11. Técnicas de Imagen para el Diagnóstico
La anatomía radiológica es el estudio de las estructuras y funciones del organismo mediante técnicas de diagnóstico por la imagen. Es una parte importante de la anatomía y constituye la base anatómica de la radiología, o rama de la ciencia médica que emplea la energía radiante para el diagnóstico y el tratamiento de la enfermedad.
Al poder identificar las estructuras normales en las radiografías (rayos X), es más fácil reconocer los cambios producidos por la enfermedad y las lesiones. Estar familiarizado con las técnicas de imagen que se utilizan habitualmente en clínica permite reconocer anomalías congénitas, tumores y fracturas. Las que se utilizan con más frecuencia son:
- Radiografía convencional (imágenes de rayos X).
- Tomografía computarizada (TC).
- Ecografía.
- Resonancia magnética (RM).
- Técnicas de medicina nuclear.
Aunque las técnicas difieren entre sí, todas se basan en la recepción de emisiones atenuadas de energía que han atravesado los tejidos corporales o se han reflejado o generado en ellos. Las técnicas de diagnóstico por la imagen permiten observar las estructuras anatómicas en el sujeto vivo y estudiar sus movimientos en las actividades normales y anormales (ej. el corazón y el estómago).
Radiografía convencional
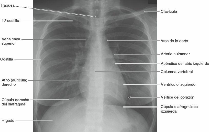
Los estudios radiográficos convencionales que no emplean técnicas especiales, tales como medios de contraste, se denominan clínicamente radiografías simples (fig. 1-49), aunque en la actualidad la mayoría de las imágenes se producen y visualizan digitalmente en monitores en vez de en placas radiográficas. En la exploración radiológica, un haz muy penetrante de rayos X transilumina al paciente y muestra los tejidos con masas de diferentes densidades como imágenes de distinta intensidad (áreas con luces y sombras relativas) en la placa radiográfica o en el monitor (fig. 1-50). Un tejido u órgano cuya masa sea relativamente densa (ej. el hueso compacto) absorbe o refleja los rayos X más que otro tejido menos denso (ej. el hueso esponjoso). Por lo tanto, un tejido u órgano denso produce un área algo transparente en la radiografía, o un área brillante en el monitor, porque hay menos cantidad de rayos X que alcanzan la placa o el detector. Una sustancia densa es radiopaca, mientras que otra de menos densidad es radiotransparente.


Muchos principios que son aplicables a la formación de una sombra lo son también a la radiografía convencional. Así, al proyectar la sombra de la mano sobre una pared, cuanto más cerca de esta se halle la mano tanto más nítida será la forma de la sombra; al apartar la mano de la pared y acercarla a la fuente de luz, la sombra se ampliará. Las radiografías se realizan con la parte del paciente a estudiar próxima a la placa radiográfica o al detector, para maximizar la claridad de la imagen y minimizar los artefactos por aumento. En la nomenclatura radiológica básica, la proyección posteroanterior (PA) se refiere a una radiografía en la cual los rayos X atraviesan al paciente desde la parte posterior (P) hacia la anterior (A); el tubo de rayos X se halla detrás del paciente, y la placa radiográfica o el detector delante (fig. 1-51 A). En una radiografía en proyección anteroposterior (AP) ocurre lo contrario.

Las radiografías se visualizan con una orientación estándar independiente de la proyección radiográfica. Para la mayor parte del cuerpo, incluyendo la cabeza y el tronco, la cintura escapular y los brazos debajo de los codos, y hasta las piernas, incluyendo los tobillos, todas las radiografías PA, AP y oblicuas se contemplan como si el observador y el paciente se hallaran uno frente al otro (el lado derecho del paciente se halla frente al lado izquierdo del observador); esto se denomina vista anteroposterior (AP). Como se muestra en la figura 1-49, una radiografía de tórax PA se presenta con la derecha del paciente hacia la izquierda del observador y la orientación sería la misma al ver una radiografía de tórax AP. Para las muñecas, manos y pies, las radiografías se ven como si estuviera viendo sus propias muñecas, manos o pies. En las radiografías laterales se colocan letras radiopacas (D, derecho; I, izquierdo) para indicar el lado más próximo a la placa radiográfica o al detector, y la imagen se visualiza en la misma dirección en que se proyectó el haz de rayos (fig. 1-51 B).
La introducción de medios de contraste (líquidos radiopacos, como compuestos de yodo o bario) permite estudiar diversos órganos luminales o vasculares y espacios potenciales o reales (como el tubo digestivo, los vasos sanguíneos, los riñones, las cavidades sinoviales y el espacio subaracnoideo) que no son visibles en las radiografías simples (fig. 1-52). En la mayoría de las exploraciones radiológicas se emplean al menos dos proyecciones, en ángulo recto entre ellas. Como cada radiografía es una representación bidimensional de una estructura tridimensional, las estructuras que atraviesa secuencialmente el haz de rayos X se superponen. Por lo tanto, suele ser necesaria más de una proyección para detectar y localizar con precisión las anomalías.

