transmisión, como el agua, pueden ser relevantes en los países en desarrollo. En las naciones industrializadas la tasa de infección por H. pylori ha disminuido en grado sustancial en las últimas décadas debido a condiciones de saneamiento más adecuadas.
La gastritis por Helicobacter pylori es una enfermedad inflamatoria crónica del antro y el cuerpo del estómago. La infección crónica por H. pylori puede inducir atrofia gástrica y ulceración péptica, y se relaciona con un aumento en el riesgo de adenocarcinoma gástrico y de producción de tejido linfoide asociado a la mucosa, que puede evolucionar a linfoma.
Patogénesis
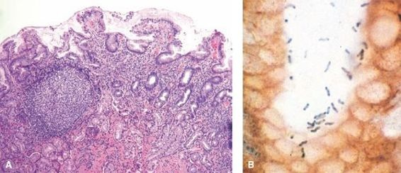
Helicobacter pylori es un bacilo gramnegativo pequeño, curvo o con forma de espiral (protobacteria), que puede colonizar las células epiteliales secretoras de moco del estómago (figura 45-5). Tiene flagelos múltiples, que le permiten desplazarse por la capa mucosa del estómago, donde secreta ureasa, que es capaz de producir amoníaco suficiente para amortiguar la acidez del ambiente inmediato. Estas propiedades ayudan a explicar la razón por la que el microorganismo puede sobrevivir en el ambiente ácido del estómago.

Helicobacter pylori sintetiza enzimas y toxinas con capacidad para interferir con la protección local de la mucosa gástrica contra el ácido, generar inflamación intensa e inducir una respuesta inmunitaria. Existe incremento en la producción de citocinas proinflamatorias (interleucina [IL] 6, IL-8), útiles para reclutar y activa neutrófilos. Varias proteínas de H. pylori son inmunogénicas y evocan una respuesta inmunitaria intensa en la mucosa.
En la gastritis crónica inducida por H. pylori es posible observar tanto células T como B. Las células T pueden ser responsables de la disminución de la respuesta inflamatoria constante que producen las citocinas, lo que permite a H. pylori mantener la colonización del estómago durante períodos prolongados. Si bien el papel de las células T y de la lesión epitelial no se ha establecido, la activación de las células B inducida por células T pudiera estar implicada en la patogénesis de los linfomas gástricos.
La razón por la que algunas personas con infección por H. pylori desarrollan enfermedad clínica y otras no, sigue sin estar clara. Los científicos están estudiando las distintas cepas de bacteria a fin de determinar si algunas de ellas son más virulentas que otras y si el hospedero, y los factores ambientales contribuyen al desarrollo de la enfermedad clínica.
Diagnóstico y tratamiento
Las estrategias para identificar la presencia de infección por H. pylori incluyen la prueba de carbono (C) de urea en la exhalación que recurre al empleo de un isótopo de carbono radioactivo ( 13 C- o 14 C-urea), las pruebas serológicas, la prueba de antígenos en heces y la biopsia endoscópica para detección de ureasa. De manera específica, los títulos serológicos de anticuerpos contra H. pylori detectan las inmunoglobulinas G y A.
Existen evidencias de que la erradicación de H. pylori es difícil. El manejo requiere tratamiento combinado, que incluye el consumo de antibióticos como amoxicilina, tetraciclina, aminoglucósidos o sales de bismuto, en combinación con inhibidores de la bomba de protones, como lanzoprazol y omeprazol. El tratamiento suele administrarse durante 10 a 14 días. Helicobacter pylori muta con rapidez, con el desarrollo de cepas resistentes a antibióticos. La combinación de 2 o más fármacos antimicrobianos incrementa las tasas de curación y reduce el riesgo de desarrollo de cepas resistentes. Los inhibidores de la bomba de protones tienen propiedades antimicrobianas directas contra H. pylori; al aumentar el pH gástrico suprimen el crecimiento bacteriano y optimizan la eficacia antibiótica. El bismuto tiene un efecto antibacteriano directo contra H. pylori.
