08. Región Bucal
La región bucal incluye la cavidad bucal, los dientes, las encías, la lengua, el paladar y la región de las tonsilas palatinas. La cavidad bucal es donde se ingieren y preparan los alimentos para su digestión en el estómago y el intestino delgado. La masticación del alimento con los dientes y su mezcla con la saliva de las glándulas salivares facilitan la formación de un bolo alimentario manejable. La deglución se inicia voluntariamente en la cavidad bucal. En la fase voluntaria del proceso se impulsa el bolo desde la cavidad bucal a la faringe, la porción expandida del sistema digestivo (alimentario) donde tiene lugar la fase involuntaria (automática) de la deglución.
Cavidad bucal
La cavidad bucal (boca) consta de dos partes: el vestíbulo bucal y la cavidad bucal propiamente dicha (fig. 8-76). En esta cavidad bucal es donde se paladean los alimentos y las bebidas, y donde tienen lugar la masticación y la manipulación lingual de la comida. El vestíbulo bucal es el espacio en forma de hendidura situado entre los dientes y las encías por un lado, y los labios y las mejillas por otro. El vestíbulo comunica con el exterior por la hendidura bucal (abertura). El tamaño de la hendidura bucal está controlado por los músculos periorales, como el orbicular de la boca (el esfínter de la hendidura bucal), el buccinador, el risorio y los depresores y elevadores de los labios (dilatadores de la hendidura).
La cavidad bucal propiamente dicha es el espacio entre los arcos dentales, o arcadas, superior e inferior (arcos alveolares maxilar y mandibular y los dientes incluidos). Está limitada lateral y anteriormente por los arcos dentales. La pared superior de la cavidad bucal está formada por el paladar. Posteriormente, la cavidad bucal comunica con la bucofaringe (parte bucal de la faringe). Cuando la boca está cerrada y en reposo, la cavidad bucal está totalmente ocupada por la lengua.

Labios, mejillas y encías
Labios y mejillas
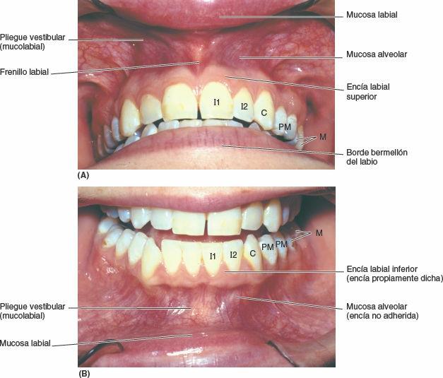
Los labios son repliegues musculofibrosos móviles que rodean la boca; se extienden desde los surcos nasolabiales y las narinas lateral y superiormente hasta el surco mentolabial inferiormente (fig. 8-77). Contienen el músculo orbicular de la boca y los músculos, vasos y nervios labiales superiores e inferiores (fig. 8-16). Los labios están cubiertos externamente por piel, e internamente por mucosa. Funcionan a modo de válvulas de la hendidura bucal; contienen el esfínter (orbicular de la boca) que controla la entrada y salida de la boca y los tractos superiores digestivo y respiratorio. Se utilizan para la prensión del alimento, succionar líquidos, mantener el alimento fuera del vestíbulo bucal, formar el habla y besar.

