Casos Clínicos de Fisiopatología
Colección de casos clínicos extraídos de los exámenes de Fisiopatología del Grado en Enfermería.
Casos clínicos
- Isabel Campos es una mujer de 54 años que acude a consulta por presentar la siguiente sintomatología desde hace un par de meses: aumento de la temperatura de la piel, intolerancia al calor, palpitaciones, sed y temblor, la paciente se muestra muy agitada, y dice haber perdido peso.
Indíqueme:
- Posible DX.
- Métodos DX.
- Etiología de la patología.
- Tratamiento.
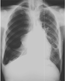
- Paciente de 26 años de edad, que ingresó a nuestro Servicio tras sufrir un accidente de moto. En el ingreso se encontraba hemodinámicamente inestable, con una presión arterial de 107/54 mmHg, frecuencia cardíaca de 106 por min, un puntaje de Glasgow de 15, saturación de O2 de 89%, taquipnéico, dolor intenso en tórax y nauseas. Se obtuvo la siguiente imagen radiológica:

- Indique según la imagen que piensa que le está ocurriendo al paciente.
- Además de la RX tórax ¿realizaría alguna prueba Dx más?
- Qué tratamiento administraría al paciente.
- Esa TA y el aumento de la FC de qué le haría sospechar.
- Mujer de 31 años, acude a puertas de urgencias a las 4 h pm por presentar los siguientes síntomas:
- Hiperventilación, piel calientey seca, deshidratación, sed, poliuria, polidipsia, nauseas, vómitos, dolor abdominal difuso, alteración del nivel de conciencia, hiperglucemia.
- Tras la analítica encontramos:
- Leucocitosis.
- Hiperglucemia > 300.
- Acidosis metabólica: Ph < 7.25 y bicarbonato < 15 mEq/L.
Indique:
- Posible diagnóstico.
- Complicaciones que pueden aparecer.
- Tratamiento.
- Paciente de 65 años, hábito eólico desde hace 30 años, fumador, con mala higiene corporal, ingresa en urgencias por presentar. hematemesis, palidez, sudoración fría, temperatura 35.5, TA. 89/62, debilidad, mareos, FC 145.
Indique:
- Posible DX.
- Pruebas DX.
- Posible Tratamiento.
- Mujer de 80 años, hipertensa, fumadora de 12 paquetes por año, clase funcional I/IV, quien después de un viaje de 14 horas en bus, presenta sincope, disnea y cianosis. Es transportada al servicio de urgencias donde ingresa veinte minutos más tarde, consciente, sin déficit motor, desaturada e hipotensa PA 78/40 FC 120 FR 33 SA O2 74% con ingurgitación yugular, corazón rítmico, sin soplos, pulmones bien ventilados, abdomen normal. Extremidades sin edemas, frialdad distal con pulsos débiles, sudoración fría pegajosa.
Indique:
- Posible DX.
- Qué pruebas DX emplearía.
- Tratamiento posible.
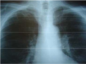
- Varón de 60 años que acude a urgencias por hemoptisis, febrícula y síndrome constitucional. Fumador de 20 cigarrillos al día desde los 18 años (42 paqetes/años); Bebedor de 100 g de etanol al día; Enfermedad actual: desde hace varios meses refiere astenia, anorexia y pérdida de más de 10 kg de peso, y desde hace 4-5 días presenta también disnea mayor de la habitual, siendo en la actualidad de mínimos esfuerzos, hemoptisis y febrícula, por lo que decide acudir a urgencias. Refiere desde hace años ronquido intenso con somnolencia diurna en inactividad. Exploración física: FC 90, FR 24, Tª 37.5, TA 140/94, índice de masa corporal 32 kg/m². Consciente, orientado, taquipneico, con sobrepeso y con aspecto higiénico descuidado. Dentadura en mal estado general y ligero olor enólico. Rítmico sin soplos cardíacos. Roncus y sibilancias bibasales. Abdomen y extremidades normales.
Indique:
- Posible DX.
- Posible TTo.
- Explique que se visualiza en la RX tórax.