Gastritis crónica autoinmunitaria y multifocal
La gastritis autoinmunitaria, a la que corresponden menos del 10% de los casos de gastritis crónica, es una variante difusa de gastritis que se limita al cuerpo y al fondo del estómago, con afectación nula o mínima del antro. El trastorno deriva de la presencia de autoanticuerpos contra componentes de las células parietales de las glándulas gástricas y el factor intrínseco. La atrofia de las glándulas gástricas y de la mucosa conduce a la pérdida de la secreción del ácido. En los casos más graves se pierde la producción de factor intrínseco, lo que determina una insuficiencia de vitamina B12 y anemia perniciosa. Con frecuencia, este tipo de gastritis crónica se relaciona con otros trastornos autoinmunitarios, como la tiroiditis de Hashimoto, la enfermedad de Addison y la enfermedad de Graves.
La gastritis atrófica multifoca es un trastorno de etiología incierta, que afecta al antro y a las áreas adyacentes del estómago. Es más común que la gastritis autoinmunitaria y se identifica más a menudo en personas caucásicas que de otras etnias. Es en particular frecuente en Asia, Escandinavia y partes de Europa y América Latina. Al igual que la gastritis autoinmunitaria, se asocia con una reducción en la secreción del ácido gástrico, pero son raras la aclorhidria y la anemia perniciosa.
La gastritis autoinmunitaria crónica y la gastritis atrófica multifocal producen pocos síntomas relacionados de manera directa con los cambios gástricos. Cuando una pérdida intensa de células parietales tiene lugar en presencia de gastritis autoinmunitaria existen, de manera característica, hipoclorhidria o aclorhidria e hipergastrinemia. Mayor importancia tiene la relación de la gastritis crónica con el desarrollo de la úlcera péptica y el carcinoma gástrico. A largo plazo, el riesgo de desarrollar cáncer gástrico en personas con gastritis autoinmunitaria es minúsculo.
Gastropatía química
La gastropatía química es una lesión gástrica crónica que deriva del reflujo del contenido duodenal alcalino, las secreciones pancreáticas y la bilis hacia el estómago. La mayoría de las veces se identifica en personas que han experimentado gastroduodenostomía o gastroyeyunostomía. Una variante más leve puede ocurrir en individuos con úlcera gástrica, enfermedad vesicular o distintos trastornos de la motilidad de la porción distal del estómago.
Enfermedad ulcerosa péptica
Es un concepto que se utiliza para describir a un grupo de trastornos ulcerosos que afectan las regiones del tubo GI proximal que se encuentran expuestas a las secreciones de ácido y pepsina. Se relaciona con distintas etiologías, como el consumo de fármacos y la infección por H. pylori. La enfermedad ulcerosa péptica, con sus remisiones y exacerbaciones, constituye un problema de salud crónico.
Úlceras pépticas
Las variantes más frecuentes de úlcera péptica son las úlceras duodenal y gástrica. Alrededor del 10% de la población padece o padecerá una úlcera péptica. Las úlceras duodenales se presentan con 5 veces más frecuencia que las gástricas. La edad pico para el desarrollo de úlcera péptica se incrementó de manera progresiva en los últimos 50 años y en la actualidad se encuentra entre los 20 y 60 años de edad en el caso de las úlceras duodenales; no obstante, el trastorno puede darse en personas de cualquier edad. Las úlceras gástricas tienen una prevalencia más alta entre los adultos de edad intermedia y los mayores. En el caso de las úlceras duodenales existe predominio en el varón, mientras que la incidencia de las úlceras gástricas tiene una distribución más equitativa entre varones y mujeres.
La úlcera péptica puede afectar una o todas las capas del estómago o el duodeno (figura 45-6); puede penetrar tan sólo la superficie mucosa o extenderse hasta las capas de músculo liso.

A veces, una úlcera penetra la pared externa del estómago o el duodeno. Las remisiones y las exacerbaciones espontáneas son comunes. La cicatrización de la capa muscular implica su sustitución por tejido cicatricial. Si bien, las capas de la mucosa que cubren a la capa de músculo cicatrizada pueden regenerarse, este proceso es a menudo imperfecto, lo que propicia el desarrollo de episodios recurrentes de ulceración.
Etiología y patogénesis
Distintos factores de riesgo se relacionan con la enfermedad ulcerosa péptica. Los 2 más importantes son la infección por la bacteria H. pylori y el empleo de ácido acetilsalicílico y otros AINE. Existe evidencia de que tanto la infección por H. pylori como la exposición a AINE comprometen los mecanismos que protegen la mucosa gástrica de los efectos destructivos del ácido corrosivo, que de manera continua amenaza a la mucosa del tubo GI proximal, y la ulceración refleja un fallo en estos mecanismos.