La zona de transición de los labios (considerada habitualmente como el labio propiamente dicho), de color que varía de pardo a rojo, continúa hasta la membrana mucosa bucal (mucosa labial) para transformarse en la mucosa que cubre la porción vestibular intrabucal de los labios (fig. 8-78). Los frenillos labiales son pliegues de la mucosa, de bordes libres, situados en la línea media; se extienden desde la encía vestibular hasta la mucosa de los labios superior e inferior, y el del labio superior es de mayor tamaño. A veces existen otros frenillos más pequeños lateralmente en las regiones vestibulares premolares.
Las arterias labiales superior e inferior, ramas de la arteria facial, se anastomosan entre sí en los labios para formar un anillo arterial (fig. 8-24; tabla 8-5). El pulso de estas arterias puede palparse si se pinza ligeramente el labio superior o inferior entre los dos primeros dedos. El labio superior está irrigado por ramas labiales superiores de las arterias facial e infraorbitaria. El labio inferior recibe irrigación de ramas labiales inferiores de las arterias facial y mentoniana.
El labio superior está inervado por los ramos labiales superiores de los nervios infraorbitarios (del NC V2). El labio inferior recibe inervación de los ramos labiales inferiores de los nervios mentonianos (del NC V3). La linfa del labio superior y las partes laterales del labio inferior drena sobre todo en los nódulos linfáticos submandibulares (fig. 8-77), mientras que la linfa de la parte medial del labio inferior drena inicialmente en los nódulos linfáticos submentonianos.
Las mejillas presentan esencialmente la misma estructura que los labios, con los que se continúan. Las mejillas forman las paredes móviles de la cavidad bucal. Anatómicamente, la cara externa de las mejillas constituye la región de la mejilla, bordeada anteriormente por las regiones labial y mentoniana (labios y mentón), superiormente por la región cigomática, posteriormente por la región parotídea, e inferiormente por el borde inferior de la mandíbula (fig. 8-14). La prominencia de la mejilla se halla en la unión de las regiones cigomática y de la mejilla. El hueso cigomático subyacente a la prominencia, y el arco cigomático que lo continúa posteriormente, se conocen habitualmente como el «pómulo» (fig. 8-3). Los profanos consideran que las regiones cigomática y parotídea también forman parte de la mejilla.
Los principales músculos de las mejillas son los buccinadores (fig. 8-76). Existen numerosas glándulas bucales de pequeño tamaño entre la mucosa y el buccinador (fig. 8-74). Superficialmente a los buccinadores hay acumulaciones encapsuladas de tejido adiposo; este cuerpo adiposo de la mejilla es proporcionalmente mucho mayor en los lactantes, presumiblemente para reforzar las mejillas e impedir que se colapsen al succionar. Las mejillas están irrigadas por las ramas bucales de la arteria maxilar, e inervadas por los ramos bucales del nervio mandibular.

Encías
Las encías se componen de tejido fibroso tapizado por una mucosa. La encía propiamente dicha (encía adherida) está firmemente unida a la parte alveolar de la mandíbula y a los procesos alveolares del maxilar, y a los cuellos de los dientes (figs. 8-76 y 8-78). La encía propiamente dicha adyacente a la lengua es la encía lingual superior e inferior; la encía adyacente a los labios y las mejillas es la encía labial o bucal (de la mejilla), respectivamente, maxilar y mandibular. La encía propiamente dicha suele ser rosada, punteada y queratinizada. La mucosa alveolar (encía no adherida) suele ser brillante, roja y no queratinizada. Los nervios y vasos que llegan a las encías, al hueso alveolar subyacente y al periodonto (que rodea las raíces del diente y lo fija en el alvéolo dentario) se presentan en la figura 8-79 A y C.

Dientes
Las principales funciones de los dientes son:
- Incidir (seccionar), reducir y mezclar los productos alimentarios con saliva durante la masticación.
- Ayudar a automantenerse en los alvéolos dentarios; para ello colaboran en el desarrollo y la protección de los tejidos que los sustentan.
- Participar en la articulación de la palabra (habla conexa y clara).
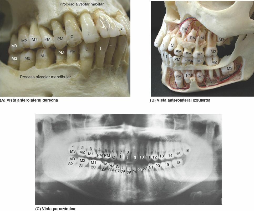
Los dientes se disponen en los alvéolos dentarios y se utilizan para la masticación y como ayuda en la articulación de la palabra. Los dientes se identifican y describen según sean deciduos (primarios) o permanentes (secundarios), el tipo de diente y su proximidad a la línea media o parte anterior de la boca (ej. incisivos mediales o laterales; el primer molar es anterior al 2º).
Los niños tienen 20 dientes deciduos; los adultos normalmente tienen 32 dientes permanentes (fig. 8-80 A y C). Las edades habituales de erupción de los dientes se exponen en la figura 8-81 y en las tablas 8-13 A y 8-13 B. Antes de la erupción, los dientes en desarrollo se alojan en los arcos alveolares en forma de gérmenes dentales (fig. 8-80 B).
Los tipos de dientes se distinguen por sus características: incisivos, de bordes delgados y cortantes; caninos, formados por un cono prominente; premolares (bicúspides) con dos cúspides; y molares, con tres o más cúspides (fig. 8-80 A y C).
La cara vestibular (labial o bucal) de cada diente se dirige hacia fuera, y la cara lingual hacia dentro (fig. 8-79 B). Según la nomenclatura práctica que se utiliza en odontología, la cara mesial de un diente es la que se dirige hacia el plano medio de la parte facial del cráneo. La cara distal se aleja de este plano; ambas caras, mesial y distal, son superficies de contacto, es decir, que contactan con los dientes adyacentes. La cara masticatoria es la cara oclusal.