Tomografía computarizada
En la tomografía computarizada (TC) se recogen imágenes radiográficas del organismo que semejan secciones anatómicas transversales (fig. 1-53). En esta técnica, un haz de rayos X pasa a través del cuerpo a medida que el tubo emisor y el detector rotan alrededor del eje del cuerpo. Las múltiples absorciones de energía radial superpuestas se miden, registran y comparan mediante un ordenador, con el fin de determinar la radiodensidad de cada píxel volumétrico (vóxel) del plano corporal elegido. La radiodensidad de cada vóxel, o cantidad de radiación absorbida por él, depende de factores como la cantidad de aire, agua, grasa o hueso de cada elemento.

El ordenador elabora mapas de los vóxels en una imagen plana (corte) que se visualiza en un monitor o se imprime. Las imágenes de TC guardan una buena relación con las de una radiografía convencional, donde las áreas de mayor absorción (ej. el hueso) son relativamente transparentes (blancas) y las de menor absorción negras (fig. 1-53). Las imágenes de TC axial (y la RM) siempre se ven como si uno estuviera parado frente a los pies de un paciente en posición supina, es decir, de una visión inferior. Las imágenes de TC coronal (y RM) se ven como si el paciente estuviera de frente. La TC sagital (y la RM) suele verse como si estuviera parado del lado izquierdo del paciente.
Ecografía
La ecografía (ultrasonografía) es una técnica que permite visualizar las estructuras superficiales o profundas del cuerpo mediante el registro de pulsos de ondas ultrasónicas reflejadas por los tejidos (fig. 1-54). La ecografía tiene la ventaja de un menor coste que la TC y la RM; además, el aparato es portátil. La técnica puede realizarse casi en cualquier lugar, como en la sala de exploraciones, a la cabecera del enfermo o en la mesa de operaciones. Un transductor, en contacto con la piel, genera ondas de sonidos de alta frecuencia que pasan a través del cuerpo y reflejan las interfases de los tejidos de diferentes características, como los tejidos blandos y el hueso. Los ecos procedentes del cuerpo se reflejan en el transductor y se convierten en energía eléctrica. Las señales eléctricas se registran y exponen en un monitor como imágenes en corte transversal, que pueden visualizarse en tiempo real y registrarse como imágenes únicas o en videograbación.