El mecanismo preciso por el cual H. pylori promueve el desarrollo de la úlcera péptica no está del todo claro. La capacidad de H. pylori para inducir inflamación y estimular la liberación de citocinas y otros mediadores inflamatorios contribuye al daño a la mucosa. La infección, de manera predominante en el antro gástrico, conduce a la hipergastrinemia y al incremento de la producción de ácido. Se piensa que la lesión por ácido en el duodeno puede derivar en metaplasia gástrica, lo que permite al microorganismo colonizar estas regiones y promover el desarrollo de las úlceras duodenales.
También se cree que la patogénesis de las úlceras inducidas por AINE implica la lesión de la mucosa y la inhibición de la síntesis de prostaglandinas. El ácido acetilsalicílico parece ser el AINE con mayor capacidad ulcerogénica. En los usuarios de AINE el desarrollo de úlceras depende de la dosis, pero se presenta cierto riesgo incluso con dosis de ácido acetilsalicílico de 81 mg/día. En contraste con la úlcera péptica derivada de otras causas, la lesión gástrica inducida por AINE muchas veces es asintomática y pueden desarrollarse complicaciones que ponen en riesgo la vida sin aviso previo. Se refiere que la irritación gástrica es menor con la clase más reciente de AINE que inhibe de manera selectiva la ciclooxigenasa tipo 2 (AINE selectivos de COX-2), la principal enzima implicada en la síntesis de prostaglandinas en el sitio de la inflamación, que con los AINE no selectivos que también inhiben a la COX-1, la enzima que participa en la producción de prostaglandinas en la mucosa gástrica.
Estudios epidemiológicos identificaron factores independientes que intensifican el efecto de la infección por H. pylori y la enfermedad ulcerosa péptica inducida por AINE; entre otros: la edadavanzada, el antecedente previo de úlcera péptica, el empleo de AINE múltiples y la utilización simultánea de warfarina (un anticoagulante) y corticoesteroides. El tabaquismo pudiera incrementar el riesgo de desarrollo de úlcera péptica al comprometer la cicatrización. El consumo de alcohol puede inducir incremento en la producción de ácido. No existe evidencia convincente que indique que los factores dietéticos desempeñen algún papel en el desarrollo de la úlcera péptica. Existe aumento de la incidencia de úlcera péptica en ciertas familias. Este hallazgo podría quizá derivar de la acumulación familiar de la infección por H. pylori, y es probable que los factores genéticos hereditarios que reflejen las respuestas ante el microorganismo desempeñen un papel secundario.
Manifestaciones clínicas
Las manifestaciones clínicas de la úlcera péptica no complicada se centran en el malestar y el dolor. El dolor, que se describe como ardoroso, opresivo o tipo cólico, suele ser rítmico y, con frecuencia, se presenta cuando el estómago está vacío, entre una comida y otra, y a la 1 o 2 de la mañana. El dolor suele ubicarse sobre un área pequeña cercana a la línea media en el epigastrio, cerca del apéndice xifoides y puede irradiarse por debajo del borde costal, hacia la espalda o, rara vez, hacia el hombro derecho. En las lesiones más extensas pueden presentarse hipersensibilidad a la palpación superficial y profunda, y defensa muscular voluntaria. Una característica adicional del dolor ulceroso de su periodicidad. Tiende a recurrir a intervalos de semanas o meses. Durante una exacerbación, se presenta a diario durante un período de varias semanas y luego remite hasta la siguiente recurrencia. Por lo regular, el dolor se alivia al consumir alimentos o antiácidos.
Las complicaciones más frecuentes de la úlcera péptica son la hemorragia, la perforación y la penetración, así como la obstrucción de la salida gástrica. La hemorragia se debe al sangrado del tejido de granulación o a la erosión de una arteria o vena en el lecho ulceroso. Cuando las personas ingresan al hospital por enfermedad ulcerosa péptica, la anemia hemorrágica aguda es el segundo diagnóstico secundario en frecuencia. La evidencia de la hemorragia pueden ser la hematemesis o la melena. La hemorragia puede ser súbita, intensa y presentarse sin aviso previo, o puede ser insidiosa, y generar tan sólo la presencia de sangre oculta en las heces. Hasta el 20% de los individuos con úlceras sangrantes carece de antecedente de síntomas de dolor; esto es en particular válido en personas que utilizan AINE. La hemorragia aguda se evidencia por el desarrollo súbito de debilidad, mareo, sed, piel fría y húmeda, deseo de defecar, y evacuación de heces semidiarreicas, del color negruzco o incluso rojo, así como por la emesis en posos de café. Según el volumen de sangre que se pierde, se desarrollan signos de shock circulatorio.