Partes y estructura de los dientes
Los dientes se componen de corona, cuello y raíz (fig. 8-82). La corona sobresale de la encía. El cuello se halla entre la corona y la raíz. La raíz está unida al alvéolo dentario por el periodonto (tejido conectivo rodeado de raíces); el número de raíces es variable. La mayor parte del diente está constituida por la dentina, cubierta por el esmalte sobre la corona, y por el cemento sobre la raíz. La cavidad pulpar contiene tejido conectivo, vasos sanguíneos y nervios. El conducto radicular (conducto pulpar) da paso a los nervios y vasos que entran y salen de la cavidad pulpar a través del foramen apical.
Los alvéolos dentarios (figs. 8-81 B y 8-82 B) se hallan en los procesos alveolares del maxilar y la parte alveolar de la mandíbula (fig. 8-80 A). Son las estructuras esqueléticas que experimentan un mayor cambio a lo largo de la vida (fig. 8-81 B). Los alvéolos adyacentes están separados por los septos interalveolares; dentro del alvéolo, las raíces de los dientes que poseen más de una raíz están separadas por los septos interradiculares (figs. 8-81 B y 8-82 B). El hueso del alvéolo posee una fina corteza que está separada de las cortezas labial y lingual adyacentes por una cantidad variable de hueso trabecular. La pared labial del alvéolo es particularmente delgada en los dientes incisivos; en cambio, en los molares, la pared más delgada es la lingual. Por lo tanto, habitualmente se rompe la cara labial para extraer los incisivos, y la cara lingual para extraer los molares.



Las raíces de los dientes están unidas al hueso del alvéolo por una suspensión elástica que forma un tipo especial de articulación fibrosa, denominada sindesmosis dentoalveolar o gonfosis. El periodonto (membrana periodontal) está compuesto por fibras de colágeno que se extienden entre el cemento de la raíz y el periostio del alvéolo. Recibe abundantes terminaciones nerviosas táctiles presorreceptoras, capilares linfáticos y vasos sanguíneos glomerulares, y actúa como un cojinete hidráulico para frenar la presión masticatoria axial. Las terminaciones nerviosas presorreceptoras son sensibles a cambios de presión.

Vascularización de los dientes
Las arterias alveolares superior e inferior, ramas de la arteria maxilar, irrigan los dientes maxilares y mandibulares, respectivamente (figs. 8-73 y 8-74 A; tabla 8-12). Las venas alveolares, con los mismos nombres y distribución, acompañan a las arterias. Los vasos linfáticos de los dientes y las encías drenan principalmente en los nódulos linfáticos submandibulares(fig. 8-77).
Inervación de los dientes
Los nervios que inervan los dientes se ilustran en la figura 8-79 A. Los ramos con denominación de los nervios alveolares superior (NC V2) e inferior (NC V3) dan lugar a los plexos dentarios que inervan los dientes maxilares y mandibulares.
Paladar
El paladar forma la pared superior arqueada de la boca y la pared inferior de las cavidades nasales (fig. 8-83). Separa la cavidad bucal de las cavidades nasales y la nasofaringe, o parte de la faringe superior al paladar blando. La cara superior (nasal) del paladar está cubierta por mucosa respiratoria, mientras que la cara inferior (bucal) lo está por mucosa bucal, densamente poblada de glándulas. El paladar consta de dos regiones: el paladar duro anterior y el paladar blando posterior.