- Mujer de 80 años hipertensa, diabética, movilidad reducida, acude a consulta por presentar la siguiente sintomatología en MID. Tiene calor, dolor, enrojecimiento, edematización e insuficiencia funcional de MID.
¿Podría indicarme que posible patología presenta la paciente?
Indique posibles pruebas DX
Tratamiento recomendado.
SOLUCIÓN
La paciente puede presentar una trombosis venosa profunda, ya que la zona está caliente, enrojecida, edematizada, que no puede mover el cuerpo y tiene dolor.
Pruebas Dx:
- Eco-doppler
- Eco
- Flebografía
- Plestimografía
- Tac con contraste
Tratamiento:
Anticoagulantes como heparina de bajo peso molecular (que hace que la sangre sea más líquida, se administra como profilaxis a pacientes que van a estar inmovilizados), vendaje y movilización del miembro hasta la eliminación del trombo (= el trombo lo eliminamos mediante una embolectomía o fibrinólisis: administrar por vía intravenosa un fármaco que lo que hace es romper el trombo, lisarlo).
Vamos a tener varios fármacos que van a poder actuar al nivel de la sangre y estos son muy diferentes. También estaría indicado darle antiagregantes plaquetarios como la aspirina.
- Diferencia entre Antiagregantes plaquetarios, Heparina de bajo peso molecular y Fibrinolíticos:
SOLUCIÓN
- El Ácido acetíl salicílico que es la Aspirina, es un Antiagregante plaquetario que eso lo que nos impide es la propagación de los trombos, es decir, que un trombo se haga más grande. →Evita la aparición de trombos.
- Heparinas de bajo peso molecular hacen la sangre más líquida, y se administran como profilaxis a la aparición de trombos en pacientes que vayan a estar inmovilizados. →Hace que la sangre esté más líquida y se dan en pacientes que pensemos que vayan a estar inmovilizados. Acción similar a la del Sintrom.
- Fibrinolíticos lo que hacen es romper el trombo de fibrina que se ha formado, lo que hacen es lisarlo. Lo rompen a expensas de generar una alteración de la cascada de coagulación brutal, por lo tanto cuando dividamos los Fibrinolíticos tenemos que tener en cuenta que los efectos secundarios de este fármaco son mucho mayores que los anteriores. La aspirina genera menos efectos secundarios que la Heparina/Sintrom y esta que los Fibrinolíticos.
La aspirina genera menos efectos secundarios que la Heparina/Sintrom y esta que los Fibrinolíticos.
- Paciente de 50 años que acude a Puertas de urgencias por presentar la siguiente sintomatología:
- Dolor precordial intenso, sudoración fría, disminución del volumen normal de la diuresis, mareos y fatiga.
- A la exploración básica podemos encontrar: saturación de oxígeno: 88% FC: 50lpm, FR: 20rp. TA: 90-75mmHg.
- A nivel analítico: parámetros bioquímicos normales excepto marcadores coronarios que se encuentran ligeramente aumentados, serie roja disminuida.
- HTC de 29%, Hb: 8’5. Plaquetas ligeramente aumentadas.
- ECG: no se encuentra patología
- Rx Tórax: muestra ligero ensanchamiento mediastínico.
Indique que patología muestra, posibles Dx, posible tratamiento.
SOLUCIÓN
Sospechamos (viendo la analítica) de que está sangrando, por lo tanto el diagnóstico principal es una hemorragia.
Diagnóstico: Hemorragia, por alguna disección de una arteria o un aneurisma roto, una lesión vascular o una que nos está produciendo un sangrado.
Tratamiento: ¿?
- Paciente de 50 años acude a puertas de urgencias por dolor precordial intolerable, sudoración fría y mareos, el dolor aparece mientras el paciente se encuentra viendo la televisión y tiene una duración de 1h. A su llegada se le realiza un electro que se adjunta la imagen número 1, posible diagnóstico.

Indique posible Dx, Diagnóstico y Tratamiento.
SOLUCIÓN
Posible Dx: El dolor aparece en reposo, por lo tanto descartamos angor y nos vamos al infarto.
- Infarto con elevación de la ST.
Diagnóstico: Troponinas cada 4h y electro cada vez que presente dolor.
Tratamiento: Aspirina como Antiagregante plaquetario, 300 como dosis de choque. Y cloruro mórfico combinado con un antiemético como el Primperan.
Un trastorno isquémico es que hay un trombo y por lo tanto los tratamientos irán dirigidos a que el trombo no se haga más grande, o a que se produzca una vasodilatación.
Un trastorno eléctrico irá destinado a frenar a ese paciente con Digoxina o Trangorex.
→ Siempre se les da: Aspirina, 300 como dosis de choque. Luego cloruro mórfico para el dolor combinado con un antiemético como Primperan y luego, como tiene dolor, vamos a vasodilatar como por ejemplo los nitratos, nitroglicerinas, etc.
→ Trastornos isquémicos: angor y IAM (tanto con elevación o no de la ST)