La perforación tiene lugar cuando una úlcera erosiona todas las capas de la pared del estómago o el duodeno. Cuando una perforación se presenta en adultos mayores, la mortalidad se incrementa en grado significativo. Con la perforación, el contenido GI ingresa al peritoneo e induce peritonitis.
La irradiación del dolor hacia la espalda, el malestar nocturno intenso y el alivio insuficiente del dolor tras el consumo de alimentos o el consumo de antiácidos en personas con antecedente crónico de úlcera péptica pueden revelar una perforación. La penetración es un proceso similar a la perforación, pero en la primera el cráter de la úlcera se erosiona hacia órganos adyacentes, lo que incluye páncreas, hígado o el árbol biliar. Por lo regular, tiene una presentación sutil que se caracteriza por un incremento gradual de la gravedad y la frecuencia del dolor.
La obstrucción de la salida gástrica se debe al edema, el espasmo o la contracción del tejido cicatricial, así como a la interferencia con el paso libre del contenido gástrico a través del píloro o las áreas adyacentes. El cuadro clínico que se presenta por una obstrucción es peculiarmente insidioso, con síntomas de saciedad temprana, sensación de plenitud epigástrica y pesadez tras el consumo de alimentos, reflujo gastroesofágico, pérdida ponderal y dolor abdominal. Cuando la obstrucción es grave se presenta vómito de alimento no digerido.
Diagnóstico y tratamiento
Los procedimientos diagnósticos para la úlcera péptica incluyen la anamnesis, pruebas de laboratorio, estudios radiológicos y la exploración endoscópica. La anamnesis debe prestar atención cuidadosa al consumo de ácido acetilsalicílico y AINE. La úlcera péptica debe diferenciarse de otras causas de dolor epigástrico. Los hallazgos de laboratorio de anemia hipocrómica y sangre oculta en heces revelan hemorragia. La endoscopia (es decir, gastroscopia y duodenoscopia) puede utilizarse para visualizar el área de la úlcera y obtener especímenes de biopsia para realizar pruebas de detección de H. pylori y excluir una enfermedad maligna. Los estudios radiológicos con medio de contraste como el bario se emplean para detectar la presencia de un cráter ulceroso y excluir el carcinoma gástrico.
El tratamiento de la úlcera péptica se modificó en forma dramática en las últimas décadas y ahora se dirige a erradicar la causa y promover una curación permanente de la enfermedad. El tratamiento farmacológico se concentra en la erradicación de H. pylori, el alivio de los síntomas ulcerosos y la cicatrización del cráter ulceroso. Se utilizan fármacos para neutralización e inhibición de la producción de ácido, así como medicamentos protectores de la mucosa, para aliviar los síntomas y promover la cicatrización del cráter ulceroso. No existe evidencia de que las dietas especiales sean benéficas para el tratamiento de la úlcera péptica. Siempre que sea posible debe evitarse el consumo de ácido acetilsalicílico y AINE.
Existen 2 estrategias farmacológicas para reducir el contenido de ácido gástrico. La primera implica la neutralización del ácido gástrico por medio del consumo de antiácidos y, la segunda, una disminución de la secreción de ácido gástrico mediante el empleo de antagonistas de los receptores H2 o inhibidores de la bomba de protones. En esencia, se utilizan 3 tipos de antiácidos para aliviar la acidez gástrica: carbonato de calcio, hidróxido de aluminio e hidróxido de magnesio. Muchos antiácidos contienen una combinación de ingredientes, como el hidróxido de aluminio y magnesio.
Las formulaciones con calcio generan constipación y pueden inducir hipercalcemia, así como síndrome de leche alcalina. Este síndrome es la tercera causa en frecuencia de hospitalizaciones por hipercalcemia.
El hidróxido de magnesio es un antiácido potente que también tiene efectos laxantes. En esta formulación, cerca del 5% al 10% del magnesio se absorbe en el intestino; debido a que este elemento se excreta a través de los riñones, ésta no debe utilizarse en personas con insuficiencia renal.
El hidróxido de aluminio reacciona con el ácido clorhídrico para formar cloruro de aluminio. Se combina con el fosfato en el intestino, y su consumo prolongado puede inducir disminución de fosfato y osteoporosis. Puesto que los antiácidos pueden disminuir la absorción, la biodisponibilidad y la eliminación renal de distintos fármacos, esto debe tomarse en cuenta cuando se administran antiácidos junto con otros medicamentos.