Paladar duro
El paladar duro es abovedado (cóncavo) y está ocupado principalmente por la lengua cuando esta se encuentra en reposo. Los dos tercios anteriores del paladar poseen un esqueleto óseo formado por los procesos palatinos de los maxilares y las láminas horizontales de los huesos palatinos (fig. 8-84 A). La fosa incisiva es una depresión situada en la línea media del paladar óseo posterior a los dientes incisivos centrales, en la cual se abren los conductos incisivos. Los nervios nasopalatinos discurren desde la nariz a través de un número variable de conductos y forámenes incisivos que se abren en la fosa incisiva (fig. 8-87 B).
Medial al tercer molar, el foramen palatino mayor atraviesa el borde lateral del paladar óseo (fig. 8-84 A). Los vasos y el nervio palatinos mayores emergen de este foramen y discurren anteriormente por el paladar. Los forámenes palatinos menores, posteriores al foramen palatino mayor, atraviesan el proceso piramidal del hueso palatino. Estos forámenes conducen los nervios y vasos palatinos menores al paladar blando y las estructuras adyacentes (fig. 8-87).

Paladar blando
El paladar blando es el tercio posterior móvil del paladar, suspendido del borde posterior del paladar duro (figs. 8-83 y 8-84 B). El paladar blando carece de esqueleto óseo; sin embargo, su porción aponeurótica anterior está fortalecida por la aponeurosis palatina, que se une al borde posterior del paladar duro. La aponeurosis es gruesa anteriormente y delgada posteriormente, donde se une con una porción muscular del paladar blando. Posteroinferiormente, el paladar blando presenta un borde libre curvo, del cual pende una prolongación cónica, la úvula.
Cuando una persona deglute, el paladar blando se tensa inicialmente para permitir 1679que la lengua presione contra él y empuje el bolo alimentario (masa masticada) hacia la parte posterior de la cavidad bucal. Luego, el paladar blando se eleva posterior y superiormente contra la pared de la faringe, y previene así el paso del alimento hacia el interior de la cavidad nasal.
Lateralmente, el paladar blando se continúa con la pared de la faringe y se une con la lengua y la faringe mediante los arcos palatogloso y palatofaríngeo, respectivamente (fig. 8-83). Hay unos pocos botones gustativos en el epitelio que cubre la cara bucal del paladar blando, la pared posterior de la bucofaringe y la epiglotis.
Las fauces (del latín, garganta) son el espacio comprendido entre la cavidad bucal y la faringe. Están limitadas superiormente por el paladar blando, inferiormente por la raíz de la lengua y lateralmente por los pilares de las fauces, los arcos palatoglosos y palatofaríngeos. El istmo de las fauces es el corto espacio constreñido que establece conexión entre la cavidad bucal propiamente dicha y la bucofaringe. El istmo está limitado anteriormente por los pliegues palatoglosos y posteriormente por los pliegues palatofaríngeos. Las tonsilas palatinas, denominadas a menudo «las amígdalas», son dos masas de tejido linfoide, una a cada lado de la bucofaringe. Cada tonsila se sitúa en un seno tonsilar (fosa), limitada por los arcos palatogloso y palatofaríngeo y la lengua.
Características de la superficie del paladar
La mucosa del paladar duro se halla fuertemente unida al hueso subyacente (fig. 8-85 A); por lo tanto, las inyecciones submucosas aquí son extremadamente dolorosas. La encía lingual superior, o porción de la encía que cubre la cara lingual de los dientes y los procesos alveolares, se continúa con la mucosa del paladar; por consiguiente, al inyectar un anestésico en la encía de un diente, queda anestesiada la mucosa del paladar adyacente.
Profundamente a la mucosa del paladar se hallan las glándulas palatinas que secretan moco (fig. 8-85 B). Las aberturas de los conductos de estas glándulas otorgan un aspecto de hoyuelos (piel de naranja) a la mucosa palatina. En la línea media, posterior a los dientes incisivos maxilares, se halla la papila incisiva. Esta elevación de la mucosa está situada inmediatamente anterior a la fosa incisiva subyacente (fig. 8-84 A).
Radiados lateralmente desde la papila incisiva se hallan varios pliegues palatinos transversos o rugosidades palatinas (fig. 8-85 A y B), que ayudan a manejar el alimento durante la masticación. Posteriormente en la línea media del paladar desde la papila incisiva se halla una estrecha línea blanquecina, el rafe palatino, que puede presentarse como una cresta anteriormente y un surco posteriormente. El rafe palatino marca el lugar de fusión de los procesos palatinos embrionarios (crestas palatinas). Con la ayuda de la lengua, uno mismo puede notarse los pliegues palatinos transversos y el rafe palatino.