Una ventaja importante de la ecografía es su capacidad para producir imágenes en tiempo real y poner de manifiesto los movimientos de las estructuras y el flujo sanguíneo. En la ecografía Doppler, los cambios de frecuencia entre las ondas ultrasónicas emitidas y sus ecos se utilizan para medir la velocidad de los objetos que se mueven. Esta técnica se basa en el principio del efecto Doppler. La sangre que fluye por los vasos se representa en color, superpuesta a la imagen bidimensional en corte transversal.
Para la exploración de las vísceras pelvianas desde la superficie del abdomen es necesario que la vejiga urinaria se halle completamente distendida. La orina actúa como «ventana acústica», que transmite las ondas ultrasónicas hacia y desde las vísceras pelvianas posteriores con una mínima atenuación. Además, la vejiga distendida aparta de la pelvis las asas intestinales llenas de gas. La ecografía transvaginal permite colocar el transductor más cerca del órgano de interés (ej. el ovario), y evita la grasa y el gas, que absorben o reflejan las ondas ultrasónicas. El hueso refleja casi todas las ondas ultrasónicas, mientras que el aire las conduce mal. Por lo tanto, la ecografía no se utiliza habitualmente para examinar el SNC ni el pulmón aireado del adulto.
El atractivo de la ecografía en obstetricia se debe a que es un procedimiento no invasivo y que no utiliza radiación; puede aportar información útil sobre el embarazo, por ejemplo determinar si es intrauterino o extrauterino (ectópico), y si el embrión o feto está vivo. También se ha convertido en un método estándar para valorar el crecimiento y el desarrollo del embrión y del feto.
Resonancia magnética
La resonancia magnética (RM) proporciona imágenes corporales similares a las que se obtienen con la TC, pero la RM es mejor que esta última en la diferenciación de los tejidos. Las imágenes de RM son muy semejantes a los cortes anatómicos, especialmente en el encéfalo (fig. 1-55). El paciente se coloca en un aparato de exploración con un fuerte campo magnético, y el cuerpo recibe pulsaciones de radioondas. Las señales subsiguientes emitidas desde los tejidos del paciente se almacenan en un ordenador y pueden reconstruirse para formar diversas imágenes corporales. La apariencia de los tejidos en las imágenes generadas puede variarse controlando la forma en que se envían y reciben los pulsos de radiofrecuencia.

Los protones libres en los tejidos, que quedan alineados por la acción del campo magnético circundante, se excitan mediante un pulso de radioondas. Cuando desaparece dicha excitación, los protones emiten unas señales de energía de escasa intensidad, pero mensurables. Los tejidos con alta densidad de protones, como la grasa y el agua, emiten más señales que los tejidos cuya densidad de protones es baja.
La señal emitida por los tejidos se basa principalmente en tres propiedades de los protones en una determinada región del cuerpo: relajación T1 y T2 (que producen imágenes potenciadas en T1 y T2), y densidad de los protones. Aunque los líquidos tienen una elevada densidad de protones libres, los protones libres en los líquidos en movimiento, como la sangre, tienden a moverse fuera del campo antes de excitarse y emitir su señal, y son reemplazados por protones no excitados. Por consiguiente, los líquidos en movimiento aparecen en negro en las imágenes potenciadas en T1.
A partir de los datos adquiridos, los ordenadores empleados en la RM pueden reconstruir los tejidos en cualquier plano: transversal, medio, sagital, frontal o incluso en planos oblicuos arbitrarios. Los datos también pueden utilizarse para generar reconstrucciones tridimensionales. Los aparatos de RM producen unas imágenes satisfactorias de los tejidos blandos, sin emplear radiaciones ionizantes. Con los primeros aparatos, los movimientos del paciente durante las prolongadas sesiones creaban problemas, pero actualmente se utilizan equipos rápidos que pueden filtrar o ajustar las señales para visualizar en tiempo real las estructuras en movimiento, como el corazón y el flujo sanguíneo.
Técnicas de medicina nuclear
Las técnicas de gammagrafía proporcionan información sobre la distribución o la concentración de cantidades mínimas de sustancias radiactivas introducidas en el organismo. Las imágenes gammagráficas muestran los órganos después de la inyección intravenosa de una pequeña dosis de un isótopo radiactivo. La sustancia se utiliza para marcar un compuesto que es captado selectivamente por el órgano a estudiar, como el difosfonato de metileno con tecnecio 99m (99mTc-MDP) para la gammagrafía ósea (fig. 1-56).

En la tomografía por emisión de positrones (PET, positron emission tomography) se utilizan isótopos producidos por un ciclotrón, con una semivida extremadamente corta, que emiten positrones. La PET se usa para valorar las funciones fisiológicas de órganos como el cerebro, sobre una base dinámica. Las áreas de actividad cerebral aumentada mostrarán una actividad selectiva del isótopo inyectado. Pueden visualizarse las imágenes de todo el órgano o de cortes transversales. Las imágenes obtenidas mediante tomografía computarizada con emisión de fotón único (SPECT, single photon emission computed tomography) son similares, pero el marcador empleado tiene una mayor duración. La técnica es menos costosa, pero requiere más tiempo y su resolución es menor.