La histamina es el principal mediador fisiológico de la secreción del ácido clorhídrico. Los antagonistas de los receptores H2 bloquean la secreción de ácido gástrico que estimulan la histamina, la gastrina y la acetilcolina. La absorción del medicamento no se modifica por la presencia o ausencia de alimentos en el estómago. El volumen de secreción gástrica y la concentración de pepsina también se reducen. Los inhibidores de la bomba de protones impiden la fase final de secreción de hidrogeniones al bloquear la acción de esta bomba de la célula parietal gástrica.
Entre los fármacos que favorecen las defensas mucosas se encuentran el sucralfato y los análogos de la prostaglandina. El fármaco sucralfato, una sal compleja de sacarosa que contiene aluminio y sulfato, se une en forma selectiva al tejido ulceroso dañado y actúa como una barrera contra el ácido, la pepsina y la bilis; también puede absorber de manera directa las sales biliares y dar inicio a la secreción de bicarbonato y moco. El medicamento no ingresa a la circulación sistémica. Requiere un pH ácido para activarse y no debe administrarse junto con los antiácidos o los antagonistas H2.
El misoprostol, un derivado de la prostaglandina E, promueve la cicatrización de laúlcera al estimular la secreción de moco y bicarbonato, y al inhibir en forma modesta la secreción de ácido. Es el único medicamento de esta clase autorizado por la U.S. Food and Drug Administration (FDA) para utilización clínica en la prevención de las úlceras pépticas inducidas por AINE. El medicamento genera diarrea dependiente de la dosis y, debido a su efecto estimulante sobre el útero, se encuentra contraindicado en mujeres en edad reproductiva.
El manejo quirúrgico actual de la enfermedad ulcerosa péptica se limita en gran medida al tratamiento de las complicaciones. Cuando se requiere una cirugía suele realizarse con técnicas de invasión mínima. En el caso de las úlceras sangrantes, la hemostasia por lo regular puede establecerse con técnicas endoscópicas y, con frecuencia, la dilatación con balón por vía endoscópica resulta efectiva para resolver la obstrucción de la vía de salida gástrica.
Síndrome de Zollinger-Ellison
Es una condición rara que genera un tumor secretor de gastrina (gastrinoma). En las personas con este trastorno, el incremento de la secreción de ácido gástrico induce ERGE o enfermedad ulcerosa péptica grave. Los tumores pueden ser únicos o múltiples; se identifican tumores duodenales en el 50% al 88% de los casos en este tipo de gastrinoma. Alrededor del 50% de los tumores productores de gastrina son malignos. El incremento de las secreciones gástricas induce síntomas relacionados con úlcera péptica. La diarrea puede derivar de la secreción excesiva de ácido o de la inactivación de la lipasa intestinal y las anomalías de la digestión de las grasas que se presentan cuando disminuye el pH intestinal.
La hipergastrinemia también puede presentarse en un trastorno autosómico dominante denominado síndrome de neoplasia endocrina múltiple tipo 1 (NEM-1), que se caracteriza por la presencia de numerosas neoplasias endocrinas. El síndrome se caracteriza por hiperparatiroidismo y tumores endocrinos múltiples, gastrinomas, entre otros. Entre el 20% y el 25% de los gastrinomas se deben al NEM-1.
El diagnóstico del síndrome de Zollinger-Ellison se basa en la elevación de la gastrina sérica y de las concentraciones basales de ácido gástrico, así como en la eliminación del diagnóstico de síndrome de NEM-1 como causa del trastorno. La tomografía computarizada (TC), la ecografía abdominal y la angiografía selectiva se utilizan para localizar el tumor y determinar si existe enfermedad metastásica.
El tratamiento del síndrome de Zollinger-Ellison implica el control de la secreción de ácido gástrico mediante el empleo de inhibidores de la bomba de protones y el tratamiento de los tumores malignos. La extirpación quirúrgica se encuentra indicada cuando el tumor es maligno y no existen metástasis.