Músculos del paladar blando
El paladar blando puede elevarse y ponerse en contacto con la pared posterior de la faringe. De este modo se cierra el istmo de la faringe, para lo cual es necesario respirar a través de la boca. El paladar blando también puede dirigirse inferiormente para contactar con la parte posterior de la lengua. Con esta maniobra se cierra el istmo de las fauces, de manera que el aire espirado se expulsa a través de la nariz (aunque la boca esté abierta) y se impide que las sustancias de la cavidad bucal pasen a la faringe. Al tensar el paladar blando se coloca en una posición intermedia, de modo que la lengua puede empujar contra él, comprimir el alimento masticado e impulsarlo al interior de la faringe para deglutirlo.
Los cinco músculos del paladar blando se originan en la base del cráneo y descienden hacia el paladar. Se ilustran en la figura 8-86, y sus inserciones, inervación y acciones se detallan en la tabla 8-14. Nótese que el sentido de tracción del vientre del tensor del velo del paladar se redirige unos 90°, debido a que su tendón utiliza el gancho pterigoideo como polea o tróclea, lo que le permite traccionar horizontalmente sobre la aponeurosis (figs. 8-84 B y 8-86).


Vascularización e inervación del paladar
El paladar posee una abundante irrigación sanguínea procedente en ambos lados de la arteria palatina mayor, rama de la arteria palatina descendente (fig. 8-87). La arteria palatina mayor atraviesa el foramen homónimo y discurre anteromedialmente. La arteria palatina menor, una rama más pequeña de la arteria palatina descendente, penetra en el paladar a través del foramen palatino menor y se anastomosa con la arteria palatina ascendente, rama de la arteria facial (fig. 8-87 B). Las venas del paladar son tributarias del plexo venoso pterigoideo.
Los nervios sensitivos del paladar son ramos del nervio maxilar (NC V2), que se ramifican desde el ganglio pterigopalatino (fig. 8-87 A). El nervio palatino mayor inerva las encías, la mucosa y las glándulas de la mayor parte del paladar duro. El nervio nasopalatino inerva la mucosa de la parte anterior del paladar duro (fig. 8-87 B). Los nervios palatinos menores inervan el paladar blando. Los nervios palatinos acompañan a las arterias a través de los forámenes palatinos mayor y menor, respectivamente. Excepto el tensor del velo del paladar, inervado por el NC V3, todos los músculos del paladar blando reciben su inervación a través del plexo nervioso faríngeo.

Lengua
La lengua es un órgano muscular móvil cubierto por mucosa que puede adoptar una serie de formas y posiciones. Se halla en parte en la cavidad bucal y en parte en la bucofaringe. Las principales funciones de la lengua son la articulación (formación de palabras al hablar) y la introducción de los alimentos en la bucofaringe como parte de la deglución. La lengua participa también en la masticación, el gusto y la limpieza bucal.
Partes y caras de la lengua
La lengua tiene una raíz, un cuerpo y un ápice (fig. 8-88 A). La raíz de la lengua es la porción posterior fijada, que se extiende entre la mandíbula, el hueso hioides y la cara posterior de la lengua, casi vertical. El cuerpo de la lengua está constituido aproximadamente por sus dos tercios anteriores, entre la raíz y el ápice. El ápice (punta) de la lengua es el extremo anterior de su cuerpo, que se apoya sobre los dientes incisivos. El cuerpo y el ápice de la lengua son extremadamente móviles.
La lengua presenta dos caras. La más extensa, la cara superior y posterior, es el dorso de la lengua (conocido como parte superior de la lengua). La cara inferior de la lengua (parte inferior) descansa habitualmente sobre la pared inferior de la boca. El borde de la lengua, que separa las dos caras, está relacionado a ambos lados con las encías linguales y los dientes laterales. El dorso de la lengua se caracteriza por la presencia de un surco en V, el surco terminal, cuyo ápice está dirigido posteriormente hacia el foramen ciego (fig. 8-88 B). Este pequeño hoyo, a menudo ausente, es el resto afuncional de la parte proximal del conducto tirogloso embrionario, a partir del cual se desarrolla la glándula tiroides. El surco terminal divide transversalmente el dorso de la lengua en una parte anterior al surco, que está en la cavidad bucal propiamente dicha, y una parte posterior al surco, en la bucofaringe.
Un surco medio divide la parte anterior de la lengua en dos, derecha e izquierda. La mucosa de la parte anterior de la lengua es relativamente delgada y se halla muy unida al músculo subyacente. Su textura es rugosa por las numerosas papilas linguales de pequeño tamaño:
- Las papilas circunvaladas son grandes y de cúspide aplanada; se encuentran directamente anteriores al surco terminal y se disponen en una fila en forma de Están rodeadas por surcos profundos semejantes a fosos circulares, cuyas pare-des están recubiertas por botones gustativos. Los conductos de las glándulas serosas linguales se abren en estos surcos.
- Las papilas foliadas son pequeños pliegues laterales de la mucosa lingual; están poco desarrolladas en la especie humana.
- Las papilas filiformes son largas, numerosas y contienen terminaciones nerviosas aferentes sensibles al tacto. Estas proyecciones cónicas son de un color gris rosado y se hallan dispuestas en filas en forma de V, paralelamente al surco terminal excepto en el ápice, donde suelen disponerse transversalmente.
- Las papilas fungiformes tienen forma de seta y aparecen como puntos rosas o rojos; están esparcidas entre las papilas filiformes, pero son más numerosas en el ápice y los bordes de la lengua.

Las papilas circunvaladas, foliadas y la mayoría de las fungiformes contienen receptores gustativos en los botones gustativos.
La mucosa de la parte posterior de la lengua es más gruesa y móvil. Carece de papilas linguales, pero los nodulillos linfoides subyacentes, a los que se conoce colectivamente como tonsila (amígdala) lingual, confieren su aspecto adoquinado e irregular a esta parte de la lengua. La parte faríngea de la lengua constituye la pared anterior de la bucofaringe y sólo puede inspeccionarse con un espejo o al ejercer presión hacia abajo con un depresor lingual.
La cara inferior de la lengua está cubierta por una mucosa delgada y transparente (fig. 8-89). Esta cara conecta con la pared inferior de la boca mediante un repliegue medio denominado frenillo lingual, a pesar del cual puede moverse libremente la porción anterior de la lengua. A cada lado del frenillo, una vena lingual profunda es visible a través de la delgada mucosa. Existe una carúncula sublingual (papila) a cada lado de la base del frenillo lingual; en ella se encuentra el orificio del conducto submandibular, procedente de la glándula salival submandibular.

Músculos de la lengua
La lengua es esencialmente una masa de músculos que está cubierta, en su mayor parte, por mucosa (fig. 8-90; tabla 8-15). Al igual que en los músculos orbitales, es tradicional describir las acciones de los músculos de la lengua asociando: 1) una única acción a un músculo específico, o 2) describiendo un movimiento particular como consecuencia de la acción de un único múscu lo. Este enfoque facilita el aprendizaje, pero simplifica en exceso las acciones de la lengua. Los músculos de la lengua no actúan ais ladamente, y algunos realizan múltiples acciones; además, partes de un solo músculo pueden actuar de modo independiente y producir acciones diferentes, incluso antagónicas. En general, sin embargo, los músculos extrínsecos modifican la posición de la lengua, y los músculos intrínsecos alteran su forma. Los cuatro músculos intrínsecos y los cuatro extrínsecos en cada mitad de la lengua están separados por un septo lingual (fig. 8-90 C) fibroso medio, que se fusiona posteriormente con la aponeurosis lingual (una lámina dura de tejido conectivo, la lámina propia, que se encuentra por debajo de la membrana mucosa dorsal de la lengua, donde se insertan los músculos linguales; fig. 8-90 B).