Úlceras por estrés
El concepto de úlceras por estrés hace referencia las ulceraciones GI que se desarrollan en relación con un estrés fisiológico intenso. Las personas con riesgo elevado de desarrollar úlceras por estrés incluyen a quienes sufren quemaduras en áreas de superficie grandes (úlceras de Curling), traumatismo, septicemia, síndrome de dificultad respiratoria aguda, insuficiencia hepática grave y procedimientos quirúrgicos mayores. Estas lesiones se presentan la mayoría de las veces en el fondo y el cuerpo del estómago, y se cree que derivan de la isquemia del tejido mucoso y de alteraciones de la barrera mucosa gástrica. Otra variedad de úlcera por estrés, denominada úlcera de Cushing, consiste en el desarrollo de úlceras gástricas, duodenales y esofágicas en personas con lesión, cirugías o tumores intracraneales. Se piensa que se deben a la secreción excesiva de ácido gástrico por la estimulación de los núcleos vagales que deriva del incremento en la presión intracraneal.
Las personas que ingresan a unidades de cuidados intensivos se encuentran en riesgo particular de desarrollar úlceras por estrés. Los inhibidores de la bomba de protones son los fármacos de primera línea para la prevención de estas úlceras.
Cáncer gástrico
De acuerdo con la International Agency for Research in Cancer, en 2008 el carcinoma gástrico fue el cuarto tipo más frecuente de cáncer en todo el mundo. La mitad de los casos mundiales tuvo lugar en el este de Asia. Menos del 30% de todos los casos se presenta en países desarrollados y la incidencia global en varones y mujeres muestra una proporción de 2 a 1. Se predijo que en el año 2010 se presentarían 21.000 casos nuevos de cáncer gástrico en Estados Unidos y que casi 11.000 personas morían por la enfermedad.
Etiología y patogénesis
Entre los factores que, se piensa, incrementan el riesgo de cáncer gástrico están los genéticos, los carcinógenos en la dieta (ej. compuestos N-nitroso y benzopirenos que se encuentran en los alimentos ahumados y conservados), gastritis autoinmunitaria y adenomas, o pólipos gástricos. La incidencia del cáncer gástrico en Estados Unidos ha disminuido en grado importante desde 1930, lo que, se presume, se debe a un mejor almacenamiento de los alimentos y a una disminución del consumo de productos salados, ahumados y conservados. La infección crónica por H. pylori parece fungir como cofactor en algunos tipos de carcinoma gástrico. La infección bacteriana induce gastritis, a la que siguen la atrofia, la metaplasia intestinal y el carcinoma. Esta secuencia de sucesos celulares depende, tanto de la presencia de proteínas bacterianas, como de la respuesta inmunitaria del hospedero; esta última recibe influencia de sus componentes genéticos. Además de la genética, la probabilidad de desarrollar cáncer gástrico por una infección por H. pylori guarda relación con la cepa infectante, los factores ambientales y la duración del proceso. Al igual que la infección por H. pylori, la gastritis autoinmunitaria aumenta el riesgo de cáncer gástrico lo que, se cree, se debe a la inflamación crónica y a la metaplasia intestinal.
Entre el 50% y el 60% de los casos de cáncer gástrico se presenta en la región pilórica o adyacente al antro. En comparación con una úlcera benigna, que muestra bordes lisos y forma concéntrica, los cánceres gástricos tienden a ser mayores y tienen configuración y bordes irregulares.
Manifestaciones clínicas
Desafortunadamente, los cánceres del estómago a menudo son asintomáticos hasta una fase tardía de su evolución. Las manifestaciones, de presentarse, suelen ser vagas e incluir dispepsia, anorexia, pérdida ponderal, dolor epigástrico vago, emesis y desarrollo de una masa abdominal. Puesto que estos síntomas son en esencia inespecíficos, se dificulta la detección temprana.
Diagnóstico y tratamiento
El diagnóstico del cáncer gástrico se establece por medio de distintas estrategias, lo que incluye estudios radiológicos baritados, estudios endoscópicos con toma de biopsia y estudios histológicos (ej. frotis de Papanicolaou) de las secreciones gástricas. Los estudios histológicos pueden ser en particular útiles como pruebas para detección de rutina en personas con gastritis atrófica o pólipos gástricos. La TC y la ecografía se utilizan con frecuencia para delimitar la extensión del cáncer gástrico diagnosticado.
Con base en la localización y la extensión de la lesión, el tratamiento de elección suele ser la cirugía en su variante de gastrectomía subtotal radical. La radiación y la quimioterapia no han probado ser en especial útiles como modalidades terapéuticas primarias en el cáncer gástrico. Estas estrategias suelen utilizarse con propósitos paliativos o para controlar la diseminación metastásica de la enfermedad.