Músculos extrínsecos de la lengua
Los músculos extrínsecos de la lengua (geniogloso, hiogloso, estilogloso y palatogloso) se originan fuera de la lengua y se insertan en ella. Aunque su acción principal es mover la lengua, también pueden modificar su forma. Se ilustran en la figura 8-90, y su forma, posición, inserciones y acciones principales se describen en la tabla 8-15.
Músculos intrínsecos de la lengua
Los músculos longitudinales superior e inferior, transverso y vertical, están confinados a la lengua. Sus inserciones se realizan totalmente en el interior de la lengua y no se insertan en el hueso. Estos músculos se ilustran en la figura 8-90, y su forma, posición, inserciones y acciones principales se describen en la tabla 8-15. Los músculos longitudinales superior e inferior actúan conjuntamente para acortar y engrosar la lengua y retraerla cuando está protruida. Los músculos transverso y vertical actúan simultáneamente para alargar y estrechar la lengua; en esta acción, la lengua puede presionar contra los dientes incisivos o salir de la boca abierta (especialmente cuando actúa también la parte posteroinferior del geniogloso).
Inervación de la lengua
Todos los músculos de la lengua, excepto el palatogloso, reciben inervación motora del NC XII, el nervio hipogloso (fig. 8-91). El palatogloso es un músculo palatino inervado por el plexo faríngeo (fig. 8-46 A). En cuanto a la sensibilidad general (tacto y temperatura), la mucosa de los dos tercios anteriores de la lengua está inervada por el nervio lingual, ramo del NC V3 (figs. 8-91, 8-95 y 8-96). Para la sensibilidad especial (gusto), dicha parte de la lengua, a excepción de las papilas circunvaladas, recibe inervación de la cuerda del tímpano, ramo del NC VII. La cuerda del tímpano se une al nervio lingual en la fosa infratemporal y discurre anteriormente en su vaina. La mucosa del tercio posterior de la lengua y las papilas circunvaladas reciben inervación del ramo lingual del nervio glosofaríngeo (NC IX) para las sensibilidades general y especial (fig. 8-91). Pequeños ramos del nervio laríngeo interno, ramo del nervio vago (NC X), aportan casi toda la sensibilidad general y algo de la sensibilidad especial a una pequeña área de la lengua situada inmediatamente anterior a la epiglotis. Estos nervios, sobre todo sensitivos, llevan también fibras parasimpáticas secretomotoras a las glándulas serosas de la lengua.
Suelen existir cuatro sensaciones gustativas básicas, o sabores: dulce, salado, ácido y amargo. Recientemente, se ha identificado un quinto sabor básico (unami, estimulado por el glutamato monosódico). Se han descrito que ciertas áreas de la lengua son las más sensibles a distintos sabores, pero la evidencia indica que todas las áreas son capaces de detectar todos los sabores. Todos los demás «gustos» expresados por los gourmets son sensaciones olfatorias (olfato y aroma).

Vascularización de la lengua
Las arterias de la lengua proceden de la arteria lingual, rama de la arteria carótida externa (fig. 8-92). Al entrar en la lengua, la arteria lingual discurre profundamente al músculo hiogloso. Las arterias dorsales de la lengua irrigan la raíz; las arterias profundas de la lengua irrigan el cuerpo de la lengua. Las arterias profundas de la lengua se comunican entre sí cerca del ápice de la lengua. El septo lingual impide la comunicación entre las arterias dorsales de la lengua (fig. 8-90 C).

Las venas de la lengua son las venas dorsales de la lengua, que acompañan a la arteria lingual; las venas profundas de la lengua, que comienzan en el ápice de la lengua, discurren posteriormente junto al frenillo lingual y desembocan en la vena sublingual (fig. 8-93). En el anciano, las venas sublinguales a menudo son varicosas (grandes y tortuosas). Algunas de estas venas, o todas ellas, pueden drenar de forma directa en la vena yugular interna, o indirectamente después de haberse unido para formar una vena lingual, que acompaña a la parte inicial de la arteria lingual.
El drenaje linfático de la lengua es excepcional. La mayor parte converge hacia el drenaje venoso y lo sigue; sin embargo, la linfa procedente del ápice de la lengua, el frenillo y la parte central del labio inferior sigue un curso independiente (fig. 8-94). Los nódulos linfáticos de distintas áreas de la lengua drenan a través de cuatro vías:
- La linfa de la raíz drena bilateralmente en los nódulos linfáticos cervicales profundos superiores.
- La linfa de la parte medial del cuerpo drena bilateral y directamente en los nódulos linfáticos cervicales profundos inferiores.
- La linfa de las partes laterales derecha e izquierda del cuerpo drena en los nódulos linfáticos submandibulares homolaterales.
- El ápice y el frenillo drenan en los nódulos linfáticos submentonianos; la porción medial drena en ambos lados.
Toda la linfa procedente de la lengua drena finalmente en los nódulos cervicales profundos y discurre por los troncos venosos yugulares al interior del sistema venoso en los ángulos venosos derecho e izquierdo.

Glándulas salivares
Las glándulas salivares incluyen las glándulas parótidas, submandibulares y sublinguales (fig. 8-95). El líquido transparente, insípido, inodoro y viscoso, la saliva, que secretan estas glándulas y las glándulas mucosas de la cavidad bucal:
- Mantiene húmeda la mucosa bucal.
- Lubrifica los alimentos durante la masticación.
- Comienza la digestión de los almidones.
- Sirve de «lavado de boca» intrínseco.
- Desempeña papeles significativos en la prevención de la caries dental y en la capacidad gustativa.
Además de las glándulas salivares principales, existen pequeñas glándulas salivares accesorias dispersas por el paladar, los labios, las mejillas, las tonsilas y la lengua. Las glándulas parótidas, las mayores de las tres glándulas salivares dobles. Las glándulas parótidas están localizadas lateral y posteriormente a las ramas de la mandíbula y a los músculos maseteros, dentro de vainas fibrosas rígidas, y drenan anteriormente por vía de conductos únicos que entran en el vestíbulo bucal frente al segundo molar maxilar (fig. 8-65).
Glándulas submandibulares
Las glándulas submandibulares se sitúan a lo largo del cuerpo de la mandíbula, parcialmente superiores e inferiores a la mitad posterior de la mandíbula, y también parcialmente super-ficiales y profundas al músculo milohioideo (fig. 8-96). El conducto submandibular, de unos 5 cm de largo, surge de la porción de la glándula que está situada entre los músculos milohioideo e hiogloso. A su paso desde la porción lateral a la medial, el nervio lingual forma un asa bajo el conducto, que discurre anteriormente y se abre en uno a tres orificios en una pequeña papila sublingual junto a la base del frenillo lingual (fig. 8-96 B). Los orificios de los conductos submandibulares son visibles, y a menudo también puede verse la saliva goteando de ellos (o saliendo en spray al bostezar). La irrigación arterial de las glándulas submandibulares proviene de las arterias submentonianas (fig. 8-92). Las venas acompañan a las arterias. Los vasos linfáticos de las glándulas finalizan en los nódulos linfáticos cervicales profundos, sobre todo en el nódulo yuguloomohioideo (fig. 8-94 B).

Las glándulas submandibulares reciben fibras parasimpáticas presinápticas secretomotoras que lleva el nervio facial al nervio lingual por la cuerda del tímpano, que hacen sinapsis con neuronas postsinápticas en el ganglio submandibular (fig. 8-95). Estas últimas fibras acompañan a las arterias y alcanzan la glándula, junto con fibras simpáticas postsinápticas vasoconstrictoras desde el ganglio cervical superior.

Glándulas sublinguales
Las glándulas sublinguales son las glándulas salivares de menor tamaño y las situadas más profundamente (fig. 8-96). Cada glándula, de forma almendrada, se sitúa en la pared inferior de la boca entre la mandíbula y el músculo geniogloso. Las glándulas de ambos lados se unen para constituir una masa en forma de herradura en torno al núcleo de tejido conectivo del frenillo lingual. Numerosos conductos sublinguales de pequeño tamaño se abren en la pared inferior de la boca a lo largo de los pliegues sublinguales. La irrigación arterial de las glándulas sublinguales proviene de las arterias sublingual y submentoniana, ramas de las arterias lingual y facial, respectivamente (fig. 8-92). Los nervios de las glándulas acompañan a los de la glándula submandibular. Fibras parasimpáticas presinápticas secretomotoras, vehiculadas por los nervios facial, cuerda del tímpano y lingual, hacen sinapsis en el ganglio submandibular (fig. 8-